Лимфоидная интерстициальная пневмония (ЛИП) представляет собой редкое хроническое диффузное интерстициальное заболевание легких, характеризующееся инфильтрацией интерстиция легочной ткани преимущественно зрелыми лимфоцитами и плазматическими клетками. Это состояние может протекать как самостоятельно (идиопатическая ЛИП), так и быть ассоциированным с системными аутоиммунными заболеваниями, такими как синдром Шегрена, ревматоидный артрит, системная красная волчанка, а также с иммунодефицитными состояниями, включая ВИЧ-инфекцию. Без адекватного терапевтического вмешательства лимфоидная интерстициальная пневмония способна прогрессировать, приводя к развитию фиброза легких и хронической дыхательной недостаточности.
Развитие лимфоидной интерстициальной пневмонии связывают с нарушением регуляции иммунного ответа в легких, что вызывает неконтролируемый рост лимфоидных клеток. Диагностика ЛИП требует комплексного подхода, включающего компьютерную томографию высокого разрешения (КТВР) органов грудной клетки, оценку функции внешнего дыхания и, в ряде случаев, проведение биопсии легкого для гистологического подтверждения. Раннее выявление лимфоидной интерстициальной пневмонии критически важно для замедления прогрессирования заболевания и предотвращения необратимых изменений в легочной ткани. Целью лечения ЛИП является подавление воспаления и предотвращение дальнейшего повреждения легких, что достигается применением глюкокортикостероидов и, при необходимости, других иммуносупрессивных препаратов.
Что такое лимфоидная интерстициальная пневмония (ЛИП). Определение и особенности
Лимфоидная интерстициальная пневмония (ЛИП) является редким, хроническим диффузным интерстициальным заболеванием легких, характеризующимся значительной инфильтрацией межуточной ткани легких полиморфным клеточным составом. В основе патологического процесса лежит пролиферация (разрастание) зрелых лимфоцитов, плазматических клеток и гистиоцитов, которые скапливаются в интерстиции, вокруг бронхов и кровеносных сосудов.
Это состояние, хотя и относится к лимфопролиферативным заболеваниям, не является злокачественным новообразованием, таким как лимфома. Процесс представляет собой доброкачественную, но часто прогрессирующую реакцию иммунной системы, которая вызывает утолщение стенок альвеол и мелких дыхательных путей. Подобная инфильтрация нарушает нормальный газообмен в легких, приводя к постепенному снижению их функции.
Ключевые характеристики лимфоидной интерстициальной пневмонии
Лимфоидная интерстициальная пневмония обладает рядом уникальных особенностей, отличающих ее от других легочных патологий:
- Редкость заболевания: ЛИП встречается крайне редко, составляя менее 1% всех интерстициальных заболеваний легких. Это обстоятельство часто затрудняет своевременную диагностику.
- Лимфоидная инфильтрация: Главный гистологический признак – это выраженное скопление зрелых поликлональных лимфоцитов, плазматических клеток и макрофагов в легочном интерстиции. Эти клетки обычно не имеют признаков злокачественности.
- Диффузный характер: Поражение легких при лимфоидной интерстициальной пневмонии носит распространенный характер, затрагивая паренхиму легких симметрично.
- Вовлечение дыхательных путей: Инфильтрация может распространяться на стенки бронхиол и сосудов, что приводит к обструкции мелких дыхательных путей и развитию бронхиолита.
- Потенциал фиброза: Несмотря на доброкачественный характер клеточной пролиферации, хроническое воспаление может привести к развитию фиброза легких, который необратим и ухудшает прогноз.
- Возможность трансформации: В редких случаях описана трансформация лимфоидной интерстициальной пневмонии в лимфому низкой степени злокачественности, что требует тщательного мониторинга.
Формы ЛИП: идиопатическая и ассоциированная
Лимфоидная интерстициальная пневмония может проявляться в двух основных формах, что имеет важное значение для тактики лечения и прогноза:
- Идиопатическая ЛИП: В этом случае заболевание развивается без видимых причин, то есть его связь с каким-либо другим системным заболеванием или иммунодефицитом не прослеживается. Диагностика идиопатической лимфоидной интерстициальной пневмонии требует исключения всех известных ассоциированных состояний.
- Ассоциированная ЛИП: Значительно чаще лимфоидная интерстициальная пневмония развивается в сочетании с другими заболеваниями, преимущественно затрагивающими иммунную систему. Наиболее частыми причинами являются:
- Синдром Шегрена: Это наиболее распространенная ассоциация. У пациентов с синдромом Шегрена ЛИП может быть одним из внежелезистых проявлений.
- ВИЧ-инфекция: ЛИП является одним из СПИД-определяющих состояний у детей, хотя встречается и у взрослых с иммунодефицитом.
- Другие системные аутоиммунные заболевания: К ним относятся ревматоидный артрит, системная красная волчанка, дерматомиозит/полимиозит и другие.
- Иммунодефицитные состояния: Помимо ВИЧ, лимфоидная интерстициальная пневмония может развиваться при других первичных или вторичных иммунодефицитах.
Понимание формы лимфоидной интерстициальной пневмонии имеет решающее значение для выбора терапевтической стратегии, поскольку лечение основного заболевания часто способствует улучшению легочных проявлений.
Причины и факторы риска ЛИП: почему возникает лимфоидная интерстициальная пневмония
Развитие лимфоидной интерстициальной пневмонии (ЛИП) является результатом сложного взаимодействия между генетической предрасположенностью, нарушениями в иммунной системе и, возможно, внешними факторами. Хотя в некоторых случаях лимфоидная интерстициальная пневмония возникает без установленной причины (идиопатическая форма), значительно чаще её появление связано с наличием других хронических заболеваний, затрагивающих иммунитет.
Идиопатическая форма лимфоидной интерстициальной пневмонии
В тех случаях, когда тщательное обследование не выявляет сопутствующих заболеваний, лимфоидная интерстициальная пневмония классифицируется как идиопатическая. Это означает, что точная причина развития патологии остаётся неизвестной. Предполагается, что в основе идиопатической ЛИП лежат внутренние механизмы нарушения регуляции иммунного ответа в лёгочной ткани. Эти механизмы могут быть обусловлены уникальной генетической предрасположенностью организма, которая делает его более восприимчивым к неспецифическим пусковым факторам, или же воздействием ещё невыявленных факторов окружающей среды.
Связанные причины лимфоидной интерстициальной пневмонии
Гораздо чаще лимфоидная интерстициальная пневмония развивается как вторичное проявление или осложнение других системных состояний. При этих состояниях наблюдается хроническое нарушение иммунной регуляции, что создаёт благоприятные условия для неконтролируемого разрастания лимфоидных клеток в лёгких.
Системные аутоиммунные заболевания
Наиболее значимыми факторами риска для развития ЛИП являются системные аутоиммунные заболевания. При них иммунная система ошибочно атакует собственные ткани организма, вызывая хроническое воспаление и разрастание иммунных клеток.
- Синдром Шегрена: Это самая распространённая связь, особенно у взрослых. Синдром Шегрена характеризуется лимфоидным скоплением в экзокринных железах, но у многих пациентов также развивается системное поражение, включая лёгкие. Лимфоидная интерстициальная пневмония в этом контексте рассматривается как одно из внежелезистых проявлений, вызванное аномальной активацией В-лимфоцитов и их накоплением в интерстиции лёгких.
- Ревматоидный артрит: Хроническое системное воспалительное заболевание, которое может поражать не только суставы, но и внутренние органы, включая лёгкие. Иммунные нарушения, лежащие в основе ревматоидного артрита, могут приводить к развитию ЛИП.
- Системная красная волчанка (СКВ): Ещё одно системное аутоиммунное заболевание, при котором иммунная система атакует различные ткани и органы. Поражение лёгких при СКВ многообразно, и лимфоидная интерстициальная пневмония является одним из возможных проявлений.
- Полимиозит и дерматомиозит: Эти редкие воспалительные заболевания мышц и кожи также могут быть связаны с развитием интерстициальных заболеваний лёгких, включая ЛИП.
- Другие аутоиммунные состояния: Реже лимфоидная интерстициальная пневмония связана с аутоиммунным тиреоидитом (болезнь Хашимото), первичным билиарным циррозом и другими состояниями.
Иммунодефицитные состояния
Снижение или нарушение функции иммунной системы также является значимым фактором риска для развития лимфоидной интерстициальной пневмонии. Парадоксально, но иммунодефицит может приводить к неконтролируемому разрастанию лимфоцитов.
- ВИЧ-инфекция/СПИД: Лимфоидная интерстициальная пневмония является частым проявлением ВИЧ-инфекции, особенно у детей, где она входит в число СПИД-определяющих состояний. При ВИЧ-инфекции вирус напрямую поражает иммунные клетки, нарушая их регуляцию и приводя к дисбалансу, который может способствовать лимфоидному разрастанию в лёгких.
- Первичные иммунодефициты: К ним относятся такие состояния, как общий вариабельный иммунодефицит (ОВИД) или другие генетически обусловленные нарушения иммунной системы. При этих заболеваниях нарушается производство или функция определённых иммунных клеток, что может приводить к аномальным иммунным реакциям, включая лимфоидное скопление.
- Вторичные иммунодефициты: Помимо ВИЧ, ЛИП может развиваться при других состояниях, вызывающих вторичный иммунодефицит, например, после трансплантации органов (при приёме иммуносупрессивных препаратов) или при некоторых гематологических злокачественных новообразованиях, которые сами по себе влияют на иммунную систему.
Инфекционные агенты
Некоторые инфекционные агенты рассматриваются как потенциальные пусковые или сопутствующие факторы в развитии лимфоидной интерстициальной пневмонии, особенно у лиц с уже существующими нарушениями иммунитета. Они могут вызывать хроническую стимуляцию иммунной системы, приводя к лимфоидному разрастанию.
- Вирус Эпштейна-Барр (ВЭБ): Этот вирус известен своей способностью инфицировать В-лимфоциты и вызывать их разрастание. ВЭБ часто обнаруживается в биоптатах лёгких пациентов с лимфоидной интерстициальной пневмонией, особенно у тех, кто имеет иммунодефицитные состояния.
- Цитомегаловирус (ЦМВ): Как и ВЭБ, ЦМВ может вызывать хроническую иммунную активацию и лимфоидное разрастание, особенно у лиц с ослабленным иммунитетом.
- Другие вирусы: Обсуждается роль других вирусов, например, вируса гепатита С, в качестве возможных пусковых или факторов, изменяющих иммунный ответ, способствующих развитию ЛИП.
Воздействие окружающей среды и генетическая предрасположенность
Хотя прямые и чётко определённые экологические факторы для лимфоидной интерстициальной пневмонии пока не установлены, не исключается, что воздействие определённых веществ или хроническое вдыхание раздражителей может играть роль в запуске или усугублении воспалительного процесса у генетически предрасположенных лиц. Генетическая предрасположенность, выражающаяся в особенностях работы иммунной системы, является базовым фактором, определяющим риск развития ЛИП как в идиопатической, так и в связанных формах.
Механизмы развития лимфоидной интерстициальной пневмонии: как ЛИП влияет на легкие
Механизмы развития лимфоидной интерстициальной пневмонии (ЛИП) представляют собой сложный каскад иммунологических нарушений, приводящих к аномальному накоплению лимфоидных клеток в легочной ткани. В основе патогенеза лимфоидной интерстициальной пневмонии лежит дисрегуляция иммунного ответа, что вызывает хроническое воспаление и постепенное изменение структуры легких. Понимание этих механизмов критически важно для выбора адекватной терапевтической стратегии.
Ключевые звенья патогенеза лимфоидной интерстициальной пневмонии
Развитие лимфоидной интерстициальной пневмонии тесно связано с нарушением тонкой регуляции работы иммунной системы в легких. В норме лимфоидные клетки играют защитную роль, но при ЛИП их пролиферация становится неконтролируемой. Этот процесс включает в себя несколько ключевых элементов:
- Активация лимфоцитов: В-лимфоциты и Т-лимфоциты, а также плазматические клетки, которые являются конечными дифференцированными В-лимфоцитами, начинают активно размножаться и накапливаться в интерстиции легких. При этом лимфоциты часто носят поликлональный характер, то есть представляют собой множество различных клонов, что отличает лимфоидную интерстициальную пневмонию от злокачественных лимфом, где обычно наблюдается моноклональная пролиферация.
- Нарушение апоптоза: Предполагается, что в условиях ЛИП происходит снижение запрограммированной клеточной смерти (апоптоза) для лимфоцитов, что способствует их избыточному накоплению. Иммунная система не способна эффективно удалять избыточные или аномально активированные клетки.
- Цитокиновый дисбаланс: При хроническом воспалении в легочной ткани вырабатывается большое количество цитокинов (молекул, регулирующих иммунные реакции). Дисбаланс между провоспалительными и противовоспалительными цитокинами поддерживает пролиферацию лимфоидных клеток и способствует их миграции в легочный интерстиций.
- Роль инфекционных агентов и аутоиммунных процессов: У пациентов с ассоциированной лимфоидной интерстициальной пневмонией, например, при ВИЧ-инфекции или синдроме Шегрена, вирусы (например, вирус Эпштейна-Барр, цитомегаловирус) или аутоиммунные реакции могут выступать в качестве пусковых факторов. Они вызывают хроническую стимуляцию В-лимфоцитов, приводя к их пролиферации и накоплению в легких.
Морфологические изменения в легочной ткани при ЛИП
Лимфоидная интерстициальная пневмония приводит к характерным изменениям в структуре легочной ткани, которые можно наблюдать при гистологическом исследовании. Эти морфологические проявления напрямую объясняют, как ЛИП влияет на легкие:
- Инфильтрация интерстиция: Основным признаком является диффузная или пятнистая инфильтрация межуточной ткани легких. Инфильтрат состоит преимущественно из зрелых лимфоцитов, плазматических клеток и гистиоцитов. Эти клетки скапливаются вокруг бронхов, бронхиол и кровеносных сосудов, образуя так называемые перибронхиальные и периваскулярные муфты.
- Формирование лимфоидных фолликулов: Часто в легочной ткани обнаруживаются реактивные лимфоидные фолликулы с герминативными центрами, что указывает на активную иммунную реакцию. Эти структуры напоминают лимфоузлы, но расположены непосредственно в легких.
- Утолщение альвеолярных стенок: Хроническое воспаление и инфильтрация приводят к утолщению стенок альвеол (воздушных мешочков легких), что нарушает их нормальную функцию.
- Вовлечение дыхательных путей: Инфильтрация может распространяться на стенки мелких бронхиол, вызывая обструкцию и сужение дыхательных путей (бронхиолит).
- Фиброз: Длительное хроническое воспаление и клеточная инфильтрация со временем могут привести к развитию легочного фиброза – замещению нормальной легочной ткани рубцовой. Фиброз является необратимым процессом и значительно ухудшает функцию легких.
Влияние ЛИП на функцию легких и газообмен
Патологические изменения, происходящие в легочной ткани при лимфоидной интерстициальной пневмонии, непосредственно сказываются на способности легких выполнять свою основную функцию – газообмен. Это приводит к ряду функциональных нарушений:
- Нарушение газообмена: Утолщение альвеолярно-капиллярной мембраны, вызванное клеточной инфильтрацией и фиброзом, препятствует эффективному поступлению кислорода из вдыхаемого воздуха в кровь и удалению углекислого газа из крови. Это приводит к снижению парциального давления кислорода в артериальной крови (гипоксемии).
- Рестриктивные нарушения вентиляции: Инфильтрация и последующий фиброз делают легкие менее эластичными и более жесткими. Это ограничивает их способность к расширению при вдохе, уменьшая объемы легких (жизненную емкость легких, общий объем легких), что характерно для рестриктивных заболеваний легких.
- Снижение диффузионной способности легких: Из-за утолщения барьера между альвеолами и капиллярами, а также уменьшения функциональной площади газообмена, снижается способность легких к диффузии газов (DLCO).
- Прогрессирующая дыхательная недостаточность: По мере прогрессирования лимфоидной интерстициальной пневмонии и усиления фиброза легких, гипоксемия нарастает, особенно при физической нагрузке, что в конечном итоге приводит к хронической дыхательной недостаточности.
Этапы прогрессирования и потенциальные осложнения лимфоидной интерстициальной пневмонии
Лимфоидная интерстициальная пневмония — это хроническое заболевание, которое может прогрессировать с различной скоростью. На ранних стадиях преобладают воспалительные и инфильтративные изменения, но без адекватного лечения процесс может привести к необратимым осложнениям. Понимание этих этапов и рисков помогает в долгосрочном ведении пациентов.
Важные аспекты прогрессирования и осложнений ЛИП:
- Переход в фиброзную стадию: Хроническое воспаление, характерное для лимфоидной интерстициальной пневмонии, часто становится пусковым фактором для развития фиброза. Фиброзные изменения в легких необратимы, значительно снижают их функцию и являются основной причиной дыхательной недостаточности. У некоторых пациентов возможно формирование «сотового легкого» — выраженного фиброза с образованием кистозных полостей.
- Развитие легочной гипертензии: Из-за хронической гипоксемии и структурных изменений в сосудах легких может повышаться давление в легочной артерии (легочная гипертензия). Это усугубляет нагрузку на правую половину сердца и может привести к развитию правожелудочковой сердечной недостаточности.
- Риск трансформации в лимфому: Хотя ЛИП является доброкачественным лимфопролиферативным заболеванием, существует небольшой, но реальный риск его трансформации в лимфому низкой степени злокачественности (обычно MALT-лимфому). Этот риск особенно актуален при длительном течении заболевания и требует регулярного наблюдения.
- Инфекционные осложнения: Нарушение структуры легких, изменение мукоцилиарного клиренса и ослабление местного иммунитета делают пациентов с лимфоидной интерстициальной пневмонией более восприимчивыми к респираторным инфекциям, таким как бактериальные пневмонии.
Таким образом, механизмы развития лимфоидной интерстициальной пневмонии включают в себя комплексную дисрегуляцию иммунного ответа, что ведет к постепенной деструкции и фиброзированию легочной ткани, ухудшению газообмена и развитию хронической дыхательной недостаточности. Ранняя диагностика и своевременное вмешательство могут замедлить прогрессирование этих процессов.
Проявления лимфоидной интерстициальной пневмонии: распознавание симптомов ЛИП
Лимфоидная интерстициальная пневмония (ЛИП) проявляется рядом симптомов, которые чаще всего носят неспецифический характер и могут развиваться постепенно, что затрудняет своевременную диагностику. Клиническая картина ЛИП во многом зависит от степени поражения легких, скорости прогрессирования заболевания, а также от наличия и характера сопутствующих системных или иммунодефицитных состояний.
Как проявляется лимфоидная интерстициальная пневмония: общие характеристики
На ранних стадиях проявления лимфоидной интерстициальной пневмонии могут быть минимальными или отсутствовать вовсе, что характерно для многих хронических заболеваний легких. По мере увеличения объема инфильтрации и развития фиброза легких симптомы становятся более выраженными и начинают заметно влиять на качество жизни пациента. Часто они имитируют признаки других респираторных заболеваний, таких как хронический бронхит, астма или другие формы интерстициальных пневмоний. Поэтому важно внимательно относиться к любым изменениям в самочувствии, особенно если они носят стойкий и прогрессирующий характер.
Основные легочные симптомы лимфоидной интерстициальной пневмонии
Легочные проявления являются наиболее частыми и доминирующими в клинической картине лимфоидной интерстициальной пневмонии. Они отражают нарушение структуры и функции легких вследствие инфильтрации и фиброза.
- Одышка: Является одним из наиболее характерных и ранних симптомов ЛИП. Сначала одышка возникает только при значительной физической нагрузке, такой как подъем по лестнице или быстрая ходьба. По мере прогрессирования заболевания и ухудшения функции легких, одышка усиливается, становясь заметной при минимальной нагрузке, а затем и в покое. Возникновение одышки обусловлено уменьшением эластичности легочной ткани, утолщением альвеолярно-капиллярной мембраны и нарушением газообмена, что приводит к недостаточному насыщению крови кислородом.
- Кашель: Обычно сухой, непродуктивный кашель, который может быть постоянным или приступообразным. Его появление связано с хроническим раздражением дыхательных путей и интерстиция воспалительными клетками. Кашель может усиливаться при физической активности или изменении положения тела.
- Хрипы: При прослушивании легких врач может выявить характерные мелкопузырчатые крепитирующие хрипы, которые напоминают "треск целлофана". Эти звуки возникают из-за раскрытия склеенных альвеол во время вдоха. В некоторых случаях, особенно если инфильтрация затрагивает мелкие бронхиолы, могут прослушиваться сухие свистящие хрипы, указывающие на обструктивный компонент.
- Боль в груди: Не является типичным или доминирующим симптомом, но у некоторых пациентов может отмечаться неспецифическая, тупая боль в грудной клетке, которая может быть связана с перенапряжением дыхательной мускулатуры, плевральными изменениями или сопутствующими заболеваниями.
Системные (внелегочные) проявления ЛИП
Помимо легочных симптомов, лимфоидная интерстициальная пневмония может сопровождаться общими системными проявлениями, особенно при ассоциированной форме заболевания.
- Хроническая усталость и слабость: Ощущение постоянной утомляемости, даже после отдыха, и общая слабость часто наблюдаются у пациентов с ЛИП. Эти симптомы являются следствием хронической гипоксемии (недостатка кислорода в крови) и системного воспалительного процесса, который истощает ресурсы организма.
- Потеря веса: Необъяснимая и прогрессирующая потеря веса может быть признаком хронического заболевания и усиливаться по мере прогрессирования лимфоидной интерстициальной пневмонии. Она может быть связана с повышенным метаболизмом на фоне воспаления, снижением аппетита или воздействием сопутствующих состояний.
- Субфебрильная температура: Длительное, незначительное повышение температуры тела до 37-38°C (субфебрилитет) без явных признаков инфекции может указывать на хронический воспалительный процесс в легких.
- Симптомы ассоциированных заболеваний: При развитии лимфоидной интерстициальной пневмонии на фоне системных аутоиммунных или иммунодефицитных состояний будут присутствовать симптомы основного заболевания. Например, при синдроме Шегрена — это сухость глаз и рта, боли в суставах. При ревматоидном артрите — боли и скованность в суставах, деформации. При ВИЧ-инфекции — частые инфекции, увеличение лимфоузлов. Распознавание этих сопутствующих симптомов критически важно для комплексной диагностики и лечения.
Динамика развития симптомов: на что обратить внимание
Развитие симптомов лимфоидной интерстициальной пневмонии, как правило, медленное и постепенное. Многие пациенты могут не замечать их на протяжении длительного времени, списывая легкую одышку или кашель на возраст, курение или другие факторы. Однако стойкое и нарастающее ухудшение самочувствия должно стать поводом для немедленного обращения к врачу. Особое внимание следует уделять признакам, указывающим на прогрессирование заболевания или развитие осложнений.
Следующие признаки прогрессирования ЛИП требуют незамедлительной консультации со специалистом:
| Симптом | Описание | Потенциальное значение |
|---|---|---|
| Усиление одышки в покое | Появление затрудненного дыхания без физической нагрузки или при минимальных усилиях, ранее не вызывавших одышку. | Прогрессирование дыхательной недостаточности, ухудшение функции легких. |
| Появление или усиление цианоза | Синюшный оттенок губ, ногтей или кожи. | Выраженная гипоксемия, критическое снижение уровня кислорода в крови. |
| "Барабанные палочки" и "часовые стекла" | Утолщение концевых фаланг пальцев рук и/или ног, деформация ногтевых пластин в виде часовых стекол. | Признак длительной и выраженной хронической гипоксемии, часто ассоциированный с легочными заболеваниями. |
| Отеки ног | Появление или усиление отеков на лодыжках и голенях. | Возможное развитие легочной гипертензии и правожелудочковой сердечной недостаточности (cor pulmonale) вследствие хронической гипоксемии. |
| Внезапное ухудшение кашля или появление мокроты | Изменение характера кашля, появление или увеличение количества мокроты. | Может указывать на присоединение вторичной инфекции, такой как бактериальная пневмония. |
| Повышение температуры тела | Значительное повышение температуры тела, особенно сопровождающееся ознобом и ухудшением общего состояния. | Возможное инфекционное осложнение или обострение воспалительного процесса. |
Внимательное отношение к своему здоровью и своевременное обращение за медицинской помощью при появлении или усилении указанных симптомов играют решающую роль в ранней диагностике и начале лечения лимфоидной интерстициальной пневмонии, что позволяет замедлить ее прогрессирование и предотвратить развитие тяжелых осложнений.
Диагностика ЛИП: комплексный подход к выявлению лимфоидной интерстициальной пневмонии
Выявление лимфоидной интерстициальной пневмонии (ЛИП) требует всестороннего и многоэтапного подхода, поскольку ее симптомы неспецифичны и могут имитировать многие другие легочные заболевания. Диагностика ЛИП включает в себя тщательный сбор анамнеза, физикальный осмотр, ряд лабораторных и инструментальных исследований, а часто и гистологическое подтверждение посредством биопсии легкого. Ключевая цель — не только установить диагноз лимфоидной интерстициальной пневмонии, но и определить ее форму (идиопатическая или ассоциированная) для выбора наиболее эффективной стратегии лечения. Раннее и точное выявление ЛИП жизненно важно для предотвращения прогрессирования заболевания и развития необратимого фиброза легких.
Первичная оценка: сбор анамнеза и физикальный осмотр
Диагностический процесс начинается с детального сбора анамнеза, который включает информацию о развитии симптомов, их длительности и динамике. Врач уточняет наличие одышки, ее выраженность и связь с физической нагрузкой, характер кашля (сухой, продуктивный), а также такие общие проявления, как слабость, утомляемость, потеря веса или повышение температуры. Особое внимание уделяется выявлению сопутствующих системных заболеваний и факторов риска, поскольку лимфоидная интерстициальная пневмония часто является их проявлением.
- Анамнез заболевания: Уточняются время появления и характер одышки, кашля, утомляемости, динамика симптомов с течением времени.
- Анамнез жизни: Собираются сведения о перенесенных инфекциях (включая ВИЧ), наличии системных аутоиммунных заболеваний (синдром Шегрена, ревматоидный артрит, системная красная волчанка), иммунодефицитных состояний, контактах с токсическими веществами или аллергенами.
- Физикальный осмотр: Включает аускультацию легких, при которой могут быть выявлены крепитирующие (хрустящие) хрипы, особенно в нижних отделах легких. Оценивается состояние кожных покровов, наличие цианоза (синюшности), деформации ногтевых фаланг по типу «барабанных палочек» и «часовых стекол», что свидетельствует о хронической гипоксемии.
Лабораторные исследования при ЛИП
Лабораторные тесты используются для оценки общего состояния пациента, выявления признаков воспаления и, что особенно важно, для поиска ассоциированных заболеваний, которые могли послужить причиной лимфоидной интерстициальной пневмонии. Не существует специфического лабораторного маркера для ЛИП, но комплексный подход позволяет значительно сузить диагностический поиск.
Наиболее часто назначаемые лабораторные исследования включают:
- Общий и биохимический анализ крови: Может выявить анемию, повышение скорости оседания эритроцитов (СОЭ) и уровня С-реактивного белка (СРБ), что указывает на системное воспаление.
- Иммунологические тесты: Определяются антинуклеарные антитела (АНА), ревматоидный фактор (РФ), антитела к SSA/Ro и SSB/La антигенам (при подозрении на синдром Шегрена и другие системные аутоиммунные заболевания).
- Исследование уровней иммуноглобулинов: У некоторых пациентов, особенно с ассоциированной ЛИП, может наблюдаться гипергаммаглобулинемия или, наоборот, гипогаммаглобулинемия (снижение уровня иммуноглобулинов), что может быть характерно для иммунодефицитных состояний.
- Тестирование на ВИЧ-инфекцию: Обязательно проводится, так как лимфоидная интерстициальная пневмония является одним из распространенных легочных проявлений ВИЧ-инфекции, особенно у детей.
- Вирусологические исследования: При наличии показаний может проводиться поиск маркеров вируса Эпштейна-Барр (ВЭБ) и цитомегаловируса (ЦМВ), которые могут быть ассоциированы с развитием лимфоидной интерстициальной пневмонии, особенно у пациентов с иммунодефицитами.
Инструментальная диагностика: визуализация легких
Визуализирующие методы исследования играют центральную роль в диагностике ЛИП, позволяя оценить степень поражения легких, характер изменений и исключить другие заболевания. Компьютерная томография высокого разрешения (КТВР) является ключевым методом.
Компьютерная томография высокого разрешения (КТВР)
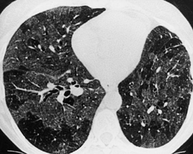
КТВР органов грудной клетки — это основной метод визуализации для выявления и оценки лимфоидной интерстициальной пневмонии. Она позволяет детально рассмотреть структуру легких и обнаружить характерные изменения. Для лимфоидной интерстициальной пневмонии характерны следующие радиологические признаки:
- Зоны «матового стекла»: Участки пониженной плотности легочной ткани, которые могут быть обусловлены клеточной инфильтрацией и легким фиброзом.
- Перибронховаскулярное утолщение: Утолщение стенок бронхов и сосудов, окруженных лимфоцитарными инфильтратами.
- Мелкие перибронхиальные узелки: Могут встречаться в области бронхов и бронхиол.
- Кистозные изменения: Множественные тонкостенные кисты различного размера, часто ассоциированные с сосудисто-бронхиальными структурами, являются одним из наиболее характерных, хотя и неспецифичных признаков ЛИП.
- Утолщение междольковых перегородок: Свидетельствует о вовлечении интерстиция.
- Генерализованная лимфаденопатия: Увеличение внутригрудных лимфатических узлов может наблюдаться, но обычно не является доминирующим признаком.
Характерная картина на КТВР может навести на мысль о лимфоидной интерстициальной пневмонии, но для окончательного диагноза часто требуется гистологическое подтверждение.
Рентгенография органов грудной клетки
Рентгенография легких менее чувствительна, чем КТВР, и ее диагностическая ценность при лимфоидной интерстициальной пневмонии ограничена. На рентгенограммах могут выявляться диффузные ретикулонодулярные изменения (сетчатые и мелкоузелковые тени), увеличение корней легких, но эти изменения неспецифичны и требуют дальнейшего уточнения с помощью КТВР.
Оценка функции внешнего дыхания (ФВД)
Исследование функции внешнего дыхания (ФВД) является важным методом оценки степени нарушения легочной функции при лимфоидной интерстициальной пневмонии. Оно позволяет определить, как ЛИП влияет на механику дыхания и газообмен.
Основные показатели ФВД, которые оцениваются при ЛИП:
- Спирометрия: Выявляет рестриктивные нарушения вентиляции, проявляющиеся снижением жизненной емкости легких (ЖЕЛ) и форсированной жизненной емкости легких (ФЖЕЛ), при нормальном или повышенном соотношении объема форсированного выдоха за 1 секунду к ФЖЕЛ (ОФВ1/ФЖЕЛ). Это отражает снижение эластичности легочной ткани и уменьшение объемов легких.
- Диффузионная способность легких по монооксиду углерода (DLCO): Один из наиболее чувствительных показателей. DLCO при ЛИП обычно значительно снижена, что указывает на нарушение газообмена и утолщение альвеолярно-капиллярной мембраны.
- Измерение объемов легких: Позволяет подтвердить рестриктивный характер нарушений, определяя снижение общего объема легких (ООЛ) и функциональной остаточной емкости (ФОЕ).
- Тест с 6-минутной ходьбой: Используется для оценки толерантности к физической нагрузке и выявления десатурации (снижения насыщения крови кислородом) при нагрузке, что является важным прогностическим фактором.
Бронхоальвеолярный лаваж (БАЛ) и биопсия легкого
Эти инвазивные процедуры проводятся для получения образцов легочной ткани или жидкости из дыхательных путей для микроскопического исследования. Они играют решающую роль в исключении других заболеваний и получении окончательного диагноза лимфоидной интерстициальной пневмонии.
- Бронхоальвеолярный лаваж (БАЛ): Процедура, при которой в сегмент легкого вводится стерильный физиологический раствор, а затем аспирируется. Полученная жидкость исследуется на клеточный состав и наличие инфекционных агентов. При лимфоидной интерстициальной пневмонии в БАЛ-жидкости часто обнаруживается повышенное содержание лимфоцитов, но этот признак не является специфическим и требует дифференциации с другими интерстициальными заболеваниями легких.
Биопсия легкого: золотой стандарт диагностики лимфоидной интерстициальной пневмонии
Получение образца легочной ткани для гистологического исследования является «золотым стандартом» в диагностике ЛИП и часто необходимо для окончательного подтверждения диагноза, особенно если клиническая картина и данные КТВР не являются абсолютно типичными или есть сомнения в отношении других заболеваний (например, лимфомы). Биопсия позволяет отличить лимфоидную интерстициальную пневмонию от других интерстициальных заболеваний легких и злокачественных новообразований.
Гистологические особенности, выявляемые при биопсии легкого, включают:
- Диффузная лимфоцитарная инфильтрация: Наличие выраженного скопления зрелых поликлональных лимфоцитов, плазматических клеток и гистиоцитов в интерстиции, вокруг бронхиол и сосудов.
- Лимфоидные фолликулы: Часто обнаруживаются реактивные лимфоидные фолликулы с герминативными центрами, что является признаком активного иммунного ответа.
- Отсутствие атипии: Клетки инфильтрата обычно не имеют признаков злокачественности, что отличает ЛИП от лимфомы.
- Степень фиброза: Оценивается наличие и выраженность фиброзных изменений, что влияет на прогноз.
Выбор метода биопсии (трансбронхиальная биопсия, видеоторакоскопическая биопсия) зависит от распространенности процесса, состояния пациента и опыта медицинского учреждения. Хотя биопсия является инвазивной процедурой, ее информативность часто перевешивает потенциальные риски, особенно при неустановленном диагнозе.
Мультидисциплинарный подход в диагностике ЛИП
Из-за редкости и сложности лимфоидной интерстициальной пневмонии, а также ее частой ассоциации с системными заболеваниями, решающее значение приобретает мультидисциплинарное обсуждение каждого клинического случая. В таком обсуждении принимают участие пульмонологи, радиологи, патологи, ревматологи, инфекционисты. Это позволяет объединить экспертизу различных специалистов для правильной интерпретации всех данных, исключения других диагнозов и выработки оптимального плана ведения пациента.
Комплексная диагностика ЛИП, включающая тщательный анализ всех полученных данных, является залогом успешного начала лечения. Ниже представлена таблица, кратко обобщающая основные этапы и их значение в выявлении лимфоидной интерстициальной пневмонии:
| Метод диагностики | Что выявляет/оценивает | Значение для ЛИП |
|---|---|---|
| Сбор анамнеза и физикальный осмотр | Симптомы (одышка, кашель, слабость), сопутствующие заболевания, признаки хронической гипоксемии. | Позволяет заподозрить заболевание и оценить системные проявления. |
| Лабораторные исследования | Маркеры воспаления, аутоиммунные антитела, статус ВИЧ, уровни иммуноглобулинов. | Поиск ассоциированных состояний, исключение инфекций, оценка общего состояния. |
| Компьютерная томография высокого разрешения (КТВР) | Патологические изменения в легких (матовое стекло, кисты, утолщение перегородок). | Основной метод визуализации, выявляющий характерные изменения, но не является полностью специфичным. |
| Функция внешнего дыхания (ФВД) | Рестриктивные нарушения вентиляции, снижение диффузионной способности легких (DLCO). | Оценка степени нарушения функции легких и газообмена. |
| Бронхоальвеолярный лаваж (БАЛ) | Клеточный состав жидкости, исключение инфекций. | Может выявить лимфоцитоз, но не является специфичным для ЛИП. |
| Биопсия легкого (гистологическое исследование) | Наличие лимфоцитарной инфильтрации, лимфоидных фолликулов, отсутствие атипии, степень фиброза. | «Золотой стандарт» для окончательного подтверждения диагноза и исключения злокачественности. |
| Мультидисциплинарное обсуждение | Комплексная оценка всех данных, выработка стратегии лечения. | Обеспечивает точный диагноз и оптимальное ведение пациента. |
Нужен очный осмотр?
Найдите лучшего пульмонолога в вашем городе по рейтингу и отзывам.
Дифференциальная диагностика ЛИП: как отличить лимфоидную интерстициальную пневмонию от других заболеваний легких
Дифференциальная диагностика лимфоидной интерстициальной пневмонии (ЛИП) является одним из наиболее сложных этапов в клинической практике из-за редкости заболевания, его неспецифических клинических и радиологических проявлений, а также значительного пересечения с другими легочными патологиями. Важно точно отличить лимфоидную интерстициальную пневмонию от состояний, которые могут иметь схожие симптомы и изменения на снимках, но требуют принципиально иного подхода к лечению и имеют различный прогноз. Своевременное и корректное распознавание лимфоидной интерстициальной пневмонии критически важно для предотвращения ошибочного лечения и улучшения исходов для пациента.
Ключевые вызовы в дифференциальной диагностике лимфоидной интерстициальной пневмонии
Выявление лимфоидной интерстициальной пневмонии часто затруднено, поскольку она может имитировать широкий спектр легочных заболеваний. Одной из главных причин является неспецифичность симптомов, таких как одышка и кашель, которые встречаются при многих респираторных патологиях. Кроме того, изменения на компьютерной томографии высокого разрешения (КТВР) также могут быть похожи на другие интерстициальные процессы, а иногда даже на злокачественные новообразования. Наибольшие трудности возникают при разграничении лимфоидной интерстициальной пневмонии с другими доброкачественными интерстициальными заболеваниями легких, а также с низкозлокачественными лимфомами легких. Поэтому для установления точного диагноза требуется тщательный анализ всех клинических, радиологических и морфологических данных, зачастую в рамках мультидисциплинарного консилиума.
Отличие лимфоидной интерстициальной пневмонии от других интерстициальных заболеваний легких
Лимфоидная интерстициальная пневмония входит в большую группу интерстициальных заболеваний легких (ИЗЛ), каждое из которых имеет свои особенности и требует дифференцированного подхода. Отличить лимфоидную интерстициальную пневмонию от других ИЗЛ помогает сочетание клинической картины, данных КТВР и, что наиболее важно, гистологического исследования.
Рассмотрим основные ИЗЛ, с которыми приходится дифференцировать лимфоидную интерстициальную пневмонию:
- Идиопатический легочный фиброз (ИЛФ): Это наиболее агрессивное фиброзирующее заболевание легких. Основное отличие на КТВР — характерная картина «сотового легкого» и субплеврального ретикулярного рисунка, особенно в базальных отделах, при минимальном или отсутствующем компоненте «матового стекла». При лимфоидной интерстициальной пневмонии кистозные изменения могут присутствовать, но «сотовое легкое» встречается реже и фиброз менее выражен на ранних стадиях. Гистологически ИЛФ характеризуется паттерном обычной интерстициальной пневмонии с неоднородным распределением фиброза и фокусов фибробластов, чего нет при ЛИП.
- Неспецифическая интерстициальная пневмония (НСИП): Может быть клеточной или фиброзной. НСИП и лимфоидная интерстициальная пневмония имеют сходные черты на КТВР (например, «матовое стекло», ретикуляция). Однако при НСИП лимфоидная инфильтрация, как правило, менее выражена и не образует реактивных фолликулов в такой степени, как при ЛИП. Часто ассоциируется с системными заболеваниями соединительной ткани.
- Гиперчувствительный пневмонит (ГП): Развивается в ответ на ингаляцию антигенов. На КТВР часто выявляются центрилобулярные узелки, паттерн «головы сыра» (мозаичная аттенуация с воздушными ловушками) и признаки хронического ГП с фиброзом. Гистологически характеризуется наличием гранулем и преимущественно лимфоцитарной инфильтрацией, которая, однако, имеет иное распределение и клеточный состав, нежели при ЛИП.
- Саркоидоз: Гранулематозное заболевание. На КТВР чаще видны крупные лимфатические узлы в средостении и гилюсах, перилимфатические узелки вдоль бронховаскулярных пучков, плевры и междольковых перегородок. Гистологически отличается наличием неказеозных гранулем, что не характерно для лимфоидной интерстициальной пневмонии.
- Криптогенная организующая пневмония (КОП) / Бронхиолит с организующейся пневмонией (БООП): Характеризуется наличием перибронхиальных или субплевральных консолидаций на КТВР, которые могут мигрировать. В отличие от ЛИП, при КОП/БООП выражен преимущественно интраальвеолярный воспалительный процесс, а не интерстициальная лимфоидная инфильтрация.
Разграничение лимфоидной интерстициальной пневмонии и лимфопролиферативных заболеваний легких
Это, пожалуй, наиболее критичный аспект дифференциальной диагностики, поскольку лимфоидная интерстициальная пневмония, хотя и является доброкачественной, иногда может быть связана с риском трансформации в лимфому или изначально ошибочно принята за нее. Правильное разграничение имеет решающее значение, так как лечение лимфомы кардинально отличается от терапии лимфоидной интерстициальной пневмонии.
Основные состояния для дифференциации:
- Мальтома (MALT-лимфома легкого): Это низкозлокачественная лимфома маргинальной зоны. На КТВР могут быть схожие изменения: зоны «матового стекла», консолидации, узелки. Однако при MALT-лимфоме чаще наблюдаются солидные образования, узелки, иногда с перибронховаскулярным распределением. Ключевое отличие заключается в гистологии и иммуногистохимии: при MALT-лимфоме обнаруживается моноклональная пролиферация В-лимфоцитов, часто с признаками атипии, в то время как при лимфоидной интерстициальной пневмонии инфильтрат поликлональный и зрелый.
- Диффузная крупноклеточная В-клеточная лимфома (ДКВКЛ): Более агрессивное лимфопролиферативное заболевание. На КТВР часто представлена крупными, часто солидными массами или узлами, нередко с распадом. Гистологически характеризуется выраженной атипией клеток, высокой митотической активностью и моноклональным характером пролиферации.
- Псевдолимфома легкого: Термин, который исторически использовался для описания доброкачественных лимфоидных инфильтратов. В современной классификации многие случаи, ранее называвшиеся псевдолимфомой, теперь рассматриваются как лимфоидная интерстициальная пневмония или низкозлокачественные MALT-лимфомы. Отличительные особенности схожи с ЛИП – поликлональность, отсутствие атипии.
Другие состояния, требующие дифференциальной диагностики
Помимо интерстициальных и лимфопролиферативных заболеваний, лимфоидная интерстициальная пневмония может быть ошибочно принята за ряд других патологий:
- Инфекционные заболевания легких:
- Хронические бактериальные пневмонии: Особенно у пациентов с иммунодефицитами. Диагноз устанавливается на основании микробиологических данных (посевы мокроты, БАЛ), ответа на антибактериальную терапию.
- Туберкулез: Может проявляться инфильтративными изменениями, лимфаденопатией. Диагностика базируется на выявлении микобактерий и специфических гранулем.
- Вирусные пневмонии: Включая цитомегаловирусную или вирус Эпштейна-Барр, особенно у лиц с ослабленным иммунитетом. Могут вызывать лимфоцитарную инфильтрацию. Для дифференциации важны серологические тесты и ПЦР.
- Грибковые инфекции легких: Например, аспергиллез, криптококкоз, гистоплазмоз. Диагностируются путем выявления грибов в мокроте, БАЛ или биоптатах.
- Опухолевые процессы:
- Бронхиолоальвеолярный рак (ныне аденокарцинома in situ или минимально инвазивная аденокарцинома): Может иметь вид «матового стекла» на КТВР. Дифференциация крайне важна и основывается на гистологических признаках клеточной атипии и инвазии.
- Метастатическое поражение легких: Может проявляться множественными узелками или лимфангитом, но обычно без выраженной лимфоидной инфильтрации.
- Сосудистые заболевания:
- Гранулематоз с полиангиитом (Вегенера): Системный васкулит, поражающий легкие. Характеризуется наличием узлов, полостей, кровоизлияний. Диагностируется по системным проявлениям, ANCA-антителам и специфической гистологии.
- Легочный амилоидоз: Редкое заболевание, при котором аномальные белки откладываются в легочной ткани. Может проявляться диффузными изменениями, но гистологически отличается наличием амилоидных отложений.
Роль диагностических методов в дифференциации ЛИП
Для точного разграничения лимфоидной интерстициальной пневмонии от других заболеваний легких используется комплекс диагностических методов. Каждый из них предоставляет уникальную информацию, которая в совокупности позволяет поставить верный диагноз.
Ниже представлена сравнительная таблица, демонстрирующая ключевые отличия лимфоидной интерстициальной пневмонии от наиболее частых заболеваний, с которыми ее необходимо дифференцировать:
| Признак | Лимфоидная интерстициальная пневмония (ЛИП) | Идиопатический легочный фиброз (ИЛФ) | Неспецифическая интерстициальная пневмония (НСИП) | MALT-лимфома легкого | Саркоидоз |
|---|---|---|---|---|---|
| Клинические особенности | Медленное прогрессирование, часто ассоциирована с СШ, ВИЧ, ОВИД; менее выраженная одышка на ранних стадиях. | Прогрессирующая одышка, сухой кашель, "крепитация велкро", пожилой возраст. | Развитие симптомов от нескольких месяцев до нескольких лет, часто ассоциирована с аутоиммунными заболеваниями. | Часто бессимптомна или легкий кашель, одышка. | Может быть бессимптомным, легочные и внелегочные проявления (увеличение лимфоузлов, поражение кожи, глаз). |
| КТВР признаки | Зоны "матового стекла", мелкие кисты (часто перибронхиальные/периваскулярные), утолщение перегородок, перибронховаскулярное утолщение. | "Сотовое легкое", ретикулярные изменения, тракционные бронхоэктазы, субплевральное и базальное распределение, отсутствие "матового стекла". | "Матовое стекло", ретикулярные изменения, бронхоэктазы, субплевральное распределение, но без "сотового легкого". | Узелки, солидные консолидации, иногда "матовое стекло". Может быть односторонняя. | Лимфаденопатия средостения/корней, перилимфатические узелки (вдоль бронхов, сосудов, перегородок). |
| Гистологическое исследование | Диффузная поликлональная инфильтрация зрелыми лимфоцитами, плазматическими клетками, реактивные лимфоидные фолликулы, отсутствие атипии. | Паттерн обычной интерстициальной пневмонии (ОИП): неоднородный фиброз, фокусы фибробластов, "сотовое легкое". | Однородный интерстициальный фиброз или клеточная инфильтрация, без "сотового легкого" и фокусов фибробластов. | Моноклональная пролиферация В-лимфоцитов, атипия, лимфоэпителиальные поражения, инфильтрация стенок бронхов. | Неказеозные гранулемы, часто с гигантскими многоядерными клетками. |
| Бронхоальвеолярный лаваж (БАЛ) | Лимфоцитоз (более 40%), соотношение CD4/CD8 обычно снижено. | Преимущественно нейтрофилы, редко лимфоциты. | Лимфоцитоз, но менее выраженный, чем при ЛИП, без специфических изменений CD4/CD8. | Неспецифические изменения, может быть лимфоцитоз. | Лимфоцитоз (до 70%), соотношение CD4/CD8 повышено (более 3,5). |
| Сопутствующие состояния | Синдром Шегрена, ВИЧ, ОВИД, другие аутоиммунные заболевания. | Идиопатический. | Аутоиммунные заболевания, лекарственные поражения. | Хронические инфекции (ВГС, ВЭБ), аутоиммунные заболевания (синдром Шегрена, РА). | Неизвестна, генетическая предрасположенность. |
| Лечение | Глюкокортикостероиды, иммуносупрессанты. | Антифибротические препараты (нинтенданиб, пирфенидон). | Глюкокортикостероиды, иммуносупрессанты. | Наблюдение, химиотерапия, лучевая терапия, таргетная терапия. | Глюкокортикостероиды, иммуносупрессанты при активном заболевании. |
Мультидисциплинарный подход, включающий мнения пульмонолога, радиолога и патолога, является краеугольным камнем в точной дифференциальной диагностике лимфоидной интерстициальной пневмонии. Тщательный анализ совокупности данных позволяет избежать диагностических ошибок и обеспечить наилучшее ведение каждого пациента.
Современные подходы к лечению ЛИП: терапия лимфоидной интерстициальной пневмонии
Лечение лимфоидной интерстициальной пневмонии (ЛИП) направлено на подавление хронического воспаления, замедление прогрессирования заболевания, предотвращение развития фиброза легких и улучшение качества жизни пациента. Учитывая редкость лимфоидной интерстициальной пневмонии и ее частую связь с системными аутоиммунными заболеваниями или иммунодефицитными состояниями, терапевтическая стратегия всегда индивидуализирована. Для выбора наиболее эффективного подхода необходим тщательный анализ основной причины, если таковая имеется. Своевременное начало лечения лимфоидной интерстициальной пневмонии критически важно для контроля патологического процесса и предотвращения необратимых изменений в легочной ткани.
Общие принципы и цели терапии лимфоидной интерстициальной пневмонии
Терапия лимфоидной интерстициальной пневмонии сосредоточена на контроле над аномальной пролиферацией лимфоидных клеток в легких. Успешное лечение способствует стабилизации состояния, а в некоторых случаях — частичному обратному развитию легочных изменений. Основные цели лечения включают:
- Подавление активности воспалительного процесса: Снижение количества и активности иммунных клеток, инфильтрирующих легочную ткань, что уменьшает отек и повреждение.
- Предотвращение легочного фиброза: Замедление или остановка образования рубцовой ткани в легких, которая является необратимой и ведет к значительному снижению легочной функции.
- Стабилизация или улучшение функции легких: Поддержание или, по возможности, улучшение показателей внешнего дыхания и газообмена.
- Облегчение симптомов: Уменьшение одышки, кашля, утомляемости и других беспокоящих проявлений заболевания.
- Лечение основного ассоциированного заболевания: При наличии связи лимфоидной интерстициальной пневмонии с другой патологией (например, синдромом Шегрена, ВИЧ-инфекцией), адекватная терапия этого состояния часто приводит к улучшению легочных проявлений.
Фармакологическая терапия лимфоидной интерстициальной пневмонии
Основой медикаментозного лечения лимфоидной интерстициальной пневмонии являются глюкокортикостероиды и иммуносупрессивные препараты. Выбор конкретного препарата, его дозировка и продолжительность курса зависят от тяжести заболевания, скорости его прогрессирования, наличия сопутствующих состояний и индивидуального ответа пациента на лечение.
Глюкокортикостероиды
Препараты этой группы являются первой линией терапии для большинства пациентов с активной лимфоидной интерстициальной пневмонией. Их эффективность обусловлена мощным противовоспалительным и иммуносупрессивным действием, которое помогает уменьшить лимфоцитарную инфильтрацию и предотвратить дальнейшее повреждение легких. Глюкокортикостероиды способствуют снижению активности иммунных клеток и выработки провоспалительных цитокинов.
- Преднизолон или метилпреднизолон: Эти препараты назначаются перорально. Начальная доза обычно составляет 0,5-1 мг/кг массы тела в сутки (часто до 60 мг/сут для взрослых) и поддерживается в течение 4-8 недель. После достижения клинического улучшения и стабилизации показателей функции внешнего дыхания доза постепенно снижается до минимально эффективной поддерживающей дозы (например, 5-10 мг/сут преднизолона) под строгим медицинским контролем. Длительность терапии может варьироваться от нескольких месяцев до нескольких лет, в зависимости от индивидуальной реакции пациента и формы лимфоидной интерстициальной пневмонии.
- Пульс-терапия метилпреднизолоном: В случаях быстрого прогрессирования заболевания или тяжелого обострения может быть применена внутривенная пульс-терапия высокими дозами метилпреднизолона (например, 500-1000 мг в течение 3-5 дней), с последующим переходом на пероральный прием поддерживающей дозы.
При длительном применении глюкокортикостероидов важно учитывать риск развития побочных эффектов, таких как остеопороз, сахарный диабет, повышение артериального давления, язва желудка, катаракта. Для их профилактики или минимизации могут потребоваться дополнительные медикаменты (например, препараты кальция и витамина D, бисфосфонаты, ингибиторы протонной помпы) и регулярное диспансерное наблюдение.
Иммуносупрессивные препараты (стероидсберегающие препараты)
В случаях недостаточной эффективности или плохой переносимости глюкокортикостероидов, а также для снижения их дозы и уменьшения побочных эффектов, назначаются другие иммуносупрессивные препараты. Эти средства воздействуют на различные звенья иммунного ответа, подавляя пролиферацию и функцию лимфоцитов.
К наиболее часто используемым препаратам относятся:
- Азатиоприн: Антиметаболит, подавляющий пролиферацию В- и Т-лимфоцитов. Дозировка обычно начинается с 50 мг/сут и постепенно увеличивается до 1-2,5 мг/кг/сут при хорошей переносимости. Требуется регулярный контроль показателей крови (развернутый анализ крови с лейкоцитарной формулой) из-за потенциального риска миелосупрессии.
- Микофенолата мофетил: Еще один антиметаболит, используемый для подавления пролиферации лимфоцитов. Типичная доза составляет 1-1,5 г дважды в сутки. Также требует контроля показателей крови и функции печени.
- Циклофосфамид: Мощный алкилирующий агент, применяемый в более тяжелых или рефрактерных случаях лимфоидной интерстициальной пневмонии. Его использование ограничено из-за выраженных побочных эффектов, таких как миелосупрессия, геморрагический цистит, повышенный риск инфекций и вторичных злокачественных новообразований. Назначается под строгим медицинским наблюдением.
- Ритуксимаб: Моноклональное антитело, нацеленное на В-лимфоциты, экспрессирующие CD20. Он может быть показан при лимфоидной интерстициальной пневмонии, ассоциированной с синдромом Шегрена или другими аутоиммунными заболеваниями, особенно при наличии выраженной В-клеточной активации. Обычно вводится внутривенно в нескольких курсах.
Антифибротические препараты
В настоящее время антифибротические препараты, такие как нинтеданиб и пирфенидон, которые эффективно используются для лечения идиопатического легочного фиброза, не имеют зарегистрированных показаний для лимфоидной интерстициальной пневмонии. Однако, если при длительном течении ЛИП развивается значительный фибротический компонент, резистентный к стандартной иммуносупрессивной терапии, их применение может рассматриваться вне зарегистрированных показаний в индивидуальном порядке, особенно если морфологически подтверждается выраженное рубцевание. Решение о назначении этих препаратов принимается коллегиально после тщательной оценки потенциальных рисков и пользы для пациента.
Лечение ассоциированных состояний
При ассоциированной лимфоидной интерстициальной пневмонии важнейшим компонентом лечения является адекватная терапия основного заболевания. Успешный контроль над сопутствующей патологией может значительно улучшить прогноз и течение лимфоидной интерстициальной пневмонии. Лечение направлено на устранение или уменьшение влияния причины, вызвавшей иммунную дисрегуляцию.
- ВИЧ-инфекция: Ключевой является высокоактивная антиретровирусная терапия (ВААРТ). Применение ВААРТ позволяет восстановить иммунный статус пациента, что часто приводит к обратному развитию лимфоидной интерстициальной пневмонии или стабилизации патологического процесса в легких.
- Синдром Шегрена и другие аутоиммунные заболевания: Лечение основного аутоиммунного заболевания (например, глюкокортикостероидами, иммуносупрессантами, биологическими препаратами) может значительно снизить активность лимфоидной интерстициальной пневмонии как одного из внежелезистых проявлений.
- Первичные иммунодефициты: В этих случаях может потребоваться заместительная терапия внутривенными иммуноглобулинами (ВВИГ) для коррекции иммунодефицита, что помогает контролировать лимфопролиферативный процесс.
Поддерживающая терапия и реабилитация
Помимо специфической фармакологической терапии, большое значение имеет поддерживающее лечение, направленное на облегчение симптомов и улучшение общего состояния пациента. Комплексный подход значительно повышает эффективность основного лечения.
- Кислородотерапия: Назначается пациентам с гипоксемией (снижением уровня кислорода в крови) в покое или при физической нагрузке. Длительная кислородотерапия улучшает качество жизни, уменьшает одышку, снижает нагрузку на сердце и может предотвратить развитие легочной гипертензии. Дозировка и режим подачи кислорода (постоянно, только во время сна или физической активности) определяются индивидуально по результатам пульсоксиметрии и анализа газов артериальной крови.
- Легочная реабилитация: Это комплексная программа, включающая физические упражнения, дыхательную гимнастику, образовательные программы и психологическую поддержку. Она помогает улучшить переносимость физических нагрузок, уменьшить одышку и повысить качество жизни, а также обучает пациентов стратегиям справления с болезнью.
- Вакцинация: Рекомендуется ежегодная вакцинация против гриппа и пневмококковая вакцинация для снижения риска тяжелых респираторных инфекций, которые могут усугубить состояние легких у пациентов с лимфоидной интерстициальной пневмонией, особенно получающих иммуносупрессивную терапию.
- Питательная поддержка: Пациентам с потерей веса или риском мальнутриции (недостаточного питания) может потребоваться консультация диетолога и специализированная питательная поддержка для поддержания адекватного энергетического баланса и укрепления организма.
- Профилактика и лечение инфекций: Прием иммуносупрессивных препаратов повышает риск инфекционных осложнений. Важно регулярное обследование на предмет инфекций и своевременное назначение антимикробной терапии при их выявлении.
Мониторинг эффективности лечения и возможных осложнений
После начала терапии пациент с лимфоидной интерстициальной пневмонией нуждается в регулярном и тщательном наблюдении. Это позволяет оценить эффективность лечения, своевременно выявить побочные эффекты и скорректировать терапевтическую стратегию. План наблюдения обычно включает комплексную оценку состояния пациента.
| Метод наблюдения | Что оценивается | Периодичность | Значение для контроля ЛИП |
|---|---|---|---|
| Клиническая оценка | Одышка, кашель, общее состояние, вес, переносимость нагрузки. | Каждые 1-3 месяца | Позволяет выявить динамику симптомов и общее улучшение/ухудшение. |
| Функциональные тесты легких (ФВД) | Спирометрия, DLCO, объемы легких. | Каждые 3-6 месяцев | Оценка динамики легочной функции и газообмена. |
| Компьютерная томография высокого разрешения (КТВР) | Изменения в легочной ткани (инфильтрация, кисты, фиброз). | Каждые 6-12 месяцев (или чаще при ухудшении) | Визуализация прогрессирования/стабилизации/регресса легочных изменений. |
| Лабораторные анализы | Общий и биохимический анализ крови, функция печени/почек, электролиты, уровень иммуноглобулинов, маркеры воспаления. | Регулярно, в зависимости от терапии (например, каждые 2-4 недели при приеме иммуносупрессантов). | Контроль побочных эффектов терапии, активности воспаления, состояния иммунной системы. |
| Обследование на развитие лимфомы | Появление новых лимфатических узлов, солидных образований в легких, В-симптомов (лихорадка, ночная потливость, потеря веса). | При каждом посещении врача, при появлении новых симптомов. | Раннее выявление потенциальной трансформации ЛИП в лимфому. |
Таким образом, терапия лимфоидной интерстициальной пневмонии является многокомпонентным процессом, требующим индивидуального подхода и тщательного контроля. Своевременно начатое и правильно подобранное лечение способно значительно улучшить прогноз и качество жизни пациентов, замедлить прогрессирование заболевания и предотвратить развитие тяжелых осложнений.
Управление состоянием и улучшение качества жизни при ЛИП: практические рекомендации
Управление состоянием при лимфоидной интерстициальной пневмонии (ЛИП) выходит за рамки медикаментозной терапии и охватывает комплекс мер, направленных на сведение к минимуму симптомов, предотвращение осложнений и повышение общего качества жизни. Комплексный подход, включающий изменение образа жизни, психологическую поддержку и тесное сотрудничество с врачами, играет решающую роль в стабилизации течения заболевания и замедлении его прогрессирования. Активное участие пациента в процессе лечения позволяет достигать лучших результатов и поддерживать функциональную активность.
Важность легочной реабилитации и физической активности при ЛИП
Легочная реабилитация представляет собой неотъемлемую часть ведения пациентов с лимфоидной интерстициальной пневмонией. Эта программа помогает улучшить функции легких, повысить переносимость физических нагрузок, уменьшить одышку и справиться с чувством усталости. Регулярные, специально подобранные упражнения укрепляют дыхательную мускулатуру, улучшают эффективность газообмена и общую выносливость организма.
- Индивидуальная программа упражнений: Специалист по легочной реабилитации разрабатывает программу, учитывающую текущее состояние пациента, степень одышки и сопутствующие заболевания. Программа может включать аэробные упражнения (ходьба, езда на велотренажере), силовые тренировки и растяжку. Начинать следует с низких нагрузок, постепенно увеличивая их интенсивность и продолжительность.
- Дыхательная гимнастика: Освоение специальных дыхательных техник значительно облегчает дыхание и снижает энергетические затраты. К ним относятся диафрагмальное дыхание (дыхание животом), которое укрепляет диафрагму и улучшает вентиляцию нижних отделов легких, а также дыхание через сомкнутые губы, помогающее контролировать частоту дыхания, уменьшать одышку и улучшать газообмен. Регулярное выполнение этих упражнений способствует более полному опорожнению легких от углекислого газа и улучшению поступления кислорода.
- Оценка насыщения крови кислородом: Во время физической активности важно контролировать насыщение крови кислородом с помощью пульсоксиметра. Если насыщение значительно падает, может потребоваться корректировка интенсивности упражнений или использование дополнительной кислородотерапии.
Перед началом любой программы физической активности обязательно проконсультируйтесь с лечащим врачом и специалистом по легочной реабилитации, чтобы избежать перенапряжения и определить безопасный уровень нагрузки.
Рационализация питания и поддержание здорового образа жизни
Правильное питание играет ключевую роль в поддержании сил, борьбе с воспалением и сведении к минимуму побочных эффектов от лечения лимфоидной интерстициальной пневмонии. Недостаточное или несбалансированное питание может усугубить усталость и замедлить выздоровление.
- Сбалансированное питание: Включите в свое питание разнообразные продукты, богатые витаминами, минералами и антиоксидантами. Отдавайте предпочтение свежим фруктам, овощам, цельнозерновым продуктам, нежирным источникам белка (рыба, птица, бобовые) и полезным жирам (оливковое масло, орехи, авокадо). Ограничьте потребление обработанных продуктов, нездоровой пищи, избытка сахара и насыщенных жиров, так как они могут усиливать воспаление.
- Частые, небольшие приемы пищи: Для людей с одышкой большие порции могут создавать дополнительную нагрузку на диафрагму и вызывать дискомфорт. Разделите суточный объем пищи на 5-6 небольших приемов, чтобы облегчить процесс пищеварения и обеспечить организм постоянным притоком энергии.
- Достаточное потребление жидкости: Употребляйте достаточное количество воды, чтобы слизь в дыхательных путях оставалась менее вязкой и легче отходила. Избегайте обезвоживания.
- Управление весом: Как избыточный, так и недостаточный вес негативно влияют на функции легких и общее состояние. Поддержание здорового веса, рекомендованного врачом, способствует более эффективному дыханию и снижает нагрузку на организм.
- Корректировка побочных эффектов терапии: Если вы принимаете глюкокортикостероиды, важно контролировать уровень сахара в крови и потребление соли, чтобы свести к минимуму риск развития сахарного диабета и повышения артериального давления. Обсудите с врачом возможные диетические рекомендации для профилактики остеопороза.
Психологическая поддержка и методы управления стрессом
Жизнь с хроническим заболеванием, таким как лимфоидная интерстициальная пневмония, может вызывать стресс, тревогу и депрессию. Управление этими эмоциями является важной частью поддержания качества жизни. Психологическое благополучие напрямую влияет на физическое состояние.
- Психологическое консультирование: Индивидуальные или групповые занятия с психологом или психотерапевтом могут помочь справиться с эмоциональными трудностями, научиться техникам расслабления и развить стратегии адаптации к заболеванию.
- Группы поддержки: Общение с другими людьми, страдающими от аналогичных заболеваний, может обеспечить ценную эмоциональную поддержку, чувство принадлежности и возможность обменяться опытом и практическими советами.
- Техники расслабления: Ежедневная практика глубокого дыхания, медитации, йоги или других методов расслабления помогает снизить уровень стресса, улучшить сон и общее самочувствие.
- Поддержание социальной активности: Не изолируйтесь от друзей и семьи. Поддерживайте социальные связи и занимайтесь любимыми хобби, адаптируя их при необходимости.
Отказ от вредных привычек и создание безопасной среды
Сведение к минимуму воздействия вредных факторов окружающей среды и отказ от вредных привычек критически важны для замедления прогрессирования лимфоидной интерстициальной пневмонии и защиты легких от дополнительного повреждения.
- Полный отказ от курения: Курение является одним из наиболее агрессивных факторов, повреждающих легкие. Полный отказ от курения (активного и пассивного) — это обязательное условие для всех пациентов с ЛИП, способствующее замедлению прогрессирования заболевания и улучшению прогноза.
- Избегание воздействия раздражителей: Старайтесь избегать вдыхания дыма, пыли, химических веществ, сильных запахов и аллергенов, которые могут вызывать раздражение дыхательных путей и усугублять воспаление в легких. Это включает избегание задымленных мест, использование масок при работе с пылью или химикатами, а также регулярную уборку в доме для уменьшения пыли и плесени.
- Поддержание чистоты воздуха в помещении: Используйте воздушные фильтры или очистители воздуха в доме, особенно если у вас есть аллергия или повышенная чувствительность к частицам в воздухе. Поддерживайте оптимальный уровень влажности (40-60%), чтобы предотвратить сухость дыхательных путей или, наоборот, рост плесени.
Профилактика инфекций и своевременное обращение за помощью
Пациенты с лимфоидной интерстициальной пневмонией, особенно те, кто получает иммуносупрессивную терапию, имеют повышенный риск развития респираторных инфекций. Их профилактика и своевременное лечение критически важны.
- Вакцинация: Обязательно ежегодно проходите вакцинацию против гриппа. Также рекомендуется пневмококковая вакцинация, чтобы защититься от бактериальных пневмоний. Обсудите с врачом другие рекомендуемые прививки.
- Соблюдение гигиены: Регулярное мытье рук с мылом и водой, особенно после посещения общественных мест, помогает предотвратить распространение инфекций. Избегайте контакта с больными людьми.
- Раннее выявление инфекций: При появлении таких симптомов, как повышение температуры, усиление кашля с отхождением мокроты, увеличение одышки, боли в груди, немедленно обратитесь к врачу. Раннее начало лечения инфекций предотвращает их тяжелое течение и осложнения.
Наблюдение за симптомами и тесное взаимодействие с медицинскими специалистами
Активное участие в собственном лечении и регулярное взаимодействие с командой врачей помогают эффективно управлять лимфоидной интерстициальной пневмонией и своевременно реагировать на любые изменения в состоянии здоровья.
- Ведение дневника симптомов: Записывайте изменения в одышке, кашле, уровне усталости, а также любые новые или усиливающиеся симптомы. Это поможет вам и вашему врачу отслеживать динамику заболевания и эффективность лечения.
- Регулярные обследования: Строго следуйте графику плановых визитов к пульмонологу и другим специалистам, а также регулярно проходите контрольные обследования (КТВР, ФВД, лабораторные анализы), назначенные врачом. Это позволяет своевременно выявить прогрессирование заболевания или развитие осложнений.
- Соблюдение предписаний: Строго следуйте всем рекомендациям врача относительно приема препаратов, их дозировок и продолжительности курса. Не прекращайте лечение и не изменяйте дозировку самостоятельно.
- Информированность: Активно задавайте вопросы своему врачу, чтобы полностью понимать природу вашего заболевания, план лечения и возможные побочные эффекты. Чем лучше вы информированы, тем более эффективно сможете управлять своим состоянием.
Эффективное управление лимфоидной интерстициальной пневмонией и улучшение качества жизни при ЛИП требуют постоянных усилий и системного подхода. Комплексная забота о своем здоровье, включающая медикаментозное лечение, легочную реабилитацию, здоровый образ жизни, психологическую поддержку и тесное сотрудничество с медицинскими специалистами, позволяет достигать максимальной стабилизации состояния и поддерживать активный образ жизни.
Прогноз и контроль ЛИП: долгосрочное наблюдение при лимфоидной интерстициальной пневмонии
Долгосрочное наблюдение и понимание прогноза лимфоидной интерстициальной пневмонии (ЛИП) являются ключевыми аспектами успешного управления этим редким заболеванием. Прогноз ЛИП значительно варьируется и зависит от множества факторов, включая форму заболевания (идиопатическая или ассоциированная), степень тяжести на момент диагностики, наличие и выраженность фибротических изменений в легких, ответ на начальную терапию, а также развитие осложнений. Эффективный контроль позволяет своевременно выявлять прогрессирование заболевания, корректировать лечение и предотвращать тяжелые последствия, тем самым значительно улучшая качество и продолжительность жизни пациентов.
Факторы, влияющие на прогноз лимфоидной интерстициальной пневмонии
Исход лимфоидной интерстициальной пневмонии определяется совокупностью клинических и патологических характеристик. Понимание этих факторов помогает врачам и пациентам оценить потенциальное течение заболевания и разработать индивидуальный план ведения.
- Форма ЛИП: Прогноз ассоциированной лимфоидной интерстициальной пневмонии часто тесно связан с основным заболеванием. Например, при ВИЧ-инфекции своевременное и эффективное применение антиретровирусной терапии может привести к значительному улучшению или даже обратному развитию легочных проявлений. В то время как идиопатическая лимфоидная интерстициальная пневмония, при отсутствии явной причины, может иметь более непредсказуемое течение.
- Степень фиброза легких: Наличие и прогрессирование легочного фиброза является наиболее значимым негативным прогностическим фактором. Фиброз легких необратим и ведет к стойкому снижению функции легких и развитию хронической дыхательной недостаточности. У пациентов с выраженным фиброзом прогноз хуже, чем у тех, у кого преобладает клеточная инфильтрация без значительного рубцевания.
- Ответ на терапию: Хороший ответ на начальное лечение глюкокортикостероидами и/или иммунодепрессивными препаратами, проявляющийся стабилизацией или улучшением функции легких и радиологической картины, ассоциируется с более благоприятным прогнозом. Отсутствие ответа или прогрессирование заболевания на фоне лечения указывает на более тяжелое течение.
- Возраст на момент диагностики: У детей с лимфоидной интерстициальной пневмонией, особенно ассоциированной с ВИЧ, прогноз может быть относительно благоприятным при раннем начале антиретровирусной терапии. У взрослых, особенно пожилых, заболевание часто протекает более тяжело и имеет менее благоприятный прогноз.
- Наличие осложнений: Развитие таких осложнений, как легочная гипертензия, правожелудочковая сердечная недостаточность (cor pulmonale) или трансформация в лимфому, значительно ухудшает прогноз и требует немедленной коррекции лечебной тактики.
Долгосрочное наблюдение и динамическая оценка состояния при ЛИП
Регулярный и всесторонний контроль необходим для оценки эффективности проводимой терапии, своевременного выявления прогрессирования лимфоидной интерстициальной пневмонии и развития потенциальных осложнений. План наблюдения должен быть индивидуализирован и учитывать особенности течения заболевания у конкретного пациента.
Клинический контроль
Наблюдение за клиническими симптомами является первым и одним из важнейших этапов долгосрочного контроля. При каждом визите к врачу проводится тщательная оценка состояния пациента.
- Оценка симптомов: Врач оценивает динамику одышки (ее выраженность при нагрузке и в покое), характер кашля, наличие утомляемости, слабости, необъяснимой потери веса или повышения температуры. Усиление этих симптомов может свидетельствовать о прогрессировании заболевания или развитии осложнений.
- Физикальный осмотр: Включает аускультацию легких (для выявления новых или усиления старых хрипов), оценку наличия цианоза, «барабанных палочек» и «часовых стекол» на пальцах, которые являются признаками хронической гипоксемии.
Инструментальные методы контроля
Объективная оценка состояния легких требует регулярного проведения инструментальных исследований, позволяющих визуализировать изменения в легочной ткани и измерить функциональные параметры.
- Компьютерная томография высокого разрешения (КТВР): Этот метод является основным для контроля структурных изменений в легких. Регулярные КТВР-исследования (обычно каждые 6-12 месяцев или чаще при клиническом ухудшении) позволяют оценить динамику таких изменений, как зоны «матового стекла», кистозные образования, утолщение междольковых перегородок и, самое главное, выявить появление или прогрессирование фиброза. КТВР также помогает обнаружить увеличение лимфатических узлов или появление объемных образований, что может указывать на трансформацию в лимфому.
- Исследование функции внешнего дыхания (ФВД): Регулярное проведение спирометрии, определение объемов легких и диффузионной способности легких по монооксиду углерода (DLCO) имеет решающее значение.
- Спирометрия: Отслеживание показателей жизненной емкости легких (ЖЕЛ) и форсированной жизненной емкости легких (ФЖЕЛ) позволяет оценить степень рестриктивных нарушений. Стабильность или улучшение этих показателей указывает на контроль над заболеванием.
- Диффузионная способность легких (DLCO): Является одним из наиболее чувствительных индикаторов газообмена. Ее снижение свидетельствует об ухудшении газообмена и может быть ранним признаком прогрессирования лимфоидной интерстициальной пневмонии.
- Тест с 6-минутной ходьбой: Помогает оценить переносимость физической нагрузки и выявить десатурацию (снижение насыщения крови кислородом) при нагрузке, что соотносится с тяжестью заболевания и прогнозом.
Лабораторный контроль
Лабораторные исследования позволяют отслеживать системное воспаление, контролировать побочные эффекты терапии и выявлять ассоциированные состояния.
- Общий и биохимический анализ крови: Контролируются показатели воспаления (СОЭ, СРБ), а также функции почек и печени, которые могут быть затронуты как самим заболеванием, так и медикаментозной терапией (особенно иммунодепрессантами).
- Иммунологические показатели: При ассоциированной лимфоидной интерстициальной пневмонии (например, с системными аутоиммунными заболеваниями) может быть необходим периодический контроль специфических аутоантител. Уровни иммуноглобулинов также могут контролироваться, особенно при наличии иммунодефицитов или при подозрении на трансформацию в лимфому.
- Контроль ВИЧ-статуса и вирусной нагрузки: У пациентов с ВИЧ-ассоциированной лимфоидной интерстициальной пневмонией необходим регулярный контроль вирусной нагрузки и числа CD4-лимфоцитов для оценки эффективности антиретровирусной терапии, что напрямую влияет на легочные проявления.
Раннее выявление осложнений и злокачественной трансформации
Лимфоидная интерстициальная пневмония, хотя и является доброкачественным заболеванием, несет в себе риски развития серьезных осложнений, которые требуют постоянного внимания и специализированного подхода.
- Прогрессирование легочного фиброза: Если несмотря на лечение, на КТВР отмечается нарастание фиброзных изменений, это может потребовать пересмотра терапевтической тактики. Развитие «сотового легкого» является неблагоприятным признаком.
- Легочная гипертензия: Признаками ее развития могут быть усиливающаяся одышка, отеки ног, боли в груди. Для диагностики проводится эхокардиография с допплеровским исследованием, а при необходимости — катетеризация правых отделов сердца.
- Трансформация в лимфому: Хотя этот риск невелик, он является наиболее серьезным осложнением лимфоидной интерстициальной пневмонии. При подозрении на трансформацию (появление новых объемных образований на КТВР, увеличение лимфатических узлов, "В-симптомы" - лихорадка, ночная потливость, потеря веса) показано проведение повторной биопсии легкого или лимфатического узла с иммуногистохимическим исследованием для исключения лимфомы низкой или высокой степени злокачественности.
- Инфекционные осложнения: На фоне иммунодепрессивной терапии пациенты более подвержены респираторным инфекциям. Любое ухудшение состояния с появлением лихорадки, продуктивного кашля или усилением одышки требует немедленного обследования для исключения пневмонии или других инфекций.
Роль междисциплинарного подхода в долгосрочном наблюдении
Ведение пациентов с лимфоидной интерстициальной пневмонией — это задача для команды специалистов. Регулярные междисциплинарные консилиумы, включающие пульмонолога, рентгенолога, патолога, ревматолога и, при необходимости, инфекциониста или онколога, обеспечивают наиболее точную интерпретацию всех данных, оптимизацию терапевтической тактики и своевременное реагирование на изменения в течении заболевания. Такой комплексный подход особенно важен при пересмотре диагноза, коррекции терапии или при подозрении на развитие серьезных осложнений.
Для удобства ниже представлена таблица с рекомендуемой периодичностью основных методов долгосрочного контроля лимфоидной интерстициальной пневмонии:
| Метод наблюдения | Что оценивается | Рекомендуемая периодичность | Значение для долгосрочного прогноза и контроля |
|---|---|---|---|
| Клинический осмотр и оценка симптомов | Динамика одышки, кашля, утомляемости, веса, общий статус. | Каждые 3-6 месяцев, чаще при активном заболевании. | Выявление клинического ухудшения или улучшения, корректировка симптоматической терапии. |
| Исследование функции внешнего дыхания (ФВД) | ЖЕЛ, ФЖЕЛ, DLCO, объемы легких. | Каждые 6-12 месяцев, чаще при прогрессировании. | Объективная оценка легочной функции и газообмена, выявление рестриктивных нарушений и снижения DLCO. |
| Компьютерная томография высокого разрешения (КТВР) | Прогрессирование инфильтрации, кист, появление фиброза, исключение лимфомы. | Каждые 6-12 месяцев или по клиническим показаниям. | Визуализация структурных изменений в легких, оценка эффективности терапии, выявление осложнений. |
| Общий и биохимический анализ крови | Показатели воспаления (СОЭ, СРБ), функции печени, почек, электролиты. | Каждые 1-3 месяца (при приеме иммунодепрессантов), затем реже. | Контроль системного воспаления, контроль побочных эффектов терапии. |
| Иммунологические исследования | Аутоантитела, уровни иммуноглобулинов. | По показаниям, при наличии ассоциированных заболеваний или их подозрении. | Контроль основного заболевания, выявление вторичных иммунодефицитов. |
| Обследование на ВИЧ и вирусную нагрузку | ВИЧ-статус, количество CD4, вирусная нагрузка. | По показаниям, для ВИЧ-ассоциированной ЛИП — согласно протоколам ВИЧ-терапии. | Оценка эффективности антиретровирусной терапии и ее влияния на легочные проявления. |
| Эхокардиография | Оценка давления в легочной артерии, функции правого желудочка. | Ежегодно или при подозрении на легочную гипертензию. | Выявление и контроль легочной гипертензии. |
Тщательное и регулярное наблюдение позволяет пациентам с лимфоидной интерстициальной пневмонией жить более полноценной жизнью, контролировать заболевание и минимизировать риски развития необратимых изменений и осложнений. Важно поддерживать постоянный контакт с лечащим врачом и следовать всем его рекомендациям.
Список литературы
- Интерстициальные заболевания легких. Клинические рекомендации Российского респираторного общества. — М., 2021.
- Пульмонология. Национальное руководство / Под ред. А.Г. Чучалина. — 3-е изд., перераб. и доп. — М.: ГЭОТАР-Медиа, 2020.
- Schmidt SL, Brown KK, Cagle PT, Colby TV, Fernandez-Perez ER, Galvin JR, et al. An official ATS/ERS statement: diagnosis and management of rare interstitial lung diseases. Am J Respir Crit Care Med. 2011 May 1;183(9):1414-39.
- Travis WD, Costabel U, Hansell DM, King TE Jr, Lynch DA, Nicholson AG, et al. An official American Thoracic Society/European Respiratory Society statement: Update of the international multidisciplinary classification of the idiopathic interstitial pneumonias. Am J Respir Crit Care Med. 2013 Sep 15;188(6):733-48.
- Harrison's Principles of Internal Medicine, 21st Edition / Edited by Joseph Loscalzo et al. — New York: McGraw Hill Education, 2022.
Читайте также
Кислородотерапия: полное руководство для свободного дыхания
Узнайте, что такое кислородотерапия, кому она показана, какие методы существуют и как безопасно применять её дома для улучшения качества жизни при заболеваниях легких.
Криптогенная организующаяся пневмония (КОП): обрести контроль над заболеванием
Разберитесь в симптомах, диагностике и современных методах лечения криптогенной организующейся пневмонии (КОП). Узнайте, как эффективно управлять этим легочным состоянием и улучшить прогноз.
Легочная гипертензия (ЛГ): полный гид по заболеванию от симптомов до лечения
Столкнулись с одышкой и усталостью, но не знаете причину? Наша статья поможет разобраться в причинах, симптомах и современных методах лечения этого сложного заболевания легких.
Легочный гистиоцитоз из клеток лангерганса: полное руководство для пациентов
Полное и достоверное руководство для пациентов о легочном гистиоцитозе из клеток Лангерганса (ЛГКЛ), включая причины, симптомы, методы диагностики, современные стратегии лечения и эффективные способы управления этим редким заболеванием легких.
Лимфангиолейомиоматоз (ЛАМ): полный гид по редкой патологии легких
Познакомьтесь с лимфангиолейомиоматозом (ЛАМ) – редким, но управляемым заболеванием легких. Узнайте о его природе, причинах, симптомах, современных методах диагностики и лечения, а также о способах поддержания качества жизни.
Микроскопический полиангиит (МПА) с поражением легких: полное руководство для пациентов
Подробное руководство для пациентов о микроскопическом полиангиите с акцентом на легочные проявления: причины, симптомы, диагностика, современные методы лечения и особенности жизни с заболеванием.
Муковисцидоз: обрести контроль над заболеванием и улучшить качество жизни
Полное руководство по муковисцидозу: от генетических причин и ранней диагностики до современных методов лечения, физиотерапии, питания и инновационных подходов, позволяющих вести полноценную жизнь.
Неинвазивная вентиляция легких (НИВ): метод поддержки дыхания без интубации
Изучите комплексную информацию о неинвазивной вентиляции легких: показания, принципы работы, типы аппаратов и режимов для эффективной поддержки дыхания и улучшения качества жизни без инвазивных процедур.
Неспецифическая интерстициальная пневмония (НСИП): ваш полный путеводитель
Погрузитесь в детальное изучение неспецифической интерстициальной пневмонии (НСИП): от её природы и причин до методов диагностики, современных подходов к лечению и рекомендаций по управлению состоянием, чтобы получить полное понимание этого заболевания легких.
Облитерирующий бронхиолит: полное руководство по диагностике и лечению
Разберитесь в облитерирующем бронхиолите (ОБ) с нашим экспертным руководством. Узнайте о причинах, симптомах, методах диагностики и современных подходах к лечению, чтобы обрести контроль над дыханием и жизнью.
Врачи пульмонологи
Пульмонолог, Терапевт
Пермский государственный медицинский университет им. акад. Е.А.Вагнера
Стаж работы: 32 л.
Пульмонолог
Челябинская государственная медицинская академия
Стаж работы: 24 л.
Пульмонолог
ЕГМУ
Стаж работы: 7 л.
