Муковисцидоз, известный также как кистозный фиброз, представляет собой наследственное системное заболевание, обусловленное мутацией гена CFTR. Эта генетическая поломка приводит к нарушению работы хлорных каналов в клетках экзокринных желез, что вызывает образование аномально густого и вязкого секрета. Он поражает преимущественно дыхательную и пищеварительную системы, а также потовые железы.
Густая слизь блокирует мелкие бронхи, создавая благоприятную среду для хронических бактериальных инфекций и прогрессирующего повреждения легочной ткани. В поджелудочной железе вязкий секрет закупоривает протоки, препятствуя поступлению пищеварительных ферментов в кишечник. Это ведет к нарушению усвоения питательных веществ, дефициту массы тела и задержке физического развития.
Эффективное управление муковисцидозом (МВ) требует комплексного подхода, включающего медикаментозную терапию, физическую реабилитацию, специализированное питание и постоянный мониторинг состояния пациента. Своевременная диагностика и применение современных терапевтических стратегий позволяют значительно снизить риск тяжелых осложнений, продлить жизнь и поддерживать высокое качество жизни людей с кистозным фиброзом.
Муковисцидоз (Кистозный фиброз): определение и природа заболевания
Муковисцидоз (МВ), также известный как кистозный фиброз, является системным наследственным заболеванием, которое влияет на множество органов и систем организма. Его суть заключается в нарушении работы экзокринных желез, вырабатывающих пот, слизь и пищеварительные ферменты. Это генетическое расстройство приводит к продукции аномально густого и вязкого секрета, который закупоривает протоки и каналы, вызывая серьезные осложнения преимущественно в дыхательной, пищеварительной и репродуктивной системах.
Понимание природы кистозного фиброза имеет ключевое значение для разработки эффективных терапевтических стратегий. Это не просто болезнь легких или поджелудочной железы, а комплексное расстройство, требующее интегрированного подхода к лечению и пожизненного управления.
Что такое муковисцидоз: подробное описание
Муковисцидоз — это хроническое, прогрессирующее заболевание, которое начинается еще до рождения. В основе его развития лежит генетический дефект, влияющий на транспорт ионов хлора через клеточные мембраны. Этот дефект приводит к нарушению водного баланса в секретах различных желез, делая их чрезмерно густыми и липкими. Густые выделения не могут нормально эвакуироваться из протоков, что способствует их закупорке и повреждению окружающих тканей.
С течением времени такие изменения приводят к необратимым структурным нарушениям в пораженных органах. Например, в легких постоянно закупоренные бронхи становятся идеальной средой для размножения бактерий, вызывая хронические инфекции и воспаление, что ведет к фиброзу и бронхоэктазам. В поджелудочной железе блокировка протоков препятствует поступлению ферментов в кишечник, нарушая пищеварение и усвоение питательных веществ.
Механизм развития муковисцидоза: роль хлорных каналов
Природа муковисцидоза кроется в мутации гена, ответственного за кодирование белка-регулятора трансмембранной проводимости муковисцидоза (CFTR). Белок CFTR действует как хлорный канал, контролирующий перемещение ионов хлора и, как следствие, воды через клеточные мембраны. Это критически важно для поддержания нормальной консистенции секрета.
У пациентов с кистозным фиброзом мутировавший ген приводит к синтезу дефектного белка CFTR, который либо не функционирует должным образом, либо отсутствует вовсе. Нарушение работы хлорных каналов приводит к следующим последствиям:
- Клетки, выстилающие протоки желез, не способны эффективно выводить ионы хлора на поверхность.
- Вода не следует за ионами хлора, что приводит к обезвоживанию слизистых секретов.
- Слизь становится густой и вязкой, легко прилипает к стенкам протоков.
- Это создает механическое препятствие для нормального оттока секрета и функционирования органов.
Потовые железы, напротив, избыточно выводят хлориды, что проявляется аномально соленым потом — одним из характерных признаков муковисцидоза, используемым в диагностике.
Органы, поражаемые муковисцидозом
Муковисцидоз является системным заболеванием, затрагивающим различные системы организма. Основные органы и системы, которые страдают от аномально густых секретов, перечислены ниже.
| Орган/Система | Влияние муковисцидоза | Последствия для здоровья |
|---|---|---|
| Легкие и дыхательные пути | Густая слизь закупоривает бронхи и бронхиолы. | Хронический кашель, рецидивирующие легочные инфекции, бронхоэктазы, дыхательная недостаточность, фиброз легких. |
| Поджелудочная железа | Закупорка протоков густым секретом, препятствие выходу пищеварительных ферментов. | Недостаточность экзокринной функции поджелудочной железы, нарушение усвоения жиров и жирорастворимых витаминов, задержка роста, сахарный диабет (связанный с муковисцидозом). |
| Печень и желчные протоки | Застой желчи из-за закупорки желчных протоков. | Цирроз печени, портальная гипертензия, желчнокаменная болезнь. |
| Кишечник | Густой кишечный секрет, трудности с опорожнением. | Мекониевый илеус у новорожденных, дистальная интестинальная обструкция, запоры. |
| Потовые железы | Повышенное содержание хлоридов в поте. | Повышенная соленость пота, риск обезвоживания и электролитных нарушений при физической нагрузке или жаре. |
| Репродуктивная система | Закупорка семявыносящих протоков у мужчин, сгущение цервикальной слизи у женщин. | Бесплодие у большинства мужчин, подбесплодие у некоторых женщин. |
Каждое из этих поражений требует специфического подхода к терапии и мониторингу, подчеркивая комплексный характер ведения пациентов с муковисцидозом.
Генетические причины муковисцидоза: наследование и мутации гена CFTR
Муковисцидоз (МВ) — это классический пример моногенного заболевания, то есть его развитие обусловлено мутациями в одном конкретном гене. Этот ген, известный как CFTR (Cystic Fibrosis Transmembrane Conductance Regulator), играет центральную роль в контроле за движением ионов хлора через клеточные мембраны, что критически важно для поддержания нормальной консистенции слизи и других секретов. Понимание генетической основы МВ необходимо для точной диагностики, консультирования семей и разработки целевых методов лечения.
Ген CFTR и его функция
Ген CFTR расположен на длинном плече 7-й хромосомы (7q31.2) и кодирует белок — регулятор трансмембранной проводимости при муковисцидозе. Этот белок представляет собой хлорный канал, который находится на поверхности эпителиальных клеток многих органов, включая легкие, поджелудочную железу, кишечник, потовые железы и репродуктивные органы. Его основная функция — регулировать транспорт ионов хлора через клеточную мембрану, что, в свою очередь, влияет на движение воды. В норме белок CFTR обеспечивает выработку жидких секретов, необходимых для правильного функционирования этих органов.
При мутации гена CFTR происходит нарушение синтеза или функции этого белка. В результате хлорные каналы работают неэффективно или отсутствуют, что приводит к нарушению водного баланса и образованию густого, вязкого секрета. Именно эта вязкая слизь является причиной большинства клинических проявлений муковисцидоза, закупоривая протоки и каналы в различных органах.
Типы мутаций гена CFTR и их влияние
Было идентифицировано более 2000 различных мутаций в гене CFTR, каждая из которых по-своему влияет на функцию белка и, соответственно, на тяжесть течения муковисцидоза. Эти мутации классифицируются по типам в зависимости от того, как они нарушают синтез или работу белка CFTR. Понимание этих типов помогает прогнозировать фенотип заболевания и выбирать наиболее подходящую терапию, включая модуляторы CFTR.
- Класс I (Нонсенс-мутации/мутации сдвига рамки считывания): Приводят к преждевременной остановке синтеза белка. Белок CFTR либо не образуется вовсе, либо синтезируется его укороченная, нефункциональная версия. Например, мутации G542X, W1282X.
- Класс II (Миссенс-мутации/нарушение обработки белка): Белок CFTR синтезируется, но имеет неправильную структуру и не может быть правильно "свернут" и доставлен на поверхность клетки. Самая известная и распространенная мутация ΔF508 (делеция фенилаланина в позиции 508), относится именно к этому классу, составляя около 70% всех случаев муковисцидоза.
- Класс III (Мутации с нарушением функции/регуляции затвора): Белок CFTR достигает клеточной поверхности, но его канал остается "закрытым" или работает с перебоями, не пропуская ионы хлора. Примеры: G551D.
- Класс IV (Мутации с нарушением проводимости): Канал открывается, но проводимость для ионов хлора значительно снижена. Примеры: R117H.
- Класс V (Мутации с уменьшением количества белка): Происходит снижение экспрессии гена, что приводит к производству меньшего, но функционального количества белка CFTR. Эти мутации часто ассоциируются с более мягкими формами МВ.
- Класс VI (Мутации с нарушением стабильности белка): Белок CFTR синтезируется и достигает мембраны, но быстро разрушается.
Вариативность мутаций объясняет широкий спектр клинических проявлений муковисцидоза — от тяжелых форм с ранним началом до более легких, атипичных вариантов, проявляющихся только во взрослом возрасте.
Тип наследования муковисцидоза: аутосомно-рецессивный
Муковисцидоз наследуется по аутосомно-рецессивному типу. Это означает, что для развития заболевания человек должен унаследовать две дефектные копии гена CFTR — по одной от каждого родителя. Родители, которые являются носителями одной мутировавшей копии гена и одной нормальной, называются бессимптомными носителями. Они сами не страдают муковисцидозом, поскольку одной функциональной копии гена достаточно для нормальной работы хлорных каналов.
Понимание аутосомно-рецессивного типа наследования имеет решающее значение для генетического консультирования и планирования семьи.
Вероятность наследования муковисцидоза
Вероятность рождения ребенка с муковисцидозом зависит от генетического статуса родителей. Ниже представлена таблица, которая наглядно демонстрирует эти вероятности.
| Генетический статус родителей | Вероятность рождения ребенка с МВ | Вероятность рождения носителя МВ | Вероятность рождения здорового ребенка (не носителя) |
|---|---|---|---|
| Оба родителя — носители (Аа x Аа) | 25% (одна из четырех) | 50% (две из четырех) | 25% (одна из четырех) |
| Один родитель — носитель, другой — здоров (Аа x АА) | 0% (нет, если только у здорового родителя нет редких мутаций) | 50% (две из четырех) | 50% (две из четырех) |
| Один родитель болен МВ, другой — носитель (аа x Аа) | 50% (две из четырех) | 50% (две из четырех) | 0% |
| Один родитель болен МВ, другой — здоров (аа x АА) | 0% | 100% (все дети будут носителями) | 0% |
Где "А" — нормальная копия гена, "а" — мутировавшая копия гена. Даже если один ребенок в семье унаследовал МВ, риски для каждого последующего ребенка остаются теми же, поскольку каждое зачатие — это независимое событие.
Генетическое тестирование и консультирование при муковисцидозе
Генетическое тестирование играет ключевую роль в диагностике муковисцидоза, выявлении носительства и пренатальной диагностике. Современные методы позволяют идентифицировать большинство известных мутаций гена CFTR, обеспечивая точную информацию для пациентов и их семей.
К основным типам генетического тестирования относятся:
- Скрининг новорождённых: Во многих странах включен в обязательные программы скрининга, позволяя выявить повышенный уровень иммунореактивного трипсиногена (ИРТ) и, в случае подозрения, провести подтверждающий генетический тест на наиболее частые мутации CFTR.
- Диагностическое тестирование: Проводится для подтверждения диагноза у лиц с клиническими признаками МВ или положительным потовым тестом. Обычно включает анализ на широкий спектр мутаций CFTR.
- Скрининг носительства: Предлагается парам, планирующим беременность, особенно если в семье есть случаи МВ или этническая принадлежность повышает риск (например, у европейцев). Этот тест выявляет, являются ли будущие родители бессимптомными носителями мутаций CFTR.
- Пренатальная диагностика: Проводится во время беременности (например, с помощью амниоцентеза или биопсии хориона) при высоком риске рождения ребенка с муковисцидозом (когда оба родителя являются носителями или один из родителей болен).
По результатам генетического тестирования важно получить квалифицированную консультацию генетика. Специалист поможет интерпретировать результаты, оценить риски и обсудить доступные варианты, включая репродуктивные решения и планирование будущего лечения. Такой подход позволяет семьям принимать информированные решения и готовиться к потенциальным вызовам, связанным с муковисцидозом.
Клинические проявления муковисцидоза: как заболевание поражает системы организма
Муковисцидоз (МВ) — это системное заболевание, и его клинические проявления могут значительно варьироваться от человека к человеку, завися от типа мутаций гена CFTR, возраста пациента и своевременности начала терапии. Симптомы могут проявиться уже в первые месяцы жизни или развиться значительно позже, в подростковом или даже взрослом возрасте. Тем не менее, наиболее частые и значимые признаки кистозного фиброза связаны с поражением дыхательной и пищеварительной систем, где аномально густой секрет вызывает наибольшие нарушения.
Дыхательная система: хронические инфекции и прогрессирующее поражение легких
Поражение дыхательной системы является основной причиной заболеваемости и смертности при муковисцидозе. Густая, липкая слизь закупоривает мелкие бронхи и бронхиолы, создавая идеальную среду для размножения бактерий. Это приводит к хроническим инфекциям, воспалению и, со временем, к необратимым структурным изменениям легких, таким как бронхоэктазы (расширение бронхов) и фиброз.
К типичным респираторным симптомам муковисцидоза относятся:
- Хронический кашель: Часто продуктивный, с отхождением вязкой, густой мокроты. Может быть упорным и изнуряющим.
- Частые респираторные инфекции: Рецидивирующие пневмонии, бронхиты и синуситы, вызванные такими бактериями, как Pseudomonas aeruginosa, Staphylococcus aureus, Haemophilus influenzae.
- Одышка: Появляется по мере прогрессирования поражения легких, особенно при физической нагрузке.
- Хрипы и свистящее дыхание: Могут быть слышны при аускультации легких.
- Носовые полипы и хронический риносинусит: Воспаление пазух носа и образование полипов, что усугубляет дыхательные проблемы.
- Утолщение концевых фаланг пальцев ("барабанные палочки"): Характерный признак хронической дыхательной недостаточности.
Постоянное воспаление и инфекции ведут к разрушению легочной ткани, прогрессирующему ухудшению функции легких и, в конечном итоге, к развитию дыхательной недостаточности.
Пищеварительная система: недостаточность поджелудочной железы и ее последствия
Подавляющее большинство пациентов с муковисцидозом (около 85-90%) страдают от экзокринной недостаточности поджелудочной железы. Это означает, что густой секрет блокирует протоки поджелудочной железы, препятствуя поступлению пищеварительных ферментов (липазы, амилазы, протеазы) в кишечник. Без этих ферментов нарушается расщепление и усвоение жиров, белков и углеводов, что ведет к серьезным нарушениям пищеварения и питания.
К основным пищеварительным проявлениям кистозного фиброза относятся:
- Стеаторея: Выделение большого количества жира с калом, что делает стул объемным, жирным, бледным и зловонным.
- Дефицит массы тела и задержка роста: Из-за плохого усвоения питательных веществ, несмотря на достаточный или даже повышенный аппетит.
- Метеоризм и боли в животе: Вызваны непереваренной пищей и нарушениями моторики кишечника.
- Запоры: Могут быть обусловлены густым содержимым кишечника.
- Недостаточность жирорастворимых витаминов (А, D, E, K): Из-за нарушенного усвоения жиров, что может приводить к таким осложнениям, как проблемы со зрением, костями и свертываемостью крови.
- Панкреатит: Реже встречается, чем экзокринная недостаточность, но может развиваться из-за воспаления поджелудочной железы.
Для компенсации недостаточности поджелудочной железы требуется заместительная ферментная терапия.
Проявления муковисцидоза в печени и желчных путях
Печень является еще одним органом, страдающим от муковисцидоза. Густая желчь может закупоривать мелкие желчные протоки, что приводит к застою желчи (холестазу), воспалению и, в перспективе, к развитию очагового билиарного цирроза. Цирроз печени, в свою очередь, может привести к портальной гипертензии — повышению давления в системе воротной вены, что чревато серьезными осложнениями, такими как варикозное расширение вен пищевода и асцит.
Основные печеночные проявления включают:
- Увеличение печени (гепатомегалия).
- Повышение уровня печеночных ферментов в крови.
- Желчнокаменная болезнь.
Кишечные проявления: от мекониевого илеуса до дистальной обструкции
Нарушения в кишечнике могут проявляться с рождения и на протяжении всей жизни. Около 10-20% новорожденных с кистозным фиброзом имеют мекониевый илеус — полную закупорку кишечника аномально густым меконием (первородным калом), требующую хирургического вмешательства.
У детей старшего возраста и взрослых могут наблюдаться следующие кишечные проблемы:
- Синдром дистальной интестинальной обструкции (СДИО): Частичная или полная закупорка тонкого кишечника густым содержимым, особенно часто проявляющаяся в правой подвздошной области. Симптомы включают боли в животе, рвоту, отсутствие стула.
- Запоры и пролапс прямой кишки: Следствие густого стула и повышенного внутрибрюшного давления при кашле.
Нарушения питания и роста при кистозном фиброзе
Неадекватное пищеварение и повышенные энергетические потребности из-за хронического воспаления и инфекций приводят к значительным нарушениям питания. Недостаточность усвоения питательных веществ, особенно жиров и жирорастворимых витаминов, приводит к:
- Задержке физического развития: Низкий рост и вес для своего возраста.
- Истощению: Недостаток мышечной массы и жировой прослойки.
- Дефициту витаминов: Особенно витаминов A, D, E, K, что может влиять на зрение, костную систему, иммунитет и свертываемость крови.
Поддержание адекватного питания является критически важной частью лечения муковисцидоза.
Потовые железы: аномально соленый пот как диагностический маркер
Потовые железы у людей с муковисцидозом функционируют иначе, чем другие экзокринные железы. Из-за дефектного белка CFTR они не могут эффективно реабсорбировать хлориды из пота, что приводит к повышенному содержанию натрия и хлора в поте. Это делает пот аномально соленым. Соленый пот является одним из самых ранних и характерных признаков МВ и используется в потовом тесте для диагностики. В условиях жаркого климата или интенсивных физических нагрузок существует риск обезвоживания и электролитных нарушений из-за избыточной потери солей.
Влияние муковисцидоза на репродуктивную систему
Муковисцидоз значительно влияет на репродуктивную функцию, особенно у мужчин.
- Бесплодие у мужчин: Почти 98% мужчин с кистозным фиброзом страдают бесплодием из-за врожденного отсутствия или закупорки семявыносящих протоков, что препятствует выходу сперматозоидов. Однако сперматогенез (процесс образования сперматозоидов) обычно не нарушен, и методы вспомогательных репродуктивных технологий позволяют многим мужчинам иметь биологических детей.
- Снижение фертильности у женщин: Женщины с муковисцидозом могут испытывать подбесплодие из-за густой цервикальной слизи, которая затрудняет продвижение сперматозоидов, а также из-за общего ухудшения здоровья и питания. Тем не менее, большинство женщин с МВ могут забеременеть и выносить ребенка, но беременность требует тщательного медицинского контроля.
Другие системные проявления и осложнения
Муковисцидоз может затрагивать и другие системы организма, вызывая ряд дополнительных осложнений:
- Сахарный диабет, связанный с муковисцидозом (CFRD): Развивается примерно у 20% подростков и 40-50% взрослых с МВ. Он отличается от диабета 1 и 2 типа и вызван повреждением клеток поджелудочной железы, вырабатывающих инсулин, а также инсулинорезистентностью.
- Остеопения и остеопороз: Снижение плотности костной ткани, вызванное плохим усвоением витамина D, хроническим воспалением и использованием некоторых лекарств.
- Артропатии: Боли и воспаления в суставах.
- Почечнокаменная болезнь: Из-за нарушений водно-электролитного баланса.
- Психосоциальные проблемы: Хронический характер заболевания, необходимость постоянного лечения и ограниченные возможности могут приводить к депрессии, тревожности и социальной изоляции.
Разнообразие клинических форм и тяжести муковисцидоза
Клинические проявления муковисцидоза очень разнообразны. Некоторые пациенты имеют тяжелое течение заболевания с ранним началом, выраженными легочными и пищеварительными нарушениями. У других МВ может проявляться в более легкой форме, с преобладанием симптомов со стороны одного органа (например, только хронический синусит или мужское бесплодие), и быть диагностированным только во взрослом возрасте. Это разнообразие объясняется множеством различных мутаций гена CFTR и их влиянием на функцию белка, а также модифицирующими генетическими и средовыми факторами. Понимание этой вариабельности позволяет врачам разрабатывать индивидуализированные планы лечения и мониторинга для каждого пациента.
Современная диагностика муковисцидоза: скрининг, потовый тест и генетический анализ
Эффективное управление муковисцидозом (МВ) начинается с точной и своевременной диагностики. Раннее выявление заболевания критически важно для немедленного начала терапии, что позволяет замедлить прогрессирование болезни, предотвратить серьезные осложнения и значительно улучшить качество жизни пациента. Диагностический процесс обычно включает многоступенчатый подход, сочетающий массовый скрининг новорожденных с подтверждающими тестами, такими как потовый тест и генетический анализ.
Неонатальный скрининг на муковисцидоз: первый шаг к раннему выявлению
Неонатальный скрининг на муковисцидоз является обязательной программой во многих странах, направленной на выявление заболевания у новорожденных до появления клинических симптомов. Проведение этого скрининга позволяет начать лечение в первые недели и месяцы жизни, что имеет решающее значение для долгосрочного прогноза. Основной метод скрининга — определение уровня иммунореактивного трипсиногена (ИРТ) в сухом пятне крови.
Процесс неонатального скрининга включает несколько этапов:
- Первичное определение ИРТ: Между 3-м и 5-м днем жизни у новорожденного берут несколько капель крови из пятки, которые наносят на специальный фильтровальный бланк. Повышенный уровень ИРТ (фермента поджелудочной железы) является маркером возможного повреждения поджелудочной железы, характерного для МВ.
- Повторное определение ИРТ или генетический анализ: Если уровень ИРТ превышает пороговые значения, проводится повторное определение ИРТ через несколько недель или сразу назначается генетический анализ на наиболее частые мутации гена CFTR. Этот шаг помогает отсеять ложноположительные результаты.
- Подтверждающий потовый тест: В случае повторного повышения ИРТ или выявления мутаций CFTR, ребенок направляется на потовый тест для окончательного подтверждения диагноза муковисцидоза.
Высокий уровень ИРТ сам по себе не является диагнозом муковисцидоза, но служит сигналом для дальнейшего обследования. Своевременное прохождение всех этапов скрининга и подтверждающей диагностики обеспечивает максимальные шансы на успешное лечение.
Потовый тест: «золотой стандарт» диагностики муковисцидоза
Потовый тест остается ключевым и наиболее информативным методом для диагностики муковисцидоза у детей и взрослых с подозрением на это заболевание. Он основан на измерении концентрации ионов хлора в поте, которая значительно повышена у людей с кистозным фиброзом из-за дефекта белка CFTR.
Проведение потового теста включает следующие этапы:
- Стимуляция потоотделения: На небольшой участок кожи (обычно на предплечье) наносится препарат пилокарпин, который стимулирует потовые железы. Затем в течение 5-10 минут проводится ионофорез — воздействие слабым электрическим током для улучшения проникновения пилокарпина и активации потоотделения.
- Сбор пота: После стимуляции пот собирается в специальный коллектор или на фильтровальную бумагу в течение 30-60 минут. Для получения достоверного результата необходимо собрать достаточное количество пота (обычно не менее 50 мг).
- Анализ пота: В собранном образце пота измеряется концентрация хлоридов. Для этого используются различные методы, включая кондуктометрию (измерение электропроводности) и колориметрические методы.
Интерпретация результатов потового теста:
| Концентрация хлоридов в поте (ммоль/л) | Интерпретация | Рекомендации |
|---|---|---|
| Менее 30 (для всех возрастов) | Отрицательный результат | Муковисцидоз маловероятен. |
| 30-59 (для всех возрастов) | Пограничный результат | Требуется повторный потовый тест, генетический анализ и клиническая оценка. Диагноз МВ не исключен. |
| 60 и более (для всех возрастов) | Положительный результат | Высокая вероятность муковисцидоза. Требуется подтверждение генетическим анализом. |
Положительный потовый тест в сочетании с типичными клиническими проявлениями или выявлением мутаций CFTR практически однозначно подтверждает диагноз. Важно, чтобы тест проводился в специализированных центрах квалифицированным персоналом для обеспечения максимальной точности.
Генетический анализ гена CFTR: подтверждение диагноза и планирование лечения
Генетический анализ является ключевым методом для окончательного подтверждения диагноза муковисцидоза, особенно при пограничных результатах потового теста или при наличии атипичных клинических проявлений. Также он незаменим для генетического консультирования семей и выбора современных таргетных методов лечения.
Цели и виды генетического анализа:
- Подтверждение диагноза: Выявление двух мутаций в гене CFTR (по одной от каждого родителя) является окончательным подтверждением муковисцидоза.
- Определение типа мутаций: Знание конкретных мутаций позволяет предсказать тяжесть течения заболевания и, что особенно важно, определить, подходит ли пациент для терапии модуляторами CFTR.
- Скрининг носительства: Парам, планирующим беременность, особенно при наличии МВ в семейном анамнезе или при этническом риске, рекомендуется пройти скрининг на носительство мутаций CFTR.
- Пренатальная диагностика: При высоком риске рождения ребенка с МВ (если оба родителя являются носителями) может быть проведена пренатальная диагностика (амниоцентез или биопсия хориона) для определения генетического статуса плода.
Для генетического анализа обычно требуется образец крови, из которого выделяется ДНК. Современные методы позволяют исследовать широкий спектр мутаций, включая наиболее распространенные и редкие варианты. Результаты генетического анализа всегда должны интерпретироваться врачом-генетиком, который сможет дать подробные разъяснения и рекомендации.
Комплексный диагностический подход и дополнительные исследования
Диагностика кистозного фиброза редко ограничивается одним тестом. Часто требуется комплексный подход, объединяющий клиническую картину, данные лабораторных и инструментальных исследований.
Дополнительные методы исследования могут включать:
- Функциональные легочные тесты (спирометрия): Оценка объема и скорости потока воздуха в легких для выявления обструктивных нарушений, характерных для поражения дыхательных путей.
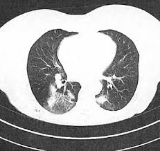
- Рентгенография органов грудной клетки или компьютерная томография (КТ): Визуализация структурных изменений в легких, таких как бронхоэктазы, инфильтраты, кисты.
- Бактериологический посев мокроты: Идентификация патогенных микроорганизмов (например, Pseudomonas aeruginosa, Staphylococcus aureus), колонизирующих дыхательные пути, что важно для выбора антибактериальной терапии.
- Анализ кала на панкреатическую эластазу-1: Оценка экзокринной функции поджелудочной железы. Низкие значения указывают на недостаточность ферментов.
- Ультразвуковое исследование органов брюшной полости: Для оценки состояния печени, желчных протоков и поджелудочной железы.
- Определение уровня жирорастворимых витаминов в крови: Выявление дефицитов витаминов A, D, E, K, частых при мальабсорбции.
Комплексная оценка всех данных позволяет не только подтвердить диагноз муковисцидоза, но и определить степень поражения различных органов, что является основой для разработки индивидуального плана лечения и мониторинга состояния пациента.
Комплексное лечение муковисцидоза: фармакология и основные терапевтические подходы
Эффективное управление муковисцидозом (МВ) требует комплексного, пожизненного и индивидуализированного подхода, направленного на замедление прогрессирования заболевания, облегчение симптомов и повышение качества жизни пациентов. Лечение кистозного фиброза осуществляется многопрофильной командой специалистов и включает как фармакологическую поддержку, так и различные терапевтические мероприятия, направленные на поддержание функций пораженных органов.
Основные принципы и цели терапии муковисцидоза
Терапевтическая стратегия при МВ основывается на купировании симптомов, предотвращении осложнений и воздействии на патогенетические механизмы заболевания. Комплексный подход учитывает уникальные потребности каждого пациента, его возраст, тяжесть клинических проявлений и специфические мутации гена CFTR.
Ключевые цели лечения включают:
- Поддержание проходимости дыхательных путей: За счет разжижения и эвакуации густой слизи.
- Борьба с легочными инфекциями: Предотвращение и лечение хронической колонизации бактериями.
- Уменьшение воспаления в легких: Контроль над повреждающими воспалительными процессами.
- Компенсация экзокринной недостаточности поджелудочной железы: Обеспечение адекватного пищеварения и усвоения питательных веществ.
- Поддержание оптимального нутритивного статуса: Достижение нормального роста и веса.
- Лечение других системных осложнений: например, сахарного диабета, поражений печени.
- Психосоциальная поддержка: Помощь в адаптации к хроническому заболеванию.
Фармакологическая поддержка при муковисцидозе
Фармакологические препараты играют центральную роль в лечении МВ, воздействуя на различные аспекты патологии. Их подбор осуществляется строго индивидуально и регулярно корректируется в зависимости от состояния пациента.
Муколитические препараты: разжижение секрета
Разжижение и эвакуация густой, вязкой мокроты из дыхательных путей является одним из краеугольных камней терапии муковисцидоза. Улучшение реологических свойств секрета способствует снижению частоты инфекций и облегчает дыхание.
Основные муколитические средства включают:
- Дорназа альфа (рекомбинантная человеческая дезоксирибонуклеаза I, Пульмозим): Это фермент, который расщепляет внеклеточную ДНК, содержащуюся в большом количестве в вязкой мокроте при МВ. Высвобождение ДНК из разрушенных нейтрофилов делает мокроту более густой. Ингаляции дорназы альфа значительно улучшают отхождение мокроты и функцию легких. Препарат вводится ингаляционно через небулайзер 1-2 раза в день.
- Гипертонический раствор хлорида натрия (ГРХН): Ингаляции 3-7% раствора хлорида натрия помогают увлажнить дыхательные пути и увеличить гидратацию слизи. Это способствует ее разжижению и облегчает выведение. Процедура проводится 2-4 раза в день, обычно перед физической терапией.
- Ацетилцистеин: Хотя он является традиционным муколитиком, его эффективность при МВ ограничена, и он редко используется для длительной терапии в качестве основного муколитика из-за побочных эффектов.
Регулярное применение муколитиков помогает предотвратить образование слизистых пробок и поддерживать функцию легких.
Антибактериальная терапия: борьба с инфекциями
Хронические бактериальные инфекции являются основной причиной повреждения легких при муковисцидозе. Антибактериальная терапия направлена на контроль над этими инфекциями, уменьшение воспаления и замедление прогрессирования заболевания.
Основные принципы антибиотикотерапии:
- Эрадикационная терапия: При первом обнаружении определенных патогенов (например, Pseudomonas aeruginosa) назначается интенсивный курс антибиотиков для полной эрадикации микроорганизма.
- Противорецидивная/поддерживающая терапия: Для пациентов с хронической колонизацией патогенами назначаются длительные курсы ингаляционных антибиотиков (например, тобрамицин, колистин, ацтреонам) для подавления роста бактерий и уменьшения частоты обострений.
- Лечение обострений: При обострениях легочной инфекции используются более высокие дозы системных антибиотиков (внутривенно или перорально), подбираемые с учетом чувствительности выделенных микроорганизмов. Чаще всего используются бета-лактамы, аминогликозиды, фторхинолоны.
Выбор антибиотика и путь введения (пероральный, ингаляционный, внутривенный) зависят от типа возбудителя, его чувствительности, тяжести инфекции и предшествующего лечения. Важным аспектом является регулярный бактериологический контроль мокроты для своевременного выявления и целенаправленного лечения инфекций.
Противовоспалительные средства: контроль воспаления
Хроническое воспаление в дыхательных путях, вызванное инфекциями и скоплением слизи, приводит к необратимому повреждению легочной ткани. Противовоспалительная терапия направлена на уменьшение этого повреждающего воздействия.
Используются следующие группы препаратов:
- Ибупрофен (в высоких дозах): У некоторых пациентов с МВ, особенно у детей и подростков, длительный прием высоких доз ибупрофена может замедлять снижение функции легких, предположительно за счет противовоспалительного действия. Однако его применение требует тщательного контроля из-за потенциальных побочных эффектов.
- Макролиды (например, азитромицин): Эти антибиотики, помимо своего антибактериального действия, обладают выраженным противовоспалительным и иммуномодулирующим эффектом. Они могут снижать продукцию слизи и улучшать функцию легких при длительном приеме в неантибактериальных дозах.
- Кортикостероиды (системные и ингаляционные): Применяются с осторожностью. Системные кортикостероиды могут быть использованы при тяжелых обострениях для быстрого подавления воспаления, но их длительное применение ограничено из-за серьезных побочных эффектов (сахарный диабет, остеопороз). Ингаляционные кортикостероиды могут применяться при сопутствующей бронхиальной обструкции или астме, но их роль в рутинном лечении МВ дискуссионна.
Ферментные препараты: компенсация экзокринной недостаточности поджелудочной железы
У подавляющего большинства пациентов с муковисцидозом наблюдается экзокринная недостаточность поджелудочной железы, что требует заместительной ферментной терапии (ЗФТ). Микросферические капсулы с панкреатическими ферментами компенсируют недостаток собственных ферментов, улучшая переваривание пищи и усвоение питательных веществ.
Основные аспекты ЗФТ:
- Состав: Препараты содержат липазу, амилазу и протеазу. Дозировка подбирается индивидуально, исходя из веса пациента и количества потребляемых жиров. Чаще всего используется критерий дозировки липазы.
- Применение: Капсулы принимаются с каждым приемом пищи и закусками. Важно не разжевывать капсулы и запивать их достаточным количеством жидкости.
- Цель: Нормализация стула (уменьшение стеатореи), поддержание нормального роста и веса, профилактика дефицита жирорастворимых витаминов.
Регулярная корректировка дозы ферментов проводится врачом на основе клинических симптомов и показателей роста.
Витаминная коррекция: восполнение дефицитов
Нарушение усвоения жиров при МВ неизбежно приводит к дефициту жирорастворимых витаминов (А, D, E, K). Эти витамины критически важны для зрения, костной системы, иммунитета и свертываемости крови.
Рекомендации по витаминной коррекции:
- Ежедневный прием: Всем пациентам с МВ рекомендуется ежедневный прием специализированных комплексов жирорастворимых витаминов в дозах, значительно превышающих обычные суточные нормы.
- Мониторинг: Уровни витаминов в крови регулярно контролируются для коррекции дозировок.
- Витамин D: Особенно важен из-за его роли в костном метаболизме и иммунной системе. Часто требуются высокие дозы.
Бронхолитики: улучшение проходимости дыхательных путей
Некоторые пациенты с муковисцидозом имеют обратимый компонент бронхиальной обструкции, схожий с астмой. В таких случаях могут быть эффективны бронхолитики, расширяющие дыхательные пути.
Применение бронхолитиков:
- Короткодействующие бета-2-агонисты (например, сальбутамол): Используются по мере необходимости для облегчения одышки или перед физической терапией для улучшения выведения мокроты.
- Длительно действующие бронхолитики: Могут быть назначены пациентам с постоянной обструкцией дыхательных путей.
Эффективность бронхолитиков оценивается индивидуально с помощью функциональных легочных тестов.
Модуляторы CFTR: таргетная терапия
Модуляторы CFTR представляют собой революционный прорыв в лечении муковисцидоза. Это таргетные препараты, которые непосредственно воздействуют на дефектный белок CFTR, восстанавливая его функцию и, как следствие, улучшая работу хлорных каналов. Их эффективность зависит от конкретного типа мутаций гена CFTR у пациента.
Виды модуляторов CFTR и их действие:
- Потенциаторы (например, Ивакафтор/Ivacaftor): Действуют на мутации Класса III (нарушение функции затвора), которые позволяют белку достигать клеточной поверхности, но он остается "закрытым". Потенциаторы "открывают" канал, увеличивая ток хлоридов. Применим при мутации G551D и некоторых других.
- Корректоры (например, Лумакафтор/Lumacaftor, Тезакафтор/Tezacaftor, Элексакафтор/Elexacaftor): Предназначены для мутаций Класса II (нарушение обработки белка), таких как наиболее распространенная ΔF508. Корректоры помогают дефектному белку CFTR правильно "свернуться", переместиться на клеточную поверхность и встроиться в мембрану.
- Комбинированные препараты:
- Корректор + Потенциатор (например, Лумакафтор/Ивакафтор, Тезакафтор/Ивакафтор): Чаще всего применяются для пациентов с двумя копиями мутации ΔF508 или одной копией ΔF508 и мутацией, чувствительной к потенцированию. Корректоры помогают белку достичь поверхности, а потенцирующее вещество активирует его функцию.
- Тройная комбинация (например, Элексакафтор/Тезакафтор/Ивакафтор): Этот препарат является наиболее мощным и эффективным для пациентов с как минимум одной копией мутации ΔF508. Он содержит два корректора, которые максимально эффективно доставляют белок на поверхность, и потенцирующий компонент, активирующий канал. Такая комбинация позволяет значительно улучшить функцию легких и нутритивный статус у большого числа пациентов.
Модуляторы CFTR не излечивают муковисцидоз, но они значительно изменяют его течение, позволяя многим пациентам жить дольше и с лучшим качеством жизни. Подбор этих препаратов строго индивидуален и основывается на точном генетическом анализе.
Вспомогательные методы лечения и мониторинг
Помимо фармакологической терапии, важную роль играют нефармакологические подходы и регулярный мониторинг состояния пациента.
Нутритивная и физическая поддержка
Оптимальное питание и адекватная физическая активность являются неотъемлемыми компонентами лечения МВ. Специализированное высококалорийное питание, часто с добавлением жиров, белков и углеводов, необходимо для компенсации мальабсорбции и высоких энергетических затрат организма. Регулярная физическая терапия, включая дыхательные упражнения и методы очистки дыхательных путей, помогает эффективно выводить мокроту и поддерживать функцию легких. Эти аспекты подробно рассматриваются в отдельных разделах статьи.
Вакцинация и профилактика инфекций
Пациенты с муковисцидозом более восприимчивы к инфекциям дыхательных путей. Регулярная вакцинация против гриппа, пневмококковой инфекции, коклюша и других предотвратимых заболеваний является критически важной мерой профилактики. Также необходим тщательный контроль за гигиеной и минимизация контактов с источниками инфекции.
Психологическая помощь и социальная адаптация
Жизнь с хроническим заболеванием, требующим постоянного лечения, может быть эмоционально тяжелой. Психологическая поддержка, консультирование и участие в группах поддержки помогают пациентам и их семьям справляться с психосоциальными вызовами, связанными с муковисцидозом.
Трансплантация органов: крайняя мера
В случаях тяжелого, необратимого поражения легких, когда консервативная терапия становится неэффективной, трансплантация легких может стать единственным вариантом для спасения жизни. Реже может потребоваться трансплантация печени при прогрессирующем циррозе. Это сложное хирургическое вмешательство, требующее тщательного отбора и последующей иммуносупрессивной терапии.
Нужен очный осмотр?
Найдите лучшего пульмонолога в вашем городе по рейтингу и отзывам.
Физическая терапия и реабилитация при муковисцидозе: дыхательные техники и активность
Физическая терапия и реабилитация являются неотъемлемой частью комплексного лечения муковисцидоза (МВ), играя ключевую роль в поддержании функции легких, улучшении общего состояния здоровья и повышении качества жизни. Регулярное применение специализированных дыхательных техник и адекватная физическая активность помогают эффективно очищать дыхательные пути от густой слизи, предотвращать инфекции и замедлять прогрессирование легочных осложнений.
Задачи и принципы физической реабилитации при муковисцидозе
Основная цель физической реабилитации при кистозном фиброзе — оптимизация легочной функции и улучшение физической выносливости. Достигается это путем систематического воздействия на ключевые проблемы, связанные с заболеванием.
Ключевые задачи физической терапии включают:
- Эвакуация мокроты: Удаление вязкого секрета из бронхов для предотвращения их закупорки и снижения риска бактериальных инфекций.
- Поддержание функции легких: Улучшение проходимости дыхательных путей и увеличение объема легких.
- Повышение физической выносливости: Укрепление дыхательных и скелетных мышц.
- Уменьшение воспаления: Косвенное снижение воспалительных процессов в дыхательных путях за счет улучшения дренажа.
- Улучшение качества жизни: Снижение симптомов, повышение активности и психоэмоционального благополучия.
Принципы физической реабилитации базируются на индивидуальном подходе, регулярности и раннем начале. Программа физической терапии разрабатывается для каждого пациента с учетом его возраста, тяжести заболевания, сопутствующих осложнений и физических возможностей.
Дыхательные техники и методы очистки дыхательных путей (ОДП)
Методы очистки дыхательных путей (ОДП) являются основой физической терапии при муковисцидозе и направлены на разжижение и выведение густой мокроты. Их регулярное и правильное выполнение снижает риск хронических инфекций и улучшает вентиляцию легких.
Ручные и механические техники очистки дыхательных путей
Эти методы используются для механического воздействия на грудную клетку или на сам процесс дыхания для мобилизации и выведения мокроты.
Основные техники включают:
- Постуральный дренаж: Пациент принимает специальные положения тела, которые с помощью силы тяжести способствуют оттоку слизи из различных сегментов легких. Это положение обычно поддерживается в течение 5-15 минут, а затем выполняется откашливание.
- Перкуссия (поколачивание): Выполняется специалистом или обученным членом семьи. Легкие ритмичные поколачивания ладонью, сложенной "лодочкой", по грудной клетке над пораженными участками легких. Создаваемые вибрации помогают "отлепить" слизь от стенок бронхов.
- Вибрация: Ручная или механическая вибрация грудной клетки, обычно выполняемая на выдохе, которая также способствует отхождению мокроты.
- Активный цикл дыхательных техник (АЦДТ, ACBT): Это структурированная последовательность дыхательных упражнений, включающая контроль дыхания, глубокое дыхание и форсированный выдох ("хаффинг"). АЦДТ помогает постепенно перемещать слизь из мелких бронхов в крупные для последующего откашливания.
- Аутогенный дренаж (АД): Сложная, но эффективная техника, при которой пациент учится контролировать глубину и скорость дыхания, чтобы перемещать слизь из периферических дыхательных путей в центральные без излишнего кашля, который может вызывать коллапс бронхов.
Устройства для создания положительного давления на выдохе (ПДВ)
Устройства ПДВ создают контролируемое сопротивление при выдохе, что помогает поддерживать проходимость дыхательных путей, улучшать вентиляцию легких и мобилизовать мокроту.
Распространенные устройства:
- Флаттер (Flutter) и Акапелла (Acapella): Это портативные осцилляционные устройства ПДВ. При выдохе в них создаются вибрации, которые передаются в дыхательные пути, разжижая слизь, а также формируется положительное давление, предотвращающее спадение бронхов.
- Маски или мундштуки с регулируемым сопротивлением (ПЭП-терапия): Пациент выдыхает через специальную маску или мундштук, который создает сопротивление, позволяя воздуху пройти за скопившуюся слизь. Это способствует ее смещению и облегчает отхаркивание.
Вибрационные жилеты и другие высокочастотные осцилляторы
Высокочастотная осцилляция грудной стенки (ВЧОГС, HFCWO) — это механический метод, при котором пациент надевает надувной жилет, подключенный к воздушному насосу. Насос быстро надувает и сдувает жилет, создавая мягкие, но быстрые компрессии на грудную клетку. Эти компрессии вызывают колебания в легких, помогая отделить слизь от стенок дыхательных путей и переместить ее к центру, где ее легче откашлять. Метод особенно удобен для домашнего использования и позволяет пациентам самостоятельно проводить процедуру.
Ингаляционная терапия как часть очистки дыхательных путей
Ингаляционная терапия с помощью небулайзеров является неотъемлемой частью очистки дыхательных путей. Муколитические препараты, такие как дорназа альфа или гипертонический раствор хлорида натрия, вводятся ингаляционно для разжижения мокроты. Ингаляции, как правило, проводятся перед физической терапией, чтобы максимально облегчить процесс дренажа и откашливания.
Физическая активность и упражнения при муковисцидозе
Помимо специфических дыхательных техник, регулярная физическая активность и упражнения имеют огромное значение для людей с муковисцидозом. Они способствуют улучшению общего состояния, повышению выносливости и борьбе с последствиями заболевания.
Виды физической активности, рекомендованные при МВ
Цель физической активности — улучшение кардиореспираторной функции, укрепление мышц и поддержание нормальной массы тела.
Рекомендуются следующие виды упражнений:
- Аэробные упражнения: Плавание, бег трусцой, быстрая ходьба, езда на велосипеде, танцы. Эти виды активности улучшают работу сердечно-сосудистой и дыхательной систем, способствуют глубокому дыханию и стимулируют откашливание.
- Силовые упражнения: Упражнения с легкими весами, собственным весом, занятия на тренажерах. Помогают укрепить мышцы, в том числе дыхательные, и поддержать плотность костной ткани, что особенно важно при риске остеопороза.
- Упражнения на гибкость и растяжку: Йога, Пилатес. Улучшают подвижность грудной клетки, способствуя более полному раскрытию легких и облегчая дыхание.
- Спортивные игры: Футбол, баскетбол, волейбол (с учетом индивидуальных возможностей). Могут быть отличным способом поддержания активности и мотивации.
Особенности тренировок и меры предосторожности
Физические нагрузки должны быть подобраны индивидуально и могут требовать корректировки в зависимости от состояния здоровья, фазы заболевания и наличия осложнений.
Важные аспекты и меры предосторожности:
- Индивидуализация: Программа упражнений должна разрабатываться совместно с врачом и физическим терапевтом.
- Гидратация и восполнение солей: Из-за аномально соленого пота пациентам с МВ крайне важно адекватно пить воду и при необходимости использовать солевые добавки, особенно при интенсивных нагрузках или в жаркую погоду.
- Постепенное увеличение нагрузки: Начинать с малых нагрузок и постепенно увеличивать их интенсивность и продолжительность.
- Мониторинг состояния: Внимательное отношение к своему самочувствию. При появлении одышки, головокружения, болей в груди следует прекратить упражнение и проконсультироваться с врачом.
- Сочетание с ОДП: Физическая активность сама по себе может способствовать отхождению мокроты, но не заменяет специализированные методы очистки дыхательных путей.
Индивидуальный подход и роль мультидисциплинарной команды
Эффективность физической терапии и реабилитации при муковисцидозе во многом зависит от индивидуального подхода и слаженной работы мультидисциплинарной команды. В состав такой команды обычно входят пульмонолог, физический терапевт (физиотерапевт), диетолог, социальный работник и психолог.
- Физический терапевт обучает пациента и его семью правильному выполнению дыхательных техник, подбирает оптимальные упражнения и контролирует их эффективность.
- Врач оценивает состояние легких, наличие инфекций и общую переносимость нагрузок.
- Диетолог помогает поддерживать адекватное питание для компенсации высоких энергетических затрат, связанных с активностью.
Совместная работа позволяет адаптировать программу под меняющиеся потребности пациента, обеспечивая максимальную пользу от реабилитационных мероприятий.
Значение регулярности и приверженности лечению
Дыхательные техники и физическая активность требуют значительных временных затрат и самодисциплины. Однако регулярное и последовательное выполнение всех рекомендаций играет критически важную роль в замедлении прогрессирования заболевания и предотвращении серьезных осложнений. Постоянная приверженность физической терапии позволяет сохранять функцию легких, поддерживать физическую активность, снижать частоту обострений и, в конечном итоге, значительно улучшать прогноз и качество жизни людей с муковисцидозом. Пациенты и их семьи должны быть хорошо информированы о важности каждого аспекта реабилитационной программы и получать постоянную поддержку для поддержания мотивации.
Питание и диета при муковисцидозе: роль ферментной заместительной терапии
Поддержание оптимального статуса питания является одним из краеугольных камней в комплексном управлении муковисцидозом (МВ). Адекватное питание играет решающую роль в поддержании функции легких, повышении сопротивляемости инфекциям, обеспечении нормального роста и развития у детей, а также в улучшении общего качества жизни. Однако особенности заболевания создают значительные вызовы для пациентов, требуя специализированного подхода к диете и обязательного применения ферментной заместительной терапии.
Патогенез нарушений питания при муковисцидозе
Нарушения питания при муковисцидозе обусловлены сложным комплексом факторов, среди которых центральное место занимает экзокринная недостаточность поджелудочной железы. Это состояние приводит к значительной мальабсорбции, то есть нарушению всасывания питательных веществ.
Основные причины недостаточного питания включают:
- Экзокринная недостаточность поджелудочной железы: Густая слизь закупоривает протоки поджелудочной железы, препятствуя поступлению пищеварительных ферментов (липазы, амилазы, протеазы) в тонкий кишечник. В результате жиры, белки и сложные углеводы не перевариваются должным образом, и организм не может усвоить их в необходимом объеме.
- Повышенные энергетические потребности: Хронические легочные инфекции, постоянное воспаление, повышенная работа дыхательных мышц и кашель значительно увеличивают расход энергии организмом. Эти затраты могут быть на 20-50% выше, чем у здоровых людей.
- Нарушения метаболизма: Хроническое воспаление и инфекции могут влиять на метаболизм питательных веществ, приводя к их усиленному расходу.
- Дефицит желчных кислот: У некоторых пациентов с поражением печени может наблюдаться нарушение циркуляции желчных кислот, необходимых для эмульгирования и всасывания жиров.
- Повышенная потеря солей: Из-за аномально соленого пота происходит потеря электролитов, что также влияет на общий обмен веществ.
Все эти факторы в совокупности ведут к дефициту массы тела, задержке роста, истощению мышечной массы и недостаточности жирорастворимых витаминов.
Принципы высококалорийной диеты при муковисцидозе
Целью диетотерапии при муковисцидозе является обеспечение организма достаточным количеством энергии и питательных веществ для поддержания нормального роста, веса и функций органов. Диета должна быть высококалорийной, высокобелковой и высокожировой, адаптированной к индивидуальным потребностям пациента.
Основные принципы диеты:
- Высокая энергетическая ценность: Рекомендуется потребление калорий, превышающее стандартные нормы для здоровых людей того же возраста и пола, часто на 120-150%.
- Повышенное содержание жиров: Жиры являются наиболее концентрированным источником энергии. Несмотря на мальабсорбцию, при адекватной ферментной заместительной терапии, высокожировая диета хорошо усваивается. Приоритет отдается полезным жирам, таким как оливковое масло, авокадо, орехи, семена, жирная рыба.
- Достаточное количество белка: Белок необходим для роста, восстановления тканей и поддержания иммунитета. В рацион следует включать мясо, птицу, рыбу, яйца, молочные продукты, бобовые.
- Комплексные углеводы: Обеспечивают постоянный источник энергии. Это цельнозерновые продукты, овощи, фрукты.
- Частое дробное питание: Приемы пищи должны быть регулярными (5-6 раз в день) и небольшими по объему, чтобы облегчить пищеварение и усвоение.
- Обогащение блюд: Для увеличения калорийности можно добавлять в еду дополнительные источники жира (масло, сливки, сыр) и белка (сухое молоко, протеиновые добавки).
Важно помнить, что соблюдение диеты должно сочетаться с правильным приемом панкреатических ферментов, чтобы обеспечить эффективное усвоение всех питательных веществ.
Ферментная заместительная терапия (ФЗТ): краеугольный камень диетотерапии
Ферментная заместительная терапия (ФЗТ) является неотъемлемой частью лечения муковисцидоза для большинства пациентов с экзокринной недостаточностью поджелудочной железы. Она направлена на компенсацию дефицита собственных пищеварительных ферментов, обеспечивая расщепление и усвоение жиров, белков и углеводов.
Применение ФЗТ позволяет:
- Нормализовать пищеварение и уменьшить симптомы мальабсорбции (стеаторея, метеоризм, боли в животе).
- Поддерживать адекватный статус питания, нормальный рост и вес.
- Предотвратить дефицит жирорастворимых витаминов.
Современные ферментные препараты выпускаются в виде микросферических гранул в капсулах, покрытых кишечнорастворимой оболочкой. Это обеспечивает их защиту от кислотной среды желудка и высвобождение ферментов непосредственно в тонком кишечнике, где происходит основное пищеварение.
Правила приема панкреатических ферментов при муковисцидозе
Эффективность ферментной заместительной терапии напрямую зависит от правильности ее применения. Необходимо строго соблюдать рекомендации врача по дозировке и времени приема.
Основные правила приема панкреатических ферментов:
- Прием с каждым приемом пищи и закусками: Ферменты следует принимать непосредственно перед началом или во время каждого приема пищи, включая даже небольшие перекусы. Это обеспечивает их смешивание с пищевым комком и максимальную эффективность.
- Индивидуальная дозировка: Доза ферментов подбирается индивидуально врачом на основе веса пациента, количества потребляемых жиров и выраженности симптомов мальабсорбции. Как правило, дозировка рассчитывается по содержанию липазы.
- Проглатывание капсул целиком: Капсулы нельзя жевать или дробить, чтобы не повредить защитную оболочку микросфер и не инактивировать ферменты желудочным соком.
- Для младенцев и маленьких детей: Капсулы можно вскрывать, а микросферы смешивать с небольшим количеством кислой пищи (например, яблочное пюре, йогурт), которую ребенок сразу съедает. Важно не смешивать с молоком или молочными смесями, так как это может привести к инактивации ферментов.
- Достаточное количество жидкости: Капсулы следует запивать достаточным количеством воды, чтобы облегчить их проглатывание.
- Регулярная корректировка дозы: Дозировка ферментов может меняться в зависимости от возраста, веса, аппетита, состава диеты и общего состояния пациента. Регулярные консультации с врачом и диетологом необходимы для своевременной коррекции.
- Признаки неэффективности: Если, несмотря на прием ферментов, сохраняются признаки стеатореи (жирный, объемный, зловонный стул), боли в животе, метеоризм или недостаточный набор веса, необходимо пересмотреть дозу или режим приема.
Максимальная рекомендованная доза липазы обычно составляет 10 000 ЕД/кг/сутки или 4 000 ЕД/г жира, чтобы избежать возможных осложнений, таких как фиброзирующая колонопатия.
Коррекция дефицита жирорастворимых витаминов при муковисцидозе
Из-за нарушения всасывания жиров при муковисцидозе почти все пациенты страдают от дефицита жирорастворимых витаминов — А, D, Е и К. Эти витамины играют важнейшую роль в различных функциях организма.
Последствия дефицита и важность коррекции:
- Витамин А: Необходим для зрения, роста, поддержания иммунной системы и здоровья эпителиальных тканей. Дефицит может привести к нарушениям сумеречного зрения и сухости глаз.
- Витамин D: Критически важен для метаболизма кальция и фосфора, здоровья костей, а также для иммунной функции. Дефицит ассоциирован с остеопенией, остеопорозом и повышенным риском переломов.
- Витамин Е: Мощный антиоксидант, защищающий клетки от повреждений. Дефицит может вызывать неврологические нарушения.
- Витамин К: Необходим для нормального свертывания крови и здоровья костей. Дефицит может проявляться повышенной кровоточивостью.
Всем пациентам с муковисцидозом рекомендуется ежедневный прием специализированных комплексов жирорастворимых витаминов в лечебных дозах, значительно превышающих обычные суточные нормы. Дозировка подбирается индивидуально врачом на основе лабораторных показателей уровня витаминов в крови, которые регулярно контролируются.
Поддержание водного и солевого баланса
Одной из характерных особенностей муковисцидоза является аномально соленый пот, что приводит к значительным потерям натрия и хлора из организма. Это увеличивает риск обезвоживания и электролитных нарушений, особенно при интенсивных физических нагрузках, высокой температуре окружающей среды или лихорадке.
Рекомендации по поддержанию баланса:
- Адекватное потребление жидкости: Необходимо пить достаточное количество воды в течение дня.
- Дополнительное потребление соли: В жаркую погоду, при физической активности, лихорадке или рвоте/диарее рекомендуется увеличивать потребление соли. Это может быть реализовано через соленые закуски, изотонические напитки или специальные солевые добавки по рекомендации врача.
Эти меры помогают предотвратить симптомы дегидратации, такие как слабость, головная боль, мышечные судороги и усталость.
Мониторинг статуса питания и роль диетолога
Регулярный мониторинг статуса питания является обязательной частью ведения пациентов с муковисцидозом. Это позволяет своевременно выявлять и корректировать нарушения питания, предотвращая их негативное влияние на общее состояние здоровья и функцию легких.
Ключевые показатели для мониторинга:
- Антропометрические данные: Регулярное измерение роста и веса, расчет индекса массы тела (ИМТ) у детей и взрослых. Эти показатели помогают оценить динамику физического развития.
- Биохимические анализы крови: Определение уровня жирорастворимых витаминов (А, D, Е, К), общего белка и альбумина в сыворотке крови для выявления дефицитов.
- Анализ кала на панкреатическую эластазу-1: Оценка экзокринной функции поджелудочной железы, что может указывать на необходимость корректировки ФЗТ.
- Копрограмма: Оценка переваривания пищи, в том числе наличия непереваренных жиров.
Важную роль в этом процессе играет специализированный диетолог, работающий в мультидисциплинарной команде по муковисцидозу. Диетолог помогает разработать индивидуальный план питания, обучает пациента и его семью правилам приема ферментов, консультирует по вопросам обогащения рациона, подбора витаминных добавок и отвечает на возникающие вопросы.
Дополнительные методы поддержки питания
В некоторых случаях, когда высококалорийная диета и ферментная заместительная терапия не позволяют достичь адекватного статуса питания, могут потребоваться дополнительные методы поддержки.
К ним относятся:
- Энтеральное питание: Это введение высококалорийных, легкоусвояемых смесей непосредственно в желудок или тонкий кишечник через зонд (назогастральный) или путем гастростомии (установка трубки в желудок через переднюю брюшную стенку). Энтеральное питание часто используется ночью, чтобы обеспечить дополнительные калории без перегрузки пищеварительной системы днем.
- Пероральные пищевые добавки: Высококалорийные белково-энергетические напитки и смеси могут быть рекомендованы в дополнение к обычной диете для увеличения общего потребления калорий и белка.
- Парентеральное питание: Вводится внутривенно при крайне тяжелых нарушениях пищеварения или в периоды обострений, когда энтеральное питание невозможно или неэффективно. Этот метод применяется редко и под строгим контролем.
Эти методы помогают избежать тяжелой дистрофии и улучшить прогноз, особенно у пациентов с выраженным отставанием в росте и весе. Совместная работа врача, диетолога и других специалистов позволяет подобрать наиболее эффективную стратегию поддержки питания для каждого пациента с муковисцидозом.
Жизнь с муковисцидозом: адаптация, психосоциальная поддержка и образование
Диагноз муковисцидоза (МВ) затрагивает не только физическое здоровье человека, но и все аспекты его жизни, а также жизнь всей семьи. Эффективное управление заболеванием требует не только медицинских вмешательств, но и комплексной адаптации к новому образу жизни, мощной психосоциальной поддержки и непрерывного образования. Понимание этих аспектов помогает пациентам и их близким обрести контроль над ситуацией, улучшить качество жизни и минимизировать влияние МВ на повседневную деятельность.
Ежедневная рутина и приверженность лечению при МВ
Жизнь с муковисцидозом сопряжена с необходимостью строгого и ежедневного выполнения множества процедур, что может стать серьезным испытанием. К ним относятся регулярные ингаляции, дыхательная гимнастика, прием ферментов и витаминов, а также другие терапевтические мероприятия. Интеграция этих рутинных задач в повседневную жизнь требует дисциплины, планирования и поддержки со стороны окружающих.
Ключевые аспекты адаптации к ежедневной рутине включают:
- Планирование расписания: Создание четкого графика процедур помогает структурировать день и минимизировать пропуски. Рекомендуется выделять определенное время для ингаляций и физической терапии, например, утром до школы/работы и вечером.
- Интеграция в деятельность: По возможности, процедуры можно совмещать с другими занятиями. Например, слушать аудиокниги или смотреть фильмы во время ингаляций.
- Вовлечение семьи: Для детей выполнение процедур становится совместным делом с родителями. Важно обучать и вовлекать членов семьи, которые могут помочь в проведении физической терапии или напомнить о приеме препаратов.
- Использование гаджетов и напоминаний: Мобильные приложения или будильники могут стать надежными помощниками в отслеживании расписания и приеме лекарств.
- Гибкость и адаптация: Рутина не должна быть жесткой и неизменной. Важно научиться адаптировать ее к изменениям в состоянии здоровья, путешествиям или другим жизненным обстоятельствам.
Приверженность лечению — это основа успешного контроля над муковисцидозом, позволяющая замедлить прогрессирование болезни и предотвратить осложнения.
Психологические аспекты жизни с муковисцидозом
Хронический характер муковисцидоза, необходимость постоянного лечения и связанные с ним ограничения часто приводят к значительным эмоциональным и психологическим трудностям. Важно своевременно распознавать эти состояния и обращаться за помощью.
Распространенные психологические проблемы при МВ:
- Тревожность и депрессия: Могут развиваться как у пациентов, так и у их родителей из-за неопределенности будущего, страха перед обострениями и ограничениями в повседневной жизни.
- Чувство изоляции: Потребность в соблюдении гигиены, избегание контакта с другими пациентами с МВ (из-за риска перекрестных инфекций) и ограничения в социальной активности могут вызывать чувство одиночества.
- Стресс: Постоянное беспокойство о здоровье, финансовое бремя лечения и необходимость соблюдать сложные медицинские режимы могут быть источником хронического стресса.
- Проблемы с самооценкой и образом тела: Особенно у подростков могут возникать комплексы по поводу низкого веса, отставания в росте или внешних признаков болезни.
- Гнев и фрустрация: Естественные реакции на несправедливость и ограничения, налагаемые болезнью.
Психологическая поддержка является неотъемлемой частью комплексного ведения пациентов с муковисцидозом. Она может включать индивидуальную или групповую терапию, обучение стратегиям преодоления стресса и кризисное консультирование.
Социальная адаптация и общение при муковисцидозом
Для людей с муковисцидозом важно поддерживать активную социальную жизнь, учиться и работать, несмотря на заболевание. Это требует определенных усилий по адаптации и информированию окружающих.
Основные вызовы и стратегии социальной адаптации:
- Обучение в школе и вузе:
- Информирование учителей: Предоставление информации о заболевании, необходимости регулярных процедур, особом питании и возможных ограничениях.
- Обеспечение условий: Возможность принимать ферменты во время еды, доступ к месту для проведения ингаляций, гибкий график для посещения врачей.
- Индивидуальный план обучения: В некоторых случаях может потребоваться адаптация учебной программы или домашнее обучение.
- Профессиональная деятельность:
- Выбор профессии: Рекомендуется избегать профессий, связанных с пылью, химикатами, перепадами температур или тяжелым физическим трудом, которые могут усугубить легочные проблемы.
- Гибкий график работы: Многие работодатели готовы идти навстречу, предоставляя возможность удаленной работы или гибкого графика.
- Общение и межличностные отношения:
- Открытость и честность: Обсуждение своего состояния с близкими друзьями и партнерами помогает им лучше понять вас и оказать поддержку.
- Группы поддержки: Общение с другими людьми, страдающими муковисцидозом, или их семьями может дать ценный опыт, чувство общности и снизить ощущение изоляции.
- Безопасное взаимодействие: Избегайте прямого контакта с другими пациентами с МВ из-за риска перекрестного инфицирования бактериями (например, Pseudomonas aeruginosa). Всегда соблюдайте дистанцию не менее двух метров.
Активная социальная жизнь и успешная интеграция помогают поддерживать эмоциональное благополучие и улучшают общее качество жизни.
Роль образования и информированности о МВ
Образование является мощным инструментом в управлении муковисцидозом, расширяя возможности пациентов и их семей принимать обоснованные решения и активно участвовать в лечебном процессе. Знания о заболевании, методах лечения и возможных осложнениях помогают контролировать ситуацию.
Направления образования и информированности:
- Образование пациента:
- Понимание МВ: Детальное знание о том, как муковисцидоз влияет на организм, какова функция гена CFTR и почему важно соблюдать режим лечения.
- Техники лечения: Правильное выполнение ингаляций, физической терапии, прием ферментов и самостоятельный мониторинг состояния.
- Распознавание осложнений: Знание симптомов обострений или развития новых осложнений, чтобы своевременно обратиться за медицинской помощью.
- Самоадвокация: Умение отстаивать свои права в школе, на работе, в медицинских учреждениях и получать необходимую поддержку.
- Образование семьи:
- Обучение уходу: Члены семьи, особенно родители, должны быть обучены всем аспектам ухода за пациентом, включая техники физической терапии, приготовление пищи и поддержку в психологическом плане.
- Генетическое консультирование: Понимание рисков наследования муковисцидоза для планирования семьи.
- Общественное информирование:
- Развенчание мифов: Распространение достоверной информации о МВ помогает бороться со стигматизацией и предрассудками.
- Привлечение внимания: Повышение осведомленности общества способствует сбору средств на исследования и поддержку пациентов.
Регулярные консультации с врачом, медсестрой, диетологом и физическим терапевтом помогают поддерживать актуальный уровень знаний и корректировать подходы к лечению.
Поддержка семьи и роль мультидисциплинарной команды при муковисцидозе
Муковисцидоз — это семейное заболевание, и нагрузка на семью может быть огромной. Эффективная поддержка со стороны медицинского персонала и сообщества играет решающую роль в поддержании благополучия пациента и его близких.
Формы поддержки и состав команды:
- Семейная поддержка:
- Взаимопомощь: Распределение обязанностей по уходу между членами семьи.
- Открытое общение: Возможность обсуждать страхи, беспокойства и успехи внутри семьи.
- Время для себя: Родителям и другим членам семьи важно находить время для отдыха и личных интересов, чтобы избежать выгорания.
- Мультидисциплинарная команда:
- Пульмонолог: Ведущий специалист, координирующий лечение легочных проявлений.
- Гастроэнтеролог/Диетолог: Отвечает за вопросы питания, ферментной заместительной терапии и усвоения витаминов.
- Физический терапевт: Обучает дыхательным техникам и разрабатывает программы физической активности.
- Медсестра-координатор: Помогает управлять расписанием, препаратами, организует визиты к специалистам и является связующим звеном между семьей и клиникой.
- Психолог/Психиатр: Оказывает поддержку в вопросах ментального здоровья, помогает справляться со стрессом, тревогой и депрессией.
- Социальный работник: Предоставляет информацию о социальной поддержке, льготах, школьной адаптации и трудоустройстве.
- Другие специалисты: Эндокринолог (при сахарном диабете), оториноларинголог (при полипах и синуситах), уролог/андролог (при проблемах с фертильностью).
- Группы поддержки и фонды:
- Организации и фонды, занимающиеся муковисцидозом, предлагают ценную информацию, финансовую помощь и возможность общения с другими семьями, столкнувшимися с этой болезнью.
Комплексный подход и постоянная поддержка помогают пациентам и их семьям не только справляться с вызовами муковисцидоза, но и вести полноценную, активную жизнь.
Профилактика осложнений муковисцидоза: стратегии защиты и регулярный мониторинг
Эффективная профилактика осложнений муковисцидоза (МВ) и систематический мониторинг состояния являются краеугольными камнями в управлении заболеванием, позволяя замедлить его прогрессирование, предотвратить развитие необратимых изменений в органах и значительно улучшить качество жизни пациентов. Комплексный подход к профилактике включает широкий спектр мер, направленных на защиту наиболее уязвимых систем организма.
Профилактика легочных осложнений: инфекционный контроль и поддержание проходимости дыхательных путей
Легочные осложнения представляют собой основную причину заболеваемости и смертности при муковисцидозе. Профилактические мероприятия направлены на минимизацию риска инфекций и обеспечение эффективного дренажа дыхательных путей.
Основные стратегии защиты дыхательной системы:
- Строгий инфекционный контроль:
- Вакцинация: Регулярная иммунизация против гриппа, пневмококковой инфекции, коклюша и других респираторных заболеваний согласно национальному календарю прививок и дополнительным рекомендациям для пациентов с хроническими легочными заболеваниями.
- Гигиенические меры: Тщательное мытье рук, избегание контакта с больными ОРВИ и другими респираторными инфекциями, а также минимизация контактов между пациентами с муковисцидозом для предотвращения перекрестного инфицирования, особенно Pseudomonas aeruginosa.
- Окружающая среда: Избегание воздействия табачного дыма, загрязненного воздуха, пыли и аллергенов, которые могут усугублять воспаление в дыхательных путях.
- Поддержание проходимости дыхательных путей:
- Ежедневная физическая терапия: Регулярное выполнение методов очистки дыхательных путей, таких как постуральный дренаж, перкуссия, аутогенный дренаж, активный цикл дыхательных техник, а также использование устройств для создания положительного давления на выдохе (Флаттер, Акапелла, ПЭП-терапия) или высокочастотных осцилляторов грудной стенки. Эти методы способствуют разжижению и эвакуации густой мокроты, предотвращая ее застой и колонизацию бактериями.
- Ингаляционная терапия муколитиками: Регулярные ингаляции дорназы альфа и гипертонического раствора хлорида натрия, которые разжижают вязкий секрет и облегчают его выведение.
- Раннее выявление и агрессивное лечение инфекций: При первых признаках обострения легочного процесса (усиление кашля, изменение характера мокроты, повышение температуры) необходимо немедленно начинать адекватную антибактериальную терапию, подобранную с учетом чувствительности выделенных микроорганизмов.
Нутритивный статус и профилактика дефицитов: роль диеты и витаминной поддержки
Адекватное питание имеет критическое значение для поддержания функции легких и общего здоровья при МВ. Нарушения нутритивного статуса увеличивают риск легочных осложнений и снижают продолжительность жизни.
Ключевые аспекты нутритивной профилактики:
- Высококалорийная, высокожировая и высокобелковая диета: Рекомендуется потребление значительно большего количества калорий, чем для здоровых людей, для компенсации мальабсорбции и повышенных энергетических затрат. Важно обеспечить достаточное количество жиров и белков.
- Ферментная заместительная терапия: Строгое соблюдение режима приема панкреатических ферментов с каждым приемом пищи и закусками. Это обеспечивает адекватное переваривание и усвоение жиров, белков и углеводов.
- Коррекция дефицита жирорастворимых витаминов: Ежедневный прием специализированных комплексов витаминов A, D, E, K в дозах, значительно превышающих обычные. Регулярный контроль уровня этих витаминов в крови позволяет корректировать дозировки и предотвращать развитие осложнений (например, остеопении и остеопороза из-за дефицита витамина D, проблем со зрением из-за дефицита витамина А).
- Поддержание водного и солевого баланса: Адекватное потребление жидкости и дополнительное потребление соли, особенно в жаркую погоду, при физических нагрузках или лихорадке, для компенсации избыточной потери солей с потом.
Предупреждение осложнений со стороны пищеварительной системы
Осложнения пищеварительной системы, помимо панкреатической недостаточности, также требуют внимания для профилактики.
Меры предупреждения:
- Мониторинг функции печени: Регулярное ультразвуковое исследование органов брюшной полости и контроль уровня печеночных ферментов для раннего выявления признаков холестаза или билиарного цирроза. При необходимости могут быть назначены препараты урсодезоксихолевой кислоты для улучшения оттока желчи.
- Профилактика кишечных осложнений: Адекватная гидратация и достаточный прием ферментов помогают предотвратить синдром дистальной интестинальной обструкции (СДИО) и хронические запоры. При необходимости могут использоваться слабительные средства или осмотические препараты.
Скрининг и управление специфическими осложнениями
Своевременное выявление и лечение специфических для муковисцидоза осложнений позволяет избежать их тяжелых последствий.
Основные направления скрининга:
- Скрининг на сахарный диабет, связанный с муковисцидозом: Начиная с 10-летнего возраста, рекомендуется ежегодно проводить оральный глюкозотолерантный тест для раннего выявления нарушений углеводного обмена. Своевременное назначение инсулинотерапии помогает предотвратить катаболизм и сохранить функцию легких.
- Мониторинг плотности костной ткани: Регулярная денситометрия (DEXA-сканирование) для оценки минеральной плотности костей, особенно у подростков и взрослых. При выявлении остеопении или остеопороза назначаются добавки кальция, витамина D и, при необходимости, бисфосфонаты.
- Оценка репродуктивной функции: Консультирование по вопросам фертильности и возможностям вспомогательных репродуктивных технологий для мужчин и женщин с МВ.
- Психологический скрининг: Регулярная оценка психоэмоционального состояния пациентов и их семей для выявления признаков тревожности, депрессии или выгорания. При необходимости назначается консультация психолога или психиатра.
Регулярный мониторинг и динамическое наблюдение: график обследований
Постоянный мониторинг состояния здоровья пациента с МВ осуществляется мультидисциплинарной командой специалистов. Регулярность обследований позволяет своевременно реагировать на изменения и корректировать терапевтический план.
Ключевые параметры и частота обследований могут варьироваться, но обычно включают:
| Параметр мониторинга | Метод обследования | Рекомендуемая частота |
|---|---|---|
| Легочная функция | Спирометрия, пульсоксиметрия | Ежеквартально или чаще, при обострениях |
| Бактериологический статус легких | Посев мокроты или мазка из зева/носа | Ежеквартально |
| Общее состояние крови | Общий анализ крови | Ежеквартально или по показаниям |
| Нутритивный статус | Измерение роста, веса, ИМТ | Ежемесячно (у детей), ежеквартально (у взрослых) |
| Усвоение ферментов | Копрограмма, анализ кала на панкреатическую эластазу-1 | Ежегодно или при изменениях стула |
| Жирорастворимые витамины | Уровень витаминов A, D, E, K в крови | Ежегодно (при стабильном состоянии) или чаще |
| Функция печени | Биохимический анализ крови (АлТ, АсТ, ЩФ, билирубин), УЗИ печени | Ежегодно или по показаниям |
| Углеводный обмен | Оральный глюкозотолерантный тест | Ежегодно (с 10 лет) |
| Плотность костной ткани | Денситометрия (DEXA-сканирование) | Раз в 1-2 года (с 8-10 лет) |
| Психоэмоциональное состояние | Опрос, консультация психолога | Ежегодно или по мере необходимости |
Регулярные визиты к врачу (обычно каждые 1-3 месяца) позволяют проводить комплексную оценку, обсуждать прогресс, адаптировать лечение и предоставлять необходимую поддержку.
Роль пациента и семьи в профилактике осложнений
Активное участие пациента и его семьи является ключевым фактором успешной профилактики осложнений муковисцидоза. Это включает не только строгое соблюдение всех медицинских рекомендаций, но и постоянное образование, самонаблюдение и открытое общение с медицинской командой.
Основные аспекты участия:
- Приверженность лечению: Дисциплинированное выполнение ежедневных процедур, прием медикаментов и соблюдение диеты.
- Самомониторинг: Внимательное отношение к своему состоянию, отслеживание симптомов (изменение кашля, мокроты, веса, аппетита) и своевременное сообщение о любых тревожных признаках врачу.
- Образование: Глубокое понимание природы муковисцидоза, его возможных осложнений и методов их профилактики. Это дает возможность принимать информированные решения и активно участвовать в своем лечении.
- Открытое общение: Поддержание регулярного контакта с мультидисциплинарной командой, задавание вопросов и обсуждение любых проблем или опасений.
Совместные усилия медицинских специалистов, пациента и его семьи создают прочную основу для минимизации риска осложнений и обеспечения максимально полноценной и продуктивной жизни с муковисцидозом.
Инновационные методы лечения муковисцидоза: модуляторы CFTR и генная терапия
В последние десятилетия подходы к лечению муковисцидоза (МВ) претерпели значительные изменения. Если ранее терапия была направлена преимущественно на купирование симптомов и профилактику осложнений, то современные инновационные методы лечения МВ нацелены на коррекцию основной генетической поломки. Эти прорывные разработки открывают новые перспективы для пациентов, значительно улучшая прогноз и качество жизни.
Революция в терапии: модуляторы белка CFTR
Модуляторы CFTR представляют собой класс лекарственных средств, которые непосредственно воздействуют на дефектный белок-регулятор трансмембранной проводимости муковисцидоза (CFTR), восстанавливая его функцию. Разработка этих препаратов стала настоящей революцией в лечении кистозного фиброза, переведя его из категории исключительно симптоматической терапии в область патогенетического лечения. Они изменяют течение заболевания, позволяя белку CFTR выполнять свои функции по транспортировке ионов хлора и воды, что приводит к разжижению слизи и улучшению работы пораженных органов.
Классы модуляторов CFTR и их применение
Эффективность модуляторов CFTR строго зависит от конкретного типа мутации гена CFTR у пациента. Поэтому перед назначением таких препаратов обязателен точный генетический анализ. Препараты делятся на несколько классов в зависимости от механизма действия:
| Класс модулятора | Механизм действия | Примеры препаратов (действующие вещества) | Типы мутаций, на которые воздействует |
|---|---|---|---|
| Потенциаторы | Открывают хлорный канал, который достигает клеточной поверхности, но остается "закрытым", увеличивая ток хлоридов. | Ивакафтор (Ivacaftor) | Мутации класса III (нарушение функции затвора), например, G551D. |
| Корректоры | Помогают дефектному белку CFTR правильно "свернуться", переместиться на клеточную поверхность и встроиться в мембрану. | Лумакафтор (Lumacaftor), Тезакафтор (Tezacaftor), Элексакафтор (Elexacaftor) | Мутации класса II (нарушение обработки белка), такие как самая распространенная ΔF508. |
| Комбинированные препараты | Сочетают корректоры и потенциаторы для комплексного воздействия на дефектный белок CFTR. | Лумакафтор/Ивакафтор; Тезакафтор/Ивакафтор; Элексакафтор/Тезакафтор/Ивакафтор (тройная комбинация) | Мутации класса II (одна или две копии ΔF508), в комбинации с другими мутациями, чувствительными к потенцированию. Тройная комбинация наиболее эффективна для пациентов с как минимум одной копией ΔF508. |
Назначение этих препаратов является строго индивидуальным и осуществляется только после тщательного генетического обследования и оценки состояния пациента.
Преимущества и ограничения таргетной терапии
Таргетная терапия муковисцидоза модуляторами CFTR значительно изменила прогноз для многих пациентов, однако она имеет свои преимущества и ограничения.
- Преимущества:
- Значительное улучшение функции легких: Замедляется снижение объема форсированного выдоха за 1 секунду (ОФВ1).
- Улучшение нутритивного статуса: Способствует набору веса и улучшению роста за счет повышения эффективности пищеварения.
- Сокращение частоты легочных обострений и госпитализаций: Уменьшается потребность в антибиотикотерапии.
- Повышение качества жизни: Пациенты чувствуют себя лучше, становятся более активными.
- Замедление прогрессирования заболевания: Воздействие на молекулярный дефект приводит к долгосрочному улучшению.
- Ограничения:
- Мутационно-специфический характер: Препараты эффективны только для определенных мутаций CFTR; для пациентов с мутациями Класса I (где белок не синтезируется вовсе) модуляторы, как правило, неэффективны.
- Высокая стоимость: Лечение очень дорогостоящее, что делает его недоступным во многих регионах без государственной поддержки или специальных программ.
- Необходимость пожизненного приема: Модуляторы CFTR не излечивают заболевание, а лишь корректируют функцию белка, поэтому их необходимо принимать постоянно.
- Потенциальные побочные эффекты: Как и любое лекарственное средство, модуляторы могут вызывать побочные реакции, требующие мониторинга.
- Не являются полным излечением: Несмотря на значительные улучшения, пациенты по-прежнему нуждаются в комплексной поддерживающей терапии, включая физическую реабилитацию, ферменты и витамины.
Несмотря на ограничения, модуляторы CFTR представляют собой огромный шаг вперед в лечении муковисцидоза, предлагая надежду на более долгую и качественную жизнь для многих пациентов.
Перспективы будущего: генная терапия при муковисцидозе
Генная терапия является одним из самых многообещающих направлений в лечении муковисцидоза, поскольку она нацелена на окончательное устранение первопричины заболевания — дефектного гена CFTR. Цель генной терапии — ввести в клетки пациента здоровую, функциональную копию гена CFTR, чтобы восстановить нормальный синтез белка и, как следствие, правильный транспорт хлоридов и воды. Это могло бы потенциально обеспечить однократное или значительно более редкое лечение, способное полностью изменить жизнь человека с МВ. Несмотря на то что эта область находится на стадии активных исследований и клинических испытаний, достигнутые успехи дают основания для оптимизма.
Основные подходы в разработке генной терапии
Разработка генной терапии для муковисцидоза включает несколько ключевых подходов, каждый из которых имеет свои особенности и технические вызовы:
- Вирусные векторы: Используются модифицированные вирусы (например, аденовирусы, аденоассоциированные вирусы - ААВ) для доставки здоровой копии гена CFTR в клетки-мишени. Вирусы естественным образом способны проникать в клетки, что делает их эффективными "транспортными средствами". Однако важно преодолеть иммунный ответ организма на вирусные векторы и обеспечить длительную экспрессию гена.
- Невирусные векторы: Включают липосомы (жировые капсулы), полимеры и наночастицы, которые инкапсулируют ДНК и доставляют ее в клетки. Эти методы часто менее иммуногенны, чем вирусные, но могут быть менее эффективны в доставке гена.
- Редактирование генома (CRISPR/Cas9): Эта технология позволяет "исправлять" дефектный ген CFTR непосредственно в геноме пациента, внося точечные изменения. Подход имеет потенциал для перманентной коррекции генетической ошибки, но требует высокой точности и безопасности, чтобы избежать нецелевых мутаций.
- Терапия стволовыми клетками: Предполагает извлечение стволовых клеток пациента, их генетическую модификацию (введение здоровой копии гена CFTR) и последующее возвращение в организм. Эти модифицированные клетки могут затем дифференцироваться и замещать поврежденные, производя функциональный белок CFTR.
Для лечения легочных проявлений муковисцидоза особый интерес представляют ингаляционные методы доставки генной терапии, направленные непосредственно в дыхательные пути.
Препятствия и надежды генной терапии
Генная терапия муковисцидоза обещает значительные прорывы, но сталкивается с рядом серьезных препятствий:
- Препятствия:
- Эффективность доставки: Доставка генетического материала во все необходимые клетки, особенно в легких, где густая слизь может препятствовать проникновению векторов, остается сложной задачей.
- Иммунный ответ: Организм может выработать иммунный ответ на используемые векторы или на сам синтезируемый белок CFTR, что снижает эффективность и длительность терапии.
- Длительность экспрессии: Необходимо обеспечить стабильную и долгосрочную экспрессию доставленного гена, чтобы избежать необходимости повторных процедур.
- Безопасность: Крайне важно гарантировать безопасность генной терапии, исключив нецелевые мутации, онкогенез (риск развития рака) и другие нежелательные побочные эффекты.
- Масштабируемость производства: Разработка методов для крупномасштабного и экономически эффективного производства геннотерапевтических препаратов.
- Надежды:
- Потенциальное излечение: Генная терапия может предложить не просто управление симптомами, а фундаментальное исправление генетического дефекта.
- Возможность однократного лечения: В идеале, успешная генная терапия может потребовать всего одной или нескольких процедур для достижения длительного эффекта.
- Предотвращение развития заболевания: Раннее вмешательство с помощью генной терапии потенциально способно предотвратить необратимые изменения в органах до их появления.
- Расширение терапевтических возможностей: Генная терапия может стать спасением для пациентов, у которых модуляторы CFTR неэффективны (например, при мутациях Класса I).
Ученые и врачи активно работают над преодолением этих препятствий. Каждый год приносит новые знания и технологии, приближая нас к безопасному и эффективному решению, которое может навсегда изменить жизнь людей с муковисцидозом.
Персонализированный подход и будущее лечения муковисцидоза
Будущее лечения муковисцидоза неразрывно связано с дальнейшим развитием персонализированной медицины. Генетический профиль каждого пациента становится ключевым фактором при выборе наиболее эффективной стратегии. В условиях появления инновационных методов, таких как модуляторы CFTR и потенциальная генная терапия, комплексный подход к лечению МВ продолжит играть определяющую роль, адаптируясь к меняющимся потребностям и научным открытиям.
Дальнейшие исследования направлены на создание новых модуляторов для редких мутаций, улучшение эффективности и безопасности генной терапии, а также на разработку комбинированных стратегий, которые могут сочетать различные подходы. Интеграция традиционной поддерживающей терапии (физическая реабилитация, нутритивная поддержка, антибактериальная терапия) с новейшими таргетными и генными методами будет максимально эффективно улучшать результаты лечения. Мультидисциплинарная команда продолжит координировать все аспекты ухода, обеспечивая индивидуализированный подход и поддержку для каждого пациента и его семьи. Все эти достижения дают значительную надежду на то, что муковисцидоз из неизлечимого заболевания превратится в хроническое состояние, полностью контролируемое, с сохранением высокого качества жизни и ее продолжительности.
Список литературы
- Клинические рекомендации «Муковисцидоз». Министерство здравоохранения Российской Федерации, 2021.
- Wilmott R.W., Bush A., Deterding R.R., Boat T.F. Kendig's Disorders of the Respiratory Tract in Children. 9th ed. Philadelphia, PA: Elsevier, 2019.
- Kliegman R.M., St. Geme J.W., Blum N.J. et al. Nelson Textbook of Pediatrics. 21st ed. Philadelphia, PA: Elsevier, 2020.
- Southern K.W., Munck A., Pollitt R., et al. Cystic Fibrosis Foundation consensus recommendations for the diagnosis of cystic fibrosis in newborns through older adults. J Pediatr. 2017;181S:S4-S12.e1.
Читайте также
Легочная гипертензия (ЛГ): полный гид по заболеванию от симптомов до лечения
Столкнулись с одышкой и усталостью, но не знаете причину? Наша статья поможет разобраться в причинах, симптомах и современных методах лечения этого сложного заболевания легких.
Легочный гистиоцитоз из клеток лангерганса: полное руководство для пациентов
Полное и достоверное руководство для пациентов о легочном гистиоцитозе из клеток Лангерганса (ЛГКЛ), включая причины, симптомы, методы диагностики, современные стратегии лечения и эффективные способы управления этим редким заболеванием легких.
Лимфангиолейомиоматоз (ЛАМ): полный гид по редкой патологии легких
Познакомьтесь с лимфангиолейомиоматозом (ЛАМ) – редким, но управляемым заболеванием легких. Узнайте о его природе, причинах, симптомах, современных методах диагностики и лечения, а также о способах поддержания качества жизни.
Лимфоидная интерстициальная пневмония (ЛИП): обрести контроль над дыханием
Столкнувшись с диагнозом лимфоидная интерстициальная пневмония, важно понимать суть заболевания. Эта статья подробно объясняет причины, симптомы и современные подходы к лечению, помогая вернуть уверенность в каждом вдохе.
Микроскопический полиангиит (МПА) с поражением легких: полное руководство для пациентов
Подробное руководство для пациентов о микроскопическом полиангиите с акцентом на легочные проявления: причины, симптомы, диагностика, современные методы лечения и особенности жизни с заболеванием.
Неинвазивная вентиляция легких (НИВ): метод поддержки дыхания без интубации
Изучите комплексную информацию о неинвазивной вентиляции легких: показания, принципы работы, типы аппаратов и режимов для эффективной поддержки дыхания и улучшения качества жизни без инвазивных процедур.
Неспецифическая интерстициальная пневмония (НСИП): ваш полный путеводитель
Погрузитесь в детальное изучение неспецифической интерстициальной пневмонии (НСИП): от её природы и причин до методов диагностики, современных подходов к лечению и рекомендаций по управлению состоянием, чтобы получить полное понимание этого заболевания легких.
Облитерирующий бронхиолит: полное руководство по диагностике и лечению
Разберитесь в облитерирующем бронхиолите (ОБ) с нашим экспертным руководством. Узнайте о причинах, симптомах, методах диагностики и современных подходах к лечению, чтобы обрести контроль над дыханием и жизнью.
Острая дыхательная недостаточность (ОДН): полное руководство по симптомам и лечению
Столкнулись с внезапной одышкой и нехваткой воздуха? Это может быть острая дыхательная недостаточность. Наша статья подробно объясняет, что это за состояние, почему оно возникает, как его распознать и какие современные методы лечения существуют для спасения жизни.
Острая эозинофильная пневмония (ОЭП): полное руководство по диагностике и лечению
Изучите острую эозинофильную пневмонию (ОЭП) – редкое, но потенциально серьезное заболевание легких. Узнайте о причинах, ключевых симптомах, современных методах диагностики и эффективных стратегиях лечения для быстрого выздоровления.
Вопросы пульмонологам
Все консультации пульмонологов
Девочка 11 лет очень часто начала болеть вирусными заболеваниями....
Врачи пульмонологи
Пульмонолог
ЕГМУ
Стаж работы: 7 л.
Пульмонолог, Терапевт
Пермский государственный медицинский университет им. акад. Е.А.Вагнера
Стаж работы: 32 л.
Пульмонолог
Челябинская государственная медицинская академия
Стаж работы: 24 л.
