Первичная цилиарная дискинезия (ПЦД) — это редкое наследственное заболевание, характеризующееся врожденным нарушением структуры или функции подвижных ресничек. Эти микроскопические органеллы, расположенные на поверхности клеток дыхательных путей, среднего уха и репродуктивной системы, выполняют функцию очистки от слизи, бактерий и частиц. При ПЦД нарушается их координированное движение, что приводит к застою секрета и хроническим инфекционно-воспалительным процессам в легких, околоносовых пазухах и ушах.
Нарушение мукоцилиарного клиренса (очистки дыхательных путей от слизи) является ключевым патогенетическим механизмом Первичной цилиарной дискинезии. Оно вызывает развитие бронхоэктазов (постоянного расширения бронхов) и хронических синуситов. У части пациентов с Первичной цилиарной дискинезией также отмечается обратное расположение внутренних органов (situs inversus), формирующее синдром Картагенера. Диагностика этого состояния основывается на анализе клинических проявлений, исследовании функции ресничек, определении уровня оксида азота в носовых ходах и генетическом тестировании.
Жизнь с Первичной цилиарной дискинезией требует пожизненной, комплексной стратегии лечения, направленной на поддержание проходимости дыхательных путей, предотвращение инфекций и управление осложнениями. Эффективное ведение состояния включает регулярные процедуры очистки дыхательных путей, антибактериальную терапию при обострениях и постоянное наблюдение у мультидисциплинарной команды специалистов. Цель терапии – минимизировать прогрессирование заболевания, сохранить функцию легких и адаптировать повседневную жизнь к хроническому диагнозу.
Что такое Первичная цилиарная дискинезия (ПЦД): определение и ключевые особенности
Первичная цилиарная дискинезия (ПЦД) представляет собой редкое генетически обусловленное заболевание, характеризующееся врожденным дефектом структуры или функции подвижных ресничек. Эти специализированные микроскопические структуры играют ключевую роль в очистке дыхательных путей, среднего уха и поддержании фертильности, обеспечивая координированное движение для удаления слизи, патогенов и чужеродных частиц. Нарушение их нормальной работы приводит к застою секрета и развитию хронических воспалительных процессов в различных органах.
Основные характеристики Первичной цилиарной дискинезии
ПЦД не является единичным заболеванием, а скорее группой синдромов с общим патогенетическим механизмом — дисфункцией ресничек. Основные особенности этого состояния включают:
- Генетическая природа: Первичная цилиарная дискинезия наследуется преимущественно по аутосомно-рецессивному типу, что означает необходимость получения двух дефектных копий гена (по одной от каждого родителя) для развития заболевания. Известно множество генов, мутации в которых могут приводить к ПЦД, объясняя значительную гетерогенность проявлений.
- Врожденный характер: Дефекты ресничек присутствуют с рождения, хотя клинические симптомы могут проявляться постепенно и усиливаться с возрастом.
- Нарушение мукоцилиарного клиренса: Это центральный патогенетический механизм при Первичной цилиарной дискинезии. Реснички дыхательных путей неспособны эффективно перемещать слизь наружу, что приводит к ее застою, создает благоприятную среду для роста бактерий и хронических инфекций.
- Полиорганное поражение: Заболевание влияет не только на дыхательную систему. Поскольку подвижные реснички присутствуют и в других органах, ПЦД может вызывать широкий спектр проблем, включая хронические заболевания уха (отиты) и пазух носа (синуситы), а также бесплодие у мужчин и снижение фертильности у женщин.
- Хроническое и прогрессирующее течение: Симптомы ПЦД обычно присутствуют на протяжении всей жизни и требуют постоянного управления. Без адекватного лечения заболевание может прогрессировать, приводя к необратимым изменениям в легких, таким как бронхоэктазы, и снижению легочной функции.
- Синдром Картагенера: У примерно половины пациентов с Первичной цилиарной дискинезией наблюдается обратное расположение внутренних органов, известное как situs inversus (зеркальное отражение органов). Сочетание situs inversus, хронического синусита и бронхоэктазов называется синдромом Картагенера. Это связано с тем, что реснички играют роль в определении асимметрии органов в эмбриональном развитии.
Механизмы дисфункции ресничек при ПЦД
Нарушения при Первичной цилиарной дискинезии могут быть связаны с различными аспектами структуры или движения ресничек. Это не просто их неподвижность, а более сложные дефекты, затрагивающие:
- Строение ресничек: Дефекты могут быть связаны с отсутствием или неправильным расположением динеиновых ручек (моторных белков, обеспечивающих движение), отсутствием центральной пары микротрубочек, аномалиями радиальных спиц или других компонентов аксонемы (скелета реснички).
- Координация движения: Даже при наличии нормальных структурных элементов, реснички могут двигаться некоординированно, то есть без синхронного, направленного биения, необходимого для эффективного перемещения слизи.
- Длина и количество ресничек: В некоторых редких случаях наблюдаются аномалии в длине или уменьшение общего количества подвижных ресничек на поверхности клеток.
Понимание этих ключевых особенностей Первичной цилиарной дискинезии крайне важно для ранней диагностики и разработки эффективного индивидуализированного плана лечения. Комплексный подход к ведению пациента позволяет замедлить прогрессирование заболевания и существенно улучшить качество жизни.
Механизмы дыхания: роль ресничек и их нарушение при Первичной цилиарной дискинезии (ПЦД)
Эффективное функционирование дыхательной системы зависит от сложного взаимодействия множества механизмов, среди которых ключевую роль играет мукоцилиарный клиренс. Этот процесс обеспечивает постоянное очищение дыхательных путей от вдыхаемых частиц, патогенов и избытка слизи, предотвращая развитие инфекций и воспалений. Нарушение работы этого механизма при Первичной цилиарной дискинезии (ПЦД) является причиной большинства клинических проявлений заболевания.
Роль ресничек в защите дыхательных путей
Дыхательные пути человека, от носовой полости до мелких бронхов, выстланы специализированными клетками, на поверхности которых расположены подвижные реснички. Эти микроскопические структуры играют роль естественного «подъёмника», непрерывно перемещая слой слизи наружу из легких и пазух. Их синхронное, координированное биение критически важно для поддержания чистоты и стерильности нижних дыхательных путей.
- Захват частиц: Слизь, вырабатываемая бокаловидными клетками и подслизистыми железами, образует липкий слой, который эффективно улавливает пыль, аллергены, бактерии и вирусы из вдыхаемого воздуха.
- Транспорт: Реснички, совершая быстрые и направленные движения, проталкивают этот загрязненный слой слизи вверх по дыхательным путям к глотке, откуда слизь либо проглатывается, либо откашливается. Это обеспечивает непрерывную очистку.
- Поддержание стерильности: Благодаря постоянному выведению патогенов, мукоцилиарный клиренс предотвращает их накопление и размножение, минимизируя риск инфекций.
Нарушение мукоцилиарного клиренса при Первичной цилиарной дискинезии
При Первичной цилиарной дискинезии (ПЦД) происходит врожденное нарушение структуры или функции подвижных ресничек. Эти дефекты могут быть разнообразными и влиять на способность ресничек к эффективному движению. В результате нарушается главный защитный механизм дыхательной системы:
- Неэффективное движение ресничек: Реснички могут быть неподвижны (акинезия), двигаться слабо (гипокинезия) или некоординированно (дискинезия), что препятствует нормальному перемещению слизи.
- Застой слизи: Нарушение движений ресничек приводит к накоплению густой, вязкой слизи в дыхательных путях, пазухах носа и среднем ухе. Эта слизь становится идеальной средой для размножения бактерий.
- Хронические инфекции: Бактериальная колонизация приводит к рецидивирующим и хроническим инфекциям, таким, как бронхиты, пневмонии, синуситы и отиты.
- Повреждение тканей: Постоянное воспаление и инфекции вызывают структурные изменения в дыхательных путях. В легких это приводит к развитию бронхоэктазов – необратимого расширения и деформации бронхов. В пазухах могут формироваться полипы, а в среднем ухе – хронический экссудативный отит.
Понимание этих механизмов позволяет осознать глубину воздействия Первичной цилиарной дискинезии на организм и подчеркивает важность постоянной терапии, направленной на поддержание проходимости дыхательных путей и борьбу с инфекциями.
Ключевые последствия дефектов ресничек для дыхательной системы
Нарушение функции ресничек при ПЦД приводит к цепочке негативных изменений, затрагивающих различные отделы дыхательной системы и прилегающие структуры. Основные последствия нарушения мукоцилиарного клиренса включают:
| Пораженный орган/система | Проявление при ПЦД | Механизм развития |
|---|---|---|
| Легкие и бронхи | Хронический кашель с мокротой, рецидивирующие бронхиты, пневмонии, бронхоэктазы | Застой слизи в бронхах, неспособность к ее выведению, бактериальная колонизация, хроническое воспаление и деструкция стенки бронхов. |
| Околоносовые пазухи | Хронический ринит, синусит, полипы носа, постоянная заложенность носа | Накопление слизи в пазухах, нарушение ее оттока, развитие хронического воспаления слизистой оболочки и бактериальной инфекции. |
| Среднее ухо | Хронический экссудативный отит, снижение слуха | Неэффективное отведение слизи из среднего уха через евстахиеву трубу (также выстланную ресничками), скопление выпота и хроническое воспаление. |
| Дыхательная недостаточность | Прогрессирующее снижение функции легких | Разрушение легочной ткани из-за повторяющихся инфекций и бронхоэктазов, уменьшение площади для газообмена, что со временем ведет к хронической дыхательной недостаточности. |
Эти проявления требуют постоянного внимания и целенаправленной терапии для сведения ущерба к минимуму и улучшения качества жизни пациентов с Первичной цилиарной дискинезией.
Генетическая основа Первичной цилиарной дискинезии (ПЦД): причины и наследование
Первичная цилиарная дискинезия (ПЦД) является генетически обусловленным заболеванием, что означает, что его развитие напрямую связано с мутациями в определённых генах. Эти гены кодируют белки, необходимые для правильного формирования и функционирования подвижных ресничек, которые играют критическую роль в очистке дыхательных путей и других систем организма. Понимание генетической природы ПЦД крайне важно для точной диагностики, прогнозирования течения заболевания и предоставления адекватного медико-генетического консультирования.
Типы наследования Первичной цилиарной дискинезии
Большинство случаев Первичной цилиарной дискинезии наследуется по аутосомно-рецессивному типу. Это означает, что для развития заболевания у человека должно быть две копии дефектного гена — по одной от каждого родителя. Родители, несущие по одной копии такого гена, называются носителями. Сами они обычно не имеют симптомов ПЦД, поскольку у них есть одна нормальная, функциональная копия гена, которая компенсирует дефект.
При аутосомно-рецессивном наследовании соблюдаются следующие закономерности:
- Если оба родителя являются носителями дефектного гена, вероятность рождения ребёнка с ПЦД составляет 25% при каждой беременности.
- Вероятность того, что ребёнок у таких родителей будет носителем дефектного гена (но без симптомов), составляет 50%.
- Вероятность рождения ребёнка без мутаций (ни больного, ни носителя) составляет 25%.
В редких случаях возможно аутосомно-доминантное или Х-сцепленное наследование, но они встречаются значительно реже и обычно связаны с мутациями в определённых генах, таких как `FOXJ1` или `OFD1` соответственно.
Генетическая гетерогенность и связанные гены при ПЦД
Первичная цилиарная дискинезия характеризуется значительной генетической гетерогенностью. Это означает, что мутации во множестве различных генов могут приводить к развитию одного и того же клинического синдрома. На сегодняшний день выявлено более 50 генов, мутации в которых связаны с ПЦД. Каждый из этих генов кодирует определённые белки, участвующие в формировании структуры аксонемы (основы реснички), или в регуляции её движения.
Основные группы генов, мутации в которых вызывают Первичную цилиарную дискинезию, включают:
- Гены, кодирующие компоненты динеиновых ручек: Динеиновые ручки — это двигательные белки, обеспечивающие скольжение микротрубочек друг относительно друга, что является основным механизмом движения реснички. Мутации в генах, отвечающих за их формирование (например, `DNAH5`, `DNAI1`, `DNAL1`, `DNAH11`, `CCDC39`, `CCDC40`), являются одними из наиболее частых причин ПЦД.
- Гены, кодирующие компоненты радиальных спиц и нексиновых связей: Эти структуры обеспечивают координацию движения и структурную устойчивость ресничек. Мутации в генах, таких как `RSPH1`, `HYDIN`, приводят к их дефектам.
- Гены, участвующие в сборке ресничек (цилиогенез): Некоторые гены необходимы для правильного переноса белков к месту сборки ресничек или для формирования центральной пары микротрубочек (например, `SPAG1`, `CCDC103`).
- Гены, связанные с функцией центральной пары микротрубочек: Центральная пара микротрубочек играет ключевую роль в координации биения ресничек. Дефекты в генах, влияющих на эту структуру (например, `PCDP1`), встречаются реже.
Такая генетическая сложность объясняет широкий спектр клинических проявлений ПЦД и различные типы дефектов ресничек, наблюдаемые при электронной микроскопии.
Значение генетического тестирования для диагностики и семейного консультирования
Генетическое тестирование является важнейшим инструментом в диагностике Первичной цилиарной дискинезии, особенно в случаях, когда другие методы (например, исследование функции ресничек или электронная микроскопия) дают неоднозначные результаты. Оно позволяет точно выявлять мутации, подтвердить диагноз и определить конкретный тип ПЦД, что может влиять на прогноз и потенциальные терапевтические подходы.
Преимущества генетического тестирования включают:
- Подтверждение диагноза: Помогает установить окончательный диагноз ПЦД, особенно при нетипичных проявлениях или в случаях, когда биопсия ресничек затруднена или неинформативна.
- Прогностическая информация: Выявление конкретного мутировавшего гена может дать представление о вероятном течении заболевания и потенциальных осложнениях, хотя взаимосвязь генотипа и фенотипа не всегда однозначна.
- Семейное консультирование: Позволяет определить статус носительства у родителей и других членов семьи, что критически важно для планирования будущих беременностей и оценки риска для других детей. Генетическое консультирование помогает семьям понять риски, доступные варианты и принять информированные решения.
- Перспективы целевой терапии: В будущем, по мере развития генетических исследований и фармакологии, точное выявление мутаций может стать основой для разработки определённых, адресных методов лечения, направленных на коррекцию генетического дефекта или его последствий.
Проведение генетического тестирования должно сопровождаться квалифицированным медико-генетическим консультированием, чтобы помочь пациентам и их семьям полностью понять полученную информацию и её значение для их здоровья и жизни.
Спектр клинических проявлений: симптомы и ассоциированные состояния при ПЦД
Первичная цилиарная дискинезия (ПЦД) проявляется широким спектром клинических симптомов, обусловленных нарушением работы подвижных ресничек в различных органах и системах. Эти проявления могут варьироваться по тяжести и комбинации, но наиболее характерными являются хронические респираторные проблемы, которые начинаются с раннего детства и прогрессируют на протяжении всей жизни.
Общие проявления и ранние признаки Первичной цилиарной дискинезии
Ранняя диагностика Первичной цилиарной дискинезии часто затруднена из-за неспецифичности начальных симптомов, которые могут имитировать более распространенные детские заболевания. Однако некоторые признаки должны насторожить врачей и родителей, указывая на возможное наличие этого наследственного состояния.
- Неонатальный дистресс: Примерно у половины новорожденных с ПЦД наблюдаются респираторные нарушения с рождения, требующие кислородной поддержки или пребывания в отделении интенсивной терапии. Эти симптомы обусловлены недостаточным мукоцилиарным клиренсом и накоплением жидкости в легких.
- Хронический «влажный» кашель: Один из наиболее постоянных и ранних симптомов Первичной цилиарной дискинезии, присутствующий практически ежедневно с момента рождения или первых месяцев жизни. Кашель обычно продуктивный, с выделением мокроты, и не связан с острыми инфекциями.
- Постоянный насморк и заложенность носа: Хронический ринит, часто гнойный, наблюдается у большинства пациентов с младенчества.
- Рецидивирующие отиты: Частые воспаления среднего уха, нередко с накоплением экссудата (жидкости), приводят к кондуктивной тугоухости у детей с ПЦД.
- Отсутствие реакции на стандартное лечение: Симптомы со стороны дыхательных путей и ушей плохо поддаются обычной терапии, что указывает на хронический характер проблемы.
Респираторные симптомы: поражение верхних и нижних дыхательных путей
Дыхательная система является основной мишенью Первичной цилиарной дискинезии, поскольку реснички играют ключевую роль в ее защите и очистке. Нарушение мукоцилиарного клиренса приводит к хроническому воспалению и структурным изменениям как в верхних, так и в нижних дыхательных путях.
Верхние дыхательные пути: нос, пазухи и уши
Хроническое воспаление и застой слизи в верхних дыхательных путях являются неотъемлемой частью клинической картины Первичной цилиарной дискинезии, существенно влияя на качество жизни пациентов. Вот основные проявления:
- Хронический риносинусит: Практически все пациенты с ПЦД страдают от хронического или рецидивирующего воспаления слизистой оболочки носа и околоносовых пазух. Характеризуется постоянной заложенностью носа, выделениями (часто гнойными), снижением или потерей обоняния (аносмия), головными болями и давлением в области пазух.
- Полипы носа: Нередко при хроническом синусите формируются полипы, которые могут дополнительно ухудшать носовое дыхание и требовать хирургического удаления.
- Хронический экссудативный отит: Нарушение оттока жидкости из среднего уха через евстахиеву трубу, также выстланную ресничками, приводит к постоянному скоплению экссудата. Это вызывает снижение слуха, ощущение заложенности в ушах и может приводить к рецидивирующим острым отитам.
- Снижение слуха: Кондуктивная тугоухость, вызванная хроническим экссудативным отитом, является распространенной проблемой и может негативно сказаться на развитии речи и обучении у детей.
Нижние дыхательные пути: легкие и бронхи
Поражение нижних дыхательных путей при Первичной цилиарной дискинезии является наиболее серьезным и определяет прогноз заболевания. Оно начинается с хронического воспаления и прогрессирует до необратимых структурных изменений.
Симптомы со стороны легких и бронхов включают:
- Хронический влажный кашель: Присутствует с раннего возраста, усиливается при физической нагрузке и инфекциях. Характеризуется выделением густой, часто гнойной мокроты.
- Рецидивирующие бронхиты и пневмонии: Из-за застоя слизи и постоянной бактериальной колонизации легкие подвержены частым инфекционным обострениям, которые требуют антибактериальной терапии.
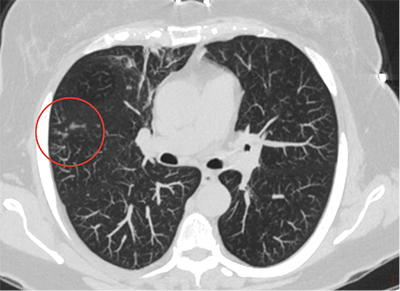
- Бронхоэктазы: Наиболее тяжелое и необратимое осложнение ПЦД, представляющее собой постоянное расширение и деформацию бронхов. Развиваются с течением времени из-за хронического воспаления и инфекций. Они способствуют дальнейшему застою слизи и формированию порочного круга.
- Одышка: Появляется по мере прогрессирования бронхоэктазов и снижения функции легких, сначала при физической нагрузке, затем и в покое.
- Дыхательная недостаточность: В запущенных стадиях Первичной цилиарной дискинезии развивается хроническая дыхательная недостаточность, требующая кислородной поддержки.
- Кровохарканье: Может возникать при выраженных бронхоэктазах вследствие повреждения мелких сосудов в воспаленной стенке бронхов.
Ассоциированные состояния и системные проявления
Помимо респираторных нарушений, Первичная цилиарная дискинезия может проявляться рядом ассоциированных состояний, затрагивающих другие системы организма, где также присутствуют подвижные реснички или где их функция критична для развития.
Синдром Картагенера и situs inversus
Примерно у 50% пациентов с Первичной цилиарной дискинезией наблюдается обратное расположение внутренних органов, известное как situs inversus (зеркальное отображение органов). Это состояние само по себе обычно не вызывает проблем со здоровьем, но является важным диагностическим маркером ПЦД.
Сочетание следующих трех признаков формирует Синдром Картагенера:
- Situs inversus totalis (полное обратное расположение органов).
- Хронический риносинусит.
- Бронхоэктазы.
Причиной situs inversus при Первичной циилиарной дискинезии является нарушение движения ресничек в эмбриональный период, которые отвечают за определение лево-правой асимметрии органов.
Проблемы с фертильностью
Дисфункция ресничек затрагивает и репродуктивную систему, вызывая проблемы с фертильностью у мужчин и женщин:
- Мужское бесплодие: Практически все мужчины с Первичной цилиарной дискинезией страдают бесплодием. Сперматозоиды имеют жгутики, которые по своей структуре схожи с ресничками. Дефекты жгутиков приводят к их неподвижности (астенозооспермия), что делает оплодотворение естественным путем невозможным.
- Снижение женской фертильности: Женщины с ПЦД могут испытывать трудности с зачатием из-за нарушения транспорта яйцеклеток по маточным трубам. Реснички, выстилающие фаллопиевы трубы, играют ключевую роль в перемещении яйцеклетки. Однако полная стерильность у женщин встречается реже, чем у мужчин, и беременность возможна.
Другие редкие проявления
Помимо основных системных проявлений, Первичная цилиарная дискинезия в редких случаях может быть ассоциирована с другими, менее распространенными состояниями. Вот некоторые из них:
- Гидроцефалия: В некоторых случаях нарушение функции эпендимальных ресничек в желудочках головного мозга, которые участвуют в циркуляции спинномозговой жидкости, может приводить к ее застою и развитию гидроцефалии.
- Врожденные пороки сердца: Чаще всего это транспозиция крупных артерий или другие аномалии, связанные с нарушением эмбрионального развития и асимметрии органов.
- Эктопическая беременность: У женщин с ПЦД повышается риск внематочной беременности из-за замедленного транспорта яйцеклетки по маточной трубе.
- Поражение сетчатки глаза: В очень редких случаях сообщалось о пигментной дегенерации сетчатки, что связывают с дефектами ресничек в фоторецепторах.
Особенности течения и возрастные изменения симптомов
Первичная цилиарная дискинезия — это хроническое и прогрессирующее заболевание, симптомы которого меняются с возрастом, становясь более выраженными и приводя к необратимым изменениям.
Таблица ниже демонстрирует типичную динамику клинических проявлений ПЦД на разных этапах жизни:
| Возрастная группа | Характерные симптомы и проявления ПЦД | Потенциальные осложнения |
|---|---|---|
| Новорожденные и младенцы | Неонатальный респираторный дистресс, постоянный влажный кашель, частый гнойный насморк, рецидивирующие отиты, задержка роста. | Хронический экссудативный отит, снижение слуха, частые пневмонии, задержка психомоторного развития из-за хронической гипоксии. |
| Дошкольники и школьники | Усиление хронического кашля, продукция мокроты, частые бронхиты и пневмонии, постоянная заложенность носа, снижение слуха, утомляемость. | Развитие бронхоэктазов, хронический синусит, носовые полипы, прогрессирование тугоухости, отставание в физическом развитии. |
| Подростки и взрослые | Выраженные бронхоэктазы, хроническая мокрота, одышка, прогрессирующее снижение функции легких, дыхательная недостаточность, бесплодие (мужчины), снижение фертильности (женщины), хронические боли в пазухах. | Обострения бронхоэктазов, легочные кровотечения, дыхательная недостаточность, легочное сердце, хроническая почечная недостаточность (очень редко). |
Понимание динамики клинических проявлений позволяет своевременно корректировать терапию и проводить профилактические мероприятия, направленные на замедление прогрессирования заболевания и улучшение качества жизни пациентов с Первичной цилиарной дискинезией.
Диагностический путь: современные методы выявления Первичной цилиарной дискинезии (ПЦД)
Диагностика Первичной цилиарной дискинезии (ПЦД) представляет собой сложный и многоэтапный процесс, требующий комплексного подхода и применения специализированных методов исследования. Раннее и точное выявление заболевания критически важно для своевременного начала терапии, замедления прогрессирования лёгочных поражений и улучшения качества жизни пациентов.
Клинические подозрения и анамнез: первые шаги в диагностике ПЦД
Начальный этап диагностического поиска основывается на тщательном сборе анамнеза и оценке характерных клинических симптомов, которые могут указывать на Первичную цилиарную дискинезию. Эти признаки часто присутствуют с рождения или раннего детства, но их неспецифичность может затруднять диагностику на начальных этапах.
Врач обращает внимание на следующие ключевые аспекты:
- Неонатальные респираторные проблемы: Дыхательный дистресс у новорождённых, требующий кислородной поддержки.
- Хронический «влажный» кашель: Ежедневный кашель с мокротой, присутствующий с младенчества и не связанный с острыми вирусными инфекциями.
- Постоянный насморк: Хронический ринит с гнойными выделениями, заложенность носа с раннего возраста.
- Рецидивирующие инфекции: Частые отиты среднего уха, синуситы, бронхиты и пневмонии, плохо поддающиеся стандартной терапии.
- Снижение слуха: Чаще всего кондуктивного типа, обусловленное хроническим экссудативным отитом.
- Situs inversus: Обратное расположение внутренних органов, выявляемое при физикальном обследовании или визуализационных исследованиях, является сильным маркером ПЦД.
- Семейный анамнез: Наличие подобных симптомов или установленного диагноза Первичной цилиарной дискинезии у родственников.
- Мужское бесплодие: В анамнезе взрослых мужчин с ПЦД.
Выявление нескольких из этих признаков является основанием для дальнейших специализированных исследований.
Функциональные тесты ресничек: оценка подвижности и координации
После сбора анамнеза и первичного осмотра проводятся тесты, направленные на оценку функции самих ресничек. Эти методы позволяют напрямую или косвенно выявить нарушения в их работе.
Измерение назального оксида азота (nNO)
Измерение уровня оксида азота (NO) в выдыхаемом воздухе из носовых ходов является высокочувствительным скрининговым тестом для Первичной цилиарной дискинезии. Слизистая оболочка дыхательных путей продуцирует NO, и при ПЦД его уровень значительно снижен. Это происходит потому, что реснички играют роль в регуляции выработки и выведения NO в носовых пазухах.
- Принцип метода: Пациент медленно выдыхает через рот или нос, а специальный прибор измеряет концентрацию NO в назальном воздухе.
- Значение: Крайне низкий уровень nNO (обычно менее 77 нл/мин у взрослых) является сильным показателем ПЦД и требует дальнейшего подтверждения.
- Ограничения: Не является абсолютно специфичным, так как низкий nNO может наблюдаться при других состояниях (например, муковисцидоз). У детей младшего возраста выполнение теста может быть затруднено. Требуется интерпретация в контексте других данных.
Анализ частоты и характера биения ресничек (Высокоскоростная видеомикроскопия - ВСВМ)
Высокоскоростная видеомикроскопия является одним из основных методов диагностики ПЦД, позволяющим визуализировать и анализировать движение ресничек. Образцы ресничек получают путём биопсии слизистой оболочки носа или бронхов.
- Проведение: Под местной анестезией берётся небольшой образец слизистой оболочки (чаще всего из нижнего носового хода). Затем образец помещается под специальный микроскоп, соединённый с высокоскоростной камерой.
- Оценка: Записывается видео, которое затем анализируется для определения частоты биения ресничек, их координации и паттернов движения (например, акинезия — полная неподвижность, гипокинезия — замедленное движение, дискинезия — некоординированное или аномальное движение).
- Ключевое значение: ВСВМ позволяет выявить функциональные нарушения, которые могут быть не видны при морфологических исследованиях.
Морфологические исследования: изучение структуры ресничек
Морфологический анализ ресничек направлен на выявление структурных дефектов, которые являются первопричиной их дисфункции при Первичной цилиарной дискинезии.
Трансмиссионная электронная микроскопия (ТЭМ)
ТЭМ является «золотым стандартом» для выявления специфических структурных аномалий ресничек. Для этого также используется биопсийный материал из носовой полости или бронхов.
- Принцип: Образцы тканей тонко срезаются и исследуются под электронным микроскопом, что позволяет увидеть ультраструктуру ресничек с высоким разрешением.
- Выявляемые дефекты: Обнаруживаются дефекты динеиновых ручек (внешних и/или внутренних), отсутствие или аномалии центральной пары микротрубочек, неправильное расположение радиальных спиц и другие нарушения в аксонеме (основной структуре реснички).
- Ограничения: Приблизительно у 10-15% пациентов с ПЦД структурные дефекты могут отсутствовать или быть неочевидными при ТЭМ. Это не исключает диагноз и требует проведения других тестов. Качество образца и опыт морфолога критически важны.
Иммунофлюоресцентный анализ (ИФА)
Иммунофлюоресцентный анализ (ИФА) — это дополнительный метод, используемый для выявления отсутствия или неправильного распределения специфических белков, которые формируют структуру ресничек. Он дополняет ТЭМ и ВСВМ.
- Принцип: Используются антитела, меченные флюоресцентными красителями, которые связываются с определёнными белками ресничек (например, компонентами динеиновых ручек).
- Значение: Позволяет идентифицировать дефекты, которые могут быть не до конца ясны при ТЭМ, или когда ТЭМ не показала явных отклонений, но есть сильные клинические подозрения.
Генетическое тестирование: подтверждение и семейное консультирование
Генетическое тестирование играет все более важную роль в подтверждении диагноза Первичной цилиарной дискинезии, особенно в случаях с неясными результатами других исследований или при необходимости семейного консультирования.
- Метод: Анализ ДНК пациента на наличие мутаций в известных генах, ассоциированных с ПЦД. На сегодняшний день выявлено более 50 таких генов.
- Преимущества:
- Высокая специфичность: Подтверждает генетическую причину заболевания.
- Прогностическая ценность: В некоторых случаях позволяет прогнозировать фенотип (клинические проявления) заболевания.
- Семейное консультирование: Помогает выявить носителей мутаций среди родственников и оценить риски для будущих беременностей.
- Перспективы лечения: В будущем может стать основой для целевой терапии.
- Ограничения: Несмотря на большое количество известных генов, мутации не выявляются у всех пациентов с клинически подтверждённым диагнозом ПЦД (до 30% случаев), что объясняется как пока неидентифицированными генами, так и сложностью некоторых мутаций.
Дополнительные исследования: оценка степени поражения органов
Для оценки степени поражения дыхательных путей и других систем, а также для мониторинга осложнений Первичной цилиарной дискинезии, проводятся различные дополнительные исследования.
Визуализационные методы
Инструментальные методы визуализации позволяют оценить состояние лёгких, околоносовых пазух и других органов.
- Рентгенография органов грудной клетки: Может показать признаки бронхоэктазов, утолщения стенок бронхов, а также situs inversus.
- Компьютерная томография высокого разрешения (КТВР) лёгких: Наиболее чувствительный метод для диагностики и оценки тяжести бронхоэктазов, их локализации и распространённости. Выявляет признаки хронического воспаления и слизистой пробки.
- Компьютерная томография околоносовых пазух: Позволяет оценить степень хронического синусита, наличие полипов и анатомических особенностей.
- Ультразвуковое исследование органов брюшной полости: Используется для выявления situs inversus.
Функциональные лёгочные тесты
Спирометрия и другие методы оценки функции внешнего дыхания (ФВД) необходимы для мониторинга состояния лёгких при Первичной цилиарной дискинезии.
- Спирометрия: Измеряет объёмы лёгких и скорость воздушных потоков, выявляя обструктивные или рестриктивные изменения, характерные для бронхоэктазов и хронического воспаления.
- Плетизмография: Позволяет более точно оценить общие объёмы лёгких и остаточный объём.
Аудиологические исследования
Из-за высокого риска развития кондуктивной тугоухости у пациентов с ПЦД, особенно у детей, обязательны регулярные аудиологические исследования.
- Тимпанометрия: Оценивает подвижность барабанной перепонки и состояние среднего уха, выявляя наличие жидкости.
- Аудиометрия: Определяет пороговый уровень слуха для разных частот, позволяя диагностировать степень тугоухости.
Комплексный алгоритм диагностики Первичной цилиарной дискинезии
Для постановки точного диагноза Первичной цилиарной дискинезии используется последовательный, многоступенчатый алгоритм, который объединяет различные методы исследования. Такой подход позволяет минимизировать ошибки и максимально полно оценить состояние пациента.
| Этап диагностики | Метод исследования | Цель и ожидаемые результаты |
|---|---|---|
| 1. Первичная оценка | Сбор анамнеза, физикальный осмотр | Выявление клинических признаков (хронический кашель, ринит, отиты, situs inversus, неонатальный дистресс) и семейного анамнеза, указывающих на ПЦД. |
| 2. Скрининг | Измерение назального оксида азота (nNO) | Выявление значительно сниженных уровней nNO, что служит высокочувствительным, но неспецифичным маркером ПЦД. |
| 3. Функциональная оценка ресничек | Высокоскоростная видеомикроскопия (ВСВМ) биоптатов ресничек | Оценка частоты, координации и паттерна биения ресничек. Выявление акинезии, гипокинезии или дискинезии. |
| 4. Морфологическая оценка | Трансмиссионная электронная микроскопия (ТЭМ) биоптатов ресничек | Выявление структурных дефектов ресничек (динеиновые ручки, центральная пара, радиальные спицы). |
| 5. Генетическое подтверждение | Генетическое тестирование (панель генов ПЦД) | Идентификация патогенных мутаций в известных генах, ассоциированных с Первичной цилиарной дискинезией, для окончательного подтверждения диагноза и семейного консультирования. |
| 6. Оценка осложнений | КТВР лёгких, КТ околоносовых пазух, спирометрия, аудиологические тесты | Определение степени поражения лёгких (бронхоэктазы), синусов (хронический синусит, полипы) и слуха (тугоухость). |
Важно помнить, что диагноз Первичной цилиарной дискинезии часто является диагнозом исключения и требует совместной работы междисциплинарной команды специалистов (пульмонолога, оториноларинголога, генетика, рентгенолога), а также повторных исследований для подтверждения.
Нужен очный осмотр?
Найдите лучшего пульмонолога в вашем городе по рейтингу и отзывам.
Комплексные стратегии терапии: лечение и контроль симптомов Первичной цилиарной дискинезии (ПЦД)
Жизнь с Первичной цилиарной дискинезией требует постоянного, комплексного и индивидуализированного подхода к терапии. Лечение направлено на минимизацию симптомов, предотвращение обострений и замедление прогрессирования заболевания, что позволяет сохранить функцию лёгких и значительно улучшить качество жизни. Основные направления включают ежедневную очистку дыхательных путей, своевременную антибактериальную и противовоспалительную терапию, а также управление ассоциированными состояниями верхних дыхательных путей и ушей.
Основные принципы и цели терапии ПЦД
Эффективное ведение пациентов с Первичной цилиарной дискинезией базируется на нескольких ключевых принципах, формирующих долгосрочную стратегию. Лечение начинается с момента постановки диагноза и продолжается на протяжении всей жизни.
- Оптимизация мукоцилиарного клиренса. Это фундаментальная цель, поскольку нарушение выведения слизи является центральным патогенетическим механизмом заболевания. Регулярные процедуры помогают удалять застойную слизь.
- Предотвращение и лечение инфекций. Хроническая бактериальная колонизация и рецидивирующие инфекции приводят к прогрессирующему повреждению лёгких. Своевременное и адекватное применение антибиотиков имеет решающее значение.
- Контроль воспаления. Хроническое воспаление усугубляет поражение дыхательных путей, даже в отсутствие активной инфекции. Терапия направлена на снижение воспалительного процесса.
- Управление осложнениями. Особое внимание уделяется бронхоэктазам, синуситам, экссудативным отитам и проблемам с фертильностью.
- Поддержание нутритивного статуса. Недостаточное питание может ухудшить лёгочную функцию и общую устойчивость организма.
- Образование пациента и семьи. Понимание заболевания, методов лечения и важности приверженности терапии является залогом успеха.
Методы очистки дыхательных путей: основа терапии Первичной цилиарной дискинезии
Ежедневные процедуры очистки дыхательных путей (ОДП) являются краеугольным камнем в лечении Первичной цилиарной дискинезии. Их цель — механически удалить скопившуюся вязкую слизь, которая не может быть эффективно выведена неработающими ресничками. Регулярное применение этих техник помогает снизить частоту инфекций, улучшить лёгочную функцию и уменьшить одышку.
Физиотерапевтические техники
Выбор конкретной техники ОДП зависит от возраста пациента, его физического состояния, предпочтений и возможности обучения. Часто используется комбинация методов.
- Постуральный дренаж. Различные положения тела используются для гравитационного оттока слизи из определённых сегментов лёгких. Процедура проводится несколько раз в день.
- Перкуссия и вибрация грудной клетки. Ручное постукивание или вибрация по грудной клетке над поражёнными участками лёгких помогает разжижать и перемещать слизь. Эти методы часто сочетаются с постуральным дренажем.
- Активный цикл дыхательных техник (АЦДТ). Включает циклы контролируемого дыхания, глубокого дыхания и форсированных выдохов (хаффинг). Это помогает переместить слизь из периферических в центральные дыхательные пути, а затем удалить её.
- Аутогенный дренаж. Техника, при которой пациент использует различные уровни дыхания для "отслоения" слизи от стенок бронхов и её перемещения к крупным дыхательным путям. Требует обучения и концентрации.
- Техники с использованием устройств, создающих положительное давление на выдохе (PEP-терапия). Приборы, такие как Flutter или Acapella, создают вибрации и положительное давление в дыхательных путях во время выдоха, что помогает разжижать слизь, предотвращать коллапс мелких бронхов и способствует её выведению.
- Высокочастотные осцилляции грудной клетки (HFCWO). Используется специальный жилет, который генерирует высокочастотные колебания, проходящие через стенку грудной клетки. Эти колебания помогают разжижать слизь и способствуют её перемещению вверх по дыхательным путям. Это один из наиболее эффективных методов для многих пациентов.
Ингаляционная терапия
Ингаляции являются важным дополнением к физиотерапевтическим методам, облегчая выведение слизи и улучшая проходимость бронхов.
- Гипертонический солевой раствор. Ингаляции 3-7% раствором хлорида натрия способствуют гидратации слизи, делая её менее вязкой и облегчая откашливание. Также может стимулировать кашлевой рефлекс.
- Муколитики. Применение некоторых муколитических препаратов, например, дорназы альфа, может рассматриваться у пациентов с выраженным застоем густой мокроты, хотя её эффективность при Первичной цилиарной дискинезии менее доказана, чем при муковисцидозе. Механизм действия направлен на разрушение ДНК нейтрофилов в слизи, уменьшая её вязкость.
- Бронходилататоры. У пациентов с обратимой обструкцией дыхательных путей (которая встречается нечасто при ПЦД, но может быть при сопутствующей астме), ингаляции короткодействующих бронходилататоров (например, сальбутамол, ипратропия бромид) могут быть применены перед процедурами очистки дыхательных путей для расширения бронхов и облегчения выведения слизи.
Антибактериальная терапия: борьба с инфекциями при ПЦД
Хронические и рецидивирующие инфекции дыхательных путей являются основной причиной прогрессирующего повреждения лёгких при Первичной цилиарной дискинезии. Эффективная антибактериальная терапия крайне важна для контроля бактериальной колонизации и лечения обострений.
Лечение обострений
При ухудшении состояния (усиление кашля, увеличение объёма и изменение цвета мокроты, повышение температуры, нарастание одышки) необходимо незамедлительно начать антибактериальную терапию.
- Выбор антибиотика. Изначально может быть назначен антибиотик широкого спектра действия. После получения результатов бактериологического посева мокроты с определением чувствительности микроорганизмов, терапия корректируется на более целенаправленную.
- Основные патогены. Часто выявляются Haemophilus influenzae, Streptococcus pneumoniae, Staphylococcus aureus. В дальнейшем может присоединяться Pseudomonas aeruginosa, которая требует более агрессивных схем лечения.
- Пути введения. Антибиотики могут применяться перорально (внутрь), внутривенно при тяжёлых обострениях или для борьбы с резистентными штаммами, а также ингаляционно (например, тобрамицин, колистин) для доставки высокой концентрации препарата непосредственно в лёгкие, особенно при хронической колонизации Pseudomonas aeruginosa.
- Длительность курса. Курс антибиотиков при обострениях обычно составляет от 10 до 14 дней, но может быть продлён в зависимости от клинического ответа и тяжести инфекции.
Длительная профилактическая антибактериальная терапия
Некоторым пациентам с Первичной цилиарной дискинезией назначается длительная низкодозовая антибактериальная терапия, обычно макролидами (например, азитромицин 3 раза в неделю). Цель такой терапии — не только подавление роста бактерий, но и использование их противовоспалительных и антибиоплёночных свойств, которые помогают уменьшить частоту обострений и замедлить повреждение лёгких.
При применении длительных курсов макролидов важно регулярно контролировать функцию печени и почек, а также проводить мониторинг бактериальной резистентности.
Противовоспалительная терапия и контроль сопутствующих состояний
Хроническое воспаление в дыхательных путях способствует прогрессированию заболевания даже в периоды ремиссии инфекций. Управление воспалением является важной частью комплексной терапии ПЦД.
- Системные кортикостероиды. Применяются короткими курсами для купирования тяжёлых обострений или при значимом бронхоспазме, когда необходимо быстро уменьшить воспаление. Длительное системное применение не рекомендуется из-за побочных эффектов.
- Ингаляционные кортикостероиды. Их рутинное использование при ПЦД не имеет убедительной доказательной базы, если нет сопутствующей бронхиальной астмы. Однако в некоторых случаях могут быть назначены для снижения хронического воспаления в дыхательных путях.
- Длительные макролиды. Как упоминалось, помимо антибактериального действия, они обладают выраженными противовоспалительными свойствами, модулируя иммунный ответ и снижая продукцию провоспалительных цитокинов.
Управление поражениями верхних дыхательных путей и ушей
Поражения носовых пазух и среднего уха при Первичной цилиарной дискинезии требуют активного лечения для предотвращения хронических инфекций, снижения слуха и улучшения качества жизни.
Хронический риносинусит
Заложенность носа, выделения и боли в пазухах являются практически постоянными спутниками ПЦД. Эффективный контроль этих симптомов помогает улучшить общее состояние.
- Ежедневные солевые промывания носа. Регулярное промывание носа и пазух изотоническими или гипертоническими солевыми растворами помогает механически удалить слизь, уменьшить отёк и воспаление.
- Назальные кортикостероиды. Топические спреи с глюкокортикостероидами снижают воспаление в слизистой оболочке носа и пазух, уменьшая заложенность и выделения.
- Антибактериальная терапия. При обострениях хронического синусита назначаются курсы системных антибиотиков, часто более длительные, чем при обычной практике, из-за сложности эрадикации инфекции в пазухах.
- Хирургическое лечение. Функциональная эндоскопическая риносинусохирургия (FESS) может быть показана при значительном ухудшении носового дыхания, наличии полипов, неэффективности консервативной терапии или при рецидивирующих осложнениях (например, орбитальные или внутричерепные осложнения). Операция направлена на улучшение дренажа пазух и удаление полипов.
Отологические проблемы (экссудативный отит)
Хронический экссудативный отит и связанная с ним кондуктивная тугоухость являются частыми проявлениями ПЦД, особенно у детей, и требуют активного вмешательства.
- Регулярный мониторинг слуха. Аудиологические исследования должны проводиться регулярно, начиная с раннего возраста, для своевременного выявления и коррекции тугоухости.
- Установка тимпаностомических трубок (шунтов, «грометов»). Для обеспечения дренажа жидкости из среднего уха и улучшения слуха часто требуется хирургическая установка вентиляционных трубок в барабанную перепонку. Эти трубки обычно остаются на месте несколько месяцев или дольше.
- Аудиологическая реабилитация. При сохраняющемся снижении слуха может потребоваться использование слуховых аппаратов для обеспечения нормального развития речи и обучения у детей.
Поддерживающая терапия и образ жизни
Помимо прямого лечения лёгочных и оториноларингологических проблем, важна общая поддержка организма и коррекция образа жизни.
Питание и физическая активность
Поддержание оптимального веса и адекватного питания критически важно для пациентов с ПЦД. Хронические инфекции и повышенные энергетические затраты на дыхание могут приводить к дефициту массы тела. Рекомендуется высококалорийная, высокобелковая диета.
Регулярная физическая активность, соответствующая состоянию пациента, помогает улучшить лёгочную функцию, укрепить дыхательную мускулатуру и общее самочувствие. Доступны различные программы лечебной физкультуры, адаптированные для людей с хроническими заболеваниями лёгких.
Вакцинация
Вакцинация играет ключевую роль в предотвращении тяжёлых респираторных инфекций, которые могут вызвать обострения и ускорить прогрессирование ПЦД. Рекомендуется следующий график:
- Ежегодная вакцинация против гриппа.
- Вакцинация против пневмококковой инфекции (конъюгированная и полисахаридная вакцины по возрасту и показаниям).
- Вакцинация против коклюша (в рамках комбинированных вакцин АДС-М).
- Другие стандартные детские вакцинации согласно национальному календарю.
Консультации по вопросам фертильности
Поскольку Первичная цилиарная дискинезия часто ассоциируется с бесплодием у мужчин и сниженной фертильностью у женщин, пациентам репродуктивного возраста необходимо предоставлять специализированное консультирование. Мужчинам с неподвижными сперматозоидами могут быть доступны вспомогательные репродуктивные технологии, такие как интрацитоплазматическая инъекция сперматозоидов (ИКСИ).
Хирургические вмешательства при ПЦД
В некоторых случаях, когда консервативная терапия не приносит достаточного эффекта или развиваются серьёзные осложнения, может потребоваться хирургическое вмешательство.
- Резекция лёгкого. Применяется в редких случаях, когда бронхоэктазы локализованы в одном сегменте или доле лёгкого, не поддаются медикаментозному лечению и являются источником рецидивирующих инфекций или кровотечений.
- Трансплантация лёгких. Является вариантом лечения для пациентов с терминальной стадией лёгочного заболевания и прогрессирующей дыхательной недостаточностью, несмотря на максимальную медикаментозную терапию.
- Хирургия околоносовых пазух. Функциональная эндоскопическая риносинусохирургия (FESS) проводится для улучшения дренажа пазух, удаления полипов и обеспечения адекватной доставки топических препаратов.
Комплексная стратегия терапии Первичной цилиарной дискинезии требует постоянного сотрудничества пациента, его семьи и мультидисциплинарной команды специалистов. Регулярный мониторинг состояния, своевременная коррекция лечения и активное участие пациента в лечебном процессе являются залогом успешного контроля заболевания и поддержания высокого качества жизни.
Ключевые столпы комплексной терапии Первичной цилиарной дискинезии
Представленная таблица обобщает основные направления лечения ПЦД, подчеркивая важность каждого компонента для достижения наилучших результатов.
| Столп терапии | Основные компоненты | Цель | Примеры |
|---|---|---|---|
| Очистка дыхательных путей | Ежедневные физиотерапевтические техники; Ингаляции | Удаление застойной слизи, предотвращение образования слизистых пробок, улучшение вентиляции лёгких. | Постуральный дренаж, PEP-терапия, HFCWO, ингаляции гипертонического солевого раствора. |
| Контроль инфекций | Антибактериальная терапия (курсовая и профилактическая); Вакцинация | Эрадикация бактериальных патогенов, снижение частоты и тяжести обострений, замедление прогрессирования повреждения лёгких. | Антибиотики (пероральные, внутривенные, ингаляционные), длительные курсы макролидов, вакцины против гриппа и пневмококка. |
| Управление воспалением | Противовоспалительные препараты | Снижение хронического воспаления в дыхательных путях, уменьшение повреждения тканей. | Длительные макролиды, ингаляционные/системные кортикостероиды (по показаниям). |
| Лечение ЛОР-органов | Местное лечение; Хирургические вмешательства | Улучшение дренажа пазух, среднего уха; предотвращение тугоухости, хронического синусита. | Солевые промывания носа, назальные кортикостероиды, установка тимпаностомических трубок, FESS. |
| Поддерживающая терапия | Питание; Физическая активность; Консультирование | Поддержание общего здоровья, улучшение нутритивного статуса, адаптация к жизни с хроническим заболеванием. | Высококалорийная диета, лечебная физкультура, консультации по фертильности. |
Управление осложнениями: бронхоэктазы, синуситы и отологические проблемы при ПЦД
Первичная цилиарная дискинезия (ПЦД) — это хроническое заболевание, которое неизбежно приводит к развитию ряда стойких осложнений. Эффективное управление этими состояниями, такими как бронхоэктазы, хронический риносинусит и экссудативный отит, является ключевым для замедления прогрессирования заболевания, поддержания функции органов и улучшения качества жизни пациентов. Подход к лечению осложнений требует постоянного внимания и индивидуальной коррекции.
Бронхоэктазы: контроль прогрессирования и сохранение функции лёгких
Бронхоэктазы — это необратимое расширение и деформация бронхов, возникающее вследствие хронического воспаления и инфекций, вызванных нарушением мукоцилиарного клиренса при Первичной цилиарной дискинезии. Они создают порочный круг: застой слизи способствует инфекциям, которые, в свою очередь, усугубляют повреждение стенок бронхов. Целью управления бронхоэктазами является минимизация их прогрессирования и сохранение дыхательной функции.
Основные направления в лечении бронхоэктазов при ПЦД
Эффективная стратегия управления бронхоэктазами при Первичной цилиарной дискинезии включает следующие компоненты, которые уже были подробно рассмотрены в разделе о комплексной терапии, но их применение особенно критично в контексте уже развившихся изменений в лёгких:
- Регулярная очистка дыхательных путей. Ежедневное и пожизненное применение физиотерапевтических техник, таких как постуральный дренаж, PEP-терапия, высокочастотные осцилляции грудной клетки (HFCWO), аутогенный дренаж, абсолютно необходимо для механического удаления скопившейся мокроты из расширенных бронхов. Это снижает бактериальную нагрузку и предотвращает дальнейшее повреждение.
- Ингаляционная терапия. Использование гипертонического солевого раствора способствует разжижению вязкой слизи, облегчая её выведение. Муколитики, такие как дорназа альфа, также могут рассматриваться для уменьшения вязкости мокроты у некоторых пациентов.
- Антибактериальная терапия. Своевременное и адекватное лечение обострений инфекций имеет первостепенное значение. При развитии бронхоэктазов повышается риск хронической колонизации лёгких патогенами, в частности Pseudomonas aeruginosa. В таких случаях могут применяться длительные курсы ингаляционных антибиотиков (например, тобрамицин, колистин) для подавления роста бактерий и уменьшения частоты обострений.
- Противовоспалительная терапия. Длительные курсы макролидов (например, азитромицин) могут использоваться не только за счёт их антибактериального действия, но и благодаря выраженным противовоспалительным свойствам, способствующим уменьшению хронического воспаления в бронхах.
- Контроль состояния лёгких. Регулярное проведение компьютерной томографии высокого разрешения (КТВР) лёгких позволяет оценивать динамику бронхоэктазов, их распространённость и выявлять новые поражения. Функциональные лёгочные тесты (спирометрия) помогают контролировать функцию внешнего дыхания и эффективность терапии.
Когда требуется хирургическое вмешательство при бронхоэктазах
В некоторых случаях, когда консервативные методы оказываются недостаточными для контроля бронхоэктазов, рассматриваются хирургические варианты:
- Резекция лёгкого. Может быть показана, если бронхоэктазы локализованы в одном сегменте или доле лёгкого, не поддаются медикаментозному лечению, являются источником частых, тяжёлых инфекций или рецидивирующих кровотечений (кровохарканья). Удаление поражённой части лёгкого может значительно улучшить качество жизни и снизить частоту обострений.
- Трансплантация лёгких. Рассматривается как последняя возможность для пациентов с терминальной стадией заболевания лёгких, прогрессирующей дыхательной недостаточностью и тяжёлым снижением качества жизни, несмотря на максимальную медикаментозную и физиотерапевтическую поддержку.
Хронический риносинусит: поддержание проходимости и снижение воспаления
Хронический риносинусит — это практически неизбежное осложнение Первичной цилиарной дискинезии, проявляющееся постоянной заложенностью носа, выделениями и дискомфортом в области пазух. Нарушение дренажа слизистой оболочки носа и околоносовых пазух создаёт благоприятные условия для бактериального роста и хронического воспаления. Управление синуситом направлено на улучшение вентиляции и дренажа, уменьшение воспаления и предотвращение осложнений.
Стратегии лечения хронического риносинусита при ПЦД
Для эффективного контроля хронического синусита при Первичной цилиарной дискинезии применяются следующие подходы:
- Регулярные промывания носа. Ежедневное использование больших объёмов изотонических или гипертонических солевых растворов для промывания носовых ходов и пазух является основой лечения. Это помогает механически удалить слизь, корки, бактерии и аллергены, а также уменьшить отёк слизистой.
- Топические назальные кортикостероиды. Спреи с глюкокортикостероидами снижают хроническое воспаление в слизистой оболочке носа и пазух, уменьшая заложенность и количество выделений. Их длительное применение оправдано и безопасно.
- Антибактериальная терапия. При обострениях синусита, характеризующихся усилением боли, гнойными выделениями, лихорадкой, назначаются курсы системных антибиотиков. Длительность курса может быть увеличена по сравнению со стандартными рекомендациями для обычных синуситов.
- Хирургическое лечение. Функциональная эндоскопическая риносинусохирургия (FESS) является важным методом при неэффективности консервативной терапии, наличии полипов, выраженной обструкции соустий пазух или развитии осложнений. Операция направлена на расширение естественных отверстий пазух, удаление полипов и повреждённой слизистой для восстановления дренажа и вентиляции. После FESS особенно важно продолжать интенсивное местное лечение (промывания, спреи) для поддержания достигнутого эффекта.
Отологические проблемы: борьба с экссудативным отитом и снижение слуха
Хронический экссудативный отит (ХЭО) — скопление жидкости в полости среднего уха, связанное с дисфункцией ресничек в евстахиевой трубе, которая отвечает за вентиляцию среднего уха. Это частое осложнение Первичной цилиарной дискинезии, особенно у детей, приводящее к кондуктивной тугоухости и повышенному риску острых средних отитов. Раннее выявление и активное лечение имеют решающее значение для предотвращения необратимых последствий для слуха и развития речи.
Подходы к лечению хронического экссудативного отита при ПЦД
Управление отологическими проблемами у пациентов с Первичной цилиарной дискинезией включает как консервативные, так и хирургические методы:
- Регулярное аудиологическое наблюдение. Необходимы частые проверки слуха (аудиометрия, тимпанометрия), особенно у детей, для своевременного выявления и контроля степени кондуктивной тугоухости.
- Назальные кортикостероиды и промывания. Лечение сопутствующего риносинусита с помощью назальных спреев и солевых промываний может косвенно улучшить функцию евстахиевой трубы и уменьшить скопление экссудата в среднем ухе.
- Установка тимпаностомических трубок. Этот хирургический метод является наиболее эффективным для лечения ХЭО. Через небольшой разрез в барабанной перепонке устанавливается крошечная вентиляционная трубка (шунт), которая обеспечивает постоянную вентиляцию среднего уха и отток жидкости. Это приводит к немедленному улучшению слуха. Трубки обычно остаются на месте от нескольких месяцев до года, а затем самостоятельно выпадают или удаляются. Может потребоваться повторная установка.
- Аудиологическая реабилитация. При сохраняющейся тугоухости, даже после дренирования, или в случае, если хирургическое вмешательство невозможно или неэффективно, могут быть рекомендованы слуховые аппараты. Это особенно важно для детей, чтобы обеспечить нормальное развитие речи и обучения.
Комплексный подход в управлении осложнениями ПЦД
Эффективное управление бронхоэктазами, синуситами и отологическими проблемами при Первичной цилиарной дискинезии требует постоянного сотрудничества между пульмонологами, оториноларингологами, генетиками, физиотерапевтами и аудиологами. Междисциплинарный подход обеспечивает комплексную оценку состояния пациента, разработку индивидуализированного плана лечения и своевременную коррекцию терапии. Регулярный контроль каждого осложнения и скоординированные действия специалистов позволяют минимизировать негативное воздействие ПЦД на здоровье и повысить качество жизни.
Жизнь с Первичной цилиарной дискинезией (ПЦД): адаптация и поддержание качества жизни
первичная цилиарная дискинезия (ПЦД) — это хроническое заболевание, требующее постоянного управления и адаптации. Жизнь с хроническим диагнозом подразумевает не только строгое следование медицинским рекомендациям, но и активное участие в поддержании физического и психоэмоционального благополучия, а также интеграцию лечения в повседневную жизнь. Целью является не просто выживание, а достижение максимально возможного качества жизни, позволяющего пациентам реализовать свой потенциал.
Ежедневная рутина и самоконтроль: краеугольный камень благополучия
Эффективное управление первичной цилиарной дискинезией во многом зависит от приверженности пациента ежедневному лечебному режиму. Организация дня таким образом, чтобы процедуры очистки дыхательных путей и приём медикаментов стали неотъемлемой частью рутины, критически важна для предотвращения обострений и сохранения функции лёгких.
Приверженность лечению и организация времени
Строгое соблюдение всех предписаний врача является главным условием успешного контроля первичной цилиарной дискинезией. Это включает:
- Регулярное выполнение процедур очистки дыхательных путей: Ежедневные сеансы физиотерапии (например, постуральный дренаж, терапия с положительным давлением на выдохе, высокочастотные осцилляции грудной клетки) должны проводиться несколько раз в день. Их выполнение помогает удалять застойную слизь, снижает бактериальную нагрузку и предотвращает формирование слизистых пробок.
- Ингаляционная терапия: Применение гипертонического солевого раствора и муколитиков по расписанию способствует разжижению мокроты и облегчает её выведение.
- Приём медикаментов: Антибиотики, противовоспалительные средства и другие препараты должны приниматься в строгом соответствии с назначенной схемой.
Для оптимизации графика следует разработать индивидуальный распорядок, который учитывает школьное или рабочее расписание, а также личные предпочтения. Возможно использование таймеров, напоминаний в телефоне или специальных приложений для отслеживания приёма лекарств и процедур.
Профилактика инфекций в повседневной жизни
Поскольку пациенты с первичной цилиарной дискинезией особенно восприимчивы к респираторным инфекциям, строгая профилактика является обязательной мерой:
- Гигиена рук: Регулярное и тщательное мытьё рук с мылом или использование антисептиков.
- Избегание контакта с больными: По возможности минимизировать пребывание в людных местах в сезон простуд и избегать прямого контакта с людьми, имеющими признаки респираторных инфекций.
- Ежегодная вакцинация: Вакцинация против гриппа, пневмококковой инфекции, коклюша и других рекомендованных инфекций является приоритетом.
- Здоровый образ жизни: Достаточный сон, сбалансированное питание и умеренная физическая активность способствуют укреплению иммунитета.
Питание и физическая активность
Поддержание хорошего питательного статуса и физической активности критически важно для пациентов с ПЦД:
- Адекватное питание: Хроническое воспаление и инфекции увеличивают энергетические потребности организма. Рекомендуется высококалорийная и высокобелковая диета для предотвращения потери веса и поддержания мышечной массы. В некоторых случаях может потребоваться дополнительный приём витаминов и микроэлементов.
- Регулярная физическая активность: Адаптированные физические упражнения, подобранные в сотрудничестве с врачом и физиотерапевтом, помогают укрепить дыхательную мускулатуру, улучшить лёгочную функцию и общее самочувствие. Подходят плавание, ходьба, йога. Важно избегать переохлаждения и чрезмерных нагрузок, особенно во время обострений.
Психологическая поддержка и эмоциональное благополучие
Жизнь с хроническим заболеванием, таким как первичная цилиарная дискинезия, оказывает значительное эмоциональное и психологическое воздействие как на самого пациента, так и на его семью. Важно уделять внимание психическому здоровью наравне с физическим.
Эмоциональные вызовы и стратегии преодоления
Пациенты с ПЦД могут сталкиваться с различными эмоциональными трудностями:
- Тревога и депрессия: Из-за постоянной необходимости лечения, частых инфекций, ограничений в повседневной жизни.
- Социальная изоляция: Чувство отличия от сверстников, страх заразить других или быть заражённым, сложности с участием в некоторых активностях.
- Фрустрация: От хронического кашля, усталости, необходимости постоянно выполнять процедуры.
Для преодоления этих вызовов рекомендуется использовать следующие стратегии:
- Развитие навыков преодоления трудностей: Освоение техник релаксации, медитации, осознанности.
- Поиск хобби и интересов: Занятия, приносящие удовольствие и отвлекающие от болезни.
- Ведение дневника: Запись мыслей и чувств помогает лучше понять себя и свои реакции.
- Постановка реалистичных целей: Маленькие, достижимые шаги помогают сохранять мотивацию и чувство контроля.
Роль психолога и групп поддержки
Профессиональная помощь и поддержка со стороны сверстников являются мощными инструментами для улучшения эмоционального состояния:
- Индивидуальная психотерапия: Работа с психологом или психотерапевтом помогает разработать индивидуальные стратегии преодоления стресса, справиться с тревогой, депрессией и адаптироваться к жизни с хроническим диагнозом.
- Семейная терапия: Может помочь членам семьи справиться с эмоциональной нагрузкой, улучшить коммуникацию и взаимодействие в контексте заболевания.
- Группы поддержки: Общение с другими пациентами с первичной цилиарной дискинезией или их семьями создаёт чувство общности, позволяет делиться опытом, получать практические советы и эмоциональную поддержку.
Образование, карьера и социальная интеграция
Интеграция в общество, получение образования и построение карьеры являются важными аспектами полноценной жизни для каждого человека, включая пациентов с ПЦД. Хотя заболевание может накладывать определённые ограничения, существует множество способов их преодоления.
Адаптация в учебной и профессиональной среде
Важно, чтобы учебные заведения и работодатели были информированы об особенностях первичной цилиарной дискинезии для обеспечения необходимой поддержки:
- В школе и ВУЗе: Может потребоваться гибкий график посещения занятий, возможность выполнять процедуры очистки дыхательных путей в уединении, дополнительные перерывы, а также адаптация физических нагрузок на уроках физкультуры. Важна открытая коммуникация с учителями и администрацией.
- Выбор профессии: Желательно избегать профессий, связанных с воздействием пыли, химикатов, резких перепадов температур или длительным пребыванием в условиях высокой влажности/холода, которые могут усугублять респираторные симптомы. Предпочтительны профессии, позволяющие поддерживать стабильный микроклимат и иметь возможность для проведения процедур.
- Трудоустройство: При необходимости могут быть запрошены разумные приспособления на рабочем месте в соответствии с законодательством о правах людей с ограниченными возможностями. Важно обсудить это с работодателем.
Права и возможности для людей с ПЦД
Понимание своих прав и доступных ресурсов помогает пациентам с первичной цилиарной дискинезией получать необходимую помощь и поддержку:
- Медицинское обслуживание: Право на бесплатную или льготную медицинскую помощь, лекарственное обеспечение.
- Социальная поддержка: Возможность оформления инвалидности (при наличии соответствующих показаний) и получение связанных с ней льгот.
- Образовательные программы: Доступ к специальным образовательным программам или возможностям дистанционного обучения, если это необходимо.
Социальные связи и личная жизнь
Поддержание социальных связей, создание семьи и личные отношения играют ключевую роль в качестве жизни. первичная цилиарная дискинезия может влиять на эти аспекты, но не должна становиться препятствием для их полноценного развития.
Влияние заболевания на отношения
Открытость и честность являются основой крепких отношений:
- Дружба и любовь: Важно доверять близким и объяснять им особенности своего заболевания, потребность в лечении, возможные ограничения. Понимание и поддержка со стороны партнёра и друзей существенно облегчают жизнь.
- Семья: Внутри семьи необходимо распределять обязанности, связанные с уходом за пациентом (если это ребёнок) или поддержкой взрослого члена семьи.
Вопросы планирования семьи и фертильности
Планирование семьи для пациентов с ПЦД требует особого внимания:
- Мужское бесплодие: Практически все мужчины с первичной цилиарной дискинезией бесплодны из-за неподвижности сперматозоидов. Доступны вспомогательные репродуктивные технологии, такие как ЭКО с интрацитоплазматической инъекцией сперматозоидов (ИКСИ), для которых возможно получение сперматозоидов путём биопсии яичка.
- Женская фертильность: Женщины с ПЦД могут испытывать снижение фертильности из-за нарушения транспорта яйцеклеток, но беременность возможна. Важно обсудить планирование беременности с лечащим врачом, чтобы оценить риски и провести необходимую подготовку.
- Генетическое консультирование: Важно для пар, планирующих беременность, чтобы оценить риски рождения ребёнка с первичной цилиарной дискинезией, учитывая аутосомно-рецессивный тип наследования большинства форм заболевания.
Путешествия и активный отдых с Первичной цилиарной дискинезией
Хотя первичная цилиарная дискинезия требует соблюдения определённых правил, она не должна быть полным препятствием для путешествий и активного образа жизни. Тщательное планирование и соблюдение мер предосторожности позволяют наслаждаться новыми впечатлениями.
Планирование поездок и меры предосторожности
Перед любой поездкой необходимо предпринять следующие шаги:
- Консультация с врачом: Обсудить предстоящее путешествие, получить рекомендации по адаптации терапии (например, при смене часовых поясов), запастись всеми необходимыми медикаментами с запасом.
- Медицинские документы: Всегда иметь при себе медицинскую карту, список принимаемых препаратов, рецепты и справки, подтверждающие необходимость перевозки медицинского оборудования (ингаляторы, жилет для высокочастотных осцилляций грудной клетки).
- Страховка: Приобрести медицинскую страховку, покрывающую хронические заболевания и возможные экстренные ситуации.
- Условия пребывания: Выбирать места с благоприятным климатом, избегать регионов с высоким уровнем загрязнения воздуха, экстремальными температурами или высокой влажностью. Обеспечить доступ к чистой воде и гигиеническим условиям.
- Доступ к медицинской помощи: Заранее узнать о доступности медицинских учреждений в месте пребывания.
Виды активного отдыха
Многие виды активного отдыха доступны для людей с первичной цилиарной дискинезией, с учётом индивидуальных ограничений и рекомендаций врача:
- Плавание: Занятия в хлорированной воде могут быть полезны, так как пар и хлор могут способствовать разжижению слизи.
- Прогулки на свежем воздухе: Вдали от загрязнённых зон, в лесу или у моря, могут улучшить дыхательную функцию.
- Лечебная физкультура: Продолжение регулярных упражнений, направленных на укрепление дыхательной мускулатуры.
Расширение прав и возможностей: пациентское сообщество и защита интересов
Активное участие в жизни пациентского сообщества и самозащита интересов позволяют пациентам с ПЦД чувствовать себя менее одинокими, получать актуальную информацию и влиять на улучшение качества медицинских услуг.
Роль пациентских организаций
Организации пациентов с первичной цилиарной дискинезией играют важную роль в поддержке и информировании:
- Обмен опытом: Платформы для общения, где можно задать вопросы, поделиться переживаниями и получить поддержку от людей, сталкивающихся с аналогичными проблемами.
- Образование: Распространение актуальной и проверенной информации о заболевании, методах лечения, новых исследованиях.
- Защита интересов: Представление интересов пациентов на уровне органов здравоохранения, участие в разработке стандартов лечения и доступе к новым препаратам и технологиям.
Самозащита интересов и участие в исследованиях
Пациент сам является самым важным защитником своего здоровья:
- Знание своих прав: Понимание прав на доступное медицинское обслуживание, образование и социальную поддержку.
- Эффективная коммуникация с врачами: Активное участие в принятии решений о своём лечении, задавая вопросы, выражая свои опасения и предпочтения.
- Участие в клинических исследованиях: При наличии такой возможности, участие в исследованиях новых методов диагностики и лечения ПЦД может не только принести пользу конкретному пациенту, но и внести вклад в развитие медицины для всего сообщества.
Жизнь с первичной цилиарной дискинезией — это вызов, но с адекватной медицинской помощью, сильной поддержкой и активным подходом к самоконтролю, пациенты могут вести насыщенную и продуктивную жизнь, несмотря на хронический характер заболевания.
Мультидисциплинарный подход: значение команды специалистов в ведении ПЦД
Эффективное управление Первичной цилиарной дискинезией требует согласованных усилий группы различных специалистов, поскольку это заболевание затрагивает множество систем организма и имеет хроническое, прогрессирующее течение. Мультидисциплинарная команда обеспечивает комплексный подход к диагностике, лечению и мониторингу состояния пациентов, адаптируя терапию к индивидуальным потребностям и изменяющимся клиническим проявлениям.
Почему комплексный подход к Первичной цилиарной дискинезии критически важен
Первичная цилиарная дискинезия (ПЦД) проявляется широким спектром симптомов, поражая не только дыхательные пути, но и другие органы, где присутствуют подвижные реснички. Это создаёт уникальные сложности в ведении заболевания, которые невозможно эффективно решить силами одного специалиста. Необходимость комплексного подхода обусловлена несколькими факторами:
- Многосистемное поражение: ПЦД затрагивает лёгкие, околоносовые пазухи, среднее ухо, а также может влиять на фертильность и развитие органов (при situs inversus). Каждый из этих аспектов требует специфических знаний и методов лечения.
- Хронический характер и прогрессирование: Заболевание является пожизненным и склонно к прогрессированию, что требует постоянного наблюдения, адаптации терапевтических стратегий и профилактики осложнений на каждом этапе жизни пациента.
- Сложность диагностики: Выявление Первичной цилиарной дискинезии часто требует комбинации функциональных, морфологических и генетических исследований, интерпретация которых лучше всего достигается при совместной работе разных экспертов.
- Высокий риск осложнений: Развитие бронхоэктазов, хронического синусита, тугоухости и проблем с фертильностью требует специализированного управления для минимизации ущерба и поддержания качества жизни.
- Психосоциальные аспекты: Жизнь с хроническим заболеванием оказывает значительное влияние на психоэмоциональное состояние пациента и его семьи, требуя психологической поддержки и адаптации.
Основные специалисты в команде по ведению ПЦД и их роль
Мультидисциплинарная команда для пациентов с Первичной цилиарной дискинезией обычно включает в себя широкий круг специалистов, каждый из которых вносит свой вклад в общую стратегию лечения и поддержки. Ниже представлены ключевые члены такой команды и их основные задачи:
| Специалист | Основная роль в ведении ПЦД | Ключевые функции |
|---|---|---|
| Пульмонолог (детский или взрослый) | Координатор и главный врач по лёгочным проявлениям. | Диагностика и лечение бронхоэктазов, хронического кашля, рецидивирующих инфекций; мониторинг функции лёгких; назначение и контроль процедур очистки дыхательных путей и антибактериальной терапии. |
| Оториноларинголог (ЛОР-врач) | Управление патологиями верхних дыхательных путей и среднего уха. | Диагностика и лечение хронического риносинусита, полипов носа, экссудативного отита; проведение хирургических вмешательств на пазухах и среднем ухе (например, установка шунтов). |
| Генетик | Подтверждение диагноза, консультирование семьи. | Проведение генетического тестирования, интерпретация результатов, оценка рисков наследования для будущих поколений, консультирование по вопросам планирования семьи. |
| Физиотерапевт / Специалист по дыхательной реабилитации | Обучение и контроль техник очистки дыхательных путей. | Индивидуальный подбор и обучение пациента и его семьи эффективным методам мукоцилиарного клиренса (постуральный дренаж, PEP-терапия, HFCWO, аутогенный дренаж); разработка программ физической активности. |
| Аудиолог | Оценка и коррекция нарушений слуха. | Регулярное проведение аудиометрии и тимпанометрии; подбор слуховых аппаратов при кондуктивной тугоухости; консультирование по развитию речи у детей с нарушениями слуха. |
| Инфекционист (при необходимости) | Управление сложными и резистентными инфекциями. | Консультации при рецидивирующих или атипичных бактериальных инфекциях; помощь в выборе антибиотиков при устойчивости микроорганизмов, особенно при хронической колонизации Pseudomonas aeruginosa. |
| Репродуктолог / Андролог / Гинеколог | Консультирование и помощь по вопросам фертильности. | Оценка причин бесплодия (у мужчин) или снижения фертильности (у женщин); консультирование по вспомогательным репродуктивным технологиям, планированию беременности. |
| Психолог / Социальный работник | Психологическая поддержка и адаптация. | Помощь в преодолении тревожности, депрессии, стресса; консультирование по вопросам социальной адаптации, обучения, карьеры; помощь в доступе к социальным льготам. |
| Диетолог | Оптимизация питания и нутритивного статуса. | Оценка нутритивного статуса; разработка индивидуального плана питания для поддержания нормального веса, предотвращения дефицита витаминов и микроэлементов. |
| Рентгенолог / Радиолог | Интерпретация визуализационных исследований. | Проведение и анализ КТВР лёгких, КТ околоносовых пазух, рентгенографии, помогая в диагностике и мониторинге бронхоэктазов, синуситов и situs inversus. |
Механизмы эффективного взаимодействия команды
Координация и открытая коммуникация между специалистами — краеугольный камень успешного мультидисциплинарного подхода. Эффективное взаимодействие обеспечивается через:
- Регулярные междисциплинарные совещания: Обсуждение сложных клинических случаев, обмен информацией и совместная выработка индивидуализированного плана лечения для каждого пациента с Первичной цилиарной дискинезией.
- Единая медицинская карта и электронная система документооборота: Обеспечение доступа всех членов команды к полной истории болезни, результатам анализов и исследований, планам лечения.
- Назначение координатора лечения: Часто это пульмонолог или специализированная медсестра, который является связующим звеном между пациентом, его семьёй и всеми специалистами, обеспечивая непрерывность и согласованность помощи.
- Обратная связь: Постоянный обмен информацией между специалистами о динамике состояния пациента, результатах их вмешательств и изменениях в терапии.
Преимущества мультидисциплинарного ведения ПЦД
Применение комплексного мультидисциплинарного подхода к ведению Первичной цилиарной дискинезии приносит значительные преимущества для пациентов и их семей:
- Улучшение диагностической точности: Сочетание экспертных знаний разных специалистов позволяет быстрее и точнее поставить диагноз, особенно в сложных и атипичных случаях ПЦД.
- Оптимизация лечения: Индивидуально подобранные стратегии, учитывающие все аспекты заболевания, обеспечивают наилучшие результаты в контроле симптомов и замедлении прогрессирования Первичной цилиарной дискинезии.
- Раннее выявление и предотвращение осложнений: Регулярный мониторинг состояния всех поражённых систем позволяет своевременно выявлять и эффективно лечить развивающиеся осложнения, такие как бронхоэктазы, синуситы и тугоухость.
- Повышение качества жизни: Комплексный подход учитывает не только физические, но и психосоциальные потребности пациентов, помогая им адаптироваться к жизни с хроническим заболеванием и поддерживать активность.
- Обучение и информирование пациента: Пациенты и их семьи получают полную и согласованную информацию о своём заболевании, что способствует лучшей приверженности лечению и более активному участию в процессе управления ПЦД.
- Сокращение визитов и бюрократии: Согласованная работа команды уменьшает необходимость в повторных визитах к разным врачам, обеспечивая более эффективное использование времени пациента и медицинских ресурсов.
Перспективы и исследования: будущее в лечении Первичной цилиарной дискинезии (ПЦД)
Несмотря на то, что Первичная цилиарная дискинезия (ПЦД) является редким заболеванием, активные научные исследования и разработка новых терапевтических подходов дают надежду на значительное улучшение диагностики, лечения и качества жизни пациентов. Современная медицина сосредоточена на поиске путей исправления первопричины заболевания и более эффективного управления его многочисленными проявлениями.
Современные вызовы и направления научных изысканий при Первичной цилиарной дискинезии
Текущие стратегии лечения Первичной цилиарной дискинезии в значительной степени ориентированы на симптоматическое облегчение и предотвращение осложнений. Несмотря на их эффективность в замедлении прогрессирования заболевания, они не устраняют основную причину дисфункции ресничек. Исследовательское сообщество сталкивается с рядом вызовов, которые стимулируют разработку инновационных подходов:
- Генетическая гетерогенность. Множество генов, мутации в которых приводят к ПЦД, усложняет разработку универсальных терапий.
- Сложность структуры и функции ресничек. Микроскопический размер и комплексное координированное движение ресничек делают их уязвимыми к мельчайшим структурным дефектам, что требует высокоточных методов воздействия.
- Необходимость ранней и точной диагностики. Задержка в постановке диагноза приводит к необратимым изменениям в лёгких, таких как бронхоэктазы, что значительно ухудшает прогноз.
- Разработка методов оценки эффективности терапии. Нужны более чувствительные биомаркеры для мониторинга ответа на новые экспериментальные методы лечения.
- Восстановление мукоцилиарного клиренса. Основной задачей остаётся восстановление или компенсация нарушенной функции ресничек для эффективного удаления слизи и предотвращения инфекций.
Генная терапия: исправление первопричины заболевания
Генная терапия представляет собой одно из наиболее многообещающих направлений в лечении Первичной цилиарной дискинезии, поскольку она направлена на коррекцию основного генетического дефекта, вызывающего заболевание. Этот подход потенциально может восстановить нормальную структуру и функцию ресничек.
- Механизмы действия: Генная терапия предполагает доставку функциональной копии мутировавшего гена в клетки дыхательных путей пациента. Для этого используются различные векторы, чаще всего модифицированные вирусы (например, аденоассоциированные вирусы), которые способны эффективно проникать в клетки и встраивать генетический материал.
- Перспективы: Восстановление экспрессии недостающего белка должно привести к правильной сборке ресничек и нормализации их движения, что может остановить прогрессирование заболевания и улучшить мукоцилиарный клиренс.
- Вызовы и исследования: Основные сложности включают эффективную и безопасную доставку генов во все необходимые клетки (например, в глубокие отделы лёгких, носовые пазухи, уши), а также преодоление иммунного ответа организма на вирусные векторы. Ведутся исследования по разработке новых векторов и методов доставки, специфичных для реснитчатых клеток. Также изучаются возможности использования технологий редактирования генома, таких как CRISPR/Cas9, для точечной коррекции мутаций.
Молекулярно-таргетные подходы: специфическое лечение дефектов ресничек
Молекулярно-таргетная терапия при Первичной цилиарной дискинезии сосредоточена на разработке препаратов, которые специфически воздействуют на молекулярные механизмы, нарушенные из-за генетических дефектов. Эти подходы могут быть применимы к конкретным типам мутаций или функциям ресничек.
- Коррекция нонсенс-мутаций: Некоторые мутации (нонсенс-мутации) приводят к преждевременному прекращению синтеза белка. Разрабатываются препараты (например, амингликозиды, аталурен), которые позволяют «прочитывать» такие мутации, стимулируя синтез полного функционального белка. Эти подходы уже исследуются для других генетических заболеваний (например, муковисцидоза), и их потенциал изучается и для ПЦД.
- Фармакологическое усиление функции ресничек: Исследуются вещества, которые могут улучшать движение или координацию уже существующих, но неполноценно функционирующих ресничек. Это могут быть препараты, воздействующие на внутриклеточные сигнальные пути, или усиливающие синтез АТФ, необходимого для движения динеиновых ручек.
- Модуляция воспаления и слизи: Новые противовоспалительные препараты и муколитики, которые более эффективно воздействуют на патогенетические механизмы ПЦД, могут улучшить симптоматическое лечение и замедлить повреждение органов.
Новые методы диагностики и мониторинга Первичной цилиарной дискинезии
Улучшение диагностических методов направлено на повышение точности, снижение инвазивности и возможность раннего выявления Первичной цилиарной дискинезии, что критически важно для своевременного начала терапии.
Основные направления исследований в области диагностики включают:
- Неинвазивные биомаркеры: Поиск специфических молекул в крови, моче или дыхательном конденсате, которые могли бы служить маркерами ПЦД или индикаторами её прогрессирования. Это позволит упростить скрининг и мониторинг.
- Расширенное генетическое тестирование: Постоянное выявление новых генов, связанных с ПЦД, и разработка более полных и доступных панелей для генетического скрининга, включая полноэкзомное и полногеномное секвенирование. Это помогает выявлять редкие мутации и улучшать семейное консультирование.
- Совершенствование визуализации ресничек: Разработка менее инвазивных методов получения образцов (например, с помощью эндоскопических щеток вместо биопсии) и улучшение технологий высокоскоростной видеомикроскопии и электронной микроскопии для более точной и быстрой оценки структуры и функции ресничек.
- Улучшенные функциональные тесты: Разработка новых, стандартизированных тестов для оценки мукоцилиарного клиренса у детей и взрослых, которые будут более объективными и воспроизводимыми.
Инновации в симптоматическом лечении и методах очистки дыхательных путей
Даже с развитием патогенетической терапии, симптоматическое лечение и методы очистки дыхательных путей останутся критически важными для пациентов с Первичной цилиарной дискинезией. Исследования направлены на повышение их эффективности и удобства.
Ключевые направления инноваций включают:
- Новые муколитики и гидратирующие агенты: Разработка препаратов, которые более эффективно разжижают вязкую слизь, не оказывая при этом системных побочных эффектов. Примером могут служить новые осмолитические агенты или муколитики, целенаправленно воздействующие на химические связи в слизи.
- Усовершенствованные устройства для очистки дыхательных путей: Разработка более портативных, удобных и эффективных устройств для PEP-терапии или высокочастотных осцилляций грудной клетки. Инновации могут включать беспроводные технологии, интеграцию с приложениями для смартфона для отслеживания и мотивации.
- Противовоспалительные стратегии: Изучение новых противовоспалительных препаратов, которые могут безопасно уменьшать хроническое воспаление в дыхательных путях при ПЦД, снижая повреждение тканей и частоту обострений.
- Улучшенные системы доставки ингаляционных препаратов: Разработка более эффективных небулайзеров и ингаляторов, которые обеспечивают оптимальное проникновение лекарственных средств (антибиотиков, муколитиков, противовоспалительных) в глубокие отделы лёгких.
Роль искусственного интеллекта и больших данных в исследовании ПЦД
Применение искусственного интеллекта (ИИ) и анализ больших данных открывают новые горизонты в понимании и лечении Первичной цилиарной дискинезии, особенно учитывая её редкость и генетическую сложность.
Эти технологии могут способствовать прогрессу в следующих областях:
- Персонализированная медицина: ИИ способен анализировать обширные объёмы генетических, клинических и анамнестических данных для каждого пациента, позволяя разрабатывать индивидуализированные планы лечения. Это включает подбор наиболее эффективных терапий на основе уникального генотипа и фенотипа пациента.
- Открытие новых лекарств: ИИ может значительно ускорить процесс поиска и разработки новых терапевтических агентов, предсказывая их эффективность и потенциальные побочные эффекты на основе молекулярных моделей. Он также способен идентифицировать новые мишени для таргетной терапии.
- Прогнозирование течения заболевания: Анализ больших данных может помочь в создании моделей, прогнозирующих скорость прогрессирования бронхоэктазов, частоту инфекций и снижение функции лёгких у пациентов с Первичной цилиарной дискинезией. Это позволяет заранее адаптировать терапию.
- Улучшение диагностики: ИИ может анализировать изображения с электронной микроскопии или данные высокоскоростной видеомикроскопии, помогая в автоматизированной диагностике структурных и функциональных дефектов ресничек.
Участие в клинических исследованиях: вклад в будущее ПЦД-терапии
Участие пациентов с Первичной цилиарной дискинезией в клинических исследованиях имеет фундаментальное значение для развития новых методов диагностики и лечения. Без активной вовлечённости пациентов прогресс в области редких заболеваний замедляется.
Участие в исследованиях предоставляет следующие возможности и преимущества:
- Доступ к инновационным терапиям: Пациенты могут получить доступ к экспериментальным препаратам и методам лечения, которые ещё не доступны широкой публике.
- Вклад в науку: Данные, полученные в ходе исследований, помогают учёным лучше понять механизмы Первичной цилиарной дискинезии, оценить безопасность и эффективность новых подходов, что в конечном итоге улучшает лечение для всех пациентов.
- Улучшенный медицинский надзор: Участники исследований обычно получают более тщательный мониторинг своего состояния и углублённое обследование.
- Поддержка сообщества: Участие в исследованиях укрепляет пациентское сообщество и способствует адвокации интересов людей с ПЦД.
При рассмотрении участия в клинических исследованиях крайне важно обсудить все детали, потенциальные риски и преимущества с лечащим врачом, чтобы принять информированное решение.
Список литературы
- Министерство здравоохранения Российской Федерации. Первичная цилиарная дискинезия (синдром Картагенера). Клинические рекомендации. — 2021.
- Lucas JS, Barbato A, Collins SA, et al. European Respiratory Society guidelines for the diagnosis of primary ciliary dyskinesia. Eur Respir J. 2017;49(1):1600109.
- Strippoli MP, Frischer T, Slavenburg S, et al. European Respiratory Society guidelines for the management of primary ciliary dyskinesia. Eur Respir J. 2012;40(6):1545-1556.
- Bush A, Saglani S. Kendig's Disorders of the Respiratory Tract in Children. 9th ed. Elsevier; 2020.
- Pizzamiglio J, Van der Schans CP. Airway clearance techniques for primary ciliary dyskinesia. Cochrane Database Syst Rev. 2016;1(1):CD010483.
Читайте также
Облитерирующий бронхиолит: полное руководство по диагностике и лечению
Разберитесь в облитерирующем бронхиолите (ОБ) с нашим экспертным руководством. Узнайте о причинах, симптомах, методах диагностики и современных подходах к лечению, чтобы обрести контроль над дыханием и жизнью.
Острая дыхательная недостаточность (ОДН): полное руководство по симптомам и лечению
Столкнулись с внезапной одышкой и нехваткой воздуха? Это может быть острая дыхательная недостаточность. Наша статья подробно объясняет, что это за состояние, почему оно возникает, как его распознать и какие современные методы лечения существуют для спасения жизни.
Острая эозинофильная пневмония (ОЭП): полное руководство по диагностике и лечению
Изучите острую эозинофильную пневмонию (ОЭП) – редкое, но потенциально серьезное заболевание легких. Узнайте о причинах, ключевых симптомах, современных методах диагностики и эффективных стратегиях лечения для быстрого выздоровления.
Острый респираторный дистресс-синдром (ОРДС): что это и как спасают легкие
Изучите острый респираторный дистресс-синдром (ОРДС) – критическое состояние легких. Мы рассмотрим его причины, механизм повреждения, современные методы диагностики и интенсивной терапии для восстановления функции дыхания.
Диффузионная способность легких (DLCO): полное руководство по тесту
Подробное руководство по тесту на диффузионную способность легких (DLCO): узнайте, что это, как он проводится, как подготовиться и что означают результаты для вашего здоровья легких.
Пикфлоуметрия как метод контроля астмы и ХОБЛ: полное руководство
Освоение пикфлоуметрии позволяет пациентам с бронхиальной астмой и ХОБЛ (хронической обструктивной болезнью легких) своевременно заметить ухудшение состояния легких и предотвратить развитие приступа. В статье подробно разобран метод, пошаговая техника измерения пиковой скорости выдоха, расшифровка показателей по цветовым зонам и правила ведения дневника для эффективного управления заболеванием.
Плеврит: обрести контроль над дыханием и вернуться к полноценной жизни
Подробное руководство по плевриту. Узнайте о причинах, симптомах, диагностике и современных методах лечения, чтобы восстановить здоровье и качество жизни.
Провокационный бронхиальный тест: точная оценка состояния бронхов
Узнайте, что такое провокационный бронхиальный тест, как он помогает в диагностике скрытых проблем с дыханием и почему это ключевой метод оценки гиперреактивности бронхов.
Профессиональная астма: полный обзор причин, диагностики и лечения
Узнайте, что такое профессиональная астма, почему она возникает и как её распознать. Статья предлагает полное руководство по современной диагностике и эффективным методам лечения, помогая контролировать заболевание.
Респираторный бронхиолит с интерстициальным заболеванием легких (РБ-ИЗЛ): полное руководство
Изучите респираторный бронхиолит с интерстициальным заболеванием легких (РБ-ИЗЛ): причины, механизмы развития, симптомы, методы диагностики и современные подходы к лечению. Получите исчерпывающую информацию для понимания своего состояния.
Вопросы пульмонологам
Все консультации пульмонологов
они двойня вот у одной из них началось кашель когда ей было 5-7...
Врачи пульмонологи
Пульмонолог
ЕГМУ
Стаж работы: 7 л.
Пульмонолог
Челябинская государственная медицинская академия
Стаж работы: 24 л.
Пульмонолог, Терапевт
Пермский государственный медицинский университет им. акад. Е.А.Вагнера
Стаж работы: 32 л.
