Содержание

Олеогранулема молочной железы — это доброкачественное узловое образование, которое возникает в результате местного омертвения (некроза) жировой ткани с последующей воспалительной реакцией. Несмотря на свою неопухолевую природу, олеогранулема требует пристального внимания, так как ее клинические и рентгенологические признаки могут очень напоминать рак молочной железы. Понимание причин, симптомов и современных подходов к диагностике и лечению этого состояния помогает снять тревогу и составить четкий план действий вместе с врачом.
Что такое олеогранулема молочной железы и почему она возникает
В основе формирования олеогранулемы лежит процесс, называемый жировым некрозом. Молочная железа в значительной степени состоит из жировой ткани, которая пронизана мелкими кровеносными сосудами. При повреждении этих сосудов (например, из-за травмы) нарушается кровоснабжение участка жировой ткани. Лишенные питания, жировые клетки (адипоциты) погибают. Их содержимое — жир — выходит в межклеточное пространство. Организм воспринимает этот свободный жир как инородное тело и запускает защитную воспалительную реакцию. Вокруг очага некроза собираются иммунные клетки, которые пытаются «убрать» погибшие ткани. Со временем на этом месте формируется плотная рубцовая ткань, иногда с отложением солей кальция (кальцинатов). Этот уплотненный участок и есть олеогранулема. Важно понимать, что это не опухоль, а по сути, внутренний рубец на месте поврежденной жировой ткани.
Основные причины развития жирового некроза
Жировой некроз, приводящий к образованию олеогранулемы, может быть спровоцирован различными факторами. Знание этих причин помогает врачу собрать анамнез и точнее предположить диагноз. Вот наиболее распространенные из них:
- Травмы молочной железы. Это самая частая причина. Прямой удар в область груди (в быту, при занятиях спортом, в ДТП), сильное сдавление (например, ремнем безопасности) или даже длительное ношение очень тесного, сдавливающего белья может повредить сосуды и запустить процесс некроза.
- Хирургические вмешательства. Любая операция на молочной железе, включая биопсию, удаление доброкачественных образований (секторальная резекция), уменьшение или увеличение груди (редукционная и аугментационная маммопластика), является травмой для тканей и может осложниться формированием олеогранулемы в послеоперационном периоде.
- Липофилинг. Процедура по увеличению или коррекции формы груди с помощью введения собственного жира пациента. Если часть пересаженных жировых клеток не приживается и не получает достаточного кровоснабжения, они погибают, что приводит к жировому некрозу.
- Лучевая терапия. Облучение области молочной железы при лечении онкологических заболеваний может повреждать мелкие сосуды и вызывать локальный некроз жировой ткани.
- Быстрое и значительное снижение веса. Резкое похудение может нарушать структуру жировой ткани и ее кровоснабжение, что в редких случаях также может стать причиной олеогранулемы.
- Инъекции инородных веществ. Введение в молочную железу различных масел, гелей (например, вазелина, полиакриламидного геля) для увеличения объема — крайне опасная и устаревшая практика, которая почти всегда приводит к тяжелому воспалению и формированию множественных олеогранулем.
Симптомы олеогранулемы: как отличить от злокачественной опухоли
Появление любого уплотнения в груди вызывает закономерную тревогу, поскольку первые мысли связаны с онкологией. Симптомы олеогранулемы действительно могут быть очень похожи на признаки рака, поэтому самостоятельная диагностика недопустима и опасна. Только врач и современные методы исследования могут поставить точный диагноз. Тем не менее, полезно знать, на что обращать внимание.
Для лучшего понимания сходств и различий ниже представлена сравнительная таблица возможных проявлений. Важно помнить, что эта информация носит исключительно ознакомительный характер и не может быть основанием для постановки диагноза.
| Признак | Как может проявляться при олеогранулеме | Почему необходима консультация врача |
|---|---|---|
| Уплотнение | Обычно плотное, с четкими или неровными контурами, может быть спаяно с кожей. Часто безболезненное или слабоболезненное при надавливании. | Злокачественные опухоли также часто плотные, с неровными краями и могут быть безболезненными на ранних стадиях. |
| Изменения кожи | Может наблюдаться покраснение, посинение кожи над уплотнением (как при синяке), а также втяжение кожи или соска. | Втяжение кожи (симптом «умбиликации») и вид «лимонной корки» являются классическими признаками рака молочной железы. |
| Размер и динамика | Олеогранулема может появиться достаточно быстро после травмы, а затем со временем уменьшиться или остаться без изменений. | Злокачественные опухоли, как правило, имеют тенденцию к постоянному росту. Однако начальные стадии могут протекать без видимой динамики. |
| Связь с травмой | Пациентка часто может вспомнить факт травмы, ушиба или операции, предшествовавший появлению уплотнения. | Наличие травмы в анамнезе не исключает рак. Иногда уплотнение обнаруживается случайно именно при осмотре ушибленного места. |
Главный вывод, который нужно сделать: при обнаружении любого из перечисленных симптомов необходимо немедленно обратиться к врачу-маммологу. Попытки самодиагностики или выжидания могут привести к потере драгоценного времени в случае, если образование окажется злокачественным.
Диагностика: ключевой этап для исключения онкологии
Поскольку жировой некроз может имитировать рак, основной задачей диагностики является точное определение природы уплотнения. Процесс диагностики — это комплексный подход, включающий несколько обязательных этапов.
- Осмотр и пальпация у маммолога. Врач проводит осмотр молочных желез, оценивает состояние кожи, пальпирует (прощупывает) уплотнение, определяя его размер, консистенцию, подвижность. Также обязательно осматриваются регионарные лимфатические узлы (подмышечные, надключичные). Важной частью является сбор анамнеза — врач уточнит информацию о прошлых травмах, операциях и других возможных причинах.
- Маммография. Это рентгенологическое исследование молочных желез, которое является «золотым стандартом» скрининга и диагностики. При олеогранулеме на снимках может определяться узел с неровными контурами, тяжами или скоплением микрокальцинатов, что очень схоже с картиной рака. Иногда видны характерные кисты с жировым содержимым (липогранулемы).
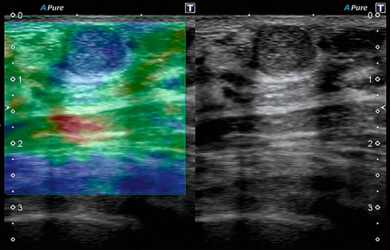
- УЗИ молочных желез. Ультразвуковое исследование — важное дополнение к маммографии, особенно у молодых женщин с плотной тканью железы. УЗИ позволяет детально оценить структуру образования, его кровоток. Для олеогранулемы характерно наличие образований различной эхогенности, часто с отсутствием кровотока внутри, что помогает в дифференциальной диагностике.
- Магнитно-резонансная томография (МРТ). Назначается в сложных диагностических случаях, когда данных УЗИ и маммографии недостаточно для постановки точного диагноза.
- Биопсия. Это решающий этап диагностики. Если после инструментальных исследований остаются малейшие сомнения в доброкачественности процесса, проводится биопсия. Под контролем УЗИ или рентгена с помощью специальной иглы берется фрагмент ткани из уплотнения для гистологического исследования. Только анализ клеточного состава под микроскопом позволяет со 100% уверенностью сказать, является ли образование олеогранулемой или злокачественной опухолью.
Методы лечения олеогранулемы: от наблюдения до хирургии
Тактика лечения жирового некроза зависит от нескольких факторов: размера образования, наличия симптомов (боль, дискомфорт), косметического дефекта и, самое главное, от уверенности в диагнозе. Существует два основных подхода.
Наблюдательная тактика
Если олеогранулема имеет небольшие размеры, не вызывает боли или дискомфорта, не приводит к деформации молочной железы, и диагноз был полностью подтвержден (включая биопсию), возможно динамическое наблюдение. Оно включает в себя регулярные визиты к маммологу и контрольные УЗИ или маммографию (обычно 1–2 раза в год). Это необходимо, чтобы убедиться, что образование не увеличивается в размерах. Со временем небольшие олеогранулемы могут частично или полностью рассосаться самостоятельно.
Хирургическое лечение
Операция по удалению олеогранулемы (секторальная резекция) рекомендуется в следующих случаях:
- Большие размеры образования, которые вызывают косметический дефект или дискомфорт.
- Наличие болевого синдрома, не проходящего со временем.
- Невозможность полностью исключить рак по данным инструментальных исследований и даже после биопсии (в редких, сомнительных случаях).
- Увеличение образования в размерах при динамическом наблюдении.
- Желание пациентки избавиться от уплотнения из-за психологического дискомфорта.
Операция обычно проводится в пределах здоровых тканей, с удалением всего участка измененной жировой клетчатки. Полученный материал обязательно отправляется на срочное и плановое гистологическое исследование для окончательного подтверждения диагноза. Современные хирургические техники позволяют выполнять такие операции с минимальным косметическим ущербом.
Прогноз и возможные осложнения
Прогноз при олеогранулеме молочной железы благоприятный. Это состояние не представляет угрозы для жизни и здоровья. Самое важное, что нужно знать: олеогранулема не является предраковым состоянием и никогда не перерождается в рак. Это принципиальное отличие от некоторых других доброкачественных заболеваний молочной железы.
Если жировой некроз не лечить (при наличии показаний к операции), основными осложнениями могут быть хронический дискомфорт, сохранение или усугубление косметического дефекта. В редких случаях вокруг крупной олеогранулемы может присоединиться инфекция с формированием абсцесса. После хирургического удаления прогноз также хороший, рецидивы на том же месте случаются крайне редко. Главное — соблюдать все рекомендации врача в послеоперационном периоде для правильного заживления тканей.
Профилактика: можно ли снизить риски
Специфической профилактики жирового некроза не существует, так как часто он возникает в результате случайных травм. Однако можно снизить риски, следуя простым рекомендациям:
- Защита груди от травм. При занятиях контактными видами спорта или активным отдыхом используйте специальное защитное снаряжение. В автомобиле всегда пристегивайтесь ремнем безопасности.
- Правильный подбор белья. Избегайте постоянного ношения очень тесных, сдавливающих бюстгальтеров с жесткими косточками, особенно во время сна.
- Тщательное соблюдение рекомендаций после операций. После любого хирургического вмешательства на молочной железе важно точно следовать указаниям хирурга по ношению компрессионного белья, ограничению физической нагрузки и уходу за швами.
- Ответственный подход к косметологическим процедурам. Категорически избегайте инъекций сомнительных и несертифицированных препаратов в молочную железу. Если вы рассматриваете липофилинг, обращайтесь только в проверенные клиники к высококвалифицированным хирургам.
Помните, что регулярные самообследования и плановые визиты к маммологу являются лучшей профилактикой не только олеогранулемы, но и более серьезных заболеваний молочной железы.
Список литературы
- Клинические рекомендации «Доброкачественная дисплазия молочной железы». Разработчик: Ассоциация онкологов России, Российское общество онкомаммологов. — 2020.
- Маммология: национальное руководство / под ред. В. П. Харченко, Н. И. Рожковой. — М.: ГЭОТАР-Медиа, 2009. — 328 с.
- Рожкова Н. И. Рентгеносемиотика заболеваний молочных желез. — М.: МЕДпресс-информ, 2011. — 224 с.
- Струков А. И., Серов В. В. Патологическая анатомия: Учебник. — 5-е изд. — М.: Литтерра, 2010. — 880 с.
- Lakhani S.R., Ellis I.O., Schnitt S.J., Tan P.H., van de Vijver M.J. (Eds.). WHO Classification of Tumours of the Breast. 4th Edition. IARC: Lyon, 2012.
Нужна помощь врача?
Если у вас остались вопросы по теме — задайте их квалифицированному специалисту и получите ответ онлайн
Читайте далее по теме:
Читайте также
Цитологическое исследование выделений из соска для исключения патологий
Обнаружили выделения из соска и беспокоитесь о здоровье? Статья подробно объясняет суть цитологического исследования, его цели, как проходит процедура и что означают результаты для вашего спокойствия и уверенности.
Эластография молочных желез: точная диагностика образований без биопсии
Обнаружено уплотнение в груди и вы боитесь биопсии? Узнайте все об эластографии молочных желез — современном методе УЗИ, который с высокой точностью определяет природу новообразований по их жесткости и помогает врачу принять решение о необходимости инвазивной процедуры.
Посттравматические изменения груди: от ушиба до диагностики и лечения
Столкнулись с болью или уплотнением в груди после травмы и не знаете, что делать. В статье маммолог подробно объясняет, какие изменения могут возникнуть в молочной железе, как их правильно диагностировать и когда необходимо срочно обратиться к врачу.
Фиброз молочной железы: полное руководство по диагностике, лечению и прогнозу
Обнаружены уплотнения или боль в груди и поставлен диагноз фиброз? Эта статья поможет разобраться в причинах заболевания, современных методах диагностики и лечения, а также оценить риски и понять, как жить с этим состоянием.
Аденоз молочной железы: полное руководство по диагностике и лечению заболевания
Вы столкнулись с диагнозом аденоз молочной железы и ищете достоверную информацию о причинах и методах лечения. Эта статья подробно объясняет природу заболевания, современные подходы к диагностике и тактику ведения пациентов.
Воспаление соска (телит): причины, симптомы и современные методы лечения
Столкнулись с болью, покраснением или выделениями из соска? Наша статья подробно объясняет, что такое телит, почему он возникает и как маммологи проводят диагностику и подбирают эффективное и безопасное лечение.
Железы Монтгомери на сосках: полное руководство по норме и патологиям
Вы заметили бугорки на ареоле и беспокоитесь, нормально ли это. В нашей статье врач-маммолог подробно объясняет, что такое железы Монтгомери, какова их функция, когда их появление считается нормой, а в каких случаях стоит обратиться за консультацией.
Доброкачественная дисплазия молочной железы: ваш полный гид по здоровью груди
Столкнулись с диагнозом доброкачественная дисплазия молочной железы и ищете ответы? Наша статья подробно объясняет причины, симптомы, современные методы диагностики и лечения, помогая вам понять состояние и выбрать правильную тактику.
Узловая мастопатия: полное руководство по диагностике, лечению и прогнозу
Обнаружили уплотнение в груди и беспокоитесь о диагнозе узловая мастопатия? Наша статья поможет разобраться в причинах, симптомах, современных методах диагностики и лечения, а также оценить риски и составить план действий.
Серома молочной железы: полное руководство по причинам, лечению и прогнозу
Столкнулись со скоплением жидкости в груди после операции или травмы? В статье подробно разбираем, что такое серома, почему она возникает, как её диагностируют и лечат современные маммологи для вашего спокойствия и уверенности.
Вопросы маммологам
Шишка в груди болит и горит
Добрый вечер! Нащупала продолговатую шишку в груди сверху около...
Как правильно ухаживать за грудью?
Здравствуйте. Я хотела бы узнать, как правильно ухаживать за...
Кровь в одном соске
Здравствуйте я беременна 5 месяцев у меня в одном груди кровь...
Врачи маммологи
Маммолог, Хирург, Онколог
Сибирский государственный медицинский университет
Стаж работы: 30 л.
Маммолог, Хирург, Онколог, Врач УЗД
Самарский государственный медицинский университет
Стаж работы: 36 л.
Маммолог, Онколог, Торакальный хирург
Приволжский исследовательский медицинский университет
Стаж работы: 36 л.
