Содержание

Миеломная нефропатия (МН) — это серьезное поражение почек, которое развивается как осложнение множественной миеломы, онкологического заболевания крови. При этом состоянии нарушается основная функция почек — фильтрация крови и выведение продуктов обмена. Понимание причин, своевременная диагностика и комплексный подход к лечению являются ключевыми факторами для сохранения функции почек и улучшения качества жизни. Это состояние требует слаженной работы гематолога и нефролога для достижения наилучших результатов.
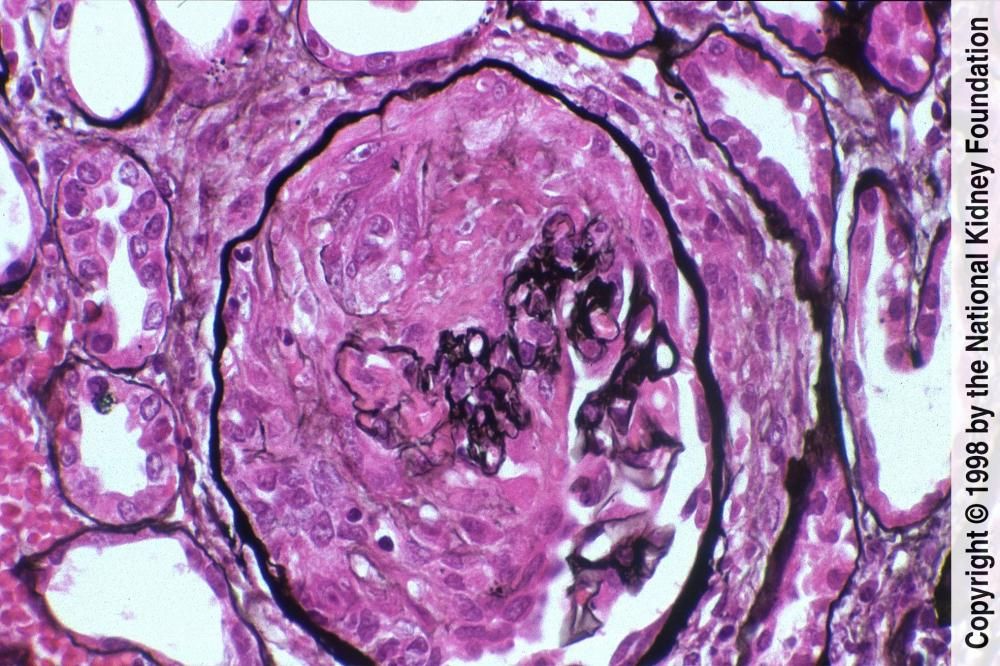
Что такое миеломная нефропатия и почему она возникает
В основе миеломной нефропатии лежит деятельность аномальных плазматических клеток при множественной миеломе. Эти клетки в избытке производят патологические белки, называемые парапротеинами, в частности их легкие цепи (известные как белок Бенс-Джонса). В норме почки фильтруют кровь, пропуская через себя воду и мелкие молекулы, но задерживая крупные белки. Легкие цепи парапротеинов достаточно малы, чтобы попасть в почечные канальцы, но их структура и большое количество приводят к повреждению.
Основной механизм повреждения — это так называемая «цилиндровая» нефропатия. Легкие цепи связываются с другими белками в почечных канальцах, образуя твердые слепки (цилиндры), которые закупоривают их просвет. Это можно сравнить с тем, как мелкий песок засоряет фильтр для воды. Закупорка канальцев нарушает процесс образования мочи и приводит к накоплению токсичных веществ в организме. Помимо этого, легкие цепи могут напрямую повреждать клетки почечных канальцев, вызывая воспаление и фиброз. Важно понимать, что МН — это не самостоятельное заболевание почек, а прямое следствие основного гематологического заболевания.
Ключевые симптомы и первые признаки поражения почек
Симптомы миеломной нефропатии могут быть неспецифичными и долгое время маскироваться под общую усталость или возрастные изменения. Однако существует ряд признаков, которые должны насторожить и стать поводом для немедленного обращения к врачу. Они делятся на почечные проявления и общие симптомы, связанные с множественной миеломой.
Ниже перечислены наиболее характерные признаки:
- Изменения в моче. Появление устойчивой пены в моче является одним из ранних признаков. Это происходит из-за высокого содержания белка. Также может уменьшаться суточное количество мочи.
- Отеки. Задержка жидкости в организме из-за нарушения работы почек приводит к появлению отеков, чаще всего на ногах, лодыжках и лице.
- Общая слабость и быстрая утомляемость. Эти симптомы связаны как с накоплением токсинов в крови (уремическая интоксикация), так и с анемией, часто сопровождающей множественную миелому.
- Потеря аппетита, тошнота. Являются следствием интоксикации организма продуктами обмена веществ, которые почки не в состоянии вывести.
- Боли в костях. Особенно в позвоночнике, ребрах и костях таза. Это классический симптом множественной миеломы, который может предшествовать почечным проявлениям.
- Повышенное артериальное давление. Нарушение функции почек часто ведет к развитию или усугублению артериальной гипертензии.
При появлении одного или нескольких из этих симптомов, особенно на фоне болей в костях, необходимо без промедления проконсультироваться со специалистом. Раннее выявление проблемы значительно повышает шансы на успешное лечение.
Комплексная диагностика МН: какие обследования необходимы
Постановка точного диагноза миеломной нефропатии требует проведения целого ряда лабораторных и инструментальных исследований. Цель диагностики — не только подтвердить наличие поражения почек, но и оценить степень его тяжести, а также определить тип повреждения, что критически важно для выбора тактики лечения. Диагностический процесс всегда начинается с тщательного сбора жалоб и осмотра пациента.
В следующей таблице представлены основные методы диагностики, используемые для выявления МН.
| Тип исследования | Что показывает | Почему это важно |
|---|---|---|
| Общий и биохимический анализ крови | Уровень креатинина, мочевины, электролитов, общего белка, кальция. Наличие анемии. | Позволяет оценить фильтрационную функцию почек (по уровню креатинина) и выявить характерные для миеломы изменения (например, высокий уровень кальция). |
| Анализы мочи (общий, суточный на белок) | Наличие и количество белка в моче, в частности белка Бенс-Джонса (легких цепей). | Это ключевой маркер, прямо указывающий на причину поражения почек при множественной миеломе. |
| Электрофорез белков сыворотки крови и мочи | Выявляет наличие и количество патологического белка (М-градиента или парапротеина). | Помогает подтвердить диагноз множественной миеломы и отслеживать эффективность лечения по снижению уровня парапротеина. |
| Биопсия почки | Дает точную морфологическую картину повреждения: наличие цилиндров в канальцах, отложения легких цепей. | Считается «золотым стандартом» диагностики. Хотя мысль о биопсии может вызывать беспокойство, это стандартная и безопасная процедура, которая дает бесценную информацию для выбора наиболее эффективной терапии. |
Основные направления лечения миеломной нефропатии
Лечение миеломной нефропатии всегда является комплексным и преследует две главные цели: воздействие на причину заболевания (множественную миелому) и поддержка функции почек. Успех терапии напрямую зависит от того, насколько быстро удастся снизить концентрацию токсичных легких цепей в крови.
1. Лечение основного заболевания — множественной миеломы. Это краеугольный камень всей терапии. Современная гематология располагает арсеналом эффективных препаратов, которые подавляют рост злокачественных плазматических клеток и, соответственно, прекращают выработку патологического белка. К ним относятся:
- Химиотерапия
- Таргетная терапия
- Иммуномодулирующие препараты
- Трансплантация костного мозга
Выбор конкретной схемы лечения зависит от возраста пациента, общего состояния здоровья и характеристик заболевания. Быстрое начало противоопухолевой терапии — ключ к спасению почек.
2. Поддерживающая и нефропротективная терапия. Эта часть лечения направлена на защиту почек и коррекцию нарушений, вызванных их недостаточной функцией.
- Адекватная гидратация: поддержание хорошего водного баланса помогает «промывать» почечные канальцы и предотвращать образование цилиндров.
- Коррекция электролитных нарушений и анемии: восполнение дефицитов и нормализация состава крови.
- Избегание нефротоксичных препаратов: категорически важно отказаться от приема нестероидных противовоспалительных средств (НПВС) и других лекарств, которые могут дополнительно повредить почки.
- Экстракорпоральные методы: в некоторых случаях для быстрого удаления легких цепей из крови может применяться плазмаферез. При развитии острой или терминальной почечной недостаточности необходимым становится проведение гемодиализа («искусственная почка»). Важно понимать, что диализ — это не приговор, а метод жизнеобеспечения, который дает время для того, чтобы основное лечение подействовало. У части пациентов после успешной химиотерапии функция почек может восстановиться, и потребность в диализе отпадет.
Роль диеты и образа жизни в поддержке почек
Правильное питание и коррекция образа жизни играют важную вспомогательную, но очень значимую роль в лечении миеломной нефропатии. Эти меры помогают снизить нагрузку на почки, контролировать симптомы и улучшить общее самочувствие. Все диетические рекомендации должны быть строго согласованы с лечащим врачом, так как они могут меняться в зависимости от стадии почечной недостаточности и проводимой терапии.
Вот основные принципы, которых следует придерживаться:
- Контроль потребления соли: ограничение натрия помогает контролировать артериальное давление и уменьшать отеки. Рекомендуется избегать соленых продуктов, консервов и готовить пищу без добавления соли.
- Адекватное потребление жидкости: объем жидкости должен быть согласован с врачом. На ранних стадиях может быть рекомендовано обильное питье, а при выраженной почечной недостаточности и отеках, наоборот, — ограничение жидкости.
- Ограничение белка: при снижении функции почек может потребоваться диета с ограничением белка, чтобы уменьшить образование продуктов его распада (мочевины, креатинина), которые накапливаются в крови.
- Контроль уровня калия и фосфора: при тяжелой почечной недостаточности почки плохо выводят калий и фосфор. Врач может порекомендовать ограничить продукты, богатые этими элементами (бананы, сухофрукты, орехи, молочные продукты).
- Отказ от вредных привычек: курение и злоупотребление алкоголем дополнительно повреждают сосуды, в том числе и почечные, усугубляя течение МН.
Прогноз и перспективы восстановления функции почек
Прогноз при миеломной нефропатии за последние десятилетия значительно улучшился благодаря появлению новых, более эффективных методов лечения множественной миеломы. Исход заболевания зависит от нескольких ключевых факторов: своевременности постановки диагноза, степени исходного повреждения почек и, самое главное, от ответа опухоли на проводимую химиотерапию.
У многих пациентов, особенно при раннем начале лечения, удается добиться не только ремиссии основного заболевания, но и значительного улучшения или даже полного восстановления функции почек. Если удается быстро снизить уровень патологических легких цепей в крови, почки получают шанс на регенерацию. Даже у пациентов, которым потребовалось начало гемодиализа, существует вероятность восстановления почечной функции, позволяющая прекратить процедуры. Главное — это строгое соблюдение всех рекомендаций врачей, тесное сотрудничество гематолога и нефролога и позитивный настрой самого пациента. Современная медицина дает реальные шансы на долгую и полноценную жизнь даже при таком серьезном диагнозе.
Список литературы
- Клинические рекомендации «Множественная миелома». — Министерство здравоохранения Российской Федерации, 2020.
- Шилов Е.М., Смирнов А.В., Козловская Н.Л. Нефрология. Клинические рекомендации. — М.: ГЭОТАР-Медиа, 2021.
- Мухин Н.А., Моисеев В.С., Кобалава Ж.Д. и др. Нефрология: национальное руководство. — М.: ГЭОТАР-Медиа, 2018.
- Knoll G.A., Hladunewich M., Jha V. et al. KDIGO 2024 Clinical Practice Guideline on Onco-Nephrology // Kidney Int. — 2024. — Vol. 106, No. 3S. — P. S1–S136.
- Rajkumar S.V. Multiple myeloma: 2022 update on diagnosis, risk stratification and management // Am J Hematol. — 2022. — Vol. 97, No. 8. — P. 1086–1107.
- Бобкова И.Н., Ставровская Е.В., Голицына Е.П. Миеломная нефропатия: современные представления о патогенезе и подходах к лечению // Терапевтический архив. — 2017. — Т. 89, № 6. — С. 110–116.
Читайте далее по теме:
Читайте также
Быстропрогрессирующий гломерулонефрит: полное руководство по заболеванию
Столкнулись с диагнозом быстропрогрессирующий гломерулонефрит или подозреваете его? Наша статья поможет разобраться в причинах, симптомах, методах диагностики и современного лечения этого серьезного заболевания почек.
Диабетическая нефропатия: как сохранить здоровье почек при диабете
Пациенты с сахарным диабетом рискуют столкнуться с поражением почек, известным как диабетическая нефропатия. Наше руководство подробно объясняет причины, симптомы, стадии и современные методы лечения, чтобы помочь вам сохранить функцию почек и избежать опасных осложнений.
Волчаночный нефрит: сохранение функции почек при системной красной волчанке
Волчаночный нефрит является серьезным осложнением системной красной волчанки, угрожающим здоровью почек. Статья предоставляет полную информацию о причинах, симптомах, современных методах диагностики и лечения этого заболевания.
Поражение почек при АНЦА-васкулите: от симптомов до прогноза
Ваша иммунная система атакует сосуды почек, вызывая АНЦА-ассоциированный васкулит, что грозит почечной недостаточностью. Эта статья подробно объясняет причины, методы диагностики и современные подходы к лечению.
Амилоидоз почек: обретение контроля над редким заболеванием и его лечением
Столкнулись с диагнозом амилоидоз почек и ищете понятную информацию? Наша статья подробно объясняет причины, симптомы и современные подходы к лечению, помогая вам и вашим близким понять заболевание и пути к улучшению состояния.
Подагрическая нефропатия: полное руководство по защите почек при подагре
Когда избыток мочевой кислоты начинает разрушать почки, возникает подагрическая нефропатия. Статья подробно объясняет причины, симптомы и современные методы лечения, которые помогут сохранить функцию почек и избежать диализа.
ВИЧ-ассоциированная нефропатия: сохранение здоровья почек при вирусе
Если у вас ВИЧ, вы беспокоитесь о состоянии почек. Эта статья объясняет все о ВИЧ-ассоциированной нефропатии: от причин и симптомов до современных методов лечения и профилактики, помогая сохранить функцию почек.
Гипертоническая нефропатия: как защитить почки от высокого давления
Высокое давление незаметно разрушает ваши почки, приводя к почечной недостаточности. Эта статья подробно объясняет, что такое гипертоническая нефропатия, как ее вовремя распознать и какое лечение поможет сохранить здоровье почек надолго.
Ишемическая нефропатия: как сохранить здоровье почек при нарушении кровотока
Столкнулись с проблемами в работе почек и высоким давлением? Эта статья подробно объясняет, что такое ишемическая нефропатия, каковы ее причины, симптомы и современные методы лечения, помогающие сохранить функцию почек.
Гемолитико-уремический синдром: полное руководство по причинам и лечению
Узнайте все о гемолитико-уремическом синдроме (ГУС), серьезном заболевании почек. В статье подробно разбираем причины, характерные симптомы, современные методы диагностики и эффективные подходы к лечению у детей и взрослых.
Вопросы нефрологам
Здравствуйте подскажите пожалуйста выписали эту капельницу мне...
Здравствуйте. Три дня назад принял нпвс
(Кетанол дуо, 150 мг)...
Во время диспансеризации выявлено креатинин 130,я не ощущзаю...
Врачи нефрологи
Нефролог, Терапевт, Ревматолог
Красноярский государственный медицинский университет им. профессора В.Ф.Войно-Ясенецкого
Стаж работы: 41 л.
Нефролог, Терапевт
Башкирский государственный медицинский университет
Стаж работы: 38 л.
Нефролог, Терапевт
Ярославская государственная медицинская академия
Стаж работы: 50 л.
