Содержание

Краниотомия — это плановое нейрохирургическое вмешательство, которое заключается во вскрытии черепной коробки для получения доступа к головному мозгу. Несмотря на сложность, современная операция на головном мозге является высокотехнологичной процедурой, позволяющей лечить широкий спектр заболеваний, от опухолей до сосудистых аномалий. Понимание сути, этапов и процесса восстановления помогает пациентам и их близким снизить тревожность и осознанно подойти к предстоящему лечению. Эта операция проводится для устранения непосредственной угрозы здоровью и жизни, вызванной патологическим процессом внутри черепа.
Что такое краниотомия и когда она необходима
Краниотомия представляет собой хирургическую операцию, в ходе которой хирург временно удаляет часть кости черепа, называемую костным лоскутом, чтобы получить доступ к структурам головного мозга. После завершения основного этапа вмешательства (например, удаления опухоли или остановки кровотечения) костный лоскут возвращается на место и фиксируется специальными титановыми пластинами и винтами. Важно отличать это вмешательство от краниоэктомии, при которой костный лоскут не возвращают на место сразу, чтобы дать мозгу пространство при сильном отеке. Такое решение принимается, как правило, при тяжелых черепно-мозговых травмах.
Показания к проведению плановой или экстренной трепанации черепа разнообразны. Это всегда серьезные состояния, требующие прямого хирургического доступа. Вот основные причины, по которым может быть назначена операция:
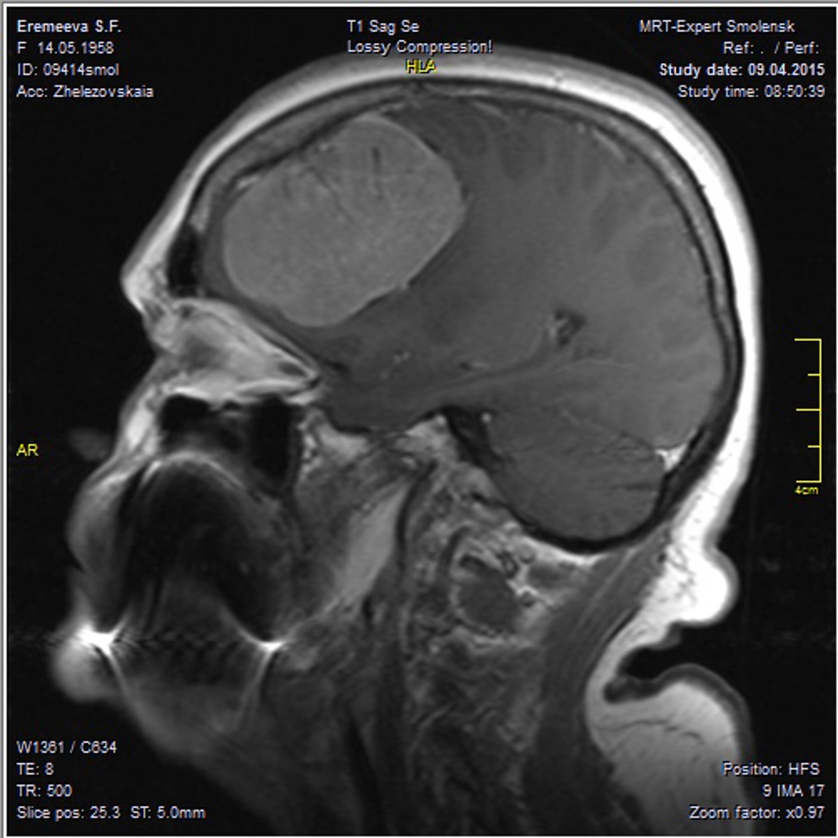
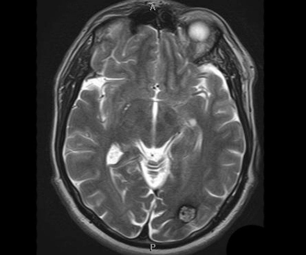
- Опухоли головного мозга. Как доброкачественные (менингиомы, аденомы гипофиза), так и злокачественные (глиобластомы, метастазы) новообразования требуют удаления для снижения давления на мозг и предотвращения дальнейшего роста.
- Сосудистые патологии. Сюда относятся аневризмы (патологические выпячивания стенки артерии), артериовенозные мальформации (АВМ) и каверномы. Операция позволяет предотвратить разрыв сосуда и геморрагический инсульт.
- Внутричерепные гематомы. Скопления крови, образовавшиеся в результате травмы или разрыва сосуда, сдавливают мозг и требуют срочного удаления.
- Черепно-мозговые травмы (ЧМТ). Операция проводится для удаления костных отломков, гематом и снижения внутричерепного давления.
- Абсцессы головного мозга. Гнойные очаги, которые не поддаются консервативному лечению, требуют хирургического дренирования.
- Некоторые формы эпилепсии. При фармакорезистентной эпилепсии (когда лекарства не помогают) удаление эпилептогенного очага может полностью избавить пациента от приступов.
Виды хирургического вмешательства на головном мозге
В зависимости от цели, расположения патологического очага и используемых технологий, нейрохирурги применяют различные подходы. Выбор конкретного вида операции всегда индивидуален и направлен на максимальную эффективность при минимальной травматизации здоровых тканей. Ниже представлена таблица с основными видами вмешательств.
| Тип вмешательства | Краткое описание | Основная цель |
|---|---|---|
| Традиционная (обширная) краниотомия | Формирование большого костного лоскута для широкого доступа к мозгу. | Удаление крупных опухолей, обширных гематом, сложных сосудистых патологий. |
| Минимально-инвазивная краниотомия | Выполняется через небольшой разрез и маленькое отверстие в черепе («замочная скважина»). Используются эндоскоп и специальный микроинструментарий. | Удаление небольших, глубинно расположенных опухолей, клипирование некоторых аневризм. Снижение травматичности и ускорение восстановления. |
| Стереотаксическая биопсия | Забор образца ткани для анализа с помощью тонкой иглы, вводимой через фрезевое отверстие по заранее рассчитанным координатам (с использованием КТ или МРТ). | Точная диагностика типа опухоли, когда ее полное удаление невозможно или нецелесообразно. |
| Краниотомия в сознании («бодрствующая») | Пациент находится в сознании на основном этапе операции, чтобы хирург мог контролировать важные функции (речь, движения) в режиме реального времени. | Удаление образований, расположенных в функционально значимых зонах коры головного мозга, для минимизации риска неврологического дефицита. |
Как проходит подготовка к операции
Тщательная подготовка — ключ к успешному исходу операции на головном мозге и снижению рисков. Этот процесс включает в себя несколько обязательных этапов и начинается задолго до дня госпитализации. Цель подготовки — получить максимум информации о состоянии пациента и патологии, чтобы спланировать вмешательство с максимальной точностью.
Основные шаги подготовки включают:
- Комплексная диагностика. Проводятся высокоточные исследования: магнитно-резонансная томография (МРТ) с контрастированием, компьютерная томография (КТ), ангиография сосудов головного мозга. Эти методы позволяют хирургу увидеть точное расположение, размер и структуру образования, а также его взаимоотношение с сосудами и функциональными зонами мозга.
- Консультации специалистов. Пациент обязательно проходит осмотр у нейрохирурга, который подробно объясняет цели и риски операции, и анестезиолога, который оценивает общее состояние здоровья и подбирает оптимальный вид наркоза. Могут потребоваться консультации и других врачей (кардиолога, эндокринолога) при наличии сопутствующих заболеваний.
- Лабораторные и инструментальные исследования. Сдается стандартный набор анализов крови и мочи, выполняется электрокардиограмма (ЭКГ) и рентгенография грудной клетки для оценки общего состояния организма.
- Рекомендации перед операцией. За несколько дней до вмешательства может потребоваться отмена препаратов, разжижающих кровь (по согласованию с врачом). Накануне операции запрещается прием пищи и жидкости.
- Психологическая подготовка. Тревога и страх перед таким серьезным вмешательством — это абсолютно нормальная реакция. Важно открыто обсуждать свои переживания с лечащим врачом, семьей и, при необходимости, с психологом. Понимание каждого этапа процесса помогает обрести уверенность.
Основные этапы проведения трепанации черепа
Сама операция является сложным, многоступенчатым процессом, который выполняется слаженной командой специалистов в условиях стерильной операционной, оснащенной современным оборудованием. Каждый шаг строго регламентирован и направлен на обеспечение безопасности пациента.
- Анестезия. Перед началом операции анестезиолог вводит пациента в состояние глубокого медикаментозного сна (общий наркоз). На протяжении всего вмешательства специалист контролирует жизненно важные функции: дыхание, сердцебиение, артериальное давление.
- Позиционирование и фиксация. Голова пациента аккуратно фиксируется в специальном устройстве (например, скобе Мейфилда), чтобы обеспечить полную неподвижность во время деликатных манипуляций хирурга.
- Доступ. Хирург выполняет разрез кожи и мягких тканей. Вопреки распространенному мнению, волосы сбриваются не полностью, а лишь в небольшой зоне по линии будущего разреза, которая выбирается так, чтобы послеоперационный рубец был наименее заметен. Затем с помощью специального инструмента (краниотома) выпиливается костный лоскут.
- Основной этап. Используя операционный микроскоп, дающий многократное увеличение, и систему нейронавигации, которая работает как GPS-навигатор для хирурга, врач выполняет необходимые манипуляции: удаляет опухоль, клипирует аневризму или эвакуирует гематому. Цель — максимально полное удаление патологического очага при сохранении здоровых тканей мозга.
- Завершение. После окончания основного этапа хирург тщательно проверяет отсутствие кровотечения. Костный лоскут возвращается на место и крепится небольшими титановыми пластинами и винтами. Они не вызывают отторжения, не ощущаются и не создают проблем при прохождении контроля в аэропорту. Затем послойно ушиваются мягкие ткани и накладывается кожный шов.
Период восстановления и реабилитация после краниотомии
Восстановление после операции на головном мозге — это длительный и постепенный процесс, требующий терпения и активного участия самого пациента. Он начинается сразу после выхода из наркоза и может продолжаться от нескольких месяцев до года и более, в зависимости от сложности операции и исходного состояния.
Процесс реабилитации можно условно разделить на несколько этапов:
- Ранний послеоперационный период. Первые сутки пациент обычно проводит в отделении реанимации и интенсивной терапии под круглосуточным наблюдением. Врачи контролируют неврологический статус, уровень сознания и жизненные показатели. Затем его переводят в нейрохирургическое отделение. Уже в первые дни начинается ранняя активизация: пациента присаживают, помогают вставать и ходить.
- Стационарный этап. В больнице пациент находится от одной до нескольких недель. Проводится медикаментозная терапия (профилактика отека, судорог, инфекций), выполняются перевязки. С пациентом начинают работать специалисты по реабилитации.
- Долгосрочная реабилитация. После выписки начинается самый важный этап. Он может включать занятия с физиотерапевтом для восстановления двигательных функций, с логопедом для коррекции речевых нарушений и с нейропсихологом для улучшения памяти, внимания и мышления. Важно строго следовать рекомендациям врача, принимать назначенные препараты и регулярно проходить контрольные обследования (МРТ, КТ).
Возможные риски и осложнения операции на головном мозге
Любое хирургическое вмешательство сопряжено с определенными рисками, и трепанация черепа не является исключением. Однако благодаря современным технологиям планирования, нейровизуализации и анестезиологического сопровождения вероятность серьезных осложнений значительно снижается. Важно обсуждать все потенциальные риски с лечащим врачом, который сможет оценить их применительно к конкретной клинической ситуации.
К возможным осложнениям относятся:
- Общехирургические риски. К ним относят инфекции в области послеоперационной раны, кровотечения, тромбоз глубоких вен нижних конечностей, реакции на анестезию.
- Специфические нейрохирургические риски. Наиболее серьезными являются отек головного мозга, развитие эпилептических приступов и возникновение неврологического дефицита (нарушения речи, движений, чувствительности). Часто эти нарушения носят временный характер и регрессируют по мере восстановления мозга и прохождения реабилитации.
Жизнь после трепанации черепа: к чему готовиться
Завершение операции и выписка из стационара — это начало нового этапа жизни. Пациенту и его семье важно понимать, что возвращение к привычному ритму будет постепенным. В первое время могут сохраняться повышенная утомляемость, головные боли, эмоциональная лабильность. Это нормальная реакция организма на перенесенный стресс.
Некоторые аспекты, на которые стоит обратить внимание:
- Физические изменения. Послеоперационный рубец со временем станет менее заметным. В области крепления костного лоскута может ощущаться небольшое углубление или, наоборот, выступы от титановых пластин. Чувствительность кожи головы в зоне разреза восстанавливается медленно.
- Ограничения. В первые месяцы рекомендуется избегать физических нагрузок, подъема тяжестей, перегревания (баня, сауна). Вопросы о возвращении к вождению автомобиля, занятиям спортом и работе решаются индивидуально с лечащим врачом.
- Долгосрочное наблюдение. После операции необходимо регулярно проходить контрольные осмотры у нейрохирурга и делать МРТ или КТ головного мозга, чтобы отслеживать процесс восстановления и вовремя выявлять возможные рецидивы заболевания.
Краниотомия — это серьезный, но зачастую единственно возможный способ сохранить жизнь и здоровье. Успех лечения зависит не только от мастерства хирурга, но и от позитивного настроя, терпения и активного участия самого пациента в процессе реабилитации.
Список литературы
- Нейрохирургия: национальное руководство / под ред. А. Н. Коновалова, В. В. Крылова, Т. П. Тиссен. — 2-е изд., перераб. и доп. — М.: ГЭОТАР-Медиа, 2018. — Т. 1-2.
- Гринберг М. С. Нейрохирургия / пер. с англ. — М.: МЕДпресс-информ, 2017. — 1008 с.
- Клинические рекомендации. Глиальные опухоли центральной нервной системы. — Министерство здравоохранения Российской Федерации, 2020.
- Youmans and Winn Neurological Surgery / ed. H. R. Winn. — 7th ed. — Philadelphia: Elsevier, 2017. — Vol. 1-4.
- Практическая нейрохирургия: руководство для врачей / под ред. Б. В. Гайдара. — СПб.: Гиппократ, 2002. — 648 с.
Нужна помощь врача?
Если у вас остались вопросы по теме — задайте их квалифицированному специалисту и получите ответ онлайн
Читайте далее по теме:
Читайте также
Хирургическое лечение эпилепсии: ваш путь к полноценной жизни без приступов
Когда лекарства не помогают контролировать эпилептические приступы, нейрохирургия может стать решением. В этой статье мы подробно разбираем, кому подходит операция, какие методы существуют и чего ожидать после лечения для достижения стойкой ремиссии.
Кавернозная мальформация: полный гид по диагностике, лечению и прогнозу
Обнаружена кавернозная мальформация головного мозга и вы ищете ответы. В этой статье нейрохирург подробно объясняет причины, симптомы, современные методы диагностики и лечения, а также дает прогнозы для полноценной жизни.
Кифопластика для восстановления позвоночника при компрессионных переломах
Компрессионный перелом позвонка вызывает сильную боль и ограничивает движения. Кифопластика — это малоинвазивный метод, который быстро снимает боль, восстанавливает высоту позвонка и возвращает к активной жизни.
Киста головного мозга: полное руководство по видам, симптомам и лечению
Обнаружили кисту головного мозга и не знаете, что делать? В этой статье нейрохирург подробно объясняет причины их появления, чем они опасны, когда нужно оперировать, а когда достаточно простого наблюдения.
Клипирование аневризмы сосудов мозга: полное руководство для пациента
Диагноз аневризма головного мозга вызывает страх и неопределенность. Эта статья подробно объясняет суть операции клипирования, от подготовки до полного восстановления, чтобы вы могли принять взвешенное решение.
Краниопластика: восстановление черепа для защиты мозга и улучшения жизни
Дефект костей черепа после травмы или нейрохирургической операции вызывает тревогу и снижает качество жизни. Статья подробно объясняет суть краниопластики, какие современные материалы и технологии используют для восстановления целостности черепа.
Краниосиностоз у ребенка: полное руководство по диагностике и лечению
Вас беспокоит форма головы вашего малыша и вы подозреваете краниосиностоз? Наша статья поможет разобраться в причинах, симптомах, современных методах нейрохирургического лечения и прогнозах для здорового развития ребенка.
Ламинэктомия: полное руководство по операции для освобождения спинного мозга
Вам назначили ламинэктомию или вы рассматриваете ее как вариант лечения? Эта статья подробно объясняет суть операции, показания, риски и все этапы восстановления, чтобы вы могли принять взвешенное решение о здоровье своего позвоночника.
Мальформация Киари: обретение контроля над симптомами и будущим
Пациенты с мальформацией Киари часто сталкиваются с неопределенностью и тревогой из-за сложных симптомов. Наша статья предоставляет исчерпывающую информацию о заболевании, современных методах диагностики и лечения, помогая вам принять взвешенное решение.
Менингиома: полное руководство по диагностике, лечению и прогнозу опухоли
Столкнулись с диагнозом менингиома и ищете достоверную информацию о заболевании? В этой статье нейрохирург подробно объясняет причины, симптомы, современные методы диагностики и лечения, а также дает прогноз на будущее.
Вопросы нейрохирургам
Все консультации нейрохирургов
Болит голова сильно
Хватает голову от макушки до челюсти, прям сильная острая боль,...
Аневризма
Какие запреты после аневризмы головного мозга, мой муж инженер...
Нужна ли операция?
Болит спина давно, пошла боль вниз и колено в мае отказалось...
Врачи нейрохирурги
Нейрохирург
Кыргызская государственная медицинская академия
Стаж работы: 37 л.
Нейрохирург, Хирург
Кировский государственный медицинский университет
Стаж работы: 23 л.
Нейрохирург
Красноярский государственный медицинский университет
Стаж работы: 24 л.
