Бронхиолит у детей — это острое вирусное заболевание, поражающее мельчайшие дыхательные пути, или бронхиолы, в легких. Он преимущественно встречается у младенцев и детей раннего возраста, чаще всего до двух лет. Основным возбудителем является респираторно-синцитиальный вирус (РСВ), но причиной могут быть и другие вирусы, такие как аденовирус, вирус парагриппа или гриппа.
Воспаление приводит к отеку и повышенной выработке слизи в просвете бронхиол, что вызывает обструкцию и затруднение дыхания. Пик заболеваемости бронхиолитом приходится на осенне-зимний период, часто протекая в виде эпидемических вспышек.
Заболевание проявляется кашлем, учащенным дыханием и свистящими хрипами. В тяжелых случаях бронхиолит может потребовать госпитализации, особенно для недоношенных детей, младенцев с сопутствующими заболеваниями сердца или легких, а также детей с ослабленным иммунитетом.
Что такое бронхиолит: определение, группы риска и сезонность заболевания
Бронхиолит — это острое инфекционное заболевание нижних дыхательных путей, которое преимущественно поражает мельчайшие воздухоносные трубки в легких, называемые бронхиолами. Развивается оно главным образом у младенцев и детей раннего возраста, особенно до двух лет. Воспалительный процесс вызывает отек слизистой оболочки бронхиол и чрезмерную выработку слизи, что приводит к частичной или полной закупорке этих путей, затрудняя дыхание и газообмен.
Определение бронхиолита: ключевые характеристики заболевания
Бронхиолит представляет собой вирусное заболевание, затрагивающее самую периферическую часть бронхиального дерева. Основным возбудителем в большинстве случаев является респираторно-синцитиальный вирус (РСВ), но могут быть и другие вирусы, провоцирующие схожие симптомы. Отличительная черта этого состояния — это поражение именно бронхиол, а не более крупных бронхов или трахеи, что объясняет специфику клинической картины.
Заболевание начинается с симптомов, похожих на обычную простуду, таких как насморк и кашель. Однако по мере прогрессирования воспаления в бронхиолах появляются более серьезные признаки, включая учащенное, затрудненное дыхание и свистящие хрипы.
Группы риска развития бронхиолита у детей
Несмотря на то что бронхиолит может развиться у любого ребенка, существуют определенные группы, у которых риск возникновения заболевания выше или его течение более тяжелое. Понимание этих факторов помогает родителям быть более внимательными к состоянию здоровья своих малышей и своевременно обращаться за медицинской помощью. К основным группам риска относятся:
- Недоношенные дети: Их легкие еще недостаточно зрелые, иммунная система слаба, что делает их крайне уязвимыми к инфекциям нижних дыхательных путей. Недоношенность — один из наиболее значимых факторов тяжелого течения бронхиолита.
- Младенцы до 3-6 месяцев: У таких малышей дыхательные пути очень узкие, и даже незначительный отек или скопление слизи может привести к выраженной закупорке. Иммунитет в этом возрасте также не полностью сформирован.
- Дети с хроническими заболеваниями легких: Например, при бронхолегочной дисплазии или муковисцидозе, легкие уже скомпрометированы, что увеличивает риск осложнений при бронхиолите.
- Дети с врожденными пороками сердца: Сердечная недостаточность или другие аномалии сердечно-сосудистой системы могут ухудшать переносимость дыхательной недостаточности, вызванной бронхиолитом.
- Дети с ослабленным иммунитетом: Состояния, связанные с иммунодефицитом (врожденным или приобретенным), значительно повышают восприимчивость к вирусным инфекциям и риск их тяжелого течения.
- Дети, подвергающиеся пассивному курению: Воздействие табачного дыма раздражает дыхательные пути и снижает их защитные функции, делая ребенка более восприимчивым к респираторным инфекциям.
- Дети, посещающие детские учреждения: Контакт с большим количеством других детей в яслях или детских садах увеличивает вероятность заражения вирусными инфекциями, включая те, что вызывают бронхиолит.
Сезонность бронхиолита: когда заболевание наиболее распространено
Бронхиолит характеризуется четко выраженной сезонностью, что связано с эпидемиологическими особенностями респираторных вирусов. Наибольшее число случаев заболевания регистрируется в холодное время года. Пик заболеваемости бронхиолитом обычно приходится на осенне-зимний период и начало весны.
Распространение вируса в эти месяцы объясняется несколькими факторами:
- Низкие температуры: Холодный воздух может способствовать снижению местной иммунной защиты слизистых оболочек дыхательных путей.
- Повышенная скученность: В холодное время люди проводят больше времени в закрытых помещениях, что облегчает передачу вирусов воздушно-капельным путем.
- Особенности вируса: Некоторые вирусы, в том числе РСВ, лучше выживают и распространяются в условиях низкой влажности и прохладной температуры, характерных для отопительного сезона.
Конкретные сроки пика могут незначительно отличаться в зависимости от региона, но чаще всего вспышки бронхиолита начинаются в октябре-ноябре и продолжаются до марта-апреля. В этот период родителям особенно важно соблюдать меры профилактики, чтобы снизить риск заражения.
Причины развития бронхиолита у младенцев и детей: возбудители и факторы риска
Развитие бронхиолита у младенцев и детей раннего возраста обусловлено преимущественно вирусными инфекциями, поражающими мельчайшие дыхательные пути. Понимание того, какие именно возбудители вызывают это заболевание и какие факторы повышают риск его возникновения, помогает родителям быть бдительными и предпринимать своевременные профилактические меры.
Основные вирусные возбудители бронхиолита
Бронхиолит является острым вирусным заболеванием, и в подавляющем большинстве случаев его вызывают респираторные вирусы. Они передаются воздушно-капельным путем при кашле, чихании или прямом контакте с инфицированным человеком.
- Респираторно-синцитиальный вирус (РСВ): Этот вирус является основной причиной бронхиолита, вызывая до 70-80% всех случаев заболевания, особенно в период эпидемий. РСВ провоцирует значительное воспаление и отек слизистой оболочки бронхиол, а также усиленную выработку густой слизи, что приводит к обструкции дыхательных путей.
- Вирусы парагриппа: Могут вызывать бронхиолит, особенно вирусы парагриппа 1, 2 и 3 типов, которые также поражают дыхательные пути.
- Аденовирусы: Известны своей способностью вызывать более тяжелое и продолжительное течение бронхиолита, нередко с развитием осложнений.
- Вирусы гриппа: Хотя грипп чаще ассоциируется с трахеитом или бронхитом, он также способен стать причиной развития бронхиолита у младенцев.
- Человеческий метапневмовирус (hMPV): Этот вирус по своим характеристикам и клиническим проявлениям во многом схож с РСВ и может вызывать бронхиолит, неотличимый от РСВ-инфекции.
- Риновирусы: Являются частой причиной простудных заболеваний, но у маленьких детей могут также приводить к развитию бронхиолита.
Эти вирусные агенты, попадая в дыхательные пути ребенка, начинают активно размножаться в эпителиальных клетках бронхиол. В ответ на вирусную инвазию возникает иммунная реакция, приводящая к воспалению, отеку слизистой и увеличению продукции слизи, что и создает механическое препятствие для нормального прохождения воздуха.
Факторы, увеличивающие риск развития бронхиолита у детей
Хотя любой ребенок может заболеть бронхиолитом, существуют определенные факторы, которые значительно повышают вероятность развития этого заболевания или его более тяжелого течения. К ним относятся:
- Возраст ребенка: Младенцы до 6 месяцев особенно уязвимы к бронхиолиту. Их дыхательные пути очень узкие, и даже незначительный отек или скопление слизи может привести к выраженному затруднению дыхания. Иммунная система в этом возрасте также не полностью сформирована для эффективной борьбы с вирусными возбудителями.
- Недоношенность: Недоношенные дети имеют незрелые легкие и дыхательные пути, а также более слабую иммунную систему. Это делает их крайне восприимчивыми к респираторно-синцитиальному вирусу (РСВ) и другим инфекциям, способствуя более тяжелому и длительному течению заболевания.
- Хронические заболевания легких: У детей с такими состояниями, как бронхолегочная дисплазия или муковисцидоз, функция легких уже нарушена. Дополнительное воспаление бронхиол, вызванное вирусной инфекцией, может привести к критическому ухудшению дыхательной функции.
- Врожденные пороки сердца: Дети с определенными пороками сердечно-сосудистой системы имеют сниженную способность справляться с дополнительной нагрузкой на легкие и сердце, вызванной дыхательной недостаточностью при бронхиолите.
- Иммунодефицитные состояния: Дети с ослабленным иммунитетом (например, из-за врожденных иммунодефицитов, ВИЧ-инфекции, проходящие химиотерапию или получающие иммуносупрессивную терапию) не могут адекватно реагировать на вирусные инфекции. Это приводит к затяжному, рецидивирующему и более тяжелому течению болезни.
- Пассивное курение: Воздействие табачного дыма на младенца раздражает слизистую оболочку дыхательных путей, снижает местный иммунитет и нарушает функцию ресничек эпителия. Реснички играют ключевую роль в удалении слизи и патогенов, поэтому их повреждение делает ребенка более уязвимым к вирусным возбудителям и утяжеляет течение болезни.
- Наличие старших братьев и сестер: Дети, у которых есть старшие братья или сестры, посещающие детский сад или школу, чаще подвергаются воздействию респираторных вирусов, что повышает риск заражения бронхиолитом.
- Посещение детских учреждений: Раннее посещение яслей или других детских коллективов увеличивает вероятность контакта с возбудителями бронхиолита из-за более тесного взаимодействия с большим количеством детей.
- Отсутствие грудного вскармливания: Грудное молоко содержит антитела, иммунные клетки и другие защитные факторы, которые обеспечивают пассивный иммунитет и значительно снижают риск развития многих инфекций, включая бронхиолит. Дети, находящиеся на искусственном вскармливании, могут быть более уязвимыми к вирусным инфекциям.
- Переполненность жилья и неблагоприятные социально-бытовые условия: Проживание в условиях высокой скученности способствует более легкому и быстрому распространению вирусных инфекций между членами семьи, повышая риск инфицирования маленьких детей.
Учет этих факторов позволяет врачам и родителям более точно оценивать риски и принимать меры по профилактике и раннему выявлению бронхиолита, что крайне важно для предотвращения тяжелых форм заболевания.
Симптомы бронхиолита у ребенка: как распознать первые признаки и нарастание проявлений
Распознавание симптомов бронхиолита на ранних стадиях имеет решающее значение для своевременного обращения за медицинской помощью и предотвращения тяжелых осложнений. Заболевание часто начинается с признаков, напоминающих обычную простуду, но затем прогрессирует, затрагивая нижние дыхательные пути и вызывая характерные респираторные нарушения.
Начальные признаки бронхиолита: как отличить от обычной простуды
Бронхиолит, как правило, начинается с неспецифических симптомов, которые легко спутать с обычной вирусной инфекцией верхних дыхательных путей. Обычно это происходит в первые 1-3 дня болезни. Родителям важно внимательно наблюдать за состоянием ребенка, чтобы не пропустить момент, когда простуда переходит в более серьезное состояние.
К начальным проявлениям бронхиолита относятся:
- Насморк: Обычно слизистые или водянистые выделения из носа, которые могут постепенно становиться более густыми. Заложенность носа затрудняет дыхание, особенно у грудных детей, которые дышат преимущественно носом.
- Кашель: Вначале кашель может быть сухим, умеренным, постепенно он усиливается и становится более частым. По мере прогрессирования болезни кашель может быть влажным, с трудно отделяемой мокротой.
- Повышение температуры тела: Часто наблюдается субфебрильная (до 38°C) или умеренная фебрильная (38-39°C) температура. Лихорадка редко бывает очень высокой при бронхиолите.
- Снижение аппетита: Ребенок может отказываться от еды или питья, что особенно опасно для младенцев из-за риска обезвоживания.
- Раздражительность и беспокойство: Малыш становится более капризным, плохо спит из-за заложенности носа и дискомфорта.
Эти симптомы сами по себе не являются прямым указанием на бронхиолит, но если они сохраняются или усиливаются, а также если появляется затрудненное дыхание, необходимо обратиться к врачу.
Нарастание респираторных симптомов: основные проявления бронхиолита
Примерно через 2-3 дня после появления первых признаков болезнь, вызванная вирусной инфекцией, начинает прогрессировать, и проявляются характерные для бронхиолита симптомы. Эти проявления указывают на поражение мельчайших бронхиол и требуют особого внимания родителей.
- Учащенное дыхание (тахипноэ): Один из наиболее ранних и важных признаков. Ребенок начинает дышать значительно чаще обычного, прилагая при этом видимые усилия. Нормальная частота дыхания варьируется в зависимости от возраста, но любое значительное учащение должно насторожить.
- Затрудненное дыхание (одышка): Дыхание становится поверхностным, прерывистым. Вы можете заметить, что ребенок старается "втянуть" воздух, что сопровождается напряжением мышц грудной клетки и живота.
- Свистящие хрипы: Характерный свист, который слышен при выдохе. Эти звуки возникают из-за сужения просвета бронхиол и движения воздуха через заблокированные слизью и отеком дыхательные пути. В некоторых случаях свист может быть слышен даже на расстоянии.
- Втяжение уступчивых мест грудной клетки: При затрудненном дыхании видны западания кожи в межреберных промежутках, надключичных ямках, а также под грудиной (надгрудинное и подгрудинное втяжение) на вдохе. Это говорит о том, что ребенок активно использует вспомогательные дыхательные мышцы.
- Раздувание крыльев носа: При каждом вдохе крылья носа заметно расширяются, что также является признаком дыхательной недостаточности.
- Поверхностный, навязчивый кашель: Кашель может быть частым, приступообразным, иногда сопровождается выделением вязкой слизи.
- Снижение активности и вялость: Из-за нехватки кислорода ребенок может стать апатичным, сонливым, отказываться от игр. У некоторых детей, наоборот, может наблюдаться повышенная возбудимость и беспокойство.
Родителям рекомендуется научиться определять частоту дыхания у ребенка. Для этого нужно посчитать количество вдохов за одну минуту, когда ребенок спокоен или спит. Повышение частоты дыхания выше возрастной нормы (например, более 60 вдохов в минуту у младенцев до 2 месяцев, более 50 у детей 2-12 месяцев) является тревожным сигналом.
Признаки тяжелого течения бронхиолита, требующие немедленной помощи
При ухудшении состояния бронхиолит может перейти в тяжелую форму, требующую немедленной госпитализации. Родителям важно знать эти критические симптомы, чтобы своевременно обратиться за экстренной медицинской помощью.
Тревожные признаки, указывающие на тяжелое течение бронхиолита:
- Цианоз (посинение кожи): Появление синеватого оттенка вокруг рта, на губах, кончиках пальцев или ногтевых пластинах указывает на значительное снижение уровня кислорода в крови. Это абсолютный повод для немедленного вызова скорой помощи.
- Кратковременные остановки дыхания (апноэ): Особенно характерно для недоношенных детей и младенцев младше 2 месяцев. Если ребенок внезапно перестает дышать на несколько секунд, это критический признак.
- Полный отказ от еды и питья: Невозможность кормить ребенка грудью или из бутылочки из-за затрудненного дыхания, что быстро приводит к обезвоживанию.
- Выраженная вялость, сонливость или апатия: Ребенок становится слишком слабым, не реагирует на внешние стимулы, постоянно спит.
- Чрезмерная возбудимость или безутешный плач: В некоторых случаях недостаток кислорода может проявляться сильным беспокойством и невозможностью успокоить ребенка.
- Значительное снижение количества мочеиспусканий: Признак обезвоживания, который возникает из-за недостаточного потребления жидкости и повышенных потерь через дыхание и лихорадку.
- Очень быстрый или нерегулярный пульс: Увеличение частоты сердечных сокращений является компенсаторной реакцией организма на нехватку кислорода.
При появлении любого из этих симптомов необходимо незамедлительно вызвать скорую медицинскую помощь.
Симптомы бронхиолита в зависимости от возраста ребенка
Клиническая картина бронхиолита может несколько отличаться в зависимости от возраста ребенка. Младенцы, особенно недоношенные или младше 3 месяцев, более уязвимы и могут демонстрировать менее типичные или более тяжелые симптомы.
- Младенцы до 3 месяцев: У них респираторный дистресс может проявляться не столько выраженными свистящими хрипами, сколько внезапными приступами апноэ (остановками дыхания), особенно во время сна или кормления. Также часто наблюдается сильная вялость, плохой сосательный рефлекс, отказ от груди или бутылочки, что быстро приводит к обезвоживанию.
- Дети 3-6 месяцев: У них уже более четко проявляются учащенное дыхание, свистящие хрипы, втяжение уступчивых мест грудной клетки. Заболевание протекает с выраженным кашлем и насморком, может быть лихорадка.
- Дети старше 6 месяцев и до 2 лет: У них симптомы бронхиолита наиболее типичны: выраженная одышка, свистящие хрипы, кашель. Заболевание обычно переносится легче, чем у младших младенцев, но риск осложнений все еще сохраняется.
Вне зависимости от возраста, при появлении любых затруднений с дыханием или изменении поведения ребенка, необходимо обратиться к врачу.
Сравнительная таблица симптомов бронхиолита: от легкой формы до критической
Для удобства родителей ниже представлена таблица, которая поможет систематизировать понимание симптомов бронхиолита и определить степень их тяжести.
| Симптом | Легкая форма | Среднетяжелая форма | Тяжелая форма (требует немедленной помощи) |
|---|---|---|---|
| Дыхание | Незначительное учащение (тахипноэ), без видимых усилий | Заметное учащение (тахипноэ), одышка, видимое напряжение при дыхании | Резко учащенное (частота >60-70 в мин) или нерегулярное дыхание, выраженная одышка, апноэ |
| Хрипы | Редко, могут отсутствовать | Свистящие хрипы, слышные при аускультации или на близком расстоянии | Громкие свистящие хрипы, слышные на расстоянии; или ослабление/отсутствие хрипов при выраженной одышке (признак критической обструкции) |
| Кашель | Редкий, умеренный | Частый, навязчивый, может быть влажным | Приступообразный, мучительный, препятствующий кормлению и сну |
| Западение/втяжение | Отсутствуют или минимальные | Незначительное втяжение межреберных промежутков, раздувание крыльев носа | Выраженное втяжение всех уступчивых мест грудной клетки, "западание" грудины, раздувание крыльев носа |
| Цвет кожи | Обычный | Бледность кожных покровов | Цианоз (посинение вокруг рта, на ногтях) |
| Аппетит/Питание | Снижен незначительно | Затруднено из-за одышки и кашля, отказ от части кормлений | Полный отказ от еды и питья, признаки обезвоживания (сухость слизистых, редкое мочеиспускание) |
| Поведение | Раздражительность, умеренное беспокойство | Выраженное беспокойство или вялость | Крайняя вялость, сонливость или, наоборот, чрезмерное возбуждение, отсутствие реакции на стимулы |
| Температура | До 38°C | 38-39°C | Может быть нормальной, умеренной или высокой |
Динамика бронхиолита: стадии развития заболевания и особенности течения
Бронхиолит — это заболевание, которое проходит через несколько характерных стадий, каждая из которых имеет свои особенности в развитии симптомов и тяжести состояния. Понимание этой динамики помогает родителям и врачам своевременно реагировать на изменения и обеспечивать необходимый уход.
Инкубационный период и продромальная стадия: начало болезни
Инкубационный период бронхиолита, то есть время от момента заражения до появления первых симптомов, обычно составляет от 2 до 8 дней, чаще всего 4-6 дней. В этот период ребёнок не проявляет никаких признаков болезни, но вирус уже активно размножается в его организме.
Продромальная стадия, или начальный период заболевания, длится обычно 1-3 дня. Она характеризуется появлением неспецифических симптомов, схожих с обычной простудой, что делает бронхиолит на этом этапе трудноотличимым от других респираторных вирусных инфекций. В этот период вирус, чаще всего респираторно-синцитиальный вирус (РСВ), начинает активно поражать слизистую оболочку верхних дыхательных путей. Основные проявления продромальной стадии включают:
- Насморк, который может быть водянистым или слизистым.
- Кашель, изначально сухой и редкий.
- Незначительное повышение температуры тела (субфебрильная лихорадка до 38°C).
- Лёгкая вялость или раздражительность.
- Возможно снижение аппетита.
На этой стадии воспаление ещё не достигает мельчайших бронхиол, и дыхательные нарушения, характерные для бронхиолита, отсутствуют. Однако уже сейчас важно внимательно наблюдать за состоянием ребёнка, так как быстрое прогрессирование болезни является типичной особенностью бронхиолита.
Острая фаза (пик заболевания): нарастание респираторных нарушений
Острая фаза бронхиолита обычно наступает через 2-3 дня после появления первых симптомов и является наиболее тяжёлым периодом заболевания. Пик выраженности респираторных нарушений часто приходится на 3-5 день от начала болезни и может длиться несколько дней. В этот период вирус распространяется в нижние дыхательные пути, вызывая интенсивное воспаление, отёк слизистой оболочки бронхиол и значительное усиление выработки вязкой слизи. Это приводит к сужению просвета бронхиол и развитию обструкции, что затрудняет прохождение воздуха и газообмен.
Характерные проявления острой фазы включают:
- Выраженная одышка и учащённое дыхание (тахипноэ): Частота дыхания значительно увеличивается, ребёнок дышит тяжело и поверхностно.
- Свистящие хрипы: Характерный свист при выдохе, который может быть слышен на расстоянии.
- Втяжение уступчивых мест грудной клетки: Западание кожи в межрёберных промежутках, надключичных ямках, под грудиной при каждом вдохе.
- Раздувание крыльев носа: Признак компенсаторного увеличения объёма вдыхаемого воздуха.
- Усиление кашля: Кашель становится частым, навязчивым, иногда приступообразным, с отделением вязкой мокроты.
- Значительное снижение аппетита и отказ от питья: Затруднённое дыхание мешает сосанию и глотанию, повышая риск обезвоживания.
- Изменение поведения: Ребёнок становится беспокойным, раздражительным, или, наоборот, вялым и сонливым из-за нехватки кислорода.
На этом этапе возникает риск развития дыхательной недостаточности, которая может потребовать госпитализации. Особую опасность острая фаза представляет для недоношенных детей и младенцев младше 3 месяцев, у которых дыхательные пути особенно узки, а иммунная система незрела.
Стадия разрешения и восстановления: постепенное улучшение
После прохождения пика острой фазы, обычно к 7-10-му дню заболевания, начинается стадия разрешения. Состояние ребёнка постепенно улучшается, что связано с уменьшением воспаления и отёка в бронхиолах, а также с очищением дыхательных путей от слизи. Иммунная система успешно борется с вирусной инфекцией, и организм начинает восстанавливаться.
На этой стадии наблюдаются следующие изменения:
- Уменьшение одышки: Дыхание становится менее учащённым и затруднённым, исчезает втяжение уступчивых мест грудной клетки.
- Снижение интенсивности свистящих хрипов: Хрипы становятся менее выраженными или полностью исчезают.
- Смягчение кашля: Кашель становится продуктивным, менее частым и навязчивым, может сохраняться до нескольких недель, так как восстановление слизистой оболочки занимает время.
- Нормализация аппетита и активности: Ребёнок снова начинает хорошо есть и пить, становится более активным, улучшается сон.
- Нормализация температуры тела: Лихорадка исчезает.
Полное выздоровление обычно занимает 1-2 недели, но остаточный кашель и повышенная чувствительность дыхательных путей могут сохраняться до 2-4 недель после острого периода. В этот период важно продолжать поддерживающую терапию и избегать повторного заражения.
Особенности течения бронхиолита у разных групп детей
Течение бронхиолита может существенно различаться в зависимости от возраста ребёнка и наличия сопутствующих заболеваний. Понимание этих особенностей критически важно для адекватной оценки состояния и выбора тактики лечения.
- Младенцы до 3 месяцев и недоношенные дети: У них бронхиолит часто протекает наиболее тяжело. Из-за незрелости лёгких, узких дыхательных путей и слабой иммунной системы, у таких малышей высок риск развития апноэ (кратковременных остановок дыхания), особенно во время сна или кормления. Свистящие хрипы могут быть менее выражены, а основным проявлением может стать общая вялость, плохой сосательный рефлекс и быстрое обезвоживание. Госпитализация в большинстве случаев для них является необходимостью.
- Дети с хроническими заболеваниями лёгких: При бронхолёгочной дисплазии, муковисцидозе или врождённых пороках лёгких, течение бронхиолита может быть осложнённым и затяжным. Риск развития тяжёлой дыхательной недостаточности и необходимости в искусственной вентиляции лёгких значительно возрастает.
- Дети с врождёнными пороками сердца: Сердечная недостаточность усугубляет дыхательные нарушения, что делает бронхиолит особенно опасным для этой категории пациентов.
- Дети с ослабленным иммунитетом: У пациентов с иммунодефицитными состояниями (например, после химиотерапии или трансплантации органов) бронхиолит может протекать атипично, быть более продолжительным, рецидивирующим и приводить к серьёзным осложнениям.
В большинстве случаев у здоровых детей старше 6 месяцев бронхиолит протекает в среднетяжёлой форме, и выздоровление наступает без серьёзных последствий, хотя кашель может сохраняться длительное время.
Продолжительность бронхиолита: от первых симптомов до полного выздоровления
Общая продолжительность бронхиолита варьируется, но обычно составляет от 1 до 2 недель для большинства симптомов. Однако кашель, вызванный остаточным раздражением и воспалением дыхательных путей, может сохраняться значительно дольше — до 2-4 недель, а иногда и дольше. Важно понимать, что сохранение кашля не всегда является признаком продолжающегося активного заболевания или осложнения, но всегда требует оценки педиатром.
На продолжительность и тяжесть течения бронхиолита влияют несколько факторов:
- Возраст ребёнка: Младенцы младше 6 месяцев и недоношенные дети выздоравливают дольше и чаще нуждаются в госпитализации.
- Тип возбудителя: Некоторые вирусы, например, аденовирус, могут вызывать более тяжёлое и затяжное течение.
- Наличие сопутствующих заболеваний: Хронические лёгочные или сердечные патологии существенно удлиняют период выздоровления и повышают риск осложнений.
- Иммунный статус: Ослабленный иммунитет способствует более длительному и тяжёлому течению.
Даже после исчезновения острых симптомов, дыхательные пути ребёнка могут оставаться более чувствительными к внешним раздражителям и другим инфекциям в течение нескольких недель.
Ключевые моменты динамики бронхиолита для родителей
Для удобства родителей ниже представлена таблица, систематизирующая основные стадии бронхиолита, их типичную продолжительность и ключевые признаки, на которые следует обратить внимание.
| Стадия | Типичная продолжительность | Основные проявления | Что важно знать/делать |
|---|---|---|---|
| Инкубационный период | 2-8 дней | Отсутствие симптомов | Важен, если был контакт с больным РСВ или другими вирусами. |
| Продромальная стадия | 1-3 дня | Лёгкий насморк, редкий кашель, субфебрильная температура, незначительная вялость. | Похоже на обычную простуду. Внимательно следите за усилением кашля и появлением затруднённого дыхания. |
| Острая фаза (пик заболевания) | 3-7 дней от начала болезни (пик 3-5 день) | Нарастание одышки, учащённое дыхание, свистящие хрипы, втяжение межрёберных промежутков, навязчивый кашель, плохой аппетит, беспокойство/вялость. | Наиболее опасный период. Требуется пристальное наблюдение. При появлении признаков тяжёлого течения (цианоз, апноэ, полный отказ от еды) немедленно вызвать скорую помощь. |
| Стадия разрешения и восстановления | С 7-10-го дня, до 1-2 недель | Постепенное уменьшение всех симптомов. Дыхание нормализуется, аппетит восстанавливается. Кашель может сохраняться. | Ребёнок идёт на поправку. Важно обеспечить покой, достаточный питьевой режим, избегать переохлаждений и повторных инфекций. Кашель может быть остаточным. |
| Период остаточных явлений | От 2 до 4 недель после острой фазы | Сохранение периодического кашля, повышенная чувствительность дыхательных путей. | Контроль у педиатра. Ограничение контакта с источниками инфекций. У некоторых детей возможна предрасположенность к бронхообструкции в будущем. |
Диагностика бронхиолита у детей: методы обследования и дифференциация
Правильная и своевременная диагностика бронхиолита имеет первостепенное значение для определения тактики лечения и предотвращения осложнений. В большинстве случаев диагноз бронхиолита устанавливается на основании тщательного сбора анамнеза и клинического осмотра ребенка, дополненных при необходимости инструментальными и лабораторными исследованиями.
Клинический осмотр и сбор анамнеза: первый этап диагностики бронхиолита
Основу диагностики бронхиолита составляет комплексная оценка состояния ребенка педиатром. При сборе анамнеза врач выясняет продолжительность и динамику симптомов, таких как насморк, кашель, лихорадка, затрудненное дыхание, а также наличие контакта с больными респираторными инфекциями. Уточняется возраст ребенка, наличие факторов риска (недоношенность, хронические заболевания легких или сердца, иммунодефицит) и данные о вакцинации.
Клинический осмотр включает:
- Оценку общего состояния: Уровень активности, сознания, раздражительность или вялость.
- Оценку дыхания: Частота дыхательных движений (тахипноэ), наличие одышки, участие вспомогательной мускулатуры (втяжение межреберных промежутков, надключичных ямок, раздувание крыльев носа). Подсчет частоты дыхания является одним из ключевых показателей тяжести респираторного дистресса.
- Аускультацию легких: Выслушивание характерных свистящих хрипов на выдохе, крепитации (мелкопузырчатых хрипов), или ослабленного дыхания, что указывает на обструкцию мелких бронхов.
- Оценку сердечно-сосудистой системы: Частота сердечных сокращений, цвет кожных покровов (наличие цианоза).
- Осмотр верхних дыхательных путей: Выявление насморка, гиперемии зева.
Эти данные позволяют врачу оценить степень тяжести бронхиолита и определить необходимость в госпитализации или дополнительных исследованиях.
Лабораторные исследования: когда они необходимы при бронхиолите
Лабораторные анализы, как правило, не требуются для постановки диагноза типичного бронхиолита, поскольку заболевание носит вирусный характер и диагноз в основном клинический. Однако в некоторых случаях они могут быть назначены для исключения бактериальных осложнений или оценки общего состояния ребенка.
- Общий анализ крови (ОАК): Обычно показывает вирусную картину (лейкоцитоз может быть нормальным или слегка повышенным, лимфоцитоз), но неспецифичен для бронхиолита. Его назначают при подозрении на присоединение бактериальной инфекции (например, пневмонии) или при необычно высоком подъеме температуры.
- Биохимический анализ крови: Может быть необходим для оценки электролитного баланса при выраженном обезвоживании.
- Определение газового состава крови: Показано при тяжелой дыхательной недостаточности для оценки степени гипоксемии (снижения уровня кислорода) и гиперкапнии (повышения уровня углекислого газа).
- Экспресс-тесты или ПЦР-диагностика на респираторные вирусы (РСВ, грипп, парагрипп, аденовирусы): Могут быть проведены для идентификации конкретного возбудителя. Однако это исследование редко влияет на тактику лечения бронхиолита, поскольку терапия в основном поддерживающая. Вирусологическая диагностика может быть полезна в эпидемиологических целях или при тяжелом течении заболевания у детей из групп риска.
Решение о назначении лабораторных исследований всегда принимается врачом индивидуально, исходя из клинической картины и состояния пациента.
Инструментальные методы диагностики бронхиолита: рентген легких и пульсоксиметрия
Инструментальные методы диагностики играют важную роль в оценке тяжести бронхиолита и исключении возможных осложнений.
- Пульсоксиметрия: Это простой, неинвазивный и обязательный метод измерения насыщения крови кислородом (сатурации). Датчик прикрепляется к пальцу или стопе ребенка. Снижение уровня сатурации ниже 90-92% является тревожным признаком дыхательной недостаточности и требует немедленного медицинского вмешательства, часто госпитализации. Регулярный мониторинг сатурации помогает отслеживать динамику состояния ребенка и эффективность проводимой терапии.
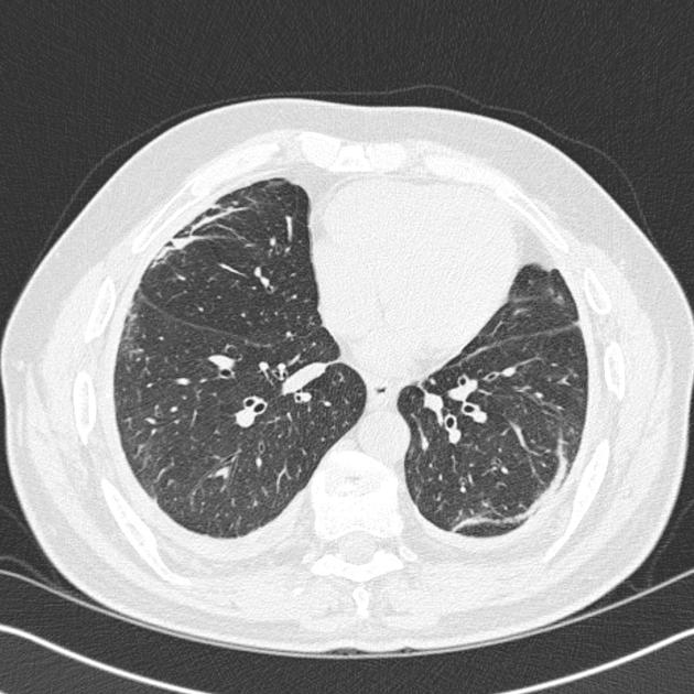
- Рентгенография органов грудной клетки (РОГК): Рентген легких не является стандартным методом диагностики бронхиолита. В большинстве случаев типичная клиническая картина позволяет поставить диагноз без рентгенологического исследования. РОГК показана в следующих ситуациях:
- Атипичное течение заболевания.
- Подозрение на осложнения, такие как бактериальная пневмония, ателектаз (спадение части легкого) или плевральный выпот.
- Выраженная дыхательная недостаточность, не соответствующая легкой или средней тяжести бронхиолита.
- При наличии сопутствующих заболеваний легких или сердца.
- У младенцев с длительной лихорадкой или ухудшением состояния после начального улучшения.
На рентгенограмме при бронхиолите могут наблюдаться признаки гипервоздушности легких (увеличение прозрачности легочных полей), утолщение стенок бронхов (перибронхиальные утолщения) и ателектазы небольших участков легкого. Эти изменения подтверждают поражение мелких бронхиол, но не всегда специфичны.
Другие методы, такие как компьютерная томография (КТ) легких, ультразвуковое исследование легких или бронхоскопия, при бронхиолите обычно не применяются и используются только в крайне редких, диагностически сложных случаях или при подозрении на специфические осложнения.
Дифференциальная диагностика бронхиолита: с чем можно спутать заболевание
Симптомы бронхиолита могут быть схожи с проявлениями других респираторных заболеваний у детей, что требует проведения дифференциальной диагностики для исключения иных состояний. Важно четко понимать отличия, чтобы обеспечить правильное и своевременное лечение.
Ниже представлена таблица, которая поможет сравнить бронхиолит с другими заболеваниями, имеющими схожую симптоматику:
| Заболевание | Ключевые отличия от бронхиолита |
|---|---|
| Бронхиальная астма (первый эпизод) | Часто имеет наследственную предрасположенность к аллергии. Свистящие хрипы могут быть более выраженными и часто реагируют на бронходилататоры (в отличие от бронхиолита). Отсутствует предшествующая вирусная инфекция верхних дыхательных путей или она не так выражена. Улучшение наступает после применения ингаляций бронхорасширяющими средствами, что нехарактерно для бронхиолита. |
| Пневмония (особенно вирусная) | При пневмонии чаще наблюдается высокая и стойкая лихорадка, выраженные интоксикационные симптомы. Аускультативно могут выслушиваться локальные крепитирующие хрипы или ослабленное дыхание над пораженным участком. На рентгенограмме легких определяются инфильтративные изменения (участки затемнения), чего нет при чистом бронхиолите. |
| Ларинготрахеит (круп) | Характеризуется «лающим» кашлем, осиплостью голоса, шумным вдохом (стридором), особенно выраженными ночью. Обструкция локализуется в области гортани и трахеи, а не в мелких бронхиолах. Свистящие хрипы на выдохе для крупа нетипичны. |
| Аспирация инородного тела | Часто возникает внезапно, у ребенка, который играл с мелкими предметами или ел. Сопровождается острым приступом кашля, удушья, а затем может развиться одностороннее снижение дыхания или свистящие хрипы. Анамнез острого начала и отсутствие предшествующих катаральных явлений являются ключевыми отличиями. |
| Сердечная недостаточность | Проявляется одышкой, бледностью, увеличением печени, снижением аппетита. Может сопровождаться кашлем и хрипами. Отличия: наличие врожденных пороков сердца в анамнезе, отсутствие выраженных вирусных симптомов, кардиомегалия (увеличение сердца) на рентгене, изменения на ЭКГ и эхокардиографии. |
| Гастроэзофагеальный рефлюкс (ГЭР) с аспирацией | Может вызывать хронический кашель и рецидивирующие эпизоды бронхообструкции, особенно у младенцев. Отличия: симптомы чаще связаны с кормлением, отсутствуют явные вирусные признаки, подтверждается pH-метрией или другими методами исследования ЖКТ. |
| Муковисцидоз (первые проявления) | Характеризуется хроническим кашлем, рецидивирующими легочными инфекциями, плохим набором веса. Диагностируется с помощью потового теста и генетических исследований. Бронхиолит может быть пусковым фактором обострений или первым проявлением. |
Тщательный сбор анамнеза, осмотр и, при необходимости, дополнительные исследования помогают врачу поставить точный диагноз и избежать ошибок в лечении бронхиолита.
Алгоритм диагностики бронхиолита: пошаговый подход
Диагностический процесс при подозрении на бронхиолит обычно следует четкому алгоритму, который обеспечивает всестороннюю оценку состояния ребенка:
- Клиническая оценка: Первым и наиболее важным шагом является сбор подробного анамнеза заболевания и жизни ребенка, а также проведение физикального осмотра. Оцениваются симптомы (насморк, кашель, лихорадка, одышка, свистящие хрипы), их динамика, наличие факторов риска.
- Оценка дыхательной функции: Обязательно проводится подсчет частоты дыхания и сердечных сокращений. Пульсоксиметрия для измерения сатурации кислорода в крови является ключевым методом для оценки тяжести дыхательной недостаточности.
- Решение о госпитализации: На основе клинических данных и показателей пульсоксиметрии принимается решение о необходимости госпитализации. Дети с выраженной дыхательной недостаточностью, сниженной сатурацией, апноэ, или из групп высокого риска госпитализируются.
- Дополнительные исследования (по показаниям):
- Рентгенография органов грудной клетки: Назначается при подозрении на осложнения (пневмония, ателектаз), атипичном течении бронхиолита или наличии сопутствующих заболеваний.
- Общий анализ крови: Проводится при подозрении на бактериальные осложнения.
- Вирусологические тесты: Могут быть выполнены для идентификации возбудителя (например, РСВ) в исследовательских целях или при тяжелом течении.
- Дифференциальная диагностика: Врач исключает другие заболевания, которые могут проявляться схожими респираторными симптомами, опираясь на анамнез, клиническую картину и результаты дополнительных исследований.
Основной принцип диагностики бронхиолита – это акцент на клинической картине и своевременной оценке дыхательной функции. Грамотное применение этого алгоритма позволяет быстро и точно поставить диагноз, обеспечить адекватное лечение и улучшить прогноз для маленьких пациентов.
Общие принципы лечения бронхиолита у детей: комплексный подход к терапии
Лечение бронхиолита у детей, особенно у младенцев, основывается на комплексном подходе, главной целью которого является облегчение симптомов, поддержание жизненно важных функций организма и предотвращение осложнений. Поскольку заболевание вызывается вирусами, специфической противовирусной терапии, как правило, не существует, и основное внимание уделяется поддерживающей и симптоматической помощи.
Основные принципы и цели терапии бронхиолита
Терапия бронхиолита направлена на создание оптимальных условий для выздоровления ребенка, поскольку его иммунная система должна самостоятельно справиться с вирусной инфекцией. Учитывая особенности течения бронхиолита, ключевые принципы включают:
- Поддержание адекватной оксигенации: Обеспечение достаточного уровня кислорода в крови является приоритетом, поскольку обструкция мелких бронхов нарушает газообмен.
- Поддержание водного баланса: Предотвращение обезвоживания крайне важно, так как затрудненное дыхание и лихорадка увеличивают потери жидкости, а густая слизь требует адекватной гидратации для лучшего отхождения.
- Обеспечение проходимости дыхательных путей: Уменьшение отека слизистой и удаление избыточной слизи из носоглотки и бронхиол способствует облегчению дыхания.
- Симптоматическое облегчение: Снижение лихорадки, уменьшение кашля и общего дискомфорта, что помогает ребенку лучше спать и есть.
- Тщательный мониторинг состояния: Постоянное наблюдение за динамикой симптомов позволяет своевременно выявлять ухудшение состояния и принимать решения о госпитализации или изменении тактики лечения.
Выбор места лечения – дома или в стационаре – зависит от тяжести заболевания, возраста ребенка и наличия факторов риска. Большинство случаев легкой и среднетяжелой формы бронхиолита можно лечить амбулаторно, однако тяжелые формы всегда требуют госпитализации.
Важность поддержания проходимости дыхательных путей при бронхиолите
Поддержание свободной проходимости дыхательных путей является одним из центральных аспектов в лечении бронхиолита, особенно у младенцев, поскольку их носовые ходы очень узки, и они дышат преимущественно носом. Затруднение носового дыхания напрямую влияет на способность ребенка есть и спать, усугубляя его состояние. Проходимость дыхательных путей нарушается из-за отека слизистой оболочки бронхиол и скопления вязкой слизи.
Для обеспечения проходимости дыхательных путей применяют следующие методы:
- Регулярное очищение носовых ходов: Это критически важно для младенцев. Использование аспиратора для носа (механического или электронного) помогает удалить слизистые выделения. Перед аспирацией рекомендуется закапать в нос изотонический солевой раствор (физиологический раствор) для разжижения слизи. Процедуру проводят перед кормлением и сном.
- Увлажнение воздуха: Использование увлажнителя воздуха в комнате, где находится ребенок, помогает сделать вдыхаемый воздух более влажным. Влажный воздух способствует разжижению вязкой слизи в дыхательных путях, облегчая ее отхождение, а также уменьшает раздражение слизистых оболочек. Оптимальный уровень влажности в помещении должен составлять 50-60%.
- Придание приподнятого положения: Когда ребенок спит или находится в покое, следует приподнять изголовье кровати или коляски, чтобы облегчить дыхание и отхождение слизи. Это особенно важно для младенцев.
Эти меры помогают уменьшить одышку, улучшить сон и аппетит ребенка, что способствует более быстрому выздоровлению.
Обеспечение адекватной гидратации и питания
Адекватное поступление жидкости и питательных веществ критически важно для детей с бронхиолитом, так как лихорадка, учащенное дыхание и затрудненное глотание повышают риск обезвоживания. Недостаток жидкости может привести к сгущению мокроты, что еще больше усугубляет обструкцию бронхиол.
Для поддержания гидратации и питания необходимо:
- Частое, дробное кормление: Младенцам с затрудненным дыханием тяжело сосать грудь или бутылочку длительное время. Предлагайте грудь или смесь небольшими порциями, но чаще обычного.
- Допаивание: Помимо грудного молока или смеси, предлагайте ребенку чистую воду, несладкий чай или специальные растворы для пероральной регидратации (солевые растворы), особенно если есть лихорадка или рвота. Объем жидкости должен соответствовать возрасту и состоянию ребенка.
- Мониторинг признаков обезвоживания: Обращайте внимание на сухость слизистых оболочек, отсутствие слез, запавший родничок у младенцев, уменьшение количества мочеиспусканий (сухие подгузники). Эти признаки требуют немедленной консультации с врачом.
- Кормление через зонд или внутривенное введение жидкости: В условиях стационара, если ребенок полностью отказывается от еды и питья, или у него выраженное обезвоживание, может потребоваться введение питательных растворов через назогастральный зонд или внутривенно.
Достаточная гидратация помогает поддерживать общие защитные силы организма и способствует разжижению слизи, облегчая ее выведение из дыхательных путей.
Контроль температуры тела и общего самочувствия
Лихорадка часто сопровождает бронхиолит и может усугублять общее состояние ребенка, увеличивая потребность в жидкости и вызывая дискомфорт. Контроль температуры тела является частью симптоматической терапии.
- Жаропонижающие средства: При температуре тела выше 38,5°C (или ниже, если ребенок плохо переносит лихорадку), можно использовать жаропонижающие препараты, такие как парацетамол или ибупрофен, в дозировке, соответствующей возрасту и весу ребенка. Обязательно следуйте инструкциям врача или производителя.
- Обеспечение комфорта: Помимо снижения температуры, важно создать для ребенка комфортные условия. Это включает легкую одежду, прохладный (но не холодный) и свежий воздух в помещении. Не стоит кутать ребенка, даже если ему холодно при подъеме температуры.
- Отдых: Важно обеспечить ребенку достаточный покой и сон, поскольку организм тратит много энергии на борьбу с инфекцией.
Снижение лихорадки и создание комфортных условий помогают уменьшить общее недомогание и способствуют восстановлению сил ребенка.
Роль кислородотерапии в комплексном лечении
Кислородотерапия — это один из ключевых методов лечения бронхиолита в условиях стационара, особенно при развитии дыхательной недостаточности. Она назначается детям со сниженным уровнем насыщения крови кислородом (сатурации) ниже 90-92%, что свидетельствует о гипоксемии.
- Цель кислородотерапии: Восстановление адекватного уровня кислорода в крови, снижение нагрузки на дыхательную систему и предотвращение негативного влияния гипоксии на органы и ткани.
- Методы подачи кислорода: Кислород может подаваться через носовые канюли, кислородную маску, кислородную палатку или шлем. Выбор метода зависит от возраста ребенка, его переносимости и степени тяжести дыхательной недостаточности.
- Мониторинг: Во время кислородотерапии постоянно контролируется уровень сатурации кислорода с помощью пульсоксиметрии. Также оценивается частота дыхания, частота сердечных сокращений и общее состояние ребенка.
В некоторых случаях, при крайне тяжелой дыхательной недостаточности, может потребоваться неинвазивная вентиляция легких (например, через CPAP-терапию) или даже интубация с последующей искусственной вентиляцией легких (ИВЛ). Эти методы применяются для обеспечения достаточного газообмена, когда собственные усилия ребенка оказываются недостаточными.
Ограничения медикаментозной терапии и индивидуальный подход
Медикаментозное лечение бронхиолита имеет ряд особенностей и ограничений, поскольку большинство случаев вызваны вирусами, и специфических лекарств для борьбы с ними, за исключением редких случаев, нет. Поэтому акцент делается на поддерживающей терапии.
Ниже представлены основные группы препаратов и принципы их применения:
| Группа препаратов | Применение при бронхиолите | Обоснование и особенности |
|---|---|---|
| Антибиотики | Не показаны | Бронхиолит — вирусное заболевание. Антибиотики неэффективны против вирусов. Их назначают только при подозрении на присоединение бактериальной инфекции (например, пневмонии), что подтверждается клиническими и лабораторными данными. |
| Бронходилататоры (бронхорасширяющие средства) | Не рекомендуются обычно | Исследования показали, что бронходилататоры (например, сальбутамол, фенотерол) в большинстве случаев бронхиолита не приносят существенной пользы, поскольку обструкция обусловлена отеком и слизью, а не спазмом бронхов, как при астме. Могут быть назначены для пробной терапии, если есть семейный анамнез атопии или астмы. Если нет эффекта после 1-2 ингаляций, дальнейшее применение нецелесообразно. |
| Глюкокортикостероиды (гормоны) | Не рекомендуются обычно | Системные или ингаляционные стероиды не показали эффективности в уменьшении тяжести или продолжительности бронхиолита у большинства детей. Могут быть рассмотрены в очень тяжелых случаях или при наличии сопутствующих заболеваний, таких как астма. |
| Противовирусные препараты | Очень ограничены | Рибавирин — специфический препарат против РСВ, но его применение ограничено крайне тяжелыми случаями у детей из групп высокого риска (например, с иммунодефицитом, тяжелыми врожденными пороками сердца или хроническими заболеваниями легких), из-за высокой стоимости и потенциальных побочных эффектов. Обычно не используется. |
| Муколитики (средства, разжижающие мокроту) | Не рекомендуются | Не имеют доказанной эффективности у младенцев и могут даже ухудшать состояние, увеличивая объем мокроты, которую маленький ребенок не может эффективно откашлять. |
| Солевые растворы для ингаляций | Гипертонический раствор (3%) может быть эффективен | Ингаляции гипертонического солевого раствора (3%) могут помочь разжижить вязкую слизь и улучшить ее отхождение, особенно в условиях стационара. Изотонический раствор (0,9%) используется для увлажнения слизистых, но не для разжижения мокроты. |
Таким образом, медикаментозная терапия при бронхиолите строго индивидуализирована и назначается врачом только по показаниям, после тщательной оценки состояния ребенка. Самолечение или применение препаратов без консультации с педиатром может быть неэффективным и даже опасным.
Нужен очный осмотр?
Найдите лучшего пульмонолога в вашем городе по рейтингу и отзывам.
Домашний уход и поддерживающая терапия при бронхиолите у младенцев
Домашний уход и поддерживающая терапия являются основой лечения бронхиолита у большинства младенцев и детей, особенно при легких и среднетяжелых формах заболевания. Цель этих мероприятий — облегчить дыхание, предотвратить обезвоживание, обеспечить комфорт и дать организму малыша силы для борьбы с вирусной инфекцией. Важно, чтобы родители точно знали, какие действия предпринять, и в каких случаях требуется немедленная медицинская помощь.
Создание оптимальных условий в домашней среде
Для ребенка с бронхиолитом крайне важно обеспечить правильный микроклимат в помещении. Это способствует улучшению проходимости дыхательных путей, уменьшает раздражение слизистых оболочек и облегчает общее состояние малыша. Оптимальные условия помогают разжижать слизь и способствуют ее выведению.
- Поддержание чистоты и свежести воздуха: Регулярно проветривайте комнату, где находится ребенок, несколько раз в день по 10-15 минут. Во время проветривания ребенка следует перенести в другое помещение, чтобы избежать сквозняков и переохлаждения. В комнате должен быть чистый воздух без резких запахов, табачного дыма или аэрозолей.
- Оптимальная температура воздуха: Поддерживайте температуру воздуха в диапазоне 18-22°C. Перегрев может усугубить обезвоживание и усилить беспокойство ребенка. Прохладный воздух также способствует снижению отека дыхательных путей.
- Поддержание достаточной влажности воздуха: Использование увлажнителя воздуха обязательно, особенно в отопительный сезон, когда воздух в помещениях сухой. Оптимальный уровень влажности должен составлять 50-60%. Влажный воздух помогает разжижать вязкую слизь в бронхиолах и носовых ходах, облегчая ее отхождение и уменьшая кашель. Следите за чистотой увлажнителя, регулярно меняйте воду и очищайте фильтры, чтобы избежать распространения бактерий.
- Приподнятое положение изголовья: Во время сна и отдыха приподнимите изголовье кровати ребенка на 15-30 градусов, положив под матрас валик или подушку. Такое положение облегчает отток слизи и уменьшает одышку.
Соблюдение этих простых, но эффективных рекомендаций значительно улучшает самочувствие ребенка с бронхиолитом и способствует более быстрому выздоровлению.
Поддержание проходимости носовых ходов
Проходимость носовых ходов является критически важной для младенцев, так как они преимущественно дышат носом. Заложенность носа при бронхиолите значительно затрудняет кормление и сон, усугубляя затруднение дыхания. Регулярная очистка носа помогает облегчить дыхание и общее состояние малыша.
Для эффективного очищения носовых ходов рекомендуется следующее:
- Промывание носа солевыми растворами: Перед очисткой носа закапайте в каждый носовой ход по несколько капель изотонического солевого раствора (0,9% хлорида натрия, так называемый физиологический раствор) или используйте готовые спреи с морской водой для младенцев. Солевой раствор разжижает густую слизь и помогает ее легче удалить. Процедуру можно повторять каждые 2-3 часа или по мере необходимости.
- Использование назального аспиратора: Через 1-2 минуты после закапывания солевого раствора аккуратно очистите носовые ходы с помощью специального назального аспиратора (механического или электронного). Очищать нос особенно важно перед кормлением и укладыванием ребенка спать, чтобы он мог свободно дышать во время еды и сна.
Эти меры значительно облегчают дыхание младенца, снижают риск аспирации и улучшают качество сна, что способствует восстановлению.
Режимы кормления и поддержания водного баланса
Обеспечение достаточного потребления жидкости и питательных веществ при бронхиолите — одна из важнейших задач для родителей. Затрудненное дыхание, кашель и лихорадка могут приводить к отказу от еды и быстрому обезвоживанию, что усугубляет течение заболевания. Достаточное поступление жидкости также помогает разжижать слизь в дыхательных путях.
Для поддержания водного баланса и питания необходимо соблюдать следующие рекомендации:
- Частое дробное кормление: Младенцам с одышкой тяжело сосать грудь или бутылочку в течение длительного времени. Предлагайте грудь или молочную смесь чаще, но меньшими порциями. Если ребенок отказывается сосать, можно сцедить грудное молоко и давать его из ложечки или шприца без иглы.
- Допаивание: Помимо грудного молока или смеси, предлагайте ребенку чистую кипяченую воду, несладкий детский чай или, при необходимости, специальные растворы для пероральной регидратации (солевые растворы), рекомендованные педиатром. Эти растворы особенно важны при лихорадке, рвоте или диарее для восполнения электролитов.
- Контроль признаков обезвоживания: Внимательно следите за состоянием ребенка, чтобы не пропустить признаки обезвоживания. К ним относятся сухость слизистых оболочек рта и губ, отсутствие слез при плаче, запавший родничок у младенцев, снижение эластичности кожи, а также уменьшение количества мочеиспусканий (меньше 4-6 мокрых подгузников в сутки или очень редкое мочеиспускание). При появлении этих симптомов необходимо немедленно обратиться к врачу.
Достаточное поступление жидкости поддерживает общие защитные функции организма и способствует более эффективному выведению слизи, что облегчает дыхание.
Контроль температуры и общего комфорта
Лихорадка часто сопровождает бронхиолит и может вызывать дискомфорт, увеличивая потребность организма в жидкости. Контроль температуры тела и создание комфортных условий способствуют облегчению состояния малыша.
При повышении температуры и для общего улучшения самочувствия следует предпринять такие действия:
- Применение жаропонижающих средств: При температуре выше 38,5°C (или при плохой переносимости лихорадки ребенком) можно использовать жаропонижающие препараты, такие как парацетамол или ибупрофен. Дозировка должна строго соответствовать возрасту и весу ребенка, согласно инструкции или рекомендации педиатра. Не превышайте рекомендованные дозы и интервалы между приемами.
- Обеспечение комфортной одежды: Не кутайте ребенка, даже если ему кажется, что он мерзнет при повышении температуры. Одевайте его в легкую, свободную одежду из натуральных тканей, чтобы облегчить теплоотдачу.
- Покой и сон: Организм ребенка тратит много энергии на борьбу с инфекцией, поэтому ему необходим достаточный покой и сон. Старайтесь обеспечить тихую и спокойную обстановку в комнате.
- Гигиена: Регулярно меняйте постельное белье, если ребенок сильно потеет. Умывайте лицо и руки теплой водой.
Эти меры помогут уменьшить общее недомогание, снизить температуру и способствовать восстановлению сил малыша.
Наблюдение за состоянием ребенка дома: когда бить тревогу
Бронхиолит может быстро прогрессировать, поэтому постоянное наблюдение за состоянием ребенка дома является залогом своевременного обращения за медицинской помощью. Родителям важно знать, какие признаки указывают на ухудшение состояния и требуют немедленного вызова скорой помощи или визита к врачу.
Необходимо немедленно обратиться к врачу или вызвать скорую помощь при появлении следующих тревожных симптомов:
- Резкое нарастание одышки: Если ребенок дышит очень часто (более 60-70 вдохов в минуту у младенцев) и тяжело, с выраженным втяжением межреберных промежутков, раздуванием крыльев носа, западанием яремной ямки (над грудиной).
- Появление цианоза: Посинение кожи вокруг рта, губ, ногтей или кончиков пальцев указывает на критическое снижение уровня кислорода в крови.
- Кратковременные остановки дыхания (апноэ): Особенно опасно для недоношенных детей и младенцев младше 2 месяцев.
- Полный отказ от еды и питья: Если ребенок не может или отказывается пить в течение нескольких часов, что приводит к быстрому обезвоживанию.
- Признаки обезвоживания: Сухость слизистых, отсутствие слез, запавший родничок, очень редкое мочеиспускание.
- Изменение сознания и поведения: Крайняя вялость, сонливость, неспособность разбудить ребенка, апатия, или, наоборот, чрезмерная возбудимость и безутешный плач, нехарактерные для малыша.
- Стойкая высокая температура: Лихорадка выше 39°C, которая плохо снижается жаропонижающими средствами, или сохраняется более 3-4 дней.
- Ухудшение состояния после кратковременного улучшения: Если состояние ребенка внезапно ухудшается после того, как уже наметилась положительная динамика.
При любом из этих симптомов не следует откладывать обращение за медицинской помощью, так как промедление может привести к серьезным осложнениям.
Особенности ухода за недоношенными младенцами или детьми из групп риска на дому
Младенцы, родившиеся недоношенными, или дети с сопутствующими хроническими заболеваниями (врожденные пороки сердца, хронические заболевания легких, иммунодефицитные состояния) относятся к группам высокого риска по развитию тяжелого бронхиолита. Для них домашний уход требует повышенного внимания и более частых консультаций с педиатром.
При уходе за такими детьми на дому необходимо учитывать следующие особенности:
- Повышенная бдительность: Симптомы дыхательной недостаточности у этих детей могут быть менее выраженными или атипичными (например, частые эпизоды апноэ без выраженных свистящих хрипов). Поэтому любое изменение в поведении, кормлении или дыхании должно вызывать настороженность.
- Более частый контроль: Желательно чаще измерять температуру, считать частоту дыхания, следить за цветом кожных покровов и активностью. В некоторых случаях педиатр может рекомендовать домашний пульсоксиметр для контроля сатурации кислорода.
- Сниженный порог для обращения за помощью: Если ребенок относится к группе риска, обращаться к врачу следует при первых же признаках ухудшения, не дожидаясь критических симптомов, которые были перечислены ранее. Иногда может потребоваться госпитализация при менее выраженных симптомах, чем у здоровых детей.
- Строгое соблюдение гигиенических мер: Для этих детей особенно важна профилактика повторного заражения вирусными инфекциями. Необходимо минимизировать контакты с больными, тщательно мыть руки всем, кто контактирует с ребенком, и обеспечить максимальную чистоту в помещении.
- Индивидуальные рекомендации: Педиатр может дать специфические рекомендации, учитывающие основное заболевание ребенка. Например, для некоторых детей может быть показана профилактика РСВ-инфекции препаратом паливизумаб (Синагис).
Родители детей из групп риска должны находиться в постоянном контакте со своим лечащим врачом и следовать его инструкциям, чтобы обеспечить максимальную безопасность и эффективность домашнего лечения бронхиолита.
Когда необходима госпитализация: признаки тяжелого течения бронхиолита у детей
Решение о госпитализации ребенка с бронхиолитом принимается на основе комплексной оценки его состояния, возраста, наличия факторов риска и выраженности дыхательной недостаточности. Хотя большинство случаев бронхиолита протекают в легкой или среднетяжелой форме и могут лечиться дома под амбулаторным наблюдением, существуют критические признаки, указывающие на необходимость немедленного стационарного лечения для предотвращения серьезных осложнений.
Ключевые признаки для госпитализации при бронхиолите
Существуют четкие клинические признаки, которые сигнализируют о тяжелом течении бронхиолита и требуют немедленной госпитализации. Родителям необходимо внимательно отслеживать эти симптомы, поскольку промедление с обращением за помощью может быть опасным для жизни ребенка.
- Выраженная дыхательная недостаточность: Это основной и наиболее тревожный симптом. Проявляется резким учащением и затруднением дыхания, использованием вспомогательных мышц.
- Снижение уровня насыщения крови кислородом (сатурации): Показатель, измеряемый пульсоксиметром, менее 90–92% является прямым показанием к госпитализации для проведения кислородотерапии.
- Эпизоды апноэ: Кратковременные остановки дыхания, особенно характерные для недоношенных детей и младенцев младше 2–3 месяцев, требуют немедленной госпитализации и наблюдения.
- Признаки обезвоживания: Отказ от еды и питья, сухость слизистых оболочек, уменьшение мочеиспусканий свидетельствуют о критической потере жидкости.
- Изменения в сознании и поведении: Выраженная вялость, сонливость, апатия, или наоборот, чрезмерное беспокойство и возбуждение указывают на гипоксию мозга.
- Возраст ребенка: Младенцы до 3 месяцев, особенно недоношенные, имеют более высокий риск тяжелого течения и часто нуждаются в госпитализации даже при менее выраженных симптомах.
- Наличие факторов риска: Дети с хроническими заболеваниями легких (например, бронхолегочной дисплазией), врожденными пороками сердца, иммунодефицитными состояниями или неврологическими нарушениями подвержены более высокому риску осложнений и нуждаются в стационарном наблюдении.
Симптомы выраженной дыхательной недостаточности, требующие стационара
Дыхательная недостаточность является наиболее серьезным осложнением бронхиолита и требует немедленной медицинской помощи. Она развивается, когда легкие не могут обеспечить организм достаточным количеством кислорода или эффективно удалять углекислый газ. Ниже представлены конкретные симптомы, на которые следует обратить внимание:
- Выраженное учащение дыхания (тахипноэ): Частота дыхательных движений значительно превышает возрастные нормы. Для младенцев до 2 месяцев это более 60 вдохов в минуту, для детей 2–12 месяцев — более 50 вдохов в минуту, для детей старше 1 года — более 40 вдохов в минуту. Дыхание становится поверхностным и напряженным.
- Одышка с втяжением уступчивых мест грудной клетки: Видимое втягивание кожи в межреберных промежутках, надключичных ямках, а также области над грудиной (надгрудинное втяжение) при каждом вдохе. Это говорит о том, что ребенок прилагает значительные усилия для дыхания, используя вспомогательные мышцы.
- Раздувание крыльев носа: Характерный признак, при котором ноздри расширяются при каждом вдохе, что является компенсаторной реакцией организма, пытающегося увеличить объем вдыхаемого воздуха.
- Цианоз: Появление синеватого или бледного оттенка кожи вокруг рта, на губах, кончиках пальцев или ногтевых пластинах. Этот симптом указывает на критическое снижение уровня кислорода в крови (гипоксемию) и является экстренным показанием для госпитализации.
- Стойкие свистящие хрипы или их исчезновение: Громкие, слышимые на расстоянии свистящие хрипы указывают на выраженную обструкцию бронхиол. Однако, если при сохраняющейся тяжелой одышке свистящие хрипы внезапно ослабевают или исчезают, это может быть еще более тревожным признаком, указывающим на критическое сужение дыхательных путей и невозможность движения воздуха.
- Стоны при выдохе: Указывают на попытку ребенка поддерживать давление в дыхательных путях для облегчения газообмена.
При наличии хотя бы одного из этих признаков необходимо немедленно вызвать скорую медицинскую помощь.
Обезвоживание и проблемы с питанием как показания к стационару
Бронхиолит часто сопровождается затруднением кормления и повышением потребности в жидкости из-за лихорадки и учащенного дыхания. Развитие обезвоживания может значительно усугубить состояние ребенка и требует стационарного лечения.
Признаки, указывающие на необходимость госпитализации по причине обезвоживания и проблем с питанием:
- Полный или почти полный отказ от еды и питья: Если младенец отказывается от грудного молока или смеси, не может пить из бутылочки или ложечки в течение нескольких часов подряд, и при этом у него наблюдаются другие признаки бронхиолита.
- Рвота и/или диарея: Эти симптомы, особенно в сочетании с бронхиолитом, значительно ускоряют развитие обезвоживания.
- Объективные признаки обезвоживания:
- Сухость слизистых оболочек рта и языка, отсутствие слез при плаче.
- Запавший большой родничок у младенцев.
- Снижение эластичности кожи (кожная складка расправляется медленно).
- Значительное уменьшение количества мочеиспусканий (менее 4–6 мокрых подгузников за 24 часа у младенцев или отсутствие мочеиспусканий в течение 8 часов и более у старших детей).
- Выраженная вялость или сонливость.
В стационаре ребенку может быть обеспечено внутривенное введение жидкостей и питательных веществ, если пероральный прием невозможен.
Изменения в поведении и уровне сознания: тревожные сигналы
Нездоровое изменение в поведении или уровне сознания ребенка с бронхиолитом является серьезным показателем ухудшения его состояния, часто связанным с нехваткой кислорода. Такие симптомы всегда требуют немедленной медицинской оценки и, как правило, госпитализации.
- Крайняя вялость и сонливость: Ребенок становится апатичным, необычно тихим, не реагирует на обычные раздражители (игрушки, голос родителей), постоянно спит и его трудно разбудить.
- Чрезмерная раздражительность и беспокойство: Неутешный плач, необычная капризность, невозможность успокоить ребенка, которые не характерны для него. Это может быть проявлением кислородного голодания мозга.
- Изменение тонуса мышц: Необычная слабость мышц или, наоборот, их напряжение.
Подобные изменения указывают на нарушение функции центральной нервной системы и требуют экстренной помощи.
Особые группы риска, требующие ранней госпитализации при бронхиолите
Некоторые категории детей имеют повышенный риск тяжелого течения бронхиолита, и для них порог для госпитализации значительно снижен. Даже при относительно умеренных симптомах у таких детей может потребоваться стационарное наблюдение и лечение.
К группам, требующим повышенного внимания и, возможно, ранней госпитализации, относятся:
- Младенцы до 3 месяцев: Их дыхательные пути очень узки, иммунная система незрела, и они более подвержены апноэ и быстрому развитию дыхательной недостаточности.
- Недоношенные дети: Имеют незрелые легкие, что делает их крайне уязвимыми к респираторно-синцитиальному вирусу (РСВ) и другим инфекциям. У них часто наблюдаются более тяжелые и затяжные формы бронхиолита.
- Дети с хроническими заболеваниями легких: Например, с бронхолегочной дисплазией, муковисцидозом или хронической аспирацией. Нарушенная функция легких делает их менее способными справляться с дополнительной нагрузкой.
- Дети с врожденными пороками сердца: Особенно те, у кого есть значительные нарушения гемодинамики. Для них бронхиолит может спровоцировать декомпенсацию сердечной недостаточности.
- Дети с ослабленным иммунитетом: Пациенты с врожденными или приобретенными иммунодефицитами (например, ВИЧ, после химиотерапии или трансплантации органов) имеют высокий риск тяжелого и атипичного течения бронхиолита.
- Дети с нервно-мышечными заболеваниями: У них снижена способность эффективно откашливать слизь и поддерживать проходимость дыхательных путей.
Если ваш ребенок относится к одной из этих групп, необходимо немедленно обратиться к врачу при появлении первых симптомов бронхиолита, даже если они кажутся легкими.
Резюмирующая таблица: когда следует вызвать скорую помощь при бронхиолите
Для удобства родителей ниже представлена таблица с основными признаками, которые требуют немедленного вызова скорой медицинской помощи или экстренного обращения в стационар при бронхиолите у детей.
| Категория симптомов | Конкретные проявления, требующие экстренной помощи |
|---|---|
| Дыхательная функция |
|
| Цвет кожных покровов |
|
| Питание и гидратация |
|
| Сознание и поведение |
|
| Общие признаки |
|
Если вы заметили хотя бы один из этих симптомов у вашего ребенка, немедленно обратитесь за медицинской помощью. Быстрая реакция и своевременная госпитализация могут спасти жизнь малыша и предотвратить серьезные осложнения бронхиолита.
Медикаментозное лечение бронхиолита: основные группы препаратов и их применение
Медикаментозное лечение бронхиолита у детей, особенно у младенцев, имеет ряд особенностей, поскольку в подавляющем большинстве случаев заболевание вызывается вирусами. Это означает, что специфическая противовирусная терапия обычно не требуется, а антибиотики и ряд других препаратов, эффективных при бактериальных или других видах обструктивных заболеваний, при бронхиолите чаще всего не приносят пользы и могут быть даже вредны. Основной акцент делается на поддерживающей терапии, облегчении симптомов и предотвращении осложнений.
Почему медикаментозное лечение бронхиолита ограничено
Ограничения в медикаментозном лечении бронхиолита обусловлены прежде всего его вирусной природой и патофизиологией. Воспалительный процесс при бронхиолите характеризуется отеком слизистой оболочки мельчайших бронхов (бронхиол) и образованием вязкой слизи, что приводит к механической обструкции дыхательных путей. В отличие от бронхиальной астмы, где обструкция часто вызвана бронхоспазмом (сужением бронхов из-за сокращения мышц), при бронхиолите спазм играет минимальную роль.
- Вирусная природа: Бронхиолит чаще всего вызывается респираторно-синцитиальным вирусом (РСВ) или другими респираторными вирусами. Против большинства из них не существует эффективных специфических противовирусных препаратов, доступных для широкого применения.
- Механизм обструкции: Сужение бронхиол происходит из-за отека стенок и закупорки их вязкой слизью и детритом (отмершими клетками). Препараты, направленные на расширение бронхов (бронходилататоры) или разжижение мокроты (муколитики), как правило, малоэффективны, так как не воздействуют на первичные звенья патогенеза.
- Возрастные особенности: Дыхательные пути у младенцев очень узки, и даже незначительный отек или количество слизи может вызвать выраженную обструкцию и дыхательную недостаточность. Некоторые препараты могут быть небезопасны для детей младшего возраста.
Таким образом, основное лечение направлено на поддержание адекватного дыхания, гидратации и общего комфорта ребенка, а не на прямое медикаментозное воздействие на вирус или обструкцию.
Жаропонижающие и обезболивающие средства: симптоматическая терапия
Повышение температуры тела (лихорадка) часто сопровождает бронхиолит и может вызывать дискомфорт, увеличивая потребность организма в жидкости. Жаропонижающие и обезболивающие средства применяются исключительно для облегчения этих симптомов, но не лечат основное заболевание.
- Парацетамол (ацетаминофен): Является препаратом первой линии для снижения температуры и облегчения боли.
- Дозировка: Обычно 10-15 мг/кг массы тела каждые 4-6 часов. Суточная доза не должна превышать 60 мг/кг.
- Формы выпуска: Сиропы, суспензии, ректальные свечи.
- Ибупрофен: Также эффективен для снижения лихорадки и уменьшения воспаления.
- Дозировка: Обычно 5-10 мг/кг массы тела каждые 6-8 часов. Суточная доза не должна превышать 40 мг/кг.
- Формы выпуска: Суспензии.
- Ограничения: Не рекомендуется применять у детей младше 3 месяцев без консультации врача.
Перед применением любого жаропонижающего средства необходимо внимательно ознакомиться с инструкцией и строго соблюдать дозировку, соответствующую возрасту и весу ребенка. Обязательна консультация с педиатром.
Антибиотики: когда они действительно нужны при бронхиолите
Антибиотики абсолютно неэффективны против вирусов, которые вызывают бронхиолит, поэтому их рутинное назначение не рекомендуется. Использование антибиотиков без показаний может привести к развитию устойчивости бактерий к этим препаратам и нежелательным побочным эффектам.
Антибактериальная терапия может быть рассмотрена и назначена врачом только в следующих случаях:
- Присоединение бактериальной инфекции: Если на фоне бронхиолита развивается бактериальное осложнение, такое как бактериальная пневмония, отит (воспаление среднего уха) или бактериальный синусит. Показания к назначению антибиотиков в таких случаях подтверждаются изменением клинической картины (например, стойкая высокая лихорадка, ухудшение общего состояния после улучшения), а также данными общего анализа крови и, при необходимости, рентгенографии легких.
- Подозрение на бактериальный генез: В редких случаях у младенцев с очень тяжелым течением заболевания или при наличии факторов риска (например, иммунодефицит) может быть трудно исключить бактериальную инфекцию на ранних стадиях, и антибиотики могут быть назначены эмпирически (до получения результатов анализов) под строгим медицинским контролем.
Решение о применении антибиотиков всегда принимает врач, исходя из комплексной оценки состояния ребенка и результатов лабораторных исследований.
Бронходилататоры: эффективность при бронхиолите и показания
Бронходилататоры (бронхорасширяющие средства), такие как сальбутамол или фенотерол, широко используются при бронхиальной астме для снятия бронхоспазма. Однако при бронхиолите их эффективность значительно ограничена.
- Неэффективность: Многочисленные исследования показали, что у большинства младенцев с бронхиолитом эти препараты не улучшают клиническое состояние, не сокращают продолжительность госпитализации и не снижают риск интубации. Это связано с тем, что основной причиной обструкции при бронхиолите является отек и скопление слизи, а не спазм гладкой мускулатуры бронхов.
- Пробная терапия: В некоторых случаях врач может провести "пробную терапию" с использованием ингаляционных бронходилататоров (например, 1-2 ингаляции). Если наблюдается отчетливое клиническое улучшение (уменьшение одышки, свистящих хрипов), терапия может быть продолжена. Однако отсутствие эффекта является основанием для немедленной отмены, чтобы избежать необоснованной медикаментозной нагрузки и побочных эффектов.
- Показания к пробной терапии: Чаще всего пробное назначение бронходилататоров рассматривается у детей с отягощенным аллергологическим анамнезом (например, наличие астмы у родителей) или если у ребенка ранее уже были эпизоды бронхообструкции.
Самостоятельное применение бронходилататоров при бронхиолите категорически запрещено, так как это может не только быть неэффективным, но и маскировать ухудшение состояния или вызывать побочные эффекты, такие как тахикардия (учащенное сердцебиение) или тремор.
Глюкокортикостероиды (гормональные препараты): роль в терапии бронхиолита
Глюкокортикостероиды (гормоны) обладают мощным противовоспалительным действием и используются при многих респираторных заболеваниях, сопровождающихся отеком. Однако, как и в случае с бронходилататорами, их рутинное применение при бронхиолите не рекомендовано.
- Отсутствие доказанной эффективности: Системные (пероральные или инъекционные) и ингаляционные глюкокортикостероиды не показали убедительной эффективности в уменьшении тяжести или продолжительности бронхиолита у большинства детей.
- Потенциальные побочные эффекты: Длительное или необоснованное применение стероидов может вызывать побочные эффекты, включая подавление иммунитета, что может быть нежелательно при вирусной инфекции.
- Ограниченные показания: Стероиды могут быть рассмотрены в очень специфических и редких случаях:
- У детей с сопутствующей бронхиальной астмой.
- При крайне тяжелом течении бронхиолита, рефрактерном к другим методам терапии, и только под строгим наблюдением в условиях стационара.
Решение о назначении глюкокортикостероидов принимается исключительно врачом в индивидуальном порядке, взвешивая потенциальные риски и пользу.
Ингаляции гипертонического солевого раствора: помощь при густой мокроте
Ингаляции с гипертоническим раствором хлорида натрия (обычно 3%) являются одним из немногих медикаментозных методов, показавших некоторую эффективность при бронхиолите, особенно в условиях стационара.
- Механизм действия: Гипертонический раствор создает осмотический градиент, притягивая воду в просвет бронхиол. Это способствует разжижению вязкой слизи, облегчая ее отхождение и удаление из дыхательных путей.
- Преимущества: Помогает уменьшить обструкцию и облегчить дыхание, особенно у детей с выраженным скоплением густой мокроты.
- Применение: Ингаляции обычно проводятся с помощью небулайзера. Частота и длительность процедур определяются врачом. В домашних условиях применять гипертонический раствор следует только по назначению и под контролем педиатра.
- Изотонический раствор (0,9% NaCl): Используется преимущественно для увлажнения слизистых оболочек носа и дыхательных путей, но не обладает таким же выраженным муколитическим (разжижающим мокроту) эффектом, как гипертонический раствор.
Ингаляции гипертонического раствора должны проводиться осторожно, так как у некоторых детей они могут вызывать кашель или бронхоспазм. Перед началом процедуры рекомендуется проконсультироваться с врачом.
Муколитики и отхаркивающие средства: риски и неэффективность у младенцев
Муколитические (разжижающие мокроту) и отхаркивающие препараты (например, амброксол, ацетилцистеин, бромгексин) широко используются при кашле с мокротой у взрослых и детей старшего возраста. Однако у младенцев и детей раннего возраста с бронхиолитом их применение не только не рекомендуется, но и может быть опасным.
- Неэффективность: У младенцев эти препараты не показали доказанной эффективности при бронхиолите. Механизмы их действия не соответствуют патофизиологии заболевания в этом возрасте.
- Риск ухудшения: Муколитики увеличивают объем бронхиального секрета (мокроты). Маленькие дети, особенно младенцы, имеют незрелый кашлевой рефлекс и слабую дыхательную мускулатуру. Они не способны эффективно откашливать увеличившийся объем мокроты, что может привести к еще большей закупорке мелких бронхиол и усугублению дыхательной недостаточности.
- Потенциальные побочные эффекты: Могут вызывать рвоту, диарею и другие нежелательные реакции.
Именно поэтому мировые и российские клинические рекомендации не предусматривают использование муколитиков и отхаркивающих средств для лечения бронхиолита у детей младшего возраста.
Противовирусные препараты: специфическое лечение в редких случаях
Для большинства вирусных возбудителей бронхиолита не существует специфической противовирусной терапии. Однако в некоторых случаях, особенно для детей из групп высокого риска, может быть рассмотрено применение некоторых противовирусных средств.
- Рибавирин: Это специфический противовирусный препарат, активный против респираторно-синцитиального вируса (РСВ) – основного возбудителя бронхиолита.
- Применение: Его использование крайне ограничено. Рибавирин назначается только в условиях стационара, как правило, в реанимационных отделениях, детям из групп высокого риска с тяжелым течением РСВ-бронхиолита (например, недоношенным детям с хроническими заболеваниями легких, врожденными пороками сердца, иммунодефицитными состояниями).
- Форма выпуска: Вводится путем ингаляций специальным аэрозолем.
- Ограничения: Препарат имеет высокую стоимость, потенциальные побочные эффекты и требует особого оборудования для введения. Рутинно не применяется.
- Другие противовирусные препараты: При бронхиолите, вызванном вирусами гриппа, может быть рассмотрено применение ингибиторов нейраминидазы (например, осельтамивир), но также по строгим показаниям и под наблюдением врача. При других вирусных инфекциях (аденовирус, парагрипп) специфических противовирусных препаратов для лечения бронхиолита нет.
Применение противовирусных препаратов при бронхиолите всегда является решением консилиума врачей и строго индивидуализировано.
Комплексный подход и врачебный контроль: ключевые аспекты
Медикаментозное лечение бронхиолита, как было сказано, является преимущественно поддерживающим и симптоматическим. Главная задача – помочь организму ребенка справиться с вирусной инфекцией и обеспечить максимально комфортные условия для выздоровления. Любые решения о назначении препаратов должны приниматься врачом после тщательного осмотра и оценки состояния ребенка.
Ниже представлена обобщенная таблица основных групп препаратов и их роли в лечении бронхиолита:
| Группа препаратов | Назначение при бронхиолите | Особенности и комментарии |
|---|---|---|
| Жаропонижающие/обезболивающие (Парацетамол, Ибупрофен) |
Симптоматическое: снижение температуры, облегчение дискомфорта. | Применять строго по возрасту и весу, согласно инструкции. Не лечат причину болезни. |
| Антибиотики | Не показаны при вирусном бронхиолите. | Назначаются только при подтвержденном или высоко подозрительном присоединении бактериальной инфекции (например, пневмония, отит). |
| Бронходилататоры (Сальбутамол, Фенотерол) |
В большинстве случаев неэффективны. | Возможна пробная терапия у некоторых детей (с анамнезом атопии/астмы). При отсутствии эффекта — отменить. Самолечение запрещено. |
| Глюкокортикостероиды | В большинстве случаев неэффективны. | Рутинное применение не рекомендовано. Могут быть рассмотрены в крайне тяжелых случаях или при сопутствующей астме под строгим контролем. |
| Ингаляции гипертоническим раствором NaCl (3%) | Помощь в разжижении и выведении вязкой слизи. | Показана в условиях стационара, или по назначению врача на дому. Требует осторожности, может вызывать кашель. |
| Муколитики и отхаркивающие средства | Категорически не рекомендованы для младенцев. | Могут ухудшить состояние, увеличивая объем мокроты, которую ребенок не может откашлять. |
| Противовирусные препараты (Рибавирин, Осельтамивир) |
Крайне ограничены. | Рибавирин для тяжелого РСВ-бронхиолита у групп риска в условиях реанимации. Осельтамивир при подтвержденном гриппе. Не для рутинного применения. |
Таким образом, успех в борьбе с бронхиолитом во многом зависит от грамотной поддерживающей терапии, создания благоприятных условий для ребенка, тщательного наблюдения за его состоянием и своевременного обращения к врачу за квалифицированной помощью. Самолечение может быть не только неэффективным, но и опасным для здоровья малыша.
Профилактика бронхиолита у детей: как защитить малыша от вирусной инфекции
Профилактика бронхиолита у детей, особенно в группах высокого риска, играет ключевую роль в снижении заболеваемости и предотвращении тяжелых форм. Поскольку основным возбудителем является респираторно-синцитиальный вирус (РСВ) и другие респираторные вирусы, меры защиты направлены на предотвращение вирусной инфекции и укрепление общего иммунитета малыша. Защитить ребенка от бронхиолита можно, соблюдая ряд простых, но эффективных рекомендаций, особенно в период сезонного подъема заболеваемости.
Общие меры профилактики вирусных инфекций у детей
Снижение риска заражения респираторными вирусами — основа защиты от бронхиолита. Соблюдение базовых гигиенических правил помогает значительно уменьшить распространение возбудителей и тем самым оградить малыша от инфекции. Эти меры особенно важны в осенне-зимний период, когда активность респираторных вирусов возрастает.
- Регулярное мытье рук: Тщательное мытье рук с мылом и водой является одним из самых эффективных способов предотвращения распространения вирусов. Мыть руки следует всем членам семьи, особенно после возвращения с улицы, посещения общественных мест, перед контактом с ребенком, перед едой и после кашля или чихания. Если нет возможности вымыть руки, используйте антисептические гели на спиртовой основе.
- Избегание прикосновений к лицу: Объясняйте старшим детям и следите за тем, чтобы члены семьи, особенно при наличии насморка или кашля, не прикасались руками к глазам, носу и рту. Вирусы легко передаются через слизистые оболочки.
- Правила респираторного этикета: Научите детей и взрослых при кашле или чихании прикрывать рот и нос салфеткой или сгибом локтя. Использованные салфетки следует немедленно выбрасывать в закрытый мусорный бак. Это помогает предотвратить распространение вирусных частиц в воздухе.
- Регулярная уборка и дезинфекция поверхностей: Часто мойте и дезинфицируйте поверхности, к которым часто прикасаются (ручки дверей, игрушки, поверхности столов, пульты дистанционного управления), особенно если кто-то из домочадцев болен. Вирусы могут сохраняться на поверхностях в течение нескольких часов.
Соблюдение этих простых мер создает барьер для проникновения вирусных частиц и значительно снижает вероятность заражения.
Важность грудного вскармливания и его роль в защите от бронхиолита
Грудное вскармливание играет фундаментальную роль в защите младенцев от многих инфекционных заболеваний, включая бронхиолит. Это природный механизм пассивной иммунизации, который обеспечивает ребенка необходимыми антителами и защитными факторами в тот период, когда его собственная иммунная система еще незрела.
- Передача антител: Грудное молоко содержит широкий спектр антител, включая иммуноглобулины класса А (IgA), которые покрывают слизистые оболочки дыхательных путей и желудочно-кишечного тракта ребенка, предотвращая прикрепление и размножение вирусов, в том числе РСВ.
- Иммунные клетки и защитные факторы: Помимо антител, грудное молоко содержит живые иммунные клетки (лимфоциты, макрофаги), лактоферрин, лизоцим и другие биологически активные вещества, которые усиливают иммунную защиту ребенка, обладают противовирусными и противовоспалительными свойствами.
- Снижение риска тяжелого течения: Дети, находящиеся на грудном вскармливании, реже болеют бронхиолитом, а если заболевают, то болезнь протекает в более легкой форме, с меньшим риском госпитализации и осложнений.
По этой причине Всемирная организация здравоохранения и педиатрические ассоциации настоятельно рекомендуют грудное вскармливание как минимум до 6 месяцев и его продолжение до двух лет и дольше, особенно в группах риска.
Защита ребенка от пассивного курения и загрязнения воздуха
Воздействие табачного дыма и других загрязнителей воздуха на дыхательные пути ребенка является одним из доказанных факторов риска развития бронхиолита и его более тяжелого течения. Защита малыша от пассивного курения — это обязательная мера профилактики.
- Вред пассивного курения: Табачный дым раздражает слизистую оболочку дыхательных путей, вызывает воспаление и отек. Он нарушает функцию ресничек эпителия — микроскопических волосков, которые помогают выводить слизь и чужеродные частицы из легких. Повреждение ресничек приводит к застою слизи, что создает благоприятные условия для размножения вирусов и бактерий.
- Повышенный риск и тяжесть: Дети, подвергающиеся пассивному курению, более восприимчивы к респираторным инфекциям, включая РСВ. У них бронхиолит чаще протекает с более выраженной обструкцией, дольше сохраняются симптомы и выше риск госпитализации.
- Создание среды без дыма: Строго запретите курение в доме, в машине и в любом другом месте, где находится ребенок. Объясните членам семьи и гостям важность соблюдения этого правила.
- Контроль качества воздуха: По возможности избегайте длительного пребывания с ребенком в местах с высоким уровнем загрязнения воздуха (например, вблизи оживленных автомагистралей или промышленных предприятий). Используйте воздухоочистители при необходимости.
Создание свободной от табачного дыма и загрязнений среды является критически важным для поддержания здоровья дыхательных путей ребенка.
Вакцинация как метод профилактики респираторных заболеваний
Хотя специфической вакцины против большинства вирусов, вызывающих бронхиолит, не существует (за исключением РСВ для групп риска), вакцинация против других респираторных заболеваний косвенно способствует профилактике. Снижая общую вирусную нагрузку и защищая от потенциальных коинфекций, вакцины помогают укрепить иммунитет и предотвратить осложнения.
- Вакцинация против гриппа: Вирус гриппа может вызывать бронхиолит или утяжелять течение другой вирусной инфекции. Ежегодная вакцинация против гриппа рекомендована детям старше 6 месяцев и всем членам семьи, которые контактируют с младенцем. Это снижает риск заболевания гриппом и, как следствие, риск гриппозного бронхиолита или наслоения инфекций.
- Вакцинация против коклюша: Хотя коклюш (возбудитель которого — бактерия) не является бронхиолитом, его симптомы (приступообразный кашель, затрудненное дыхание) могут быть очень схожи. Вакцинация против коклюша (в рамках комбинированной вакцины АКДС) помогает защитить ребенка от этого опасного заболевания и избежать его ошибочной диагностики. Кроме того, рекомендуется вакцинация от коклюша беременным женщинам и всем, кто контактирует с младенцем, для создания "кокона" защиты.
- Другие плановые прививки: Соблюдение национального календаря прививок в целом укрепляет иммунную систему ребенка и защищает его от множества инфекций, что косвенно снижает общую нагрузку на организм и повышает его устойчивость к другим вирусным агентам.
Обсудите с педиатром график вакцинации вашего ребенка и возможность прививок для взрослых членов семьи, чтобы максимально защитить малыша от вирусных и бактериальных инфекций.
Минимизация контактов с больными людьми и в местах скопления
Вирусные инфекции, вызывающие бронхиолит, распространяются воздушно-капельным путем. Ограничение контактов ребенка с источниками инфекции, особенно в период сезонных эпидемий, является одной из самых важных мер профилактики.
- Избегайте контакта с больными: Попросите родственников и друзей, у которых есть признаки простуды (насморк, кашель, чихание, лихорадка), отложить визит. Если болен один из членов семьи, ему следует максимально ограничить контакт с младенцем, носить маску и соблюдать строгую гигиену рук.
- Ограничьте посещение общественных мест: В период пика заболеваемости респираторными инфекциями, особенно для младенцев до 6 месяцев и детей из групп риска, избегайте посещения магазинов, торговых центров, общественного транспорта и других мест большого скопления людей.
- Избегайте детских учреждений: По возможности отложите раннее посещение детских садов или яслей, особенно в первые месяцы жизни ребенка и в сезонные вспышки заболеваемости, так как это значительно увеличивает риск контакта с вирусами.
- Соблюдайте дистанцию: На прогулках или в других ситуациях старайтесь держать ребенка на безопасном расстоянии от кашляющих или чихающих людей.
Эти меры помогают уменьшить вероятность передачи вирусных частиц и снизить риск заражения бронхиолитом.
Специфическая иммунопрофилактика бронхиолита (паливизумаб)
Для некоторых категорий детей, которые имеют очень высокий риск тяжелого течения РСВ-бронхиолита, существует специфическая иммунопрофилактика. Она осуществляется с помощью препарата паливизумаб (торговое название Синагис) — моноклональных антител, направленных непосредственно против респираторно-синцитиального вируса.
- Механизм действия: Паливизумаб не является вакциной, а представляет собой готовые антитела, которые вводятся ребенку. Эти антитела связываются с вирусом РСВ, предотвращая его проникновение в клетки дыхательных путей и размножение. Это обеспечивает пассивную защиту, которая действует в течение примерно 30 дней.
- Кому показан: Специфическая иммунопрофилактика паливизумабом назначается строго по медицинским показаниям и только детям из групп очень высокого риска, так как препарат дорогостоящий и предназначен для защиты наиболее уязвимых. К таким группам относятся:
- Недоношенные дети, рожденные на сроке 35 недель гестации и ранее, особенно в возрасте до 6 месяцев на начало РСВ-сезона.
- Дети с бронхолегочной дисплазией, которым требуется медицинская поддержка (например, дополнительный кислород, стероиды) в течение последних 6 месяцев.
- Дети с гемодинамически значимыми врожденными пороками сердца.
- Дети с тяжелым комбинированным иммунодефицитом или получающие иммуносупрессивную терапию.
- Дети с некоторыми нервно-мышечными заболеваниями.
- Курс применения: Паливизумаб вводится внутримышечно ежемесячно в течение всего РСВ-сезона (обычно с октября-ноября по март-апрель), всего 3-5 инъекций.
Решение о назначении паливизумаба принимает консилиум врачей после тщательной оценки состояния ребенка и его принадлежности к группе высокого риска.
Создание здоровой домашней среды и микроклимата
Помимо предотвращения прямого контакта с инфекцией, важно обеспечить оптимальные условия в доме. Правильный микроклимат поддерживает здоровье дыхательных путей и повышает их устойчивость к вирусным агентам.
- Оптимальная температура: Поддерживайте температуру воздуха в комнате, где находится ребенок, в пределах 18-22°C. Перегрев может вызывать сухость слизистых и делать их более уязвимыми.
- Достаточная влажность: Используйте увлажнитель воздуха для поддержания влажности на уровне 50-70%. Влажный воздух предотвращает пересыхание слизистых оболочек дыхательных путей, способствует их естественной очистке и уменьшает раздражение, делая их менее восприимчивыми к вирусам. Регулярно чистите увлажнитель.
- Регулярное проветривание: Несколько раз в день проветривайте помещение, даже в холодное время года. Свежий воздух снижает концентрацию вирусов и аллергенов. Во время проветривания ребенка лучше перенести в другую комнату, чтобы избежать переохлаждения.
- Чистота воздуха: Избегайте использования аэрозолей, освежителей воздуха, сильно пахнущих чистящих средств в присутствии ребенка. Эти химические вещества могут раздражать дыхательные пути и снижать их защитные функции.
Создание здоровой домашней среды является важной частью комплексной профилактики бронхиолита и поддержания общего здоровья дыхательной системы малыша.
Ключевые рекомендации для родителей по профилактике бронхиолита
Для удобства родителей ниже представлена сводная таблица с основными рекомендациями, которые помогут защитить малыша от бронхиолита и снизить риск тяжелого течения заболевания.
| Категория профилактики | Основные рекомендации | Почему это важно |
|---|---|---|
| Гигиена и чистота |
|
Снижает передачу вирусов через контакт и воздушно-капельным путем, уменьшает вирусную нагрузку в окружающей среде. |
| Питание и иммунитет |
|
Грудное молоко содержит антитела и иммунные факторы, обеспечивающие пассивную защиту и укрепляющие собственный иммунитет ребенка. |
| Микроклимат и воздух |
|
Оптимальный микроклимат поддерживает слизистые оболочки дыхательных путей, предотвращает их пересыхание. Отсутствие дыма защищает легкие от раздражения и повреждений. |
| Ограничение контактов |
|
Снижает вероятность прямого контакта ребенка с источниками вирусных инфекций, особенно с респираторно-синцитиальным вирусом. |
| Вакцинация |
|
Защищает от тяжелых форм гриппа, коклюша и снижает общую нагрузку на иммунную систему. |
| Специфическая профилактика |
|
Обеспечивает пассивную иммунизацию против РСВ для наиболее уязвимых категорий младенцев, значительно снижая риск тяжелого течения бронхиолита. |
Эти комплексные меры помогут максимально эффективно защитить вашего малыша от бронхиолита и обеспечить ему здоровый рост и развитие.
Осложнения и прогноз бронхиолита у детей: что ожидать после болезни
Бронхиолит у детей, особенно у младенцев, может иметь как острые, так и долгосрочные последствия. Хотя большинство случаев заканчиваются полным выздоровлением, важно знать о потенциальных осложнениях и понимать, чего ожидать после перенесенного заболевания. Прогноз во многом зависит от возраста ребенка, тяжести течения болезни и наличия сопутствующих факторов риска.
Острые осложнения бронхиолита: немедленные риски
В остром периоде бронхиолита состояние ребенка может быстро ухудшиться, что приводит к развитию ряда опасных осложнений. Они требуют немедленного медицинского вмешательства, часто в условиях стационара.
- Острая дыхательная недостаточность: Это наиболее частое и серьезное осложнение. Возникает, когда легкие не могут обеспечить достаточный газообмен, что приводит к снижению уровня кислорода в крови (гипоксемии) и/или накоплению углекислого газа (гиперкапнии). Может проявляться выраженной одышкой, цианозом и требует кислородотерапии, а иногда и искусственной вентиляции легких.
- Апноэ (кратковременные остановки дыхания): Характерны для младенцев до 2-3 месяцев, особенно недоношенных. Апноэ может быть опасным для жизни и требует постоянного мониторинга в стационаре.
- Обезвоживание: Затрудненное дыхание, лихорадка и отказ от кормления повышают риск обезвоживания, что усугубляет состояние ребенка и может требовать внутривенного введения жидкостей.
- Бактериальная суперинфекция: Хотя сам бронхиолит вирусный, повреждение слизистой оболочки дыхательных путей может создать условия для присоединения бактериальной инфекции. Наиболее частые осложнения — бактериальная пневмония или острый средний отит. Подозрение на бактериальное осложнение требует назначения антибиотиков.
- Ателектазы легких: Закупорка мелких бронхиол вязкой слизью может привести к спадению небольших участков легочной ткани, что еще больше нарушает газообмен.
- Миокардит: В редких случаях респираторно-синцитиальный вирус (РСВ) или другие вирусы могут поражать сердечную мышцу, вызывая миокардит. Это крайне редкое, но тяжелое осложнение.
Эти осложнения чаще всего развиваются в пик заболевания, обычно на 3-5 день от начала симптомов, и требуют пристального внимания со стороны родителей и медицинского персонала.
Долгосрочные последствия бронхиолита: что важно знать родителям
После перенесенного бронхиолита, особенно тяжелой формы или у детей из групп риска, могут наблюдаться некоторые долгосрочные последствия. Они связаны с повышенной чувствительностью дыхательных путей и изменением их функции.
- Рецидивирующие свистящие хрипы (повторяющиеся эпизоды бронхообструкции): У многих детей, перенесших бронхиолит, особенно вызванный РСВ, в течение первых лет жизни могут возникать повторные эпизоды свистящих хрипов и одышки при последующих респираторных вирусных инфекциях. Это связано с тем, что вирусная инфекция может привести к повреждению эпителия бронхиол и повысить их реактивность.
- Повышенный риск развития бронхиальной астмы: Существует связь между перенесенным бронхиолитом в раннем возрасте и развитием бронхиальной астмы в дальнейшем. Особенно это касается детей с семейным анамнезом аллергии или астмы, а также тех, кто перенес тяжелую форму бронхиолита. Считается, что вирусная инфекция может способствовать "программированию" дыхательных путей к хроническому воспалению и гиперреактивности.
- Нарушение функции легких: У недоношенных детей, перенесших тяжелый бронхиолит с необходимостью в искусственной вентиляции легких, могут наблюдаться остаточные нарушения легочной функции, которые могут сохраняться в течение нескольких лет. Это может проявляться снижением объема легких или нарушением их механики.
- Хронический кашель: Остаточный кашель, не сопровождающийся другими симптомами болезни, может сохраняться до 2-4 недель после острого периода бронхиолита. В некоторых случаях, особенно при повторных инфекциях, он может приобретать более длительный характер.
Родителям следует быть внимательными к этим возможным последствиям и при появлении подозрительных симптомов своевременно обращаться к педиатру или детскому пульмонологу.
Факторы, влияющие на прогноз бронхиолита
Прогноз бронхиолита, то есть вероятность полного выздоровления без последствий или развитие осложнений, зависит от нескольких ключевых факторов. Понимание этих факторов помогает оценить индивидуальные риски для каждого ребенка.
Основные факторы, влияющие на прогноз:
- Возраст ребенка: Младенцы до 3-6 месяцев, особенно недоношенные, имеют наихудший прогноз. У них выше риск тяжелого течения, развития апноэ и дыхательной недостаточности, а также выше вероятность долгосрочных последствий.
- Недоношенность: Недоношенные дети (родившиеся до 37 недель гестации) имеют незрелые легкие и иммунную систему, что делает их крайне уязвимыми к респираторно-синцитиальному вирусу (РСВ) и повышает риск тяжелого течения бронхиолита и осложнений.
- Наличие сопутствующих хронических заболеваний: Дети с бронхолегочной дисплазией, врожденными пороками сердца с гемодинамическими нарушениями, муковисцидозом или иммунодефицитными состояниями подвержены значительному риску тяжелого, затяжного течения бронхиолита с развитием серьезных осложнений и худшим прогнозом.
- Тяжесть острого заболевания: Чем тяжелее протекает острая фаза бронхиолита (выраженная дыхательная недостаточность, необходимость в кислородотерапии или ИВЛ), тем выше риск долгосрочных респираторных проблем.
- Воздействие пассивного курения: Дети, подвергающиеся воздействию табачного дыма, чаще болеют бронхиолитом, у них тяжелее протекает болезнь, и выше риск развития рецидивирующих хрипов и астмы в будущем.
У здоровых доношенных детей старше 6 месяцев бронхиолит обычно протекает в легкой или среднетяжелой форме и имеет благоприятный прогноз с полным выздоровлением без долгосрочных последствий.
Типичный прогноз и особенности выздоровления
К счастью, для большинства детей прогноз после бронхиолита благоприятный. Здоровые доношенные младенцы и дети старшего возраста обычно полностью выздоравливают, и остаточных явлений не наблюдается.
- Полное выздоровление: У большинства детей все симптомы бронхиолита исчезают в течение 1-2 недель. Функция легких полностью восстанавливается.
- Длительный кашель: Часто является самым стойким симптомом. Кашель может сохраняться до 2-4 недель, а иногда и дольше, после разрешения острых респираторных симптомов. Это связано с замедленным восстановлением слизистой оболочки дыхательных путей и ее повышенной чувствительностью. Сохраняющийся кашель обычно не свидетельствует о продолжающейся активной инфекции или осложнении, если нет других тревожных симптомов (одышка, лихорадка).
- Повышенная чувствительность дыхательных путей: В течение нескольких недель после бронхиолита дыхательные пути могут оставаться более чувствительными к холодному воздуху, аллергенам или физической нагрузке, что может провоцировать кашель.
- Необходимость наблюдения: Даже после выздоровления, особенно у детей из групп риска, может потребоваться некоторое время для полного восстановления. Педиатр может рекомендовать дополнительные визиты для контроля состояния легких.
Важно помнить, что каждый ребенок индивидуален, и течение болезни может отличаться. При любых опасениях относительно выздоровления ребенка необходимо проконсультироваться с врачом.
Когда требуется повторное обращение к врачу после выписки или улучшения
Даже после выписки из стационара или улучшения состояния дома, родители должны продолжать внимательно следить за ребенком. Некоторые симптомы могут указывать на рецидив заболевания, развитие осложнений или необходимость дополнительной медицинской помощи.
Немедленно обратитесь к врачу или вызовите скорую помощь, если вы заметили следующие признаки:
- Внезапное ухудшение дыхания: Повторное появление или усиление одышки, учащенное дыхание, втяжение межреберных промежутков, раздувание крыльев носа, свистящие хрипы.
- Повторное появление лихорадки: Если температура тела вновь поднимается после периода нормализации, особенно выше 38,5°C, это может указывать на новое заражение или развитие бактериального осложнения, такого как пневмония или отит.
- Цианоз: Появление синеватого оттенка вокруг рта, на губах или кончиках пальцев.
- Признаки обезвоживания: Сухость слизистых оболочек, отсутствие слез, запавший родничок, значительное снижение количества мочеиспусканий.
- Отказ от еды и питья: Если ребенок вновь перестает есть и пить, что может привести к обезвоживанию и общей слабости.
- Изменения в поведении: Выраженная вялость, сонливость, трудности с пробуждением, апатия или, наоборот, чрезмерная раздражительность и неутешный плач.
- Стойкий или усиливающийся кашель: Если кашель становится приступообразным, мучительным, мешает спать или есть, или если он резко усиливается после периода улучшения.
Своевременное обращение за медицинской помощью при повторном появлении тревожных симптомов крайне важно для предотвращения серьезных осложнений.
Рекомендации по уходу после бронхиолита: снижение рисков
После перенесенного бронхиолита, особенно у детей из групп риска, важно продолжать заботиться о здоровье дыхательных путей и принимать меры для снижения вероятности повторных заболеваний или развития долгосрочных осложнений.
Родителям следует соблюдать следующие рекомендации:
- Продолжение грудного вскармливания: Если ребенок на грудном вскармливании, продолжайте его как можно дольше, поскольку грудное молоко обеспечивает важную иммунную защиту.
- Защита от пассивного курения: Категорически исключите воздействие табачного дыма на ребенка в доме, машине и любых других помещениях. Дым раздражает дыхательные пути и повышает риск рецидивов.
- Оптимальный микроклимат в доме: Поддерживайте оптимальную температуру (18-22°C) и влажность воздуха (50-70%) в комнате ребенка. Регулярно проветривайте помещение.
- Минимизация контактов с больными: В течение нескольких недель после болезни, и особенно в период сезонных подъемов заболеваемости, по возможности избегайте контакта ребенка с людьми, имеющими признаки простуды или ОРВИ.
- Соблюдение гигиены рук: Все члены семьи должны тщательно мыть руки с мылом, особенно перед контактом с ребенком.
- Вакцинация: Проконсультируйтесь с педиатром о своевременной вакцинации против гриппа (если ребенок достиг возраста 6 месяцев) и коклюша для всех членов семьи, чтобы снизить риск тяжелых респираторных инфекций.
- Наблюдение за развитием ребенка: Отслеживайте любые изменения в дыхании, появление свистящих хрипов, хронического кашля или затруднений при физической нагрузке. При появлении таких симптомов обращайтесь к педиатру.
- Сбалансированное питание и достаточный питьевой режим: Обеспечьте ребенку полноценное питание и достаточное потребление жидкости для поддержания общего иммунитета и восстановления сил.
Эти меры помогут укрепить дыхательную систему ребенка после перенесенного бронхиолита и снизить вероятность развития долгосрочных осложнений, обеспечивая ему здоровое будущее.
Список литературы
- Союз педиатров России, Межрегиональная Ассоциация по клинической микробиологии и антимикробной химиотерапии. Острый бронхиолит у детей: Клинические рекомендации. 2021.
- Ralston S.L., Lieberthal A.S., Meissner T.C., et al. Clinical Practice Guideline: The Diagnosis, Management, and Prevention of Bronchiolitis. Pediatrics. 2014;134(5):e1474-e1502.
- National Institute for Health and Care Excellence (NICE). Bronchiolitis in children: diagnosis and management (NG9). 2015.
- Шабалов Н.П. Детские болезни: учебник для студентов медицинских вузов. 8-е изд., перераб. и доп. — СПб.: Питер, 2017.
- Kliegman R.M., St. Geme J.W., Blum N.J., et al. Nelson Textbook of Pediatrics. 21st ed. Philadelphia: Elsevier, 2020.
- World Health Organization. Pocket book of hospital care for children: Guidelines for the management of common childhood illnesses. 2nd ed. Geneva: WHO, 2013.
Читайте также
Антракоз легких: полное руководство по болезни угольной пыли и ее лечению
Столкнулись с последствиями вдыхания угольной пыли или ищете информацию о диагнозе антракоз? В этой статье пульмонолог подробно объясняет причины, симптомы, современные методы диагностики и эффективные подходы к лечению этого заболевания.
Асбестоз легких: найти причину, остановить развитие и улучшить дыхание
Подробное руководство по асбестозу легких, включающее информацию о причинах, симптомах, современных методах диагностики и стратегиях эффективного лечения для замедления прогрессирования болезни и улучшения качества жизни.
Ателектаз легкого: полное руководство по причинам, симптомам и лечению
Полное руководство по ателектазу легкого: что это такое, почему возникает, как проявляется и как эффективно лечить спадение легочной ткани.
Биссиноз: полное руководство по болезни легких от текстильной пыли
Столкнулись с кашлем и одышкой после работы с хлопком или льном? Наша статья подробно объясняет, что такое биссиноз, почему он возникает, как его распознать и какие современные методы лечения существуют для защиты ваших легких.
Бодиплетизмография для оценки функции легких: полное руководство по методу
Изучите бодиплетизмографию — ключевой метод оценки функции легких. Полное руководство поможет понять суть исследования, его цели, принцип работы и интерпретацию результатов для здоровья дыхательной системы.
Бронхоэктатическая болезнь (БЭБ): как контролировать симптомы и жить полноценно
Комплексное руководство по бронхоэктатической болезни (БЭБ), охватывающее причины, современные методы диагностики, эффективное лечение и стратегии для улучшения качества жизни при хроническом поражении легких.
Буллезная болезнь легких: полный гид по причинам, симптомам и лечению
Всесторонняя информация о буллезной болезни легких: от причин и механизмов развития до методов диагностики, современных подходов к терапии и профилактике этого состояния.
Гипервентиляционный синдром: вернуть контроль над дыханием и самочувствием
Узнайте, что такое гипервентиляционный синдром (ГВС), почему он возникает, как проявляется и как современные методы пульмонологии помогают эффективно управлять его симптомами и восстановить спокойствие.
Гранулематоз с полиангиитом (вегенера): полный гид по заболеванию
Подробное руководство по гранулематозу с полиангиитом (ГПА), включая причины, механизмы развития, диагностику, современные подходы к лечению и рекомендации по жизни с этим системным васкулитом.
Дефицит альфа-1-антитрипсина: полный гид по редкой генетической патологии легких
Изучите причины, симптомы, диагностику и современные методы лечения дефицита альфа-1-антитрипсина (ДАТ) для эффективного контроля над заболеванием легких и печени.
Врачи пульмонологи
Пульмонолог
Челябинская государственная медицинская академия
Стаж работы: 24 л.
Пульмонолог
ЕГМУ
Стаж работы: 7 л.
Пульмонолог, Терапевт
Пермский государственный медицинский университет им. акад. Е.А.Вагнера
Стаж работы: 32 л.
