Киста и головная боль. - вопрос нейрохирургу № 40713
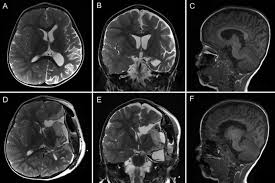
Здравствуйте!Беспокоит постоянная головная боль в области лба и в виске слева и звон в левом ухе.Боль монотонная и пульсирующаяОбезболивающие не помогают.Неврологи ставили диагноз мигрень,делал уколы иринекс,пил таблетки от мигрени ,ничего не помогает.Также лечили внутричерепное давление тоже не помогло(пирацетам,магнезий,актовегин,диакарб)В левой височной области имеется архоинодальная киста 36х10х17 мм.Также расширены периневральные пространства зрительных нервов.Глазное давление в нормеМожет ли данная киста быть причиной головной боли ?
Снимки мртhttps://drive.google.com/file/d/1sbWERelK3rUJm4z0P7nltAPZVu9NX0md/view?usp=drivesdk
Ответы врачей
Здравствуйте!Прикрепил заключение. Не пойму как полностью отправить сами снимки МРТ Может сможете через Mail облако посмотреть https://cloud.mail.ru/public/9f6x/xjqpBSKLt
Здравствуйте. Двоения в глазах, выпадение полей зрения, усиления боли при наклонах, кашле, тошноты по утрам нету. Пил диакарб по 250мг 10 дней эффекта не было. Рост 180, 85кг. Подскажите как правильно пить диакарб?
Спасибо за консультацию
Спасибо за консультацию.
Здравствуйте. Боль не усиливается при перемене положения тела также нету облегчения, она усиливается после пробуждения ,а через некоторое время становится легче,но полностью не проходит. Звон ушах постоянный
Спасибо за консультацию.
Спасибо за консультацию
Спасибо за консультацию
Не нашли ответ на свой вопрос?
Задайте его и получите профессиональный ответ специалистов.
Врачи нейрохирурги
Нейрохирург
Кыргызская государственная медицинская академия
Стаж работы: 37 л.
Нейрохирург, Хирург
Кировский государственный медицинский университет
Стаж работы: 23 л.
Нейрохирург
Красноярский государственный медицинский университет
Стаж работы: 24 л.







