Содержание

Миоклонус – это внезапные, короткие, непроизвольные подергивания мышц или группы мышц, которые невозможно контролировать. Такие сокращения могут возникать как в отдельных частях тела, так и быть генерализованными, охватывая большие области, и часто вызывают у людей тревогу и беспокойство. Хотя миоклонус иногда является нормальным физиологическим явлением, например, при засыпании или икоте, в ряде случаев он может сигнализировать о серьезных нарушениях в работе нервной системы, требующих внимания специалиста. Понимание природы миоклонических подергиваний, их возможных причин и методов диагностики имеет ключевое значение для определения дальнейшей тактики и обеспечения качественной помощи.
Что такое миоклонус и как он проявляется
Миоклонус, или МК, представляет собой быстрые, кратковременные, неритмичные или ритмичные подергивания, вызванные внезапным сокращением (положительный миоклонус) или расслаблением (отрицательный миоклонус) мышц. Эти непроизвольные движения могут варьировать по интенсивности: от едва заметных дрожаний до сильных, похожих на судороги сокращений, способных вызвать падение. Подергивания могут происходить спонтанно, возникать в ответ на внешние стимулы (свет, звук, прикосновение) или появляться при попытке совершить движение.
Основные характеристики миоклонических подергиваний
Чтобы лучше понять, что такое миоклонус, важно знать его основные характеристики, которые помогают специалистам в диагностике:
- Скорость и длительность: Миоклонические сокращения очень быстрые, обычно длятся доли секунды.
- Непроизвольность: Человек не может контролировать или подавить эти движения.
- Интенсивность: От легких, почти незаметных подергиваний до сильных рывков, способных изменить позу или вызвать падение.
- Распространенность: Могут быть локализованными (например, подергивание века), сегментарными (одна конечность или группа мышц) или генерализованными (охватывающими все тело).
- Ритмичность: Некоторые формы миоклонуса могут быть ритмичными, повторяясь с определенной частотой, тогда как другие абсолютно аритмичны.
- Триггеры: У некоторых людей миоклонус провоцируется определенными действиями (например, попыткой схватить предмет – интенционный миоклонус), сенсорными стимулами (рефлекторный миоклонус) или может возникать в покое.
Классификация миоклонуса: виды и особенности
Классификация миоклонуса играет важную роль в понимании его причин и выборе тактики лечения. Миоклонус делится на несколько основных видов в зависимости от его причины (этиологии), локализации и условий возникновения. Понимание этих различий помогает определить, является ли миоклонус безобидным физиологическим явлением или признаком серьезного заболевания.
Основные виды миоклонуса по происхождению
Различают следующие основные виды миоклонуса:
- Физиологический миоклонус: Это нормальное явление, не связанное с каким-либо заболеванием. Примерами являются икота, вздрагивания при засыпании (гипнические подергивания) или мышечные подергивания при физической нагрузке или стрессе. Такой миоклонус обычно кратковременный, не доставляет значительного дискомфорта и не требует лечения.
- Эссенциальный миоклонус: Это форма миоклонуса, при которой подергивания являются основным или единственным неврологическим проявлением. Часто имеет наследственный характер, но не связан с другими заболеваниями головного мозга или метаболическими нарушениями. Подергивания могут усиливаться при движении, но обычно не прогрессируют и могут быть легкими или умеренными.
- Симптоматический (вторичный) миоклонус: Этот тип миоклонуса является симптомом другого основного заболевания или состояния. Это наиболее серьезная форма миоклонических подергиваний, указывающая на нарушение работы центральной нервной системы. Симптоматический миоклонус требует тщательной диагностики для выявления и лечения первопричины.
Формы миоклонуса по локализации и условиям возникновения
Кроме этиологической классификации, миоклонус также различают по его проявлениям:
- Фокальный миоклонус: Ограничен одной мышцей или группой мышц в определенной области тела, например, подергивание мышц лица или одной конечности.
- Сегментарный миоклонус: Затрагивает мышцы, иннервируемые одним или несколькими сегментами спинного мозга, например, подергивания мышц плеча и предплечья с одной стороны.
- Генерализованный миоклонус: Охватывает множество мышц по всему телу, часто проявляется симметрично и может приводить к падениям.
- Рефлекторный миоклонус: Возникает в ответ на сенсорные стимулы, такие как прикосновение, звук, свет.
- Акционный (интенционный) миоклонус: Появляется или усиливается при попытке совершить произвольное движение. Часто ассоциируется с метаболическими или нейродегенеративными заболеваниями.
- Миоклонус покоя: Возникает, когда мышцы находятся в расслабленном состоянии.
- Миоклонус сна: Проявляется исключительно во время сна или при переходе ко сну (гипнические подергивания).
Основные причины возникновения патологического миоклонуса
Когда речь идет о патологическом миоклонусе, важно понимать, что он не является самостоятельным заболеванием, а служит сигналом о других нарушениях в организме. Причины миоклонуса могут быть разнообразными, затрагивая как головной, так и спинной мозг, а также периферическую нервную систему. Выявление первопричины — это ключевой шаг к назначению эффективного лечения.
Неврологические заболевания, вызывающие миоклонус
Чаще всего патологический миоклонус связан с различными неврологическими состояниями:
- Эпилепсия: Некоторые формы эпилепсии, особенно миоклонические, характеризуются внезапными мышечными подергиваниями.
- Болезни накопления: Ряд наследственных метаболических заболеваний, при которых происходит накопление токсичных веществ в мозге, могут вызывать миоклонические подергивания (например, липидозы, мукополисахаридозы).
- Нейродегенеративные заболевания: Прогрессирующее разрушение нервных клеток может приводить к развитию МК. К ним относятся болезнь Альцгеймера, болезнь Паркинсона (редко, но бывает), деменция с тельцами Леви, прогрессирующая миоклоническая эпилепсия.
- Церебральная гипоксия: Недостаток кислорода в головном мозге, вызванный, например, остановкой сердца, утоплением или удушьем, может привести к тяжелому постгипоксическому миоклонусу.
- Опухоли головного мозга: Новообразования, особенно расположенные в стволе мозга или коре, могут вызывать миоклонические приступы.
- Травмы головного мозга: Тяжелые черепно-мозговые травмы могут приводить к развитию миоклонуса как позднего осложнения.
- Рассеянный склероз: В редких случаях миоклонус может быть одним из симптомов этого демиелинизирующего заболевания.
- Инсульты: Повреждение определенных областей мозга в результате ишемического или геморрагического инсульта иногда провоцирует возникновение миоклонических подергиваний.
Метаболические, токсические и другие системные причины
Помимо прямых поражений нервной системы, миоклонус может быть следствием общих системных нарушений:
- Почечная недостаточность: Накопление токсинов в крови при нарушении функции почек часто приводит к уремической энцефалопатии, одним из проявлений которой являются миоклонические подергивания.
- Печеночная недостаточность: Тяжелые заболевания печени и печеночная энцефалопатия также могут вызывать миоклонус.
- Гипогликемия: Резкое снижение уровня сахара в крови может спровоцировать МК.
- Электролитные нарушения: Дисбаланс натрия, калия, кальция или магния может влиять на возбудимость нервных клеток.
- Инфекции: Тяжелые инфекции, такие как менингит, энцефалит, сепсис, могут поражать нервную систему и вызывать миоклонус.
- Действие лекарственных препаратов и токсинов: Некоторые медикаменты (например, антидепрессанты, литий, опиоиды) или отравления (тяжелые металлы, пестициды) могут быть причиной миоклонических подергиваний.
Симптомы миоклонуса: как распознать и когда бить тревогу
Распознавание симптомов миоклонуса очень важно, поскольку подергивания могут быть как безобидными, так и свидетельствовать о серьезных проблемах. В то время как редкие, легкие подергивания могут не вызывать опасений, интенсивные, частые или прогрессирующие миоклонические движения требуют немедленного обращения к врачу. Главное — внимательно прислушиваться к своему организму и знать, какие признаки указывают на необходимость профессиональной помощи.
Ключевые признаки, на которые следует обратить внимание
Миоклонус проявляется по-разному, и его симптомы зависят от основной причины и локализации. Обратите внимание на следующие аспекты:
- Интенсивность подергиваний: Насколько сильны мышечные сокращения? Вызывают ли они дискомфорт, боль или ограничение движений?
- Частота и ритмичность: Подергивания возникают постоянно, периодически или спорадически? Они ритмичны или хаотичны?
- Триггеры: Что провоцирует миоклонус? Это движение, покой, сон, сенсорные стимулы (свет, звук, прикосновение) или что-то еще?
- Локализация: Какие части тела затронуты? Это одно веко, палец, целая конечность или все тело?
- Сопутствующие симптомы: Появляются ли подергивания вместе с другими изменениями, такими как нарушение координации (атаксия), проблемы с речью, затруднения при ходьбе, изменения сознания, слабость, онемение или головные боли?
- Прогрессирование: Усиливается ли миоклонус со временем, или он остается стабильным?
- Влияние на повседневную жизнь: Мешает ли миоклонус выполнению обычных задач, работе, сну или общению?
Когда обращаться за медицинской помощью
Не всегда миоклонические подергивания требуют срочного вмешательства. Однако есть определенные ситуации, когда консультация невролога становится необходимой:
| Признак | Что он может означать |
|---|---|
| Внезапное появление генерализованного миоклонуса | Острое поражение нервной системы, интоксикация. |
| Подергивания, усиливающиеся со временем | Прогрессирующее неврологическое или системное заболевание. |
| МК, сопровождающийся другими неврологическими симптомами (нарушение походки, речи, координации, изменения сознания) | Серьезное заболевание головного мозга (например, эпилепсия, нейродегенеративные процессы, инсульт). |
| Миоклонус, влияющий на способность выполнять повседневные действия | Необходимость в медикаментозной коррекции или лечении основного заболевания. |
| Появление МК после начала приема нового лекарства | Лекарственный миоклонус, требующий коррекции терапии. |
| Подергивания, вызывающие боль или значительный дискомфорт | Потенциально серьезное состояние, требующее диагностики и лечения. |
Если вы заметили любой из этих признаков, не откладывайте визит к специалисту. Ранняя диагностика и своевременное лечение миоклонических подергиваний значительно улучшают прогноз и качество жизни.
Диагностика миоклонуса: полный план обследования
Правильная диагностика миоклонуса требует комплексного подхода, поскольку подергивания могут быть вызваны множеством причин. Цель обследования — не только подтвердить наличие миоклонуса, но и определить его тип, локализацию источника в нервной системе и, что самое главное, выявить основное заболевание, которое его провоцирует. Это поможет выбрать наиболее эффективную стратегию лечения.
Шаги диагностики миоклонических подергиваний
Диагностический процесс обычно включает несколько этапов, начиная с подробного сбора информации и заканчивая инструментальными исследованиями:
- Сбор анамнеза и неврологический осмотр:
- Врач подробно расспросит вас о характере подергиваний (когда начались, как часто возникают, что их провоцирует или облегчает, есть ли сопутствующие симптомы).
- Будет выяснена информация о вашем общем состоянии здоровья, принимаемых лекарствах, перенесенных заболеваниях, наличии неврологических расстройств у родственников.
- Неврологический осмотр включает оценку рефлексов, мышечной силы, координации, чувствительности, походки и психического статуса, что позволяет выявить другие неврологические нарушения.
- Электроэнцефалография (ЭЭГ):
- Этот метод регистрирует электрическую активность головного мозга. ЭЭГ помогает выявить аномальные паттерны, связанные с эпилепсией, или определить, исходят ли миоклонические подергивания из коры головного мозга. Специальные методики, такие как ЭЭГ с синхронной электромиографией (ЭМГ), позволяют точно определить временную связь между изменениями на ЭЭГ и мышечными сокращениями.
- Электромиография (ЭМГ) и исследования нервной проводимости:
- ЭМГ регистрирует электрическую активность мышц. Она позволяет отличить истинный миоклонус от других двигательных расстройств (например, тремора, тиков) и определить, происходит ли проблема в самой мышце или в нервах, которые ее иннервируют.
- Иногда используются специальные методы ЭМГ, такие как регистрация коротколатентных корковых соматосенсорных вызванных потенциалов (КСПВ), чтобы оценить возбудимость коры головного мозга.
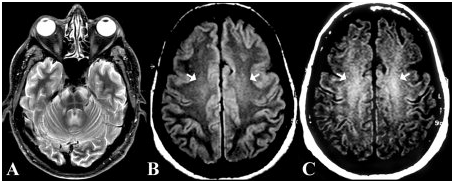
- Магнитно-резонансная томография (МРТ) головного мозга:
- МРТ создает детальные изображения структур головного мозга. Это исследование крайне важно для выявления структурных изменений, таких как опухоли, последствия инсультов, травмы, очаги демиелинизации (при рассеянном склерозе) или признаки нейродегенеративных заболеваний.
- Лабораторные исследования крови и мочи:
- Анализы могут включать биохимический анализ крови (оценка функции почек, печени, уровня глюкозы, электролитов), гормональные исследования, тесты на наличие инфекций, аутоиммунных маркеров, а также скрининг на токсины или некоторые метаболические заболевания.
- Эти исследования помогают исключить или подтвердить системные причины миоклонуса, такие как почечная или печеночная недостаточность, гипогликемия, дисбаланс электролитов или интоксикации.
- Генетические тесты:
- При подозрении на наследственные формы миоклонуса или прогрессирующие миоклонические эпилепсии могут быть назначены генетические исследования для выявления специфических мутаций.
После проведения всех необходимых исследований, на основании полученных данных, врач сможет установить точный диагноз и разработать индивидуальный план лечения миоклонуса.
Лечение миоклонуса: современные подходы и терапия
Лечение миоклонуса всегда направлено на устранение его первопричины, если это возможно, и облегчение симптомов. Поскольку миоклонус может быть как физиологическим, так и патологическим, подход к терапии индивидуален. Важно понимать, что не всегда удается полностью избавиться от подергиваний, особенно при хронических заболеваниях, но современные методы позволяют значительно улучшить качество жизни и контролировать проявления миоклонуса.
Терапия основного заболевания
Самый эффективный подход к лечению миоклонических подергиваний – это устранение или контроль основного заболевания, которое их вызывает. Это может включать:
- Коррекция метаболических нарушений: При почечной или печеночной недостаточности проводится соответствующая терапия (диализ, трансплантация органов, детоксикация). При электролитных нарушениях — восполнение дефицита или коррекция избытка электролитов.
- Лечение инфекций: Антибиотики, противовирусные или противогрибковые препараты при инфекционных поражениях нервной системы.
- Отмена или изменение лекарственных препаратов: Если миоклонус вызван медикаментами, врач может скорректировать дозировку или заменить препарат на альтернативный.
- Хирургическое лечение: В случаях, когда причиной миоклонуса является опухоль головного мозга или другая структурная патология, может потребоваться хирургическое вмешательство.
- Противосудорожная терапия: При эпилептических формах миоклонуса назначаются противоэпилептические препараты, которые стабилизируют электрическую активность мозга.
Симптоматическое лечение миоклонуса
Если первопричину невозможно устранить или она требует длительного лечения, применяются методы, направленные на уменьшение выраженности миоклонических подергиваний:
- Медикаментозное лечение:
- Бензодиазепины: Клоназепам является одним из наиболее часто используемых препаратов для контроля миоклонуса. Он действует как депрессант центральной нервной системы, снижая возбудимость нейронов.
- Противосудорожные препараты: Вальпроат натрия, леветирацетам, пирацетам, топирамат и другие могут быть эффективны, особенно при эпилептических и кортикальных формах миоклонуса. Они помогают модулировать активность нервных клеток.
- Антидепрессанты: Некоторые антидепрессанты могут использоваться для уменьшения миоклонуса, особенно в сочетании с другими препаратами.
- Другие препараты: В зависимости от типа миоклонуса могут применяться специфические лекарства, например, для лечения болезни Паркинсона, если миоклонус является ее компонентом.
- Немедикаментозные методы и реабилитация:
- Лечебная физкультура (ЛФК) и физиотерапия: Могут помочь улучшить координацию, укрепить мышцы и снизить выраженность подергиваний, улучшая контроль над телом.
- Эрготерапия: Помогает адаптироваться к повседневной жизни с миоклонусом, обучая пациента новым способам выполнения задач.
- Психологическая поддержка: Работа с психологом может помочь справиться с тревогой, стрессом и депрессией, которые могут усиливать миоклонус или быть его следствием.
- Модификация образа жизни: Избегание провоцирующих факторов (например, кофеин, алкоголь, недостаток сна), поддержание здорового образа жизни и управление стрессом могут помочь уменьшить частоту и интенсивность подергиваний.
Лечение миоклонуса всегда подбирается индивидуально врачом-неврологом, исходя из типа миоклонуса, его причины, тяжести симптомов и общего состояния пациента. Регулярное наблюдение и коррекция терапии необходимы для достижения наилучших результатов.
Профилактика миоклонуса и улучшение качества жизни
Полностью предотвратить миоклонус, особенно если он вызван генетическими или серьезными неврологическими заболеваниями, не всегда возможно. Однако существуют меры, которые могут помочь снизить риск его возникновения, контролировать симптомы и значительно улучшить качество жизни людей, сталкивающихся с этим состоянием. Цель профилактики и поддерживающей терапии — минимизировать воздействие миоклонических подергиваний на повседневную деятельность и эмоциональное состояние.
Общие рекомендации по снижению риска миоклонуса
Некоторые формы миоклонуса, особенно те, что связаны с системными нарушениями или образом жизни, можно предотвратить или минимизировать их проявления, следуя общим рекомендациям:
- Контроль хронических заболеваний: Регулярное наблюдение и лечение таких состояний, как сахарный диабет, почечная и печеночная недостаточность, могут предотвратить развитие миоклонуса, связанного с метаболическими нарушениями.
- Осторожное применение лекарств: Всегда следуйте указаниям врача при приеме медикаментов. Не занимайтесь самолечением и сообщайте доктору о всех принимаемых препаратах, чтобы избежать лекарственного миоклонуса.
- Избегание токсинов: По возможности избегайте контакта с известными нейротоксинами, тяжелыми металлами, пестицидами.
- Здоровый образ жизни: Сбалансированное питание, достаточный сон и умеренная физическая активность способствуют общему укреплению нервной системы и могут помочь предотвратить физиологический миоклонус, связанный со стрессом или переутомлением.
- Управление стрессом: Хронический стресс и тревога могут усиливать многие неврологические симптомы, включая миоклонус. Практики релаксации, медитация, йога или дыхательные упражнения могут быть полезны.
Улучшение качества жизни при миоклонусе
Жизнь с миоклонусом может быть непростой, но существуют стратегии, которые помогают адаптироваться и поддерживать высокий уровень качества жизни:
- Соблюдение режима лечения: Строгое выполнение всех рекомендаций невролога по приему медикаментов является основой контроля симптомов. Не прерывайте лечение и не изменяйте дозировку самостоятельно.
- Адаптация окружающей среды: Для людей с генерализованным миоклонусом важно обеспечить безопасность дома, убрав острые углы, скользкие покрытия, чтобы предотвратить травмы при падениях. Использование вспомогательных средств при передвижении может быть полезным.
- Эргономика и вспомогательные устройства: В повседневной жизни могут помочь эргономические приспособления для еды, письма, одевания, что уменьшит дискомфорт и облегчит выполнение задач.
- Психологическая поддержка: Работа с психологом или участие в группах поддержки могут помочь справиться с эмоциональными трудностями, вызванными миоклонусом, такими как стыд, тревога, депрессия, снижение самооценки. Общение с людьми, сталкивающимися с похожими проблемами, дает чувство общности и понимания.
- Регулярная физическая активность: Умеренные, адаптированные физические упражнения, лечебная физкультура, плавание могут улучшить мышечный тонус, координацию и общее самочувствие.
- Ведение дневника: Записывайте, когда возникают подергивания, что им предшествует, их интенсивность, длительность и любые другие сопутствующие симптомы. Этот дневник будет ценным инструментом для врача при коррекции терапии.
Важно помнить, что даже при невозможности полного излечения, комплексный подход к лечению и реабилитации миоклонических подергиваний позволяет значительно улучшить прогноз и сохранить активность человека.
Список литературы
- Гусев Е.И., Коновалов А.Н., Гехт А.Б. Неврология: Национальное руководство. – М.: ГЭОТАР-Медиа, 2018. – 880 с.
- Шток В.Н. Экстрапирамидные расстройства. – М.: МЕДпресс-информ, 2002. – 416 с.
- Скоромец А.А., Скоромец А.П., Скоромец Т.А. Топическая диагностика заболеваний нервной системы. Руководство для врачей. — 11-е изд. — СПб.: СпецЛит, 2017. — 480 с.
- Bradley, W.G., Daroff, R.B., Fenichel, G.M., Jankovic, J. (ред.). Bradley's Neurology in Clinical Practice (8-е изд.). Elsevier, 2021.
Нужна помощь врача?
Если у вас остались вопросы по теме — задайте их квалифицированному специалисту и получите ответ онлайн
Читайте далее по теме:
Читайте также
Мультисистемная атрофия: обретение контроля над симптомами и качеством жизни
Мультисистемная атрофия вызывает тревогу из-за сложной симптоматики и прогрессирующего течения. Эта статья предоставляет исчерпывающую информацию о заболевании, современных методах диагностики и стратегиях лечения, которые помогут вам и вашим близким управлять состоянием и сохранить достойное качество жизни на каждом этапе.
Эссенциальный тремор: полное руководство по причинам, симптомам и лечению
Столкнулись с неконтролируемым дрожанием рук, головы или голоса? В нашей статье вы найдете исчерпывающую информацию об эссенциальном треморе, его отличиях от других заболеваний и всех современных методах контроля симптомов.
Дистония: обретение контроля над движениями через современную диагностику и лечение
Дистония вызывает непроизвольные мышечные сокращения, нарушая привычный образ жизни. Эта статья предлагает полный обзор заболевания: от причин и симптомов до самых эффективных методов лечения, включая ботулинотерапию и DBS.
Синдром беспокойных ног: обретение контроля над симптомами и возврат к покою
Испытываете непреодолимое желание двигать ногами, особенно по вечерам, что мешает уснуть? Эта статья поможет разобраться в природе синдрома беспокойных ног, его причинах и современных подходах к лечению для восстановления качества жизни.
Синдром Туретта: современный взгляд на причины, симптомы и лечение у взрослых
Синдром Туретта проявляется неконтролируемыми тиками и может серьезно влиять на жизнь. В этой статье неврологи подробно объясняют причины заболевания, его проявления во взрослом возрасте и все доступные методы контроля симптомов.
Лекарственная дискинезия: полное руководство по причинам, симптомам и лечению
Столкнулись с непроизвольными движениями на фоне приема лекарств? Это может быть лекарственная дискинезия. Наше руководство подробно объясняет, почему она возникает, как проявляется, какие современные методы диагностики и лечения существуют для восстановления контроля над телом.
Тики у взрослых: найти причину и подобрать эффективное лечение
Столкнулись с непроизвольными подергиваниями мышц или звуками? Это могут быть тики. Наша статья поможет разобраться в причинах этого состояния, понять, какие обследования нужны и какие современные методы лечения предлагает неврология для возвращения контроля.
Миастения гравис: найти причину мышечной слабости и вернуть контроль над телом
Вы столкнулись с необъяснимой мышечной усталостью, двоением в глазах или трудностями при глотании. Эта статья поможет разобраться в причинах, симптомах и современных методах лечения миастении гравис, чтобы вы могли составить план действий и улучшить качество жизни.
Синдром Гийена-Барре: обрести контроль над телом и вернуться к жизни
Столкнулись с внезапной мышечной слабостью и онемением? Это может быть синдром Гийена-Барре. Наша статья предоставляет полный обзор причин, симптомов, современных методов диагностики и эффективного лечения этого состояния.
Хроническая воспалительная демиелинизирующая полинейропатия: руководство
Установлен диагноз хроническая воспалительная демиелинизирующая полинейропатия и вы ищете полную информацию? В этой статье мы подробно разбираем причины, симптомы, современные методы диагностики и лечения, а также даем прогноз и советы по реабилитации.
Вопросы неврологам
Сосуды головного мозга
Головные боли слабое головокружен. Шум в ушах
онемение верхней губу и , боль в челюсте и глазнице слева
Онемение верхней губы ,ломота в челюсте под глазом, онеиение...
Уточнения диагноза
Могут ли с миелопатией отправить служить
Врачи неврологи
Невролог, Детский хирург
Тернопольский медицинский институт
Стаж работы: 49 л.
Невролог, Терапевт
НижГМА
Стаж работы: 8 л.
Невролог, Детский невролог
Новосибирский государственный медицинский университет
Стаж работы: 63 л.
