Содержание

Астроцитома — это один из наиболее распространенных типов первичных опухолей головного мозга, который развивается из астроцитов, звездчатых клеток центральной нервной системы. Эти клетки выполняют поддерживающую функцию, обеспечивая питание и защиту нейронов. Столкнувшись с таким диагнозом, человек и его близкие испытывают растерянность и страх. Важно понимать, что астроцитарные опухоли очень разнообразны: от медленнорастущих и относительно доброкачественных до крайне агрессивных. Современная медицина обладает широким арсеналом методов для диагностики и лечения этого заболевания, а тактика ведения пациента всегда подбирается строго индивидуально, основываясь на множестве факторов.
Цель этого материала — предоставить структурированную и понятную информацию о заболевании. Здесь мы разберем, какими бывают эти новообразования, как их диагностируют, какие методы лечения существуют и от чего зависит прогноз. Понимание этих аспектов поможет вам и вашим близким более осознанно проходить все этапы диагностики и лечения, задавать правильные вопросы врачу и принимать взвешенные решения.
Что такое астроцитома и почему она возникает
Астроцитома представляет собой глиальную опухоль, то есть новообразование, происходящее из глиальных клеток центральной нервной системы (ЦНС), которые окружают и поддерживают нейроны. Конкретно этот тип опухоли развивается из астроцитов. Они могут возникать в любом отделе головного или спинного мозга, но чаще всего локализуются в больших полушариях головного мозга у взрослых и в мозжечке и стволе мозга у детей.
Один из главных вопросов, который беспокоит пациентов: «Почему это случилось со мной?». На сегодняшний день точные причины развития большинства астроцитарных опухолей остаются неизвестными. Это не то заболевание, которое можно было бы предотвратить изменением образа жизни. В подавляющем большинстве случаев опухоль возникает спорадически, то есть случайно, из-за мутаций в одной из клеток. Однако существуют факторы, которые могут повышать риск:
- Генетические синдромы. Некоторые редкие наследственные заболевания, такие как нейрофиброматоз 1-го типа, синдром Ли — Фраумени или туберозный склероз, связаны с повышенным риском развития глиом, включая астроцитому.
- Ионизирующее излучение. Доказано, что воздействие высоких доз радиации, например при лучевой терапии по поводу другого онкологического заболевания в области головы, может увеличить риск возникновения опухолей мозга в будущем.
Важно подчеркнуть, что такие факторы, как использование мобильных телефонов или проживание вблизи линий электропередачи, на сегодняшний день не имеют научно доказанной связи с развитием астроцитом. В большинстве случаев установить конкретную причину невозможно, и не следует винить себя или внешние обстоятельства в возникновении болезни.
Классификация астроцитом: от доброкачественных до агрессивных форм
Ключевым фактором, определяющим тактику лечения и прогноз, является степень злокачественности опухоли. Всемирная организация здравоохранения (ВОЗ) выделяет четыре степени (Grades) для астроцитом, которые отражают скорость их роста и способность проникать в окружающие ткани. Понимание этой классификации помогает осознать, с каким именно типом новообразования предстоит бороться.
Для удобства восприятия основные типы астроцитарных опухолей и их характеристики представлены в таблице.
| Степень (Grade) по ВОЗ | Типичные представители | Характеристики | Темп роста |
|---|---|---|---|
| I степень (Grade 1) | Пилоцитарная астроцитома | Четко отграниченная, доброкачественная опухоль. Чаще встречается у детей и молодых людей. | Очень медленный |
| II степень (Grade 2) | Диффузная астроцитома (IDH-мутантная) | Опухоль с нечеткими границами, прорастает в окружающие ткани. Склонна к медленному росту, но со временем может трансформироваться в более злокачественную форму. | Медленный |
| III степень (Grade 3) | Анапластическая астроцитома (IDH-мутантная) | Злокачественная опухоль с более быстрым ростом и выраженной клеточной атипией. | Относительно быстрый |
| IV степень (Grade 4) | Глиобластома (IDH-дикий тип) | Наиболее агрессивная и распространенная форма. Характеризуется очень быстрым, инфильтративным ростом и наличием некрозов в ткани опухоли. | Очень быстрый |
Эта классификация — не просто формальность. Определение степени злокачественности напрямую влияет на выбор методов лечения. Например, для астроцитомы 1-й степени (Grade 1) часто бывает достаточно только хирургического удаления, в то время как для опухолей 3-й и 4-й степени (Grade 3 и 4) всегда требуется комплексный подход, включающий операцию, лучевую и химиотерапию.
Симптомы астроцитарной опухоли: на что обратить внимание
Проявления заболевания напрямую зависят от двух факторов: размера новообразования и его расположения в головном мозге. Симптомы можно разделить на общемозговые, вызванные повышением внутричерепного давления, и очаговые, связанные с повреждением конкретных функциональных зон мозга.
Важно понимать, что ни один из этих симптомов не является специфичным именно для астроцитомы и может встречаться при множестве других заболеваний. Постановка диагноза возможна только после комплексного обследования.
Вот основные группы симптомов, которые могут наблюдаться:
- Головные боли. Часто это один из первых признаков. Характерны утренние головные боли, которые могут усиливаться при кашле, чихании или физическом напряжении. Они отличаются от обычных мигреней и плохо снимаются стандартными анальгетиками.
- Тошнота и рвота. Особенно по утрам, не связанная с приемом пищи. Эти симптомы также являются следствием повышенного внутричерепного давления.
- Судорожные приступы (эпилепсия). Впервые возникший эпилептический припадок у взрослого человека — это серьезный повод для немедленного обращения к врачу и проведения нейровизуализации.
- Очаговая неврологическая симптоматика. Проявления зависят от того, какую часть мозга сдавливает или разрушает астроцитарная опухоль:
- Слабость или онемение в руке или ноге с одной стороны тела.
- Нарушения речи (трудности с подбором слов, невнятное произношение).
- Проблемы со зрением (двоение, выпадение полей зрения).
- Нарушение координации, шаткость походки.
- Изменения личности, памяти, поведения, снижение критики к своему состоянию.
Современные методы диагностики: как ставят точный диагноз
Постановка точного диагноза — это многоэтапный процесс, который позволяет не только подтвердить наличие опухоли, но и определить ее тип, степень злокачественности и молекулярные характеристики. Именно от полноты диагностической информации зависит выбор оптимальной лечебной стратегии.
Основными этапами диагностики являются:
- Неврологический осмотр. Врач оценивает рефлексы, мышечную силу, координацию, чувствительность и когнитивные функции, чтобы выявить признаки поражения центральной нервной системы.
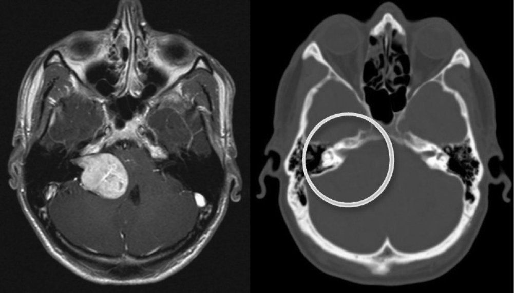
- Магнитно-резонансная томография (МРТ). Это золотой стандарт в диагностике опухолей мозга. МРТ с контрастным усилением позволяет детально визуализировать новообразование, определить его размеры, точное расположение и отношение к важным структурам мозга. Контрастное вещество накапливается в участках с нарушенным гематоэнцефалическим барьером, что характерно для многих опухолей.
- Биопсия и гистологическое исследование. Окончательный диагноз ставится только после изучения образца опухолевой ткани под микроскопом. Биопсия может быть проведена как отдельная процедура (стереотаксическая биопсия) или во время операции по удалению опухоли. Гистологическое исследование позволяет определить клеточный состав и степень злокачественности астроцитомы.
- Молекулярно-генетический анализ. Это современный и крайне важный этап диагностики. Определение специфических мутаций (например, в генах IDH1/IDH2) и других маркеров в опухолевых клетках позволяет получить «молекулярный паспорт» новообразования. Эта информация имеет огромное прогностическое значение и помогает персонализировать лечение, например предсказать чувствительность опухоли к определенным видам химиотерапии.
Основные подходы к лечению астроцитомы
Лечение астроцитарной опухоли практически всегда комплексное и требует участия команды специалистов: нейрохирурга, радиолога (лучевого терапевта) и химиотерапевта (онколога). Стратегия лечения выстраивается на основе типа опухоли, ее расположения, размера, а также возраста и общего состояния пациента.
Ключевыми методами лечения являются:
- Хирургическое вмешательство. Цель операции — максимально безопасное удаление опухоли. Почему это важно? Во-первых, это уменьшает сдавление мозга и снимает симптомы. Во-вторых, позволяет получить достаточное количество материала для точной гистологической и молекулярной диагностики. В-третьих, объем удаления опухоли напрямую влияет на прогноз: чем полнее удалена опухоль, тем лучше долгосрочные результаты. Современная нейрохирургия использует передовые технологии (нейронавигацию, интраоперационную МРТ, флуоресцентную диагностику), чтобы сделать операцию максимально эффективной и безопасной.
- Лучевая терапия. Этот метод использует высокоэнергетическое излучение для уничтожения оставшихся после операции опухолевых клеток или для контроля роста неоперабельных опухолей. Лучевая терапия является стандартным компонентом лечения астроцитом высокой степени злокачественности (3-й и 4-й степени, Grade 3–4) и часто применяется для опухолей 2-й степени (Grade 2) после частичного удаления.
- Химиотерапия. Применение лекарственных препаратов, которые разрушают раковые клетки или останавливают их рост. Золотым стандартом для лечения злокачественных астроцитарных опухолей является препарат темозоломид. Его обычно назначают одновременно с лучевой терапией, а затем продолжают в виде поддерживающих курсов.
- Таргетная и иммунотерапия. Это более новые и перспективные направления. Таргетные препараты целенаправленно воздействуют на специфические молекулярные мишени в опухолевых клетках. Иммунотерапия направлена на активацию собственной иммунной системы пациента для борьбы с опухолью. Эти методы пока не являются стандартом первой линии для всех астроцитом, но активно изучаются в клинических исследованиях.
Прогноз при астроцитоме: факторы, влияющие на исход
Вопрос о прогнозе — один из самых сложных и волнующих. Важно понимать, что прогноз — это статистический показатель, который описывает общие тенденции для большой группы пациентов, а не предсказывает судьбу конкретного человека. Индивидуальный исход может значительно отличаться. Прогноз зависит от множества факторов, и современная онкология стремится улучшить его для каждого пациента.
Ключевые факторы, влияющие на прогноз:
- Степень злокачественности опухоли. Это самый важный фактор. Прогноз для астроцитомы 1-й степени (Grade 1) значительно лучше, чем для опухоли 4-й степени (Grade 4, глиобластомы).
- Молекулярно-генетические маркеры. Наличие мутации в гене IDH является благоприятным прогностическим признаком даже для опухолей высокой степени злокачественности.
- Возраст пациента. Более молодые пациенты, как правило, имеют лучший прогноз.
- Общее состояние здоровья. Сохранность неврологических функций и общее физическое состояние до начала лечения играют важную роль.
- Объем хирургического удаления. Максимально полное и безопасное удаление опухоли коррелирует с увеличением продолжительности жизни.
- Ответ на проводимое лечение. Эффективность лучевой и химиотерапии также вносит существенный вклад в итоговый результат.
Даже при самых серьезных формах заболевания современное комплексное лечение позволяет значительно продлить жизнь и сохранить ее качество. Главное — это строгое следование плану лечения и регулярное наблюдение у специалистов.
Жизнь после лечения: реабилитация и наблюдение
Завершение основного этапа лечения (операции, лучевой и химиотерапии) — это не конец пути, а начало нового важного этапа. Цели этого периода — восстановление утраченных функций, поддержание качества жизни и своевременное выявление возможного рецидива опухоли.
Процесс восстановления включает в себя:
- Реабилитацию. В зависимости от имеющегося неврологического дефицита, пациенту может потребоваться помощь физиотерапевта (для восстановления движений), эрготерапевта (для восстановления бытовых навыков) или логопеда (для восстановления речи). Нейропсихологическая реабилитация помогает справиться с когнитивными нарушениями (проблемы с памятью, вниманием).
- Регулярное наблюдение. После лечения все пациенты находятся под диспансерным наблюдением. Это включает в себя периодические визиты к онкологу и нейрохирургу, а также регулярное выполнение контрольных МРТ головного мозга. Частота обследований определяется индивидуально, но обычно в первые годы после лечения МРТ проводят каждые 3–6 месяцев. Это необходимо для того, чтобы как можно раньше заметить признаки продолженного роста опухоли и вовремя начать лечение.
- Психологическая поддержка. Диагноз и длительное лечение — это серьезное испытание для психики. Работа с психологом или психотерапевтом, а также поддержка со стороны близких помогают справиться с тревогой, депрессией и адаптироваться к новым жизненным обстоятельствам.
Жизнь с диагнозом астроцитома требует дисциплины и внимания к своему здоровью, но современный подход к лечению и реабилитации позволяет многим пациентам вернуться к активной и полноценной жизни.
Список литературы
- Клинические рекомендации «Первичные опухоли центральной нервной системы». Ассоциация онкологов России, Ассоциация нейрохирургов России. — 2020.
- Коновалов А. Н., Потапов А. А., Лошаков В. А. и др. Нейроонкология: руководство для врачей. — М.: АНМИ, 2012. — 936 с.
- Louis D. N., Perry A., Wesseling P. et al. The 2021 WHO Classification of Tumors of the Central Nervous System: a summary // Neuro-Oncology. — 2021. — Vol. 23 (8). — P. 1231–1251.
- Stupp R., Mason W. P., van den Bent M. J. et al. Radiotherapy plus concomitant and adjuvant temozolomide for glioblastoma // New England Journal of Medicine. — 2005. — Vol. 352 (10). — P. 987–996.
- Greenberg M. S. Handbook of Neurosurgery. 9th ed. — Thieme, 2019. — 1864 p.
- National Comprehensive Cancer Network (NCCN) Clinical Practice Guidelines in Oncology: Central Nervous System Cancers. — Version 1.2023.
Нужна помощь врача?
Если у вас остались вопросы по теме — задайте их квалифицированному специалисту и получите ответ онлайн
Читайте далее по теме:
Читайте также
Шваннома: полное руководство по опухоли, диагностике и лечению
Обнаружили шванному и ищете достоверную информацию? Эта статья поможет разобраться, что это за опухоль, почему она возникает, какие симптомы вызывает и какие современные методы диагностики и лечения существуют.
Шов нерва (нейрорафия): полное руководство по восстановлению функции конечности
Если вы столкнулись с травмой нерва и потерей чувствительности или движения, важно знать о возможностях нейрохирургии. Эта статья подробно объясняет все о шве нерва: от видов операции до этапов реабилитации и прогноза.
Эндоскопическая нейрохирургия как стандарт лечения заболеваний мозга и позвоночника
Малоинвазивная эндоскопическая нейрохирургия предлагает щадящее лечение опухолей, гидроцефалии и грыж дисков. Статья раскрывает суть метода, его преимущества, показания и этапы, помогая понять перспективы восстановления.
Хирургическое лечение сколиоза: полное руководство для принятия решения
Если консервативные методы не помогли, операция может стать решением проблемы сколиоза. В этой статье мы подробно разбираем показания, виды современных операций, риски и процесс восстановления для вашего спокойствия.
Корпэктомия: полное руководство по операции для восстановления позвоночника
Если вам назначили корпэктомию, страх и неизвестность могут стать главными врагами. Эта статья подробно объясняет все этапы операции, от показаний и подготовки до реабилитации, помогая вам обрести уверенность.
Эпендимома: полное руководство по диагностике, лечению и прогнозу выживаемости
Столкнулись с диагнозом эпендимома и ищете достоверную информацию о заболевании? В этой статье мы подробно разбираем природу опухоли, современные методы диагностики, все доступные варианты нейрохирургического лечения и факторы, влияющие на прогноз.
Краниофарингиома: полное руководство по диагностике и нейрохирургическому лечению
Если вам или вашему близкому поставили диагноз краниофарингиома, важно понимать все аспекты заболевания. В статье подробно описаны современные методы диагностики, варианты хирургического лечения и прогнозы от нейрохирургов.
Хордома: полное руководство по редкой опухоли костей черепа и позвоночника
Столкнулись с диагнозом хордома или подозреваете ее наличие? Эта статья предоставит исчерпывающую информацию о природе этой опухоли, причинах ее возникновения и характерных симптомах. Вы получите полное представление о современных методах диагностики, включая МРТ и биопсию, а также о ключевых подходах к лечению – от хирургии до протонной терапии.
Лобэктомия при эпилепсии: полное руководство по операции и жизни после нее
Если приступы эпилепсии не поддаются лечению препаратами, операция может стать решением. Эта статья подробно объясняет все этапы лобэктомии, от подготовки и самой процедуры до восстановления и долгосрочных прогнозов.
Функциональная гемисферэктомия: шанс на жизнь без приступов эпилепсии
Когда лекарства не помогают справиться с тяжелой эпилепсией, операция может стать единственным выходом. В этой статье мы подробно объясняем суть функциональной гемисферэктомии, кому она показана и какие результаты дает.
Вопросы нейрохирургам
Все консультации нейрохирургов
Аневризма
Какие запреты после аневризмы головного мозга, мой муж инженер...
Лучевая терапия
Здравствуйте, менингиома за полгода выросла на 4 мм. Была 1,4 стала...
Краниостеноз /микроцефалия
Здравствуйте! На данный момент ребёнку 1год и 1 месяц. Голова...
Врачи нейрохирурги
Нейрохирург
Кыргызская государственная медицинская академия
Стаж работы: 38 л.
Нейрохирург, Хирург
Кировский государственный медицинский университет
Стаж работы: 24 л.
Нейрохирург
Красноярский государственный медицинский университет
Стаж работы: 25 л.
