Содержание

Синдактилия у детей — это врожденная аномалия развития, при которой наблюдается полное или неполное сращение двух или нескольких пальцев кистей или стоп. Эта особенность формируется еще во внутриутробном периоде и, как правило, диагностируется сразу после рождения ребенка. Хотя вид сросшихся пальчиков может вызвать у родителей сильное беспокойство, важно понимать, что современная детская ортопедия располагает эффективными методами коррекции, которые позволяют полностью восстановить нормальную анатомию и функцию конечности, обеспечивая ребенку полноценное развитие и активную жизнь.
Что такое синдактилия и почему она возникает
Синдактилия представляет собой один из наиболее частых врожденных пороков развития конечностей. В норме закладка кисти и стопы у плода происходит на 4–5-й неделе беременности в виде сплошной пластинки. Затем, примерно к 8-й неделе, между пальцами формируются промежутки, и они разделяются. Если этот процесс нарушается, пальцы остаются соединенными. Это и есть механизм возникновения синдактилии.
Причины, приводящие к такому нарушению, не всегда удается установить. Однако специалисты выделяют несколько основных факторов:
- Наследственная предрасположенность. Примерно в 20–30% случаев синдактилия передается по наследству. Если у одного из родителей или близких родственников была такая аномалия, риск ее появления у ребенка возрастает.
- Генетические синдромы. Сращение пальцев может быть одним из симптомов более сложных генетических заболеваний, таких как синдром Аперта, синдром Поланда или синдром Карпентера. В таких случаях аномалия конечностей сочетается с другими пороками развития.
- Воздействие неблагоприятных факторов на плод. Прием некоторых лекарственных препаратов, инфекционные заболевания (например, грипп или краснуха), воздействие ионизирующего излучения или химических веществ в первом триместре беременности могут нарушить нормальное формирование конечностей.
- Идиопатические случаи. В большинстве ситуаций точную причину установить не удается. Аномалия возникает спорадически, без видимых предпосылок.
Важно понимать, что возникновение изолированной синдактилии не является виной родителей. Это сбой в сложнейшем процессе внутриутробного развития, который в большинстве случаев не связан с образом жизни или действиями матери во время беременности.
Классификация синдактилии: какие бывают формы сращения
Для точного планирования лечения врачам необходимо определить тип и сложность сращения. Существует несколько классификаций, которые помогают охарактеризовать каждую конкретную ситуацию. Для лучшего понимания разнообразия форм заболевания специалисты используют следующую классификацию:
| Признак классификации | Виды синдактилии | Краткое описание |
|---|---|---|
| По типу соединения тканей | Кожная (перепончатая) и костная | При кожной форме пальцы соединены только кожей и мягкими тканями. При костной форме имеется сращение костей (фаланг). |
| По протяженности сращения | Полная и неполная (базальная) | При полной форме пальцы сращены на всем протяжении до ногтевых фаланг. При неполной — только у основания. |
| По наличию других аномалий | Простая и сложная | Простая форма — это сращение нормально развитых пальцев. Сложная сочетается с деформацией костей, суставов, сухожилий или сосудисто-нервных пучков. |
Наиболее часто встречается простая кожная синдактилия между третьим и четвертым пальцами кисти. Определение точной формы аномалии имеет решающее значение для выбора тактики хирургического вмешательства.
Как проводится диагностика заболевания
Диагностика синдактилии обычно не вызывает затруднений и начинается с визуального осмотра ребенка детским ортопедом сразу после рождения. Врач оценивает внешний вид кисти или стопы, определяет количество сросшихся пальцев и степень их подвижности. Однако для полноценной картины и планирования лечения простого осмотра недостаточно. Комплексное обследование включает несколько важных этапов.
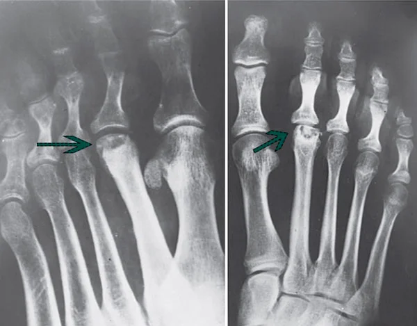
Основным методом инструментальной диагностики является рентгенография кистей или стоп в двух проекциях. Рентгеновские снимки позволяют врачу получить ключевую информацию:
- Определить форму синдактилии. На снимке четко видно, есть ли сращение костей, что позволяет отличить кожную форму от костной.
- Оценить состояние костей и суставов. Врач может выявить сопутствующие деформации, недоразвитие фаланг или аномалии суставов, что характерно для сложных форм.
- Спланировать операцию. Рентгенограмма дает хирургу точное представление о том, где и как нужно будет проводить разделение костных структур.
В некоторых случаях, особенно при подозрении на сложные генетические синдромы, может потребоваться консультация генетика. Также для оценки состояния сосудов и нервов иногда назначают ультразвуковую допплерографию. Это помогает хирургу во время операции избежать повреждения важных анатомических структур.
Когда и зачем необходимо хирургическое лечение
Основным и единственным эффективным методом лечения синдактилии является хирургическое вмешательство. Консервативные методы, такие как массаж или разработка, не могут устранить сращение. Цель операции — не только косметическая коррекция, но и, что более важно, восстановление полноценной функции кисти или стопы. Разделение пальцев необходимо для обеспечения правильного роста костей, предотвращения вторичных деформаций и формирования нормальных хватательных и опорных функций.
Оптимальные сроки проведения операции определяются индивидуально. Чаще всего хирургическое лечение рекомендуют проводить в возрасте от 6 месяцев до 2–3 лет. Выбор времени зависит от нескольких факторов:
- Тип синдактилии. Сложные формы, особенно с костным сращением или затрагивающие крайние пальцы (первый или пятый), требуют более раннего вмешательства, чтобы предотвратить деформацию растущей кисти.
- Общее состояние ребенка. Операция проводится под общим наркозом, поэтому важно, чтобы ребенок был соматически здоров и достаточно окреп для перенесения анестезии.
- Размер пальцев. У очень маленьких детей пальчики настолько малы, что технически выполнить операцию с хорошим косметическим результатом сложнее. Ожидание позволяет тканям подрасти.
Откладывать операцию на более поздний возраст не рекомендуется, так как с ростом ребенка сросшиеся пальцы могут искривляться, а в суставах могут развиться контрактуры (стойкое ограничение движений), что значительно усложнит лечение и реабилитацию.
Основные этапы оперативного вмешательства
Операция по разделению пальцев (устранению синдактилии) — это сложное микрохирургическое вмешательство, требующее от хирурга высокой точности. Она проводится под общей анестезией и включает несколько ключевых этапов. Понимание этих этапов помогает родителям снизить тревогу и подготовиться к лечению.
В ходе операции хирург выполняет следующие действия:
- Разметка и разрезы. На кожу наносится точная разметка будущих разрезов. Чаще всего используются зигзагообразные разрезы (метод Z-пластики). Такая техника позволяет сформировать кожные лоскуты, которые после разделения пальцев закрывают боковые поверхности без натяжения. Это крайне важно для профилактики образования грубых рубцов и стягивания кожи в будущем.
- Разделение тканей. Хирург аккуратно, слой за слоем, разделяет мягкие ткани, выделяя сосуды и нервы. Если имеется костное сращение, производится его рассечение (остеотомия).
- Формирование межпальцевого промежутка. Из кожных лоскутов формируется новая межпальцевая комиссура — естественное углубление у основания пальцев.
- Кожная пластика. После разделения пальцев на их боковых поверхностях практически всегда возникает дефицит кожи. Для его закрытия используется свободная кожная пластика. Небольшой участок кожи (обычно из паховой складки или с предплечья) пересаживается на раневые поверхности. Это обеспечивает полноценное заживление и предотвращает развитие контрактур.
- Наложение швов и повязки. Накладываются тонкие косметические швы, и на кисть (или стопу) накладывается специальная повязка и гипсовая лонгета для иммобилизации.
Длительность операции зависит от сложности случая и обычно составляет от 1,5 до 3 часов.
Реабилитация после операции: ключ к восстановлению функции
Успех лечения синдактилии зависит не только от безупречно выполненной операции, но и от грамотно проведенного восстановительного периода. Реабилитация направлена на заживление тканей, предотвращение образования рубцов и разработку полного объема движений в разделенных пальцах. Этот процесс требует терпения и активного участия родителей.
Восстановительный период можно условно разделить на несколько этапов:
- Период иммобилизации. В течение 2–4 недель после операции конечность зафиксирована в гипсовой лонгете. Это необходимо для защиты швов и приживления кожного трансплантата. В это время важно следить за состоянием повязки и общим самочувствием ребенка.
- Ранний восстановительный период. После снятия гипса начинается активная реабилитация. Она включает в себя комплекс мероприятий, таких как лечебная физкультура (ЛФК). Специалист показывает родителям комплекс упражнений для пассивной и активной разработки движений в суставах пальцев. Регулярные занятия помогают предотвратить тугоподвижность.
- Физиотерапия и массаж. Для уменьшения отека, улучшения кровообращения и размягчения послеоперационных рубцов могут быть назначены курсы магнитотерапии, электрофореза с рассасывающими препаратами, а также легкий массаж.
- Применение противорубцовых средств. После полного заживления ран врач может порекомендовать использование специальных силиконовых пластырей или гелей для формирования тонких, эластичных и незаметных рубцов.
Основу восстановления составляет ЛФК. Игровые упражнения с пластилином, мелкими игрушками, пальчиковыми красками не только эффективны, но и интересны для ребенка. Комплексная и регулярная лечебная физкультура — залог достижения максимального функционального результата.
Прогноз и жизнь ребенка после лечения синдактилии
При своевременном и качественном хирургическом лечении, а также полноценной реабилитации прогноз при большинстве форм синдактилии благоприятный. Современные хирургические методики позволяют добиться отличных функциональных и косметических результатов. После завершения курса реабилитации разделенные пальцы полностью выполняют свои функции, что позволяет ребенку осваивать все необходимые навыки: держать предметы, писать, рисовать, играть на музыкальных инструментах и заниматься спортом.
В большинстве случаев после одной операции удается достичь желаемого результата. Однако при сложных, сочетанных формах синдактилии могут потребоваться повторные корригирующие вмешательства по мере роста ребенка. Послеоперационные рубцы со временем бледнеют и становятся малозаметными. Ребенок, прошедший лечение в раннем возрасте, как правило, не помнит об операции и не испытывает никаких психологических или физических ограничений в будущем. Родителям важно обеспечить ребенку позитивный настрой и не акцентировать внимание на перенесенной операции, позволяя ему вести жизнь обычного, здорового и активного ребенка.
Список литературы
- Синдактилия кисти у детей. Клинические рекомендации / Ассоциация травматологов-ортопедов России. — 2021.
- Волков М. В., Дедова В. Д. Детская ортопедия. — М.: Медицина, 1980. — 336 с.
- Детская хирургия: национальное руководство / под ред. Ю. Ф. Исакова, А. Ф. Дронова. — М.: ГЭОТАР-Медиа, 2009. — 1168 с.
- Баиндурашвили А. Г., Агранович О. Е. Врожденная и приобретенная патология кисти у детей. — СПб.: ИнформМед, 2018. — 560 с.
- Green's Operative Hand Surgery / Edited by Scott W. Wolfe, William C. Pederson, Robert N. Hotchkiss, Scott H. Kozin. 7th ed. — Philadelphia: Elsevier, 2017. — 2248 p.
- Lovell and Winter's Pediatric Orthopaedics / Edited by Raymond T. Morrissy, Stuart L. Weinstein. 7th ed. — Philadelphia: Lippincott Williams & Wilkins, 2014. — Vol. 2. — 1000 p.
Нужна помощь врача?
Если у вас остались вопросы по теме — задайте их квалифицированному специалисту и получите ответ онлайн
Читайте далее по теме:
Читайте также
Рахитические деформации костей у детей: как вовремя заметить и вылечить
Ваш ребенок неправильно ставит ножки или у него изменилась форма грудной клетки? Это могут быть признаки рахита. В статье детский ортопед подробно объясняет, какие бывают деформации, как их диагностируют и лечат.
Болезнь Блаунта у детей: обрести ровные ноги и уверенность в движении
Если у ребенка прогрессирует искривление голеней, важно понять причину. Эта статья подробно объясняет, что такое болезнь Блаунта, как она диагностируется и какие современные методы лечения помогают полностью исправить деформацию.
Дискоидный мениск у детей: полное руководство для родителей по лечению
Если у ребенка щелкает или болит колено, причиной может быть дискоидный мениск. Наша статья поможет родителям понять суть этой врожденной аномалии, разобраться в современных методах диагностики и вариантах лечения.
Восстановление здоровья колена ребенка при рассекающем остеохондрите
Если у ребенка диагностирован рассекающий остеохондрит коленного сустава, важно понимать полную картину заболевания. Наша статья объясняет причины, симптомы, методы диагностики и все варианты лечения, чтобы вы могли принять верное решение.
Врожденный ложный сустав голени у детей: найти решение и вернуть подвижность
Ваш ребенок столкнулся с диагнозом врожденный ложный сустав голени? Эта статья поможет разобраться в причинах, симптомах и современных методах лечения. Узнайте о путях к выздоровлению и полноценной жизни вашего малыша.
Полидактилия у детей: полное руководство по диагностике и лечению лишних пальцев
Ваш ребенок родился с лишним пальцем? Это состояние называется полидактилия. Наша статья поможет разобраться в причинах, видах патологии и современных методах хирургического лечения для полного восстановления функции кисти или стопы.
Болезнь Кинбека у подростков: от причин до полного восстановления функции кисти
Ваш ребенок жалуется на боль в запястье? Это может быть болезнь Кинбека. В статье подробно разбираем причины, симптомы, современные методы диагностики и лечения, а также даем четкий план реабилитации для возвращения к активной жизни.
Болезнь Келера I у детей: как вернуть здоровье стопы и избежать осложнений
Ваш ребенок жалуется на боль в стопе и хромает? Это может быть болезнь Келера I. В нашей статье детский ортопед подробно объясняет причины, симптомы, современные методы диагностики и эффективного лечения этого заболевания.
Болезнь Келера 2 типа у детей: найти причину боли и выбрать верное лечение
Ваш ребенок жалуется на боль в стопе при ходьбе? Это может быть болезнь Келера II. Статья подробно разбирает симптомы, современные методы диагностики и все варианты лечения остеохондропатии головок плюсневых костей у детей.
Тарзальная коалиция у детей: вернуть подвижность стопы и избавиться от боли
Если ваш ребенок жалуется на постоянную боль и усталость в ногах, а стопа выглядит плоской и негибкой, возможно, дело в тарзальной коалиции. Эта статья подробно объясняет причины, симптомы и современные методы лечения сращения костей стопы, чтобы вы могли принять верное решение и помочь ребенку вернуться к активной жизни.
Вопросы детским ортопедам
Все консультации детских ортопедов
Перелом ключицы у ребенка 4 лет
Здравствуйте. Ребенок 4 лет сломал ключицу 22.08 ходил сначала в...
Как понять, что у моего ребенка плоскостопие?
Здравствуйте. Я заметила, что мой ребенок часто жалуется на...
Несимметричные складки у младенца 5,5 месяцев
Добрый день. Ребенку 5,5 месяцев , весит 8900 кг, играется с игрушками...
Врачи детские ортопеды-травматологи
Все детские ортопеды-травматологи
Детский ортопед-травматолог, Травматолог, Ортопед
Белгородский государственный национальный исследовательский университет
Стаж работы: 12 л.
Детский ортопед-травматолог, Травматолог, Ортопед
Башкирский государственный медицинский университет
Стаж работы: 20 л.
Детский ортопед-травматолог, Травматолог, Ортопед
Пермский государственный медицинский университет им. акад. Е.А. Вагнера
Стаж работы: 5 л.
