Содержание

Что такое рахит и почему возникают рахитические деформации
Рахит — это заболевание, характеризующееся нарушением образования костной ткани и ее минерализации, что приводит к ее размягчению и изменению формы. Основной причиной развития рахита и, как следствие, рахитических деформаций костей является недостаток витамина D, который играет ключевую роль в обмене кальция и фосфора в организме. Без достаточного количества витамина D усвоение кальция и фосфора из пищи нарушается, что препятствует нормальному формированию костей. Витамин D вырабатывается в коже под воздействием ультрафиолетовых лучей солнца и поступает с пищей. Современный образ жизни, включающий малое количество времени на свежем воздухе, особенно в регионах с недостаточным солнечным светом, использование солнцезащитных средств, а также особенности питания, могут способствовать дефициту витамина D. К факторам риска также относятся недоношенность, быстрый рост в первые годы жизни, некоторые заболевания желудочно-кишечного тракта, нарушающие всасывание питательных веществ, и наследственная предрасположенность к нарушению обмена витамина D, кальция или фосфора.Как проявляются рахитические деформации костей: основные симптомы и признаки
Рахитические деформации костей проявляются не сразу, а развиваются постепенно, затрагивая различные системы организма. Важно обращать внимание на ранние, неспецифические признаки, которые могут предшествовать видимым изменениям скелета. К ранним симптомам рахита, которые часто замечают родители, относятся повышенная потливость, особенно в области головы, что может приводить к облысению затылка из-за трения о подушку. Ребенок становится более раздражительным, плохо спит, пуглив. Также может наблюдаться замедление психомоторного развития, ребенок позднее начинает держать голову, сидеть, ползать или ходить. По мере прогрессирования рахита рахитические деформации становятся более очевидными. Они могут проявляться в виде следующих изменений:- Со стороны черепа: краниотабес (размягчение костей черепа, особенно теменных и затылочных), увеличение размеров головы, выступающие лобные и теменные бугры, асимметрия черепа.
- Со стороны грудной клетки: "рахитические четки" (утолщения на границе костной и хрящевой частей ребер), "гаррисонова борозда" (втяжение грудной клетки по линии прикрепления диафрагмы), килевидная или "куриная" грудная клетка, а также вдавленная грудная клетка.
- Со стороны конечностей: утолщения в области запястий ("рахитические браслеты") и голеностопных суставов, искривление длинных трубчатых костей, чаще всего ног. В зависимости от типа деформации, ноги могут приобретать О-образную (гену варум) или Х-образную (гену вальгум) форму.
- Со стороны позвоночника: может наблюдаться искривление позвоночника – сколиоз, кифоз или лордоз, что влияет на осанку.
- Со стороны таза: сужение тазового кольца, что особенно опасно для девочек в будущем при родах.
Диагностика рахитических деформаций: что важно знать родителям и врачам
Ранняя и точная диагностика рахитических деформаций костей имеет ключевое значение для предотвращения серьезных и необратимых изменений. При подозрении на рахит или при появлении описанных симптомов следует незамедлительно обратиться к педиатру, который при необходимости направит ребенка к детскому ортопеду или эндокринологу. Процесс диагностики рахита и рахитических деформаций обычно включает в себя:- Сбор анамнеза и физический осмотр: Врач подробно расспрашивает о беременности, родах, питании ребенка, длительности пребывания на солнце, приеме витамина D, а также о наследственности. При осмотре оцениваются основные параметры физического развития, выявляются характерные внешние признаки рахита – деформации черепа, грудной клетки, конечностей, состояние мышц и связок.
- Лабораторные исследования крови:
- Уровень 25(ОН)D (25-гидроксивитамина D): Это основной показатель статуса витамина D в организме. Его низкие значения прямо указывают на дефицит.
- Уровень кальция (Са) и фосфора (Р) в крови: При рахите часто наблюдается снижение уровня фосфора, а уровень кальция может быть нормальным или слегка сниженным.
- Активность щелочной фосфатазы: Повышение этого фермента является показателем активного процесса нарушения костеобразования.
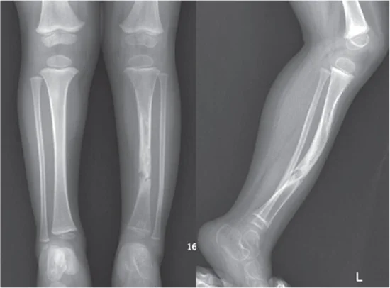
- Рентгенография костей: Наиболее информативный метод для выявления костных изменений. Рентгенограммы обычно выполняются на запястьях (области лучезапястных суставов) и/или коленных суставах. На снимках видны характерные признаки рахита: расширение метафизов, нечеткость контуров эпифизов, снижение плотности костной ткани.
Костные деформации при рахите: основные виды и особенности
Рахитические деформации костей могут затрагивать практически любую часть скелета ребенка, однако наиболее часто встречаются изменения в черепе, грудной клетке, позвоночнике и нижних конечностях. Понимание специфики каждой деформации помогает в диагностике и выборе оптимальной тактики лечения.Приводим таблицу наиболее распространенных рахитических деформаций и их характеристик:
| Вид деформации | Локализация | Характерные особенности |
|---|---|---|
| Краниотабес | Череп (затылочная и теменные кости) | Размягчение костей черепа, при надавливании слышен звук "треснувшего пергамента", появляется в раннем возрасте. |
| Рахитические четки | Ребра (костно-хрящевые соединения) | Утолщения в местах перехода костной части ребер в хрящевую, легко прощупываются, создавая вид "четок". |
| Гаррисонова борозда | Грудная клетка (нижний край) | Горизонтальное втяжение грудной клетки по линии прикрепления диафрагмы. |
| Килевидная грудная клетка | Грудная клетка | Грудная клетка выступает вперед, напоминая "киль" лодки или птичью грудь. |
| Рахитические браслеты | Запястья, голеностопные суставы | Утолщения костей в области суставов, особенно заметны на запястьях и лодыжках. |
| О-образные ноги (гену варум) | Нижние конечности | Колени развернуты наружу, голени искривлены, ноги напоминают букву "О" при сомкнутых стопах. |
| Х-образные ноги (гену вальгум) | Нижние конечности | Колени соприкасаются или сближены, а лодыжки разведены, ноги напоминают букву "Х". |
| Искривления позвоночника | Позвоночник | Развитие кифоза (сутулости), сколиоза (боковое искривление) или усиление поясничного лордоза. |
Комплексное лечение рахитических деформаций костей у детей
Лечение рахитических деформаций всегда комплексное и подбирается индивидуально в зависимости от стадии заболевания, выраженности симптомов и возраста ребенка. Основная цель — восполнить дефицит витамина D, нормализовать обмен кальция и фосфора, а также скорректировать уже возникшие костные деформации. Основные компоненты терапии включают:- Медикаментозное лечение:
- Витамин D: Назначаются препараты витамина D в лечебных дозировках, которые значительно превышают профилактические. Дозировка и длительность курса лечения определяются врачом на основании результатов анализов крови и клинической картины. Регулярный контроль уровня 25-гидроксивитамина D в крови является обязательным для коррекции дозы.
- Препараты кальция и фосфора: В некоторых случаях, особенно при выраженном снижении этих минералов, врач может назначить дополнительные препараты кальция и/или фосфора для усиления минерализации костной ткани.
- Лечебная физкультура (ЛФК) и массаж: Эти методы играют важную роль в укреплении мышечного корсета, улучшении кровообращения и стимуляции роста костей. Специальные упражнения лечебной физкультуры помогают формировать правильные изгибы позвоночника и корректировать деформации нижних конечностей. Массаж способствует улучшению тонуса мышц и общему развитию ребенка.
- Физиотерапия: Может включать ультрафиолетовое облучение (УФО), однако его применение требует осторожности и строго индивидуального подхода, так как избыточное УФ-излучение может быть вредным. Современные рекомендации отдают предпочтение адекватному приему витамина D.
- Ортопедические мероприятия: При значительных деформациях конечностей или позвоночника могут быть рекомендованы специальные ортопедические приспособления, такие как ортезы, обувь с индивидуальными стельками или корсеты. Их цель – обеспечить правильное положение конечностей и позвоночника, снизить нагрузку и предотвратить дальнейшее прогрессирование деформаций.
- Сбалансированное питание: Рацион ребенка должен быть обогащен продуктами, содержащими кальций (молочные продукты, зеленые овощи), фосфор (мясо, рыба, яйца) и витамин D (жирная рыба, яичный желток).
Роль лечебной физкультуры и массажа в коррекции рахитических деформаций
Лечебная физкультура (ЛФК) и массаж являются неотъемлемой частью комплексной реабилитации детей с рахитическими деформациями костей. Эти методы направлены на улучшение мышечного тонуса, стимуляцию кровообращения в костях и мышцах, а также на формирование правильных двигательных стереотипов и коррекцию осанки. Массаж при рахитических деформациях проводится с учетом индивидуальных особенностей ребенка и степени выраженности изменений. Он помогает снять излишнее напряжение в одних группах мышц и укрепить ослабленные другие, что способствует улучшению общего самочувствия и двигательной активности. Важно, чтобы массаж выполнял квалифицированный специалист, прошедший подготовку по детскому лечебному массажу. Занятия лечебной физкультурой подбираются инструктором ЛФК. Они включают упражнения, направленные на:- Укрепление мышц спины и брюшного пресса для формирования правильной осанки.
- Коррекцию деформаций нижних конечностей (О-образные или Х-образные ноги) через специальные упражнения, укрепляющие определенные группы мышц.
- Улучшение подвижности суставов и эластичности связок.
- Стимуляцию общего физического развития и координации движений.
Хирургическое лечение рахитических деформаций: когда необходимо и как проводится
В подавляющем большинстве случаев рахитические деформации костей успешно поддаются консервативному лечению, включающему прием витамина D, кальция, ЛФК и массаж. Однако, в редких и особо тяжелых случаях, когда консервативные методы оказываются неэффективными или деформации очень выражены, может потребоваться хирургическое вмешательство. Решение о хирургическом лечении принимается коллегиально ортопедом после достижения ребенком определенного возраста (обычно после 5-6 лет), когда костная ткань уже достаточно сформирована и есть уверенность в стабильности остаточных деформаций. Показаниями к операции могут служить:- Значительные и необратимые искривления длинных трубчатых костей (например, О-образные или Х-образные ноги), вызывающие функциональные нарушения (хромота, нарушение походки) и эстетические проблемы.
- Деформации, которые продолжают прогрессировать, несмотря на адекватное консервативное лечение.
- Риск развития серьезных осложнений, таких как ранний артроз суставов из-за неправильного распределения нагрузки.
Профилактика рахитических деформаций костей: действенные меры для здоровья ребенка
Профилактика рахитических деформаций костей является гораздо более предпочтительным и простым путем, чем лечение уже развившихся изменений. Основу профилактики составляет адекватное обеспечение организма ребенка витамином D с первых дней жизни. Ключевые меры профилактики включают:- Адекватный прием витамина D:
- С рождения: Всем доношенным здоровым детям рекомендуется ежедневный прием профилактической дозы витамина D, которая обычно составляет 1000 МЕ (международных единиц) в сутки, независимо от типа вскармливания (грудное или искусственное).
- Недоношенные дети и дети из групп риска: Требуют индивидуального подбора дозировки витамина D под контролем врача, часто с более высокими профилактическими дозами.
- Контроль уровня 25-гидроксивитамина D: При наличии факторов риска или сомнений в адекватности профилактики рекомендуется периодический контроль уровня витамина D в крови, особенно в осенне-зимний период.
- Прогулки на свежем воздухе: Солнечные лучи являются естественным источником витамина D. Регулярные прогулки, особенно в утренние и вечерние часы, когда ультрафиолетовое излучение наиболее безопасно, способствуют его выработке в коже. Важно, чтобы открытые участки кожи (лицо, кисти рук) были доступны для солнца, но при этом избегать перегрева и прямых солнечных лучей в пиковые часы.
- Сбалансированное питание: Рацион беременной женщины, кормящей матери и ребенка должен быть полноценным, содержать достаточное количество кальция и фосфора. Для детей старшего возраста в меню следует включать продукты, богатые витамином D (жирная рыба, яичный желток, печень).
- Активный образ жизни: Достаточная физическая активность способствует укреплению костей и мышц, что важно для правильного формирования скелета.
Прогноз и возможные последствия рахитических деформаций костей при отсутствии лечения
Прогноз при рахитических деформациях костей во многом зависит от своевременности диагностики и адекватности начатого лечения. При раннем выявлении и полноценной терапии большинство легких и умеренных деформаций полностью или почти полностью устраняются, и ребенок развивается нормально. Однако при отсутствии лечения или его недостаточности, рахитические деформации могут привести к серьезным и необратимым последствиям, которые повлияют на качество жизни в зрелом возрасте. Возможные долгосрочные последствия рахита и рахитических деформаций включают:- Стойкие костные деформации: Такие как О-образные или Х-образные ноги, искривления позвоночника, деформации таза и грудной клетки. Эти изменения могут вызывать нарушение походки, боли в суставах, ранний артроз из-за неправильной нагрузки, а также психологический дискомфорт из-за косметических дефектов.
- Нарушение функции внутренних органов: Деформации грудной клетки могут приводить к сдавлению легких и сердца, нарушая их функцию и повышая риск респираторных инфекций и сердечно-сосудистых проблем. Сужение таза у девочек может создать серьезные препятствия для нормального родоразрешения в будущем.
- Задержка физического развития: Дети, перенесшие тяжелый рахит, могут иметь более низкий рост и вес, чем их сверстники.
- Стоматологические проблемы: Неправильный прикус, задержка прорезывания зубов, повышенная склонность к кариесу.
- Остеопороз в зрелом возрасте: Нарушение минерализации костей в детстве увеличивает риск развития остеопороза – снижения плотности костной ткани – в старшем возрасте, что делает кости более хрупкими и подверженными переломам.
Список литературы
- Союз педиатров России. Клинические рекомендации "Рахит у детей". 2017.
- Шабалов Н.П. Детские болезни. Учебник для вузов. 8-е изд., перераб. и доп. — СПб.: СпецЛит, 2018.
- Национальная программа по оптимизации обеспеченности витамином D детей и подростков Российской Федерации. — М.: Педиатрия, 2018.
- Холик М.Ф. Vitamin D deficiency // New England Journal of Medicine. — 2007. — Т. 357, № 3. — С. 266–281.
- Прентис А. Maternal and infant vitamin D status during pregnancy and lactation // Pediatric and Perinatal Epidemiology. — 2010. — Т. 24, № 4. — С. 334–343.
Нужна помощь врача?
Если у вас остались вопросы по теме — задайте их квалифицированному специалисту и получите ответ онлайн
Читайте далее по теме:
Читайте также
Кифоз у детей и подростков: полное руководство по здоровью детской спины
Ваш ребенок начал сутулиться, и вы беспокоитесь о его осанке. В этой статье детский ортопед подробно объясняет, почему возникает кифоз, как его распознать на ранней стадии и какие современные и безопасные методы лечения помогут сохранить здоровье позвоночника.
Болезнь Шейермана-Мау: как вовремя распознать и вылечить кифоз у подростка
Если у вашего ребенка появилась сутулость и боли в спине, это может быть юношеский кифоз. В нашей статье детский ортопед подробно объясняет причины болезни Шейермана-Мау, ее стадии и все современные методы лечения.
Спондилолистез у детей: найти причину боли и вернуть ребенку активность
Ваш ребенок жалуется на боль в спине, а врачи говорят о спондилолистезе? Эта статья поможет разобраться в причинах смещения позвонков, современных методах диагностики и вариантах лечения, чтобы вы могли принять верное решение.
Артрогрипоз у детей: полное руководство для родителей по диагностике и лечению
Если вашему ребенку поставили диагноз артрогрипоз, вы ищете понятную и полную информацию о заболевании. Эта статья подробно объясняет причины, симптомы, современные методы диагностики и все варианты лечения в детской ортопедии.
Несовершенный остеогенез у детей: полный гид для родителей по лечению
Ваш ребенок столкнулся с диагнозом несовершенный остеогенез. В статье подробно разбираем причины, симптомы, современные методы диагностики и лечения, чтобы вы могли обеспечить ему полноценную и активную жизнь.
Болезнь Блаунта у детей: обрести ровные ноги и уверенность в движении
Если у ребенка прогрессирует искривление голеней, важно понять причину. Эта статья подробно объясняет, что такое болезнь Блаунта, как она диагностируется и какие современные методы лечения помогают полностью исправить деформацию.
Дискоидный мениск у детей: полное руководство для родителей по лечению
Если у ребенка щелкает или болит колено, причиной может быть дискоидный мениск. Наша статья поможет родителям понять суть этой врожденной аномалии, разобраться в современных методах диагностики и вариантах лечения.
Восстановление здоровья колена ребенка при рассекающем остеохондрите
Если у ребенка диагностирован рассекающий остеохондрит коленного сустава, важно понимать полную картину заболевания. Наша статья объясняет причины, симптомы, методы диагностики и все варианты лечения, чтобы вы могли принять верное решение.
Врожденный ложный сустав голени у детей: найти решение и вернуть подвижность
Ваш ребенок столкнулся с диагнозом врожденный ложный сустав голени? Эта статья поможет разобраться в причинах, симптомах и современных методах лечения. Узнайте о путях к выздоровлению и полноценной жизни вашего малыша.
Синдактилия у детей: полное руководство по диагностике, лечению и реабилитации
Обнаружение сросшихся пальчиков у ребенка вызывает тревогу у родителей. Эта статья подробно объясняет, что такое синдактилия, почему она возникает, какие современные и безопасные методы лечения существуют, и как помочь малышу полностью восстановить функцию руки.
Вопросы детским ортопедам
Все консультации детских ортопедов
Несимметричные складки у младенца 5,5 месяцев
Добрый день. Ребенку 5,5 месяцев , весит 8900 кг, играется с игрушками...
Перелом ключицы у ребенка 4 лет
Здравствуйте. Ребенок 4 лет сломал ключицу 22.08 ходил сначала в...
Утолщение большеберцовой кости на рентгене у ребенка 3,5
Здравствуйте, дочке 3,5 года, последние 3 недели она периодически...
Врачи детские ортопеды-травматологи
Все детские ортопеды-травматологи
Детский ортопед-травматолог, Травматолог, Ортопед
Пермский государственный медицинский университет им. акад. Е.А. Вагнера
Стаж работы: 5 л.
Детский ортопед-травматолог, Травматолог, Ортопед
Башкирский государственный медицинский университет
Стаж работы: 20 л.
Детский ортопед-травматолог, Травматолог, Ортопед
Белгородский государственный национальный исследовательский университет
Стаж работы: 12 л.
