Содержание

Болезнь Келера 2-го типа (также известная как болезнь Фрейберга — Келера) — это остеохондропатия, которая поражает головку второй, реже третьей, плюсневой кости стопы. Говоря проще, это состояние, при котором нарушается питание небольшого участка кости, что приводит к его постепенному разрушению (асептическому некрозу) и вызывает боль. Чаще всего эта проблема встречается у девочек-подростков в возрасте 10–15 лет, особенно у тех, кто активно занимается танцами или спортом. Несмотря на пугающее описание, при своевременной диагностике и правильном подходе остеохондропатия головки плюсневой кости успешно лечится, позволяя ребенку вернуться к полноценной жизни.
Что такое болезнь Фрейберга — Келера и почему она возникает у детей
В основе болезни Фрейберга — Келера лежит нарушение местного кровообращения в головке одной из плюсневых костей — длинных костей стопы, которые соединяют пальцы с основной ее частью. Из-за недостатка питания костная ткань в этой зоне ослабевает и начинает разрушаться. Это не инфекционный и не опухолевый процесс. Точная причина до конца не ясна, но выделяют комплекс факторов, которые способствуют развитию заболевания.
Вот основные предрасполагающие факторы к развитию болезни Келера 2-го типа:
- Повторяющиеся микротравмы. Постоянные нагрузки на передний отдел стопы, характерные для балета, гимнастики, бега, могут приводить к микроскопическим повреждениям сосудов, питающих кость.
- Неудобная обувь. Ношение узкой обуви, особенно на высоком каблуке, неестественно перераспределяет нагрузку на стопу, сдавливая ее передний отдел.
- Анатомические особенности. Удлиненная вторая плюсневая кость (так называемая «греческая стопа») принимает на себя большую часть нагрузки при ходьбе, что делает ее более уязвимой.
- Период быстрого роста. В подростковом возрасте кости растут быстрее, чем кровеносные сосуды, что может создавать временный дефицит кровоснабжения.
- Гормональные изменения. Перестройки в эндокринной системе в период полового созревания могут влиять на состояние сосудистой стенки и костной ткани.
Понимание этих причин важно, так как оно помогает не только в лечении, но и в профилактике. Устранение или минимизация этих факторов — ключевой шаг на пути к выздоровлению.
Как распознать симптомы остеохондропатии головки второй плюсневой кости
Заболевание обычно развивается постепенно. Родителям важно обратить внимание на жалобы ребенка, которые могут показаться незначительными на начальном этапе. Своевременное обращение к детскому ортопеду при появлении первых признаков — залог успешного лечения.
Ключевые симптомы, на которые следует обратить внимание, перечислены ниже:
- Боль в стопе. Это главный и самый первый признак. Боль локализуется у основания второго или третьего пальца, усиливается при ходьбе, беге, прыжках и при надавливании на эту область. В покое боль обычно стихает.
- Хромота. Ребенок инстинктивно старается щадить больную ногу, перенося вес тела на пятку или наружный край стопы, что приводит к изменению походки.
- Припухлость и отек. В области пораженной плюсневой кости может появиться небольшой отек, иногда сопровождающийся локальным повышением температуры кожи.
- Ограничение движений. Со временем может стать больно и трудно сгибать и разгибать палец, соединенный с пораженной костью.
- Утолщение кости. На поздних стадиях можно прощупать костное утолщение в области головки плюсневой кости.
Важно отличать эти симптомы от обычного ушиба. Боль при болезни Келера 2-го типа носит постоянный, ноющий характер и не проходит в течение нескольких дней, а наоборот, со временем может усиливаться.
Стадии развития болезни Келера 2-го типа
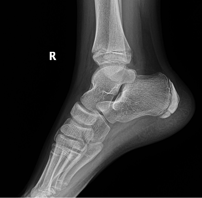
Заболевание проходит через несколько последовательных стадий, которые хорошо видны на рентгеновских снимках. Понимание стадии помогает врачу выбрать наиболее эффективную тактику лечения.
Для наглядности основные стадии и их проявления представлены в таблице.
| Стадия | Рентгенологические признаки | Клинические проявления |
|---|---|---|
| 1 (начальная) | Изменения могут отсутствовать, иногда видно расширение суставной щели. | Непостоянные боли в стопе после нагрузки. |
| 2 (импрессионный перелом) | Уплощение и уплотнение головки плюсневой кости, появление вдавленного перелома. | Боль становится постоянной, появляется хромота. |
| 3 (фрагментация) | Головка кости разделяется на несколько отдельных фрагментов. | Выраженный болевой синдром, отек, ограничение движений. |
| 4 (репарация) | Фрагменты начинают срастаться, структура кости постепенно восстанавливается. | Боль постепенно уменьшается, функция стопы начинает восстанавливаться. |
| 5 (исход) | Головка кости восстанавливает свою целостность, но остается деформированной, уплощенной. | Боль может отсутствовать, но сохраняется риск развития деформирующего артроза в будущем. |
Ключевые методы диагностики болезни Фрейберга — Келера
Для постановки точного диагноза и определения стадии болезни Фрейберга — Келера врач-ортопед использует комплексный подход. Диагностика начинается с подробного разговора и осмотра, а подтверждается инструментальными методами.
Процесс диагностики обычно включает следующие шаги:
- Сбор анамнеза и осмотр. Врач уточняет характер боли, время ее появления, связь с нагрузками. При осмотре он оценивает походку, определяет точное место болезненности, проверяет объем движений в суставах стопы и выявляет наличие отека.
- Рентгенография. Это основной и наиболее доступный метод диагностики остеохондропатии. Снимки стопы в двух проекциях (прямой и боковой) позволяют увидеть характерные изменения в головке плюсневой кости, соответствующие определенной стадии заболевания.
- Магнитно-резонансная томография (МРТ). Назначается в сомнительных случаях или на самых ранних стадиях, когда рентген еще не показывает изменений. МРТ позволяет детально оценить состояние костного мозга, хряща и окружающих мягких тканей, выявляя отек и самые начальные признаки некроза.
- Компьютерная томография (КТ). Используется реже, в основном для детальной оценки костной структуры и степени деформации на поздних стадиях заболевания, особенно при планировании хирургического вмешательства.
Основные направления консервативного лечения остеохондропатии
Цель лечения — снять боль, остановить прогрессирование разрушения кости и создать условия для ее полноценного восстановления. В подавляющем большинстве случаев при болезни Келера 2-го типа удается достичь хороших результатов с помощью консервативных методов, особенно если лечение начато на ранней стадии.
Комплекс консервативной терапии включает в себя несколько важных компонентов:
- Максимальная разгрузка стопы. Это самый важный элемент лечения. Необходимо полностью исключить бег, прыжки, длительную ходьбу. В остром периоде может потребоваться использование костылей или даже наложение гипсовой повязки (лонгеты) для иммобилизации стопы.
- Правильная обувь и ортопедические стельки. Рекомендуется носить свободную обувь на низком, устойчивом каблуке с жесткой подошвой. Индивидуально изготовленные ортопедические стельки с выкладкой поперечного свода помогают перераспределить нагрузку и разгрузить больную область.
- Медикаментозная терапия. Для снятия боли и воспаления назначаются нестероидные противовоспалительные препараты (НПВП) в виде мазей или таблеток коротким курсом. Также могут быть рекомендованы препараты, улучшающие кровообращение, и витаминно-минеральные комплексы с кальцием и витамином D.
- Физиотерапия. После стихания острой боли подключают физиотерапевтические процедуры: магнитотерапию, электрофорез, УВЧ-терапию, лазеротерапию. Эти методы помогают улучшить кровоснабжение в пораженной зоне, снять отек и ускорить процессы восстановления костной ткани.
- Лечебная физкультура (ЛФК). На этапе выздоровления назначается специальный комплекс упражнений. Лечебная физкультура направлена на укрепление мышц стопы и голени без нагрузки на пораженную область, что помогает восстановить правильную биомеханику ходьбы.
Когда необходимо хирургическое вмешательство
Операция при болезни Фрейберга — Келера требуется достаточно редко. К ней прибегают только в тех случаях, когда длительное и полноценное консервативное лечение не приносит результата, сохраняется сильный болевой синдром или развилась значительная деформация головки плюсневой кости, мешающая нормальной ходьбе.
Показаниями к операции могут служить:
- неэффективность консервативной терапии в течение 6–12 месяцев;
- постоянная, сильная боль, которая значительно снижает качество жизни;
- выраженная деформация сустава, которая приводит к ограничению движений и нарушению функции стопы;
- наличие свободных костно-хрящевых тел в суставе.
Цель хирургического лечения — устранить боль и восстановить функцию сустава. Существует несколько видов операций, и выбор конкретной методики зависит от стадии заболевания и степени разрушения кости.
Прогноз и профилактика болезни Келера 2-го типа
При своевременном обращении к врачу и строгом соблюдении всех рекомендаций прогноз при остеохондропатии головки плюсневой кости в большинстве случаев благоприятный. Болевой синдром удается купировать, а костная структура со временем восстанавливается. Тем не менее головка плюсневой кости часто остается несколько деформированной, что в отдаленном будущем может привести к развитию деформирующего артроза плюснефалангового сустава.
Профилактические меры направлены на снижение нагрузки на передний отдел стопы и особенно важны для детей из группы риска.
Вот несколько простых правил для профилактики:
- Подбор правильной обуви. Обувь должна быть по размеру, с широким носком, на небольшом каблуке и с достаточно гибкой, но упругой подошвой.
- Рациональные физические нагрузки. Важно дозировать тренировки, избегать перегрузок, правильно выполнять упражнения и использовать специальную спортивную обувь.
- Своевременное лечение плоскостопия. Коррекция деформаций стопы с помощью стелек и ЛФК помогает нормализовать биомеханику ходьбы.
- Сбалансированное питание. Достаточное потребление кальция, фосфора и витамина D необходимо для здоровья костной системы в период активного роста.
Самое главное — не игнорировать жалобы ребенка на боль в ногах. Внимательное отношение к его здоровью и своевременная консультация специалиста помогут избежать серьезных проблем и сохранить свободу движения на долгие годы.
Список литературы
- Ортопедия. Национальное руководство / под ред. С. П. Миронова, Г. П. Котельникова. — М.: ГЭОТАР-Медиа, 2013. — 944 с.
- Волков М. В., Дедова В. Д. Детская ортопедия. — М.: Медицина, 1980. — 336 с.
- Herring J. A. Tachdjian's Pediatric Orthopaedics: From the Texas Scottish Rite Hospital for Children. — 6th ed. — Elsevier, 2020. — 2944 p.
- Rockwood and Wilkins' Fractures in Children / ed. by P. M. Waters, J. M. Flynn, D. L. Skaggs, J. H. Beaty. — 9th ed. — Wolters Kluwer, 2019. — 1320 p.
- Carmont M. R. The Freiberg-Köhler syndrome // Foot and Ankle Surgery. — 2008. — Vol. 14, № 2. — P. 96–100.
Нужна помощь врача?
Если у вас остались вопросы по теме — задайте их квалифицированному специалисту и получите ответ онлайн
Читайте далее по теме:
Читайте также
Врожденный ложный сустав голени у детей: найти решение и вернуть подвижность
Ваш ребенок столкнулся с диагнозом врожденный ложный сустав голени? Эта статья поможет разобраться в причинах, симптомах и современных методах лечения. Узнайте о путях к выздоровлению и полноценной жизни вашего малыша.
Синдактилия у детей: полное руководство по диагностике, лечению и реабилитации
Обнаружение сросшихся пальчиков у ребенка вызывает тревогу у родителей. Эта статья подробно объясняет, что такое синдактилия, почему она возникает, какие современные и безопасные методы лечения существуют, и как помочь малышу полностью восстановить функцию руки.
Полидактилия у детей: полное руководство по диагностике и лечению лишних пальцев
Ваш ребенок родился с лишним пальцем? Это состояние называется полидактилия. Наша статья поможет разобраться в причинах, видах патологии и современных методах хирургического лечения для полного восстановления функции кисти или стопы.
Болезнь Кинбека у подростков: от причин до полного восстановления функции кисти
Ваш ребенок жалуется на боль в запястье? Это может быть болезнь Кинбека. В статье подробно разбираем причины, симптомы, современные методы диагностики и лечения, а также даем четкий план реабилитации для возвращения к активной жизни.
Болезнь Келера I у детей: как вернуть здоровье стопы и избежать осложнений
Ваш ребенок жалуется на боль в стопе и хромает? Это может быть болезнь Келера I. В нашей статье детский ортопед подробно объясняет причины, симптомы, современные методы диагностики и эффективного лечения этого заболевания.
Тарзальная коалиция у детей: вернуть подвижность стопы и избавиться от боли
Если ваш ребенок жалуется на постоянную боль и усталость в ногах, а стопа выглядит плоской и негибкой, возможно, дело в тарзальной коалиции. Эта статья подробно объясняет причины, симптомы и современные методы лечения сращения костей стопы, чтобы вы могли принять верное решение и помочь ребенку вернуться к активной жизни.
Полая стопа у ребенка: полное руководство по диагностике и лечению деформации
Если вы заметили, что у вашего ребенка слишком высокий свод стопы, и он жалуется на боль при ходьбе, эта статья для вас. Мы детально разбираем причины, симптомы, современные методы диагностики и эффективного лечения полой стопы у детей.
Пяточная стопа у ребенка: как вернуть ножкам правильное положение
Ваш малыш поджимает ножку к голени, а пятка смотрит наружу? Это может быть пяточная стопа, частая проблема у новорожденных. Наша статья поможет понять причины, методы диагностики и современные подходы к лечению.
Болезнь Шинца у детей: найти причину боли в пятке и вернуться к активной жизни
Ваш ребенок жалуется на боль в пятке после тренировок? Это может быть болезнь Шинца. Статья подробно объясняет причины, симптомы и современные методы лечения, которые помогут быстро снять боль и вернуться к спорту.
Врожденная лучевая косорукость у ребенка: от диагноза до полноценной жизни
Ваш ребенок родился с деформацией кисти? Врожденная лучевая косорукость требует комплексного подхода. Наша статья подробно описывает современные методы диагностики, лечения и реабилитации для полного восстановления функции руки.
Вопросы детским ортопедам
Все консультации детских ортопедов
Дисплазия
Ребенку 3 месяца поставили дисплазию,как лечить ?
Перелом ключицы у ребенка 4 лет
Здравствуйте. Ребенок 4 лет сломал ключицу 22.08 ходил сначала в...
Киста Бейкера и группа здоровья
Здравствуйте! У мальчика в 2 года обнаружили кисту Бейкера,...
Врачи детские ортопеды-травматологи
Все детские ортопеды-травматологи
Детский ортопед-травматолог, Травматолог, Ортопед
Башкирский государственный медицинский университет
Стаж работы: 20 л.
Детский ортопед-травматолог, Травматолог, Ортопед
Белгородский государственный национальный исследовательский университет
Стаж работы: 12 л.
Детский ортопед-травматолог, Травматолог, Ортопед
Пермский государственный медицинский университет им. акад. Е.А. Вагнера
Стаж работы: 5 л.
