Полезные материалы по офтальмологии - стр. 2



Трабекулэктомия глаза: все о хирургии глаукомы и реабилитации
11.12.2025
514

Трабекулэктомия глаза: все о хирургии глаукомы и реабилитации


Узнайте о трабекулэктомии — эффективном методе лечения глаукомы. Статья подробно описывает суть операции, показания, ход вмешательства и полный процесс восстановления, помогая вам понять каждый этап и…

Кератопластика: полное руководство по пересадке роговицы и восстановлению
11.12.2025
820

Кератопластика: полное руководство по пересадке роговицы и восстановлению


Изучите основные аспекты кератопластики – от показаний до послеоперационного ухода. Эта статья поможет понять, как восстановить зрение при заболеваниях роговицы и вернуться к полноценной жизни.

Витрэктомия глаза: полное руководство по операции и восстановлению зрения
11.12.2025
652

Витрэктомия глаза: полное руководство по операции и восстановлению зрения


Узнайте все о витрэктомии глаза: показания к операции, как она проводится, методы анестезии, восстановление и возможные риски. Полная информация для пациентов.

Лазерная коагуляция сетчатки: как восстановить зрение и предотвратить слепоту
11.12.2025
844

Лазерная коагуляция сетчатки: как восстановить зрение и предотвратить слепоту


Заболевания сетчатки могут привести к потере зрения. Эта статья объясняет, что такое лазерная коагуляция сетчатки, кому она показана, как проходит процедура и что ожидать для сохранения здоровья глаз.

Проба Ширмера: полное руководство по диагностике сухости глаз
11.12.2025
445

Проба Ширмера: полное руководство по диагностике сухости глаз


Если вы столкнулись с сухостью и раздражением глаз, это руководство поможет разобраться в пробе Ширмера — ключевом тесте для оценки слезопродукции. Узнайте, как точно определить причину дискомфорта и выбрать…

Электроретинография: полное руководство по диагностике заболеваний сетчатки
11.12.2025
536

Электроретинография: полное руководство по диагностике заболеваний сетчатки


Узнайте, как электроретинография помогает обнаружить патологии сетчатки глаза на ранних стадиях. Статья подробно описывает суть метода, показания к проведению и возможности диагностики различных заболеваний.

Оптическая биометрия глаза: полное понимание метода и его роли
11.12.2025
669

Оптическая биометрия глаза: полное понимание метода и его роли


Разберитесь, что такое оптическая биометрия глаза: изучите принцип работы, показания и преимущества этого исследования. Получите исчерпывающую информацию о безболезненной и точной диагностике, которая…

Пахиметрия роговицы: что это, зачем нужна и как правильно подготовиться к исследованию
11.12.2025
594

Пахиметрия роговицы: что это, зачем нужна и как правильно подготовиться к исследованию


Многие пациенты задаются вопросом, зачем измерять толщину роговицы. Эта статья подробно объясняет суть пахиметрии, ее ключевую роль в диагностике глазных заболеваний, таких как глаукома и кератоконус,…

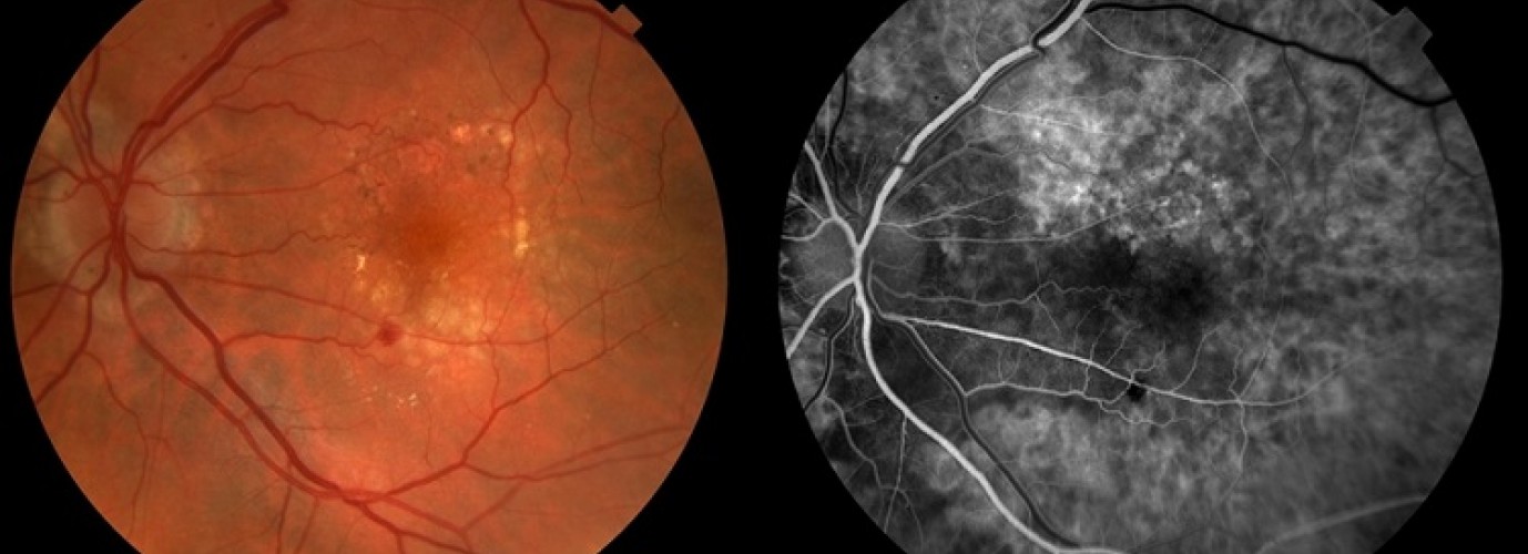
Флюоресцентная ангиография сетчатки: полное руководство по диагностике заболеваний глаза
11.12.2025
376

Флюоресцентная ангиография сетчатки: полное руководство по диагностике заболеваний глаза


Узнайте, что такое флюоресцентная ангиография сетчатки, как она помогает выявить болезни глаза, и почему этот метод важен для сохранения зрения. Полное описание процедуры и ее роли в офтальмологии.

Оптическая когерентная томография: метод, показания, диагностика заболеваний глаз
11.12.2025
714

Оптическая когерентная томография: метод, показания, диагностика заболеваний глаз


Разберитесь в оптической когерентной томографии (ОКТ) — современном методе диагностики глазных заболеваний. Статья подробно освещает принцип работы, показания, подготовку к процедуре, а также помогает…

Кератотопография глаза: полное руководство по диагностике, показаниям и расшифровке результатов
11.12.2025
445

Кератотопография глаза: полное руководство по диагностике, показаниям и расшифровке результатов


Узнайте все о кератотопографии: как проводится это важнейшее исследование роговицы, какие патологии выявляет и что означают полученные карты. Полный обзор для пациентов.

Авторефрактометрия: полное руководство по диагностике зрения
11.12.2025
411

Авторефрактометрия: полное руководство по диагностике зрения


Узнайте все об авторефрактометрии: для чего нужна эта диагностика, как проводится и что означают ее результаты. Это подробное руководство поможет вам разобраться в процессе и понять состояние вашего зрения.

Гониоскопия глаза: полное руководство по процедуре, показаниям и результатам
11.12.2025
503

Гониоскопия глаза: полное руководство по процедуре, показаниям и результатам


Раскройте значение гониоскопии — ключевого метода оценки угла передней камеры глаза. Узнайте, как проводится процедура, в каких случаях она показана и как правильно расшифровать полученные результаты для…

Компьютерная периметрия: полное руководство по исследованию поля зрения
11.12.2025
512

Компьютерная периметрия: полное руководство по исследованию поля зрения


Компьютерная периметрия позволяет выявить скрытые проблемы со зрением на ранних стадиях. Узнайте, что это за метод, как он проводится, для чего используется и как подготовиться, чтобы сохранить здоровье…

Тонометрия глаза: полное руководство по измерению внутриглазного давления
11.12.2025
569

Тонометрия глаза: полное руководство по измерению внутриглазного давления


Узнайте все о тонометрии глаза: что это, для чего нужна процедура измерения внутриглазного давления, как она проводится. Подробное руководство поможет вам разобраться в показаниях, методах и нормах ВГД.

Вопросы офтальмологам

Все консультации офтальмологов


Добрый вечер! Нужна ваша помощь. 4 окулиста отрицают проблему с...



Сильно болят гдаза после капель глазных комбинил. Есть тяжесть...



Субтотальная отслоение сетчатки глаза. Требуется хирургическое...



Врачи офтальмологи

Все офтальмологи


Офтальмолог

Каледонский университет Глазго

Стаж работы: 7 л.

Офтальмолог

Белгородский государственный национальный исследовательский университет, факультет лечебного дела и педиатрии, специальность офтальмология

Стаж работы: 10 л.

Офтальмолог

ФГБОУ ВО «РязГМУ им.академика И.П.Павлова» Министерства Здравоохранения РФ

Стаж работы: 5 л.