Содержание

Внутримозговое кровоизлияние (ВМК) — это острое, жизнеугрожающее состояние, которое возникает в результате разрыва кровеносного сосуда непосредственно в ткани головного мозга. Кровь, излившаяся под давлением, формирует гематому — сгусток, который сдавливает и повреждает окружающие нервные клетки. Это один из видов геморрагического инсульта, требующий немедленной медицинской помощи. Понимание причин, симптомов и современных подходов к лечению ВМК помогает пациентам и их близким правильно оценить ситуацию, своевременно обратиться за помощью и настроиться на процесс восстановления.
Что такое внутримозговое кровоизлияние и почему это происходит
Суть внутримозгового кровоизлияния заключается в нарушении целостности стенки артерии или вены внутри вещества мозга. В отличие от ишемического инсульта, где сосуд закупоривается тромбом, при ВМК происходит его разрыв. Излившаяся кровь пропитывает мозговую ткань, образуя гематому. Этот процесс запускает каскад патологических реакций: во-первых, прекращается кровоснабжение участка мозга, который питался из разорванного сосуда; во-вторых, образовавшаяся гематома механически давит на прилегающие структуры мозга, вызывая их смещение и повреждение; в-третьих, кровь и продукты ее распада токсичны для нервной ткани и вызывают воспаление и отек, что еще больше повышает внутричерепное давление и усугубляет повреждение мозга.
Тяжесть состояния при внутримозговом кровоизлиянии напрямую зависит от объема излившейся крови и ее расположения. Гематомы в функционально значимых зонах или в стволе мозга, где находятся жизненно важные центры, представляют наибольшую опасность даже при небольшом объеме.
Основные причины и факторы риска развития ВМК
Внутримозговое кровоизлияние редко возникает без предшествующих изменений в сосудах или организме в целом. Существует ряд установленных причин и факторов, которые многократно повышают вероятность его развития. Понимание этих факторов — ключ к эффективной профилактике.
Ниже представлена таблица с основными причинами, которые могут привести к внутримозговому кровоизлиянию, и кратким пояснением механизма их действия.
| Причина или фактор риска | Механизм развития ВМК |
|---|---|
| Артериальная гипертензия | Хронически повышенное давление изнашивает стенки мелких артерий мозга, делая их хрупкими и склонными к разрыву. Это самая частая причина спонтанных ВМК. |
| Церебральная амилоидная ангиопатия | Отложение белка амилоида в стенках сосудов мозга, что делает их ломкими. Характерно для пожилых людей и часто приводит к повторным кровоизлияниям. |
| Аневризмы и артериовенозные мальформации (АВМ) | Это врожденные или приобретенные аномалии сосудов. Аневризма — мешотчатое выпячивание стенки артерии, АВМ — клубок патологически связанных артерий и вен. Их стенки истончены и могут разорваться. |
| Прием антикоагулянтов и антиагрегантов | Препараты, разжижающие кровь, снижают ее свертываемость. При малейшем повреждении сосуда это может привести к массивному и трудно останавливаемому кровотечению. |
| Опухоли головного мозга | Злокачественные новообразования могут прорастать в сосуды или иметь собственную неполноценную сосудистую сеть, которая легко разрывается. |
| Черепно-мозговая травма | Прямой удар по голове может вызвать разрыв сосудов и формирование травматической внутримозговой гематомы. |
| Злоупотребление алкоголем и наркотическими веществами | Приводят к резким колебаниям артериального давления, токсическому поражению сосудистых стенок и нарушениям свертываемости крови. |
Симптомы, которые нельзя игнорировать: как распознать внутримозговое кровоизлияние
Клиническая картина ВМК развивается внезапно, часто на фоне полного благополучия. Симптомы быстро нарастают в течение минут или часов, что отличает его от многих других неврологических заболеваний. Важно знать эти признаки, чтобы немедленно вызвать скорую помощь, так как каждая минута имеет значение.
Вот список ключевых симптомов, которые могут указывать на внутримозговое кровоизлияние:
- Внезапная, очень сильная головная боль, которую пациенты часто описывают как «самую худшую в жизни» или «удар кинжалом».
- Тошнота и многократная рвота, не приносящая облегчения.
- Нарушение или потеря сознания, от легкой сонливости до глубокой комы.
- Слабость, онемение или полный паралич конечностей на одной стороне тела (рука, нога, половина лица).
- Резкое нарушение речи: невнятность (дизартрия) или невозможность говорить и понимать обращенную речь (афазия).
- Нарушения зрения: двоение в глазах, выпадение полей зрения.
- Судорожный припадок, особенно если он возник впервые в жизни.
- Нарушение координации движений, шаткость походки, головокружение (особенно при кровоизлиянии в мозжечок).
При появлении любого из этих симптомов необходимо немедленно вызвать бригаду скорой медицинской помощи. Не следует пытаться самостоятельно принимать какие-либо лекарства или ждать, что «само пройдет».
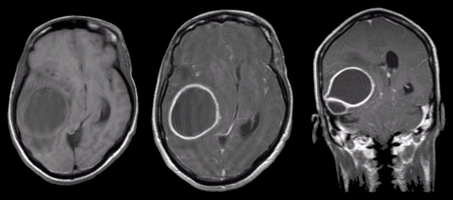
Принципы диагностики: как врачи подтверждают диагноз ВМК
Для подтверждения диагноза внутримозгового кровоизлияния и определения дальнейшей тактики лечения требуется экстренная нейровизуализация. «Золотым стандартом» в первые часы является компьютерная томография (КТ) головного мозга. Этот метод позволяет очень быстро и точно увидеть свежую кровь в ткани мозга, определить объем и расположение гематомы. КТ является первоочередным исследованием, так как позволяет отличить геморрагический инсульт от ишемического, лечение которых кардинально различается.
Магнитно-резонансная томография (МРТ) также используется в диагностике ВМК, но чаще на более поздних этапах. МРТ дает более детальное изображение структур мозга и может помочь в определении причины кровоизлияния, например, выявить опухоль или признаки амилоидной ангиопатии. Для поиска сосудистых аномалий, таких как аневризмы или АВМ, применяется КТ-ангиография или МР-ангиография — исследования сосудов с введением контрастного вещества.
Подходы к лечению: консервативная терапия и нейрохирургическое вмешательство
Тактика лечения при внутримозговом кровоизлиянии зависит от множества факторов: объема и расположения гематомы, возраста пациента, тяжести его состояния и причины кровотечения. Существует два основных подхода — консервативный и хирургический, и решение о выборе принимается командой врачей, включая невролога, нейрохирурга и реаниматолога.
Консервативное лечение проводится в отделении реанимации и интенсивной терапии. Его главные цели — стабилизация состояния пациента и предотвращение вторичного повреждения мозга. Оно включает строгий контроль артериального давления для снижения риска повторного кровотечения, коррекцию нарушений свертываемости крови, борьбу с отеком мозга, поддержание дыхания и кровообращения. Консервативная терапия показана при небольших гематомах, которые не вызывают значительного сдавления мозга, или при крайне тяжелом состоянии пациента, когда риски операции превышают потенциальную пользу.
Нейрохирургическое вмешательство преследует цель удаления гематомы для устранения сдавления мозга и снижения внутричерепного давления. Показания к операции определяются строго индивидуально. Как правило, хирургическое лечение рассматривается при гематомах среднего и большого объема, которые вызывают смещение структур мозга и угрожают жизни пациента.
Современная нейрохирургия в лечении внутримозгового кровоизлияния
Цель нейрохирургии при ВМК — убрать кровяной сгусток с минимальным дополнительным повреждением мозговой ткани. С развитием технологий появились различные методики, позволяющие сделать это максимально бережно. Выбор метода зависит от локализации и размера гематомы.
Открытая операция (краниотомия) — это классический метод, при котором выполняется вскрытие черепной коробки для прямого доступа к гематоме и ее удаления под контролем микроскопа. Этот подход эффективен для удаления больших и поверхностно расположенных сгустков крови. Он позволяет провести надежную остановку кровотечения из поврежденного сосуда.
Малоинвазивные методики набирают все большую популярность. К ним относятся стереотаксическая аспирация и эндоскопическое удаление гематомы. При стереотаксическом методе через небольшое отверстие в черепе под контролем КТ или МРТ в центр гематомы вводится тонкая канюля, через которую сгусток аспирируется (отсасывается), часто с введением препаратов, растворяющих тромб. Эндоскопическая техника позволяет через небольшой разрез ввести в полость гематомы эндоскоп с камерой и инструментами, что дает возможность визуально контролировать процесс удаления крови. Эти методы менее травматичны, чем открытая операция, и могут применяться для удаления глубоко расположенных гематом.
Жизнь после ВМК: реабилитация и прогноз
Внутримозговое кровоизлияние — это тяжелое испытание для организма, и восстановление после него — длительный и сложный процесс. Прогноз зависит от исходной тяжести состояния, возраста пациента, наличия сопутствующих заболеваний и, что крайне важно, от своевременности и полноты реабилитационных мероприятий. Несмотря на серьезность диагноза, многие пациенты могут добиться значительного улучшения функций и вернуться к полноценной жизни.
Реабилитация должна начинаться как можно раньше, еще в отделении реанимации, и носить комплексный характер. В команду специалистов по восстановлению входят: врач-реабилитолог, специалист по лечебной физкультуре (ЛФК), эрготерапевт (специалист по восстановлению бытовых навыков), логопед (для восстановления речи) и нейропсихолог (для коррекции когнитивных нарушений). Процесс восстановления направлен на то, чтобы помочь мозгу «переучиться» и компенсировать утраченные функции за счет своей пластичности. Терпение, настойчивость и поддержка близких играют в этом процессе огромную роль.
Профилактика внутримозгового кровоизлияния: как снизить риски
Лучший способ борьбы с ВМК — это его предотвращение. Поскольку основной причиной является артериальная гипертензия, ключевым элементом профилактики является регулярный контроль артериального давления и его поддержание на целевом уровне. Это достигается за счет изменения образа жизни и, при необходимости, регулярного приема назначенных врачом препаратов.
Основные меры профилактики внутримозгового кровоизлияния включают:
- Регулярное измерение артериального давления и прием гипотензивных препаратов, если они назначены.
- Отказ от курения и злоупотребления алкоголем.
- Сбалансированное питание с ограничением соли.
- Поддержание здорового веса и регулярная физическая активность.
- Контроль уровня холестерина и сахара в крови.
- Осторожное применение препаратов, влияющих на свертываемость крови, строго под контролем врача.
Соблюдение этих простых правил позволяет значительно снизить риск развития такого грозного заболевания, как внутримозговое кровоизлияние, и сохранить здоровье на долгие годы.
Список литературы
- Геморрагический инсульт: клинические рекомендации / Министерство здравоохранения Российской Федерации. – 2022.
- Гусев Е.И., Коновалов А.Н., Скворцова В.И. Неврология и нейрохирургия: учебник. В 2 т. – М.: ГЭОТАР-Медиа, 2015.
- Hemphill J.C. III, Greenberg S.M., Anderson C.S., et al. Guidelines for the Management of Spontaneous Intracerebral Hemorrhage: A Guideline for Healthcare Professionals From the American Heart Association/American Stroke Association // Stroke. – 2015. – Vol. 46 (7). – P. 2032–2060.
- Greenberg S.M., Ziai W.C., Cordonnier C., et al. 2022 Guideline for the Management of Patients With Spontaneous Intracerebral Hemorrhage: A Guideline From the American Heart Association/American Stroke Association // Stroke. – 2022. – Vol. 53 (7). – P. e282–e361.
- Крылов В.В. (ред.) Хирургия геморрагического инсульта. – М.: Практическая медицина, 2020. – 416 с.
Нужна помощь врача?
Если у вас остались вопросы по теме — задайте их квалифицированному специалисту и получите ответ онлайн
Читайте далее по теме:
Читайте также
Абсцесс головного мозга: от точной диагностики до полного выздоровления
Столкнулись с подозрением на абсцесс мозга и ищете достоверную информацию? Наша статья подробно описывает причины, симптомы, современные методы нейрохирургического лечения и этапы полной реабилитации.
Церебральная ангиография сосудов мозга: полное руководство по диагностике
Столкнулись с необходимостью пройти ангиографию сосудов головного мозга и ищете полную информацию? Наша статья подробно объясняет суть метода, показания, как проходит процедура, и что означают ее результаты.
Хирургическое лечение болезни Паркинсона для восстановления контроля движений
Когда медикаменты перестают эффективно контролировать симптомы болезни Паркинсона, нейрохирургия предлагает современные решения. В статье подробно рассматриваются виды операций, показания и ожидаемые результаты для улучшения качества жизни.
Вертебропластика позвоночника: восстановление после компрессионного перелома
Вы страдаете от сильной боли в спине из-за компрессионного перелома позвонка и ищете эффективный способ вернуться к нормальной жизни. В статье подробно разбираем процедуру вертебропластики, ее показания и результаты.
Вентрикулоперитонеальное шунтирование для лечения гидроцефалии у взрослых и детей
Если вам или вашему близкому предстоит операция по установке шунта, важно понимать все ее аспекты. Эта статья подробно объясняет суть вентрикулоперитонеального шунтирования, показания, ход операции и жизнь после нее.
Глубокая стимуляция мозга (DBS): полный гид по возвращению контроля над телом
Болезнь Паркинсона, тремор или дистония мешают жить полноценной жизнью? Узнайте все о методе глубокой стимуляции мозга (DBS) — как он работает, кому подходит, и какие результаты дает эта современная нейрохирургическая операция.
Гемифациальный спазм: обретение контроля над мимикой через нейрохирургию
Столкнулись с непроизвольным сокращением мышц лица и ищете выход? Наша статья подробно описывает гемифациальный спазм, его причины, симптомы и все современные методы лечения, включая эффективную операцию микроваскулярной декомпрессии.
Грыжа межпозвонкового диска: от причин до нейрохирургического лечения
Столкнулись с диагнозом межпозвонковой грыжи и ищете исчерпывающие ответы. В этой статье нейрохирург подробно объясняет причины болей, современные методы диагностики, а также когда необходимо консервативное и хирургическое лечение.
Декомпрессивная краниотомия: полное руководство по операции и прогнозам
При угрожающем жизни отеке мозга декомпрессивная краниотомия становится единственным шансом. Наша статья подробно объясняет суть операции, показания к ней, все этапы лечения, возможные риски и шансы на восстановление.
Дискэктомия: возвращение к активной жизни без боли в спине и ногах
Боль от грыжи межпозвонкового диска мешает жить полноценной жизнью и не поддается лечению. Узнайте все о дискэктомии — современной нейрохирургической операции, которая эффективно устраняет причину боли и помогает быстро вернуться к привычным делам.
Вопросы нейрохирургам
Все консультации нейрохирургов
Помогите в лечении
Я полная у меня очень сильно болит бедро вниз нога уже не...
почему опухают руки и ноги при менингиоме шейного отдела позвоночника
почему опухают руки и ноги при менингиоме шейного отдела...
Как проходит восстановление после нейрохирургической операции?
Здравствуйте. После операции на позвоночнике мне интересует,...
Врачи нейрохирурги
Нейрохирург, Хирург
Кировский государственный медицинский университет
Стаж работы: 24 л.
Нейрохирург
Красноярский государственный медицинский университет
Стаж работы: 25 л.
Нейрохирург
Кыргызская государственная медицинская академия
Стаж работы: 38 л.
