Содержание

Простая костная киста (ПКК) — это доброкачественное, то есть нераковое, образование в кости, представляющее собой полость, заполненную жидкостью. Чаще всего она обнаруживается у детей и подростков в период активного роста, обычно в возрасте от 5 до 15 лет. Несмотря на пугающее название и внезапность обнаружения, важно понимать, что простая костная киста не является опухолью, не распространяется на другие части тела и при правильном подходе успешно лечится, не оставляя последствий для дальнейшего развития и роста ребенка. Диагноз обычно ставится случайно во время рентгенографии по поводу травмы, так как в большинстве случаев ПКК никак себя не проявляет до момента возникновения патологического перелома.
Что такое простая костная киста и почему она возникает
Простая костная киста, также известная как солитарная или ювенильная костная киста, представляет собой однокамерную полость внутри кости. Эта полость выстлана тонкой соединительнотканной оболочкой и заполнена прозрачной или желтоватой жидкостью. Чаще всего ПКК локализуется в длинных трубчатых костях, которые быстро растут: в 90–95% случаев это проксимальные (ближние к туловищу) отделы плечевой или бедренной кости.
Точные причины возникновения простой костной кисты до сих пор не установлены. Наиболее признанной является теория, связанная с локальным нарушением венозного оттока в участке кости. Согласно этой гипотезе, из-за закупорки мелких вен в кости повышается давление, что приводит к скоплению жидкости и постепенному рассасыванию костной ткани с образованием полости. Травма не является причиной появления ПКК, но может спровоцировать перелом в уже ослабленном кистой участке кости.
Важно различать два типа кист в зависимости от их расположения относительно зоны роста кости:
- Активная простая костная киста: располагается в непосредственной близости к ростковой зоне (эпифизарной пластинке). Она способна увеличиваться в размерах по мере роста кости. Такие кисты требуют более пристального внимания, так как несут больший риск патологического перелома.
- Неактивная (статическая) ПКК: по мере роста кости киста «отдаляется» от зоны роста и перемещается к центру кости (диафизу). Такие образования обычно не увеличиваются в размерах и могут со временем самопроизвольно заживать.
Симптомы и первые признаки ПКК: когда нужно бить тревогу
Коварство простой костной кисты заключается в ее бессимптомном течении. Ребенок может годами не испытывать никакого дискомфорта, вести активный образ жизни, заниматься спортом. Кожа над областью кисты не изменена, отека и боли, как правило, нет. Именно поэтому диагноз почти всегда становится неожиданностью для родителей.
Самым частым и, по сути, первым клиническим проявлением ПКК является патологический перелом. Это перелом, который происходит в месте ослабления кости при минимальной травме или даже без нее — например, при резком движении, падении с небольшой высоты или во время спортивной игры. Стенки кости в области кисты истончаются, и кость не выдерживает обычной нагрузки. Симптомы в этом случае будут такими же, как при обычном переломе:
- Резкая боль в руке или ноге.
- Отек и образование гематомы (синяка) в месте травмы.
- Нарушение функции конечности (невозможность пошевелить рукой или наступить на ногу).
- Возможная деформация конечности.
При появлении этих признаков после незначительной травмы необходимо немедленно обратиться к детскому травматологу-ортопеду. Именно на рентгеновском снимке, сделанном для подтверждения перелома, и обнаруживается простая костная киста.
Методы диагностики: как врач подтверждает диагноз простой костной кисты
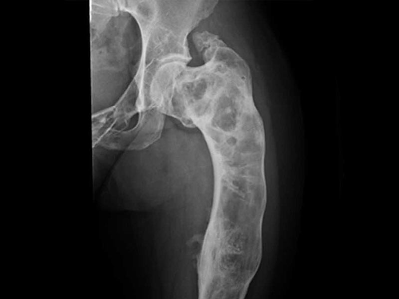
Диагностика ПКК обычно не представляет сложностей для опытного специалиста. Основным и в большинстве случаев достаточным методом является рентгенография. На снимке простая костная киста имеет характерные признаки, которые позволяют отличить ее от других, в том числе злокачественных, образований.
Что врач видит на рентгенограмме:
- Четкие границы: полость имеет ровные, хорошо очерченные контуры.
- Центральное расположение: киста находится в центре костномозгового канала.
- Вздутие кости: кость в месте расположения кисты может быть несколько расширена.
- Истончение кортикального слоя: стенки кости, окружающие полость, выглядят тонкими.
- Отсутствие реакции надкостницы: нет признаков воспаления или агрессивного роста, характерных для злокачественных опухолей.
В некоторых сомнительных случаях, для уточнения размеров кисты, оценки состояния окружающих тканей или для дифференциальной диагностики с другими костными патологиями (например, с аневризмальной костной кистой) могут быть назначены дополнительные исследования: компьютерная томография (КТ) или магнитно-резонансная томография (МРТ). Биопсия (взятие образца ткани для анализа) при ПКК проводится крайне редко, только при атипичной рентгенологической картине.
Современные подходы к лечению ПКК у детей
Тактика лечения простой костной кисты зависит от ее типа (активная или неактивная), размера, локализации, возраста ребенка и наличия патологического перелома. Цель любого вмешательства — предотвратить повторные переломы и создать условия для заполнения полости здоровой костной тканью. Существует несколько основных подходов: от выжидательной тактики до хирургического вмешательства.
Для наглядности основные методы лечения простой костной кисты представлены в таблице:
| Метод лечения | Суть процедуры | Когда применяется | Преимущества и недостатки |
|---|---|---|---|
| Консервативное наблюдение | Регулярный рентген-контроль (раз в 3–6 месяцев) без активного вмешательства. Ограничение физических нагрузок. | Небольшие неактивные ПКК, расположенные вдали от зоны роста, не вызывающие истончения стенок кости и не несущие высокого риска перелома. | Плюсы: отсутствие инвазивного вмешательства. Минусы: сохраняется риск перелома, требуется длительное наблюдение. |
| Пункционное лечение | Под контролем рентгена в полость кисты вводятся одна или две иглы. Через них удаляется жидкость и вводится препарат, который разрушает оболочку кисты и стимулирует костеобразование. | Активные и неактивные простые костные кисты небольшого и среднего размера. Является методом выбора во многих случаях. | Плюсы: малая травматичность, быстрая реабилитация. Минусы: может потребоваться несколько процедур, вероятность рецидива выше, чем при операции. |
| Хирургическое лечение (кюретаж с костной пластикой) | Операция, в ходе которой производится вскрытие полости ПКК, выскабливание (кюретаж) ее стенок и заполнение образовавшегося дефекта костным материалом (собственной костью пациента или искусственными заменителями). | Крупные кисты с высоким риском перелома, неэффективность пункционного лечения, рецидивы ПКК, кисты в нагружаемых костях (например, шейка бедра). | Плюсы: наиболее низкий процент рецидивов, надежное восстановление прочности кости. Минусы: наиболее травматичный метод, требует наркоза, более длительный период восстановления. |
Интересно, что патологический перелом на фоне простой костной кисты часто становится пусковым механизмом для ее заживления. Кровоизлияние в полость кисты и последующие репаративные процессы могут привести к ее самоизлечению. Поэтому после сращения перелома (в гипсовой повязке) часто выбирают выжидательную тактику с рентген-контролем.
Жизнь после лечения простой костной кисты: реабилитация и прогноз
Прогноз при ПКК в подавляющем большинстве случаев благоприятный. После успешного лечения кость полностью восстанавливает свою структуру и прочность. Период реабилитации зависит от выбранного метода лечения. После пункции ограничения минимальны, тогда как после хирургического вмешательства может потребоваться временное ограничение нагрузки на конечность и курс лечебной физкультуры (ЛФК) для восстановления полного объема движений и мышечной силы.
Возвращение к занятиям спортом возможно только с разрешения лечащего врача после контрольных рентгеновских снимков, подтверждающих заполнение полости костной тканью. Обычно это занимает от 6 месяцев до года. Главная цель реабилитации — обеспечить полное восстановление функции конечности и предотвратить повторные травмы.
Влияние ПКК на рост кости и риск повторного возникновения
Один из главных вопросов, волнующих родителей, — не повлияет ли простая костная киста на рост ребенка. При своевременной диагностике и правильном лечении ПКК не оказывает негативного влияния на функцию ростковой зоны. Хирургические вмешательства проводятся с особой осторожностью, чтобы не повредить зону роста. Именно поэтому лечение детей с данной патологией должно проходить в специализированных детских ортопедических отделениях.
Риск повторного возникновения (рецидива) простой костной кисты существует, он выше у детей младшего возраста с активными кистами. Частота рецидивов варьируется в зависимости от метода лечения: после пункционного лечения она несколько выше, чем после радикального кюретажа с костной пластикой. Однако даже в случае рецидива ПКК успешно поддается повторному лечению. С завершением роста скелета, после 16–18 лет, кисты, как правило, больше не появляются и не рецидивируют.
Список литературы
- Волков М. В., Дедова В. Д. Детская ортопедия. — М.: Медицина, 1980. — 336 с.
- Травматология и ортопедия: Руководство для врачей. В 3 томах / Под ред. Ю. Г. Шапошникова. — М.: Медицина, 1997. — Т. 2. — 592 с.
- Котельников Г. П., Миронов С. П., Мирошниченко В. Ф. Травматология и ортопедия: учебник. — М.: ГЭОТАР-Медиа, 2009. — 400 с.
- Canale S. T., Beaty J. H. Campbell's Operative Orthopaedics. 13th ed. — Philadelphia: Elsevier, 2017. — Vol. 1. — 4848 p.
- Herring J. A. Tachdjian's Pediatric Orthopaedics: From the Texas Scottish Rite Hospital for Children. 6th ed. — Philadelphia: Elsevier, 2021. — 2592 p.
Нужна помощь врача?
Если у вас остались вопросы по теме — задайте их квалифицированному специалисту и получите ответ онлайн
Читайте далее по теме:
Читайте также
Ювенильный артрит у ребенка: сохранить здоровье суставов и полноценную жизнь
Ваш ребенок жалуется на боль в суставах, хромает или с трудом двигается по утрам? Это может быть ювенильный артрит. В нашей статье детский ортопед подробно объясняет ортопедические аспекты болезни, современные методы диагностики и лечения, которые помогут сохранить подвижность и избежать осложнений.
Фиброзная дисплазия у детей: причины, симптомы и современные методы лечения
Ваш ребенок столкнулся с диагнозом фиброзная дисплазия? Статья подробно раскрывает суть этого редкого заболевания костной ткани, объясняет причины его возникновения, описывает характерные симптомы и деформации. Вы получите исчерпывающую информацию о современных подходах к диагностике и лечению.
Костно-хрящевой экзостоз у детей: полное руководство для родителей
У ребенка обнаружили шишку на кости и поставили диагноз остеохондрома? Наша статья поможет понять природу заболевания, его симптомы, методы современной диагностики, лечения и возможные риски, чтобы вы могли принять верное решение.
Энхондрома у ребенка: полное руководство для родителей по лечению и прогнозу
Ваш ребенок столкнулся с диагнозом энхондрома, и вы ищете ответы. Эта статья поможет понять природу опухоли, современные методы диагностики, варианты лечения от наблюдения до операции и прогноз для полного выздоровления.
Неоссифицирующаяся фиброма кости у ребенка: полное руководство для родителей
Обнаружение у ребенка неоссифицирующей фибромы вызывает тревогу. Наша статья поможет разобраться, что это за образование, почему оно возникает, когда требуется лечение, а когда достаточно наблюдения у детского ортопеда.
Аневризмальная костная киста у детей: от диагноза до полного восстановления
Обнаружение аневризмальной костной кисты вызывает у родителей тревогу. В статье подробно разбираем причины, симптомы, современные методы диагностики и лечения этого заболевания в детской ортопедии, а также даем прогноз на будущее.
Остеоид-остеома у детей: полное руководство по диагностике и лечению
Ваш ребенок страдает от ночных болей в костях? Возможно, это остеоид-остеома. Наша статья подробно объясняет причины, симптомы и современные методы лечения этого заболевания, помогая родителям принять верное решение.
Костные дисплазии у детей: найти причину низкого роста и выбрать лечение
Если рост вашего ребенка вызывает беспокойство, это может быть признаком костной дисплазии. Наша статья поможет разобраться в причинах, симптомах и современных ортопедических методах лечения для улучшения качества жизни.
Привычный вывих надколенника у детей: полное руководство для родителей
Если у вашего ребенка постоянно «вылетает» коленная чашечка, это повод для беспокойства. В нашей статье детский ортопед подробно объясняет причины, симптомы и все современные методы лечения привычного вывиха надколенника.
Лордоз у детей: полное руководство по здоровью детского позвоночника
Искривление позвоночника у ребенка вызывает тревогу у родителей. Статья подробно объясняет, что такое лордоз, почему он возникает, как его распознать на ранней стадии и какие современные методы лечения предлагает детская ортопедия.
Вопросы детским ортопедам
Все консультации детских ортопедов
Когда начинать лечение дисплазии тазобедренного сустава?
Здравствуйте. Врач сказал, что у моего ребенка дисплазия...
Как понять, что у моего ребенка плоскостопие?
Здравствуйте. Я заметила, что мой ребенок часто жалуется на...
боль в спине
Ребенок 10 лет 2 года офессионально занимается кикбоксингом....
Врачи детские ортопеды-травматологи
Все детские ортопеды-травматологи
Детский ортопед-травматолог, Травматолог, Ортопед
Белгородский государственный национальный исследовательский университет
Стаж работы: 12 л.
Детский ортопед-травматолог, Травматолог, Ортопед
Башкирский государственный медицинский университет
Стаж работы: 20 л.
Детский ортопед-травматолог, Травматолог, Ортопед
Пермский государственный медицинский университет им. акад. Е.А. Вагнера
Стаж работы: 5 л.
