Содержание

Дефицит пируваткиназы (ДПК) — это редкое наследственное заболевание крови, которое приводит к разрушению эритроцитов и развитию хронической гемолитической анемии. Хотя диагноз может вызывать тревогу, важно понимать, что современные подходы к лечению и ведению этого состояния позволяют большинству пациентов жить полноценной жизнью. Понимание причин, симптомов и методов терапии является первым и самым важным шагом на пути к контролю над заболеванием и поддержанию хорошего самочувствия. Этот материал предоставляет исчерпывающую информацию о диагностике и лечении анемии, вызванной дефицитом пируваткиназы.
Что такое дефицит пируваткиназы и почему он возникает
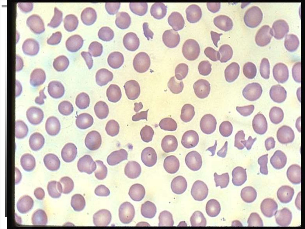
Дефицит пируваткиназы — это генетическое нарушение обмена веществ, при котором в организме не хватает или неправильно работает фермент пируваткиназа. Этот фермент играет ключевую роль в процессе гликолиза — основного способа получения энергии для эритроцитов (красных кровяных телец). Эритроциты не имеют митохондрий, «энергетических станций» большинства клеток, поэтому они полностью зависят от гликолиза для выработки АТФ, универсальной энергетической молекулы.
При ДПК из-за нехватки энергии мембрана эритроцита становится нестабильной и хрупкой. Такие «ослабленные» клетки не могут выдерживать нагрузки при прохождении через узкие сосуды, особенно в селезенке, и преждевременно разрушаются. Этот процесс называется гемолизом. Массовое разрушение эритроцитов приводит к анемии, то есть к снижению уровня гемоглобина и количества красных кровяных телец, которые переносят кислород к тканям.
Заболевание наследуется по аутосомно-рецессивному типу. Это означает, что для развития болезни ребенок должен унаследовать по одной копии дефектного гена от каждого из родителей. Сами родители при этом, как правило, являются лишь бессимптомными носителями и не имеют проявлений дефицита пируваткиназы.
Симптомы и проявления дефицита пируваткиназы: на что обратить внимание
Клиническая картина при дефиците пируваткиназы может значительно варьироваться — от тяжелых форм, требующих регулярных переливаний крови с рождения, до легких, которые могут быть не диагностированы до взрослого возраста. Тяжесть симптомов не всегда напрямую связана с уровнем гемоглобина, так как организм со временем адаптируется к хронической анемии.
Ниже перечислены основные группы симптомов, которые могут указывать на ДПК.
- Симптомы, связанные с анемией: хроническая усталость, слабость, бледность кожных покровов и слизистых оболочек, одышка при физической нагрузке, учащенное сердцебиение.
- Симптомы, связанные с гемолизом (разрушением эритроцитов): желтушность кожи и склер глаз (желтуха) из-за повышения уровня билирубина, потемнение мочи, увеличение селезенки (спленомегалия), так как она активно участвует в утилизации поврежденных эритроцитов.
- Специфические проявления у детей: у новорожденных может наблюдаться тяжелая желтуха, требующая фототерапии или заменного переливания крови. В дальнейшем возможны задержка роста и развития.
- Поздние осложнения: из-за постоянного гемолиза могут формироваться камни в желчном пузыре (желчнокаменная болезнь), а при необходимости частых переливаний крови — развиваться перегрузка организма железом.
Комплексная диагностика ДПК: от анализа крови до генетического теста
Постановка диагноза «дефицит пируваткиназы» требует последовательного подхода, который включает лабораторные и генетические исследования. Диагностический поиск начинается с оценки общих показателей крови и завершается подтверждением генетической мутации. Это позволяет исключить другие, более распространенные причины анемии и точно определить причину заболевания.
Для удобства восприятия основные этапы диагностики представлены в таблице.
| Этап диагностики | Методы исследования | Что показывает исследование |
|---|---|---|
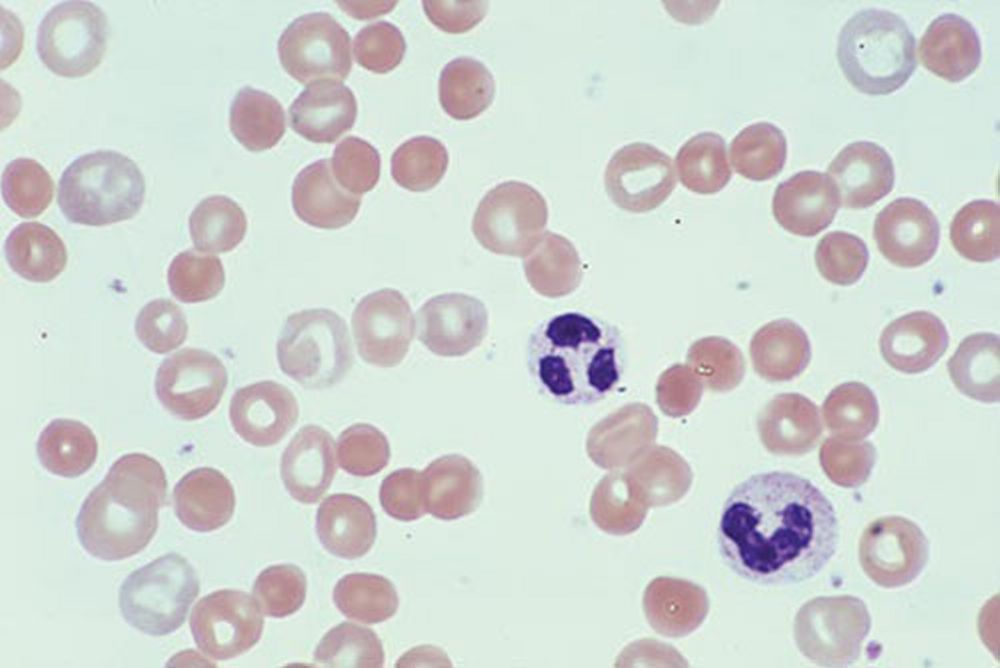
| Первичная оценка | Общий анализ крови, подсчет ретикулоцитов | Выявляет анемию (низкий гемоглобин) и высокий уровень ретикулоцитов — молодых форм эритроцитов. Это указывает на то, что костный мозг активно пытается компенсировать потерю клеток. |
| Биохимический анализ | Анализ крови на билирубин, лактатдегидрогеназу (ЛДГ), гаптоглобин | Подтверждает наличие гемолиза: повышенный уровень непрямого билирубина и ЛДГ, сниженный уровень гаптоглобина (белка, связывающего свободный гемоглобин). |
| Специфическая диагностика | Измерение активности фермента пируваткиназы в эритроцитах | Это ключевой тест, который напрямую показывает снижение активности фермента. Является основным методом для подтверждения диагноза ДПК. |
| Окончательное подтверждение | Молекулярно-генетическое тестирование (анализ гена PKLR) | Выявляет конкретные мутации в гене, ответственном за синтез пируваткиназы. Это позволяет окончательно подтвердить диагноз и важно для семейного консультирования. |
Основные подходы к лечению дефицита пируваткиназы
Так как дефицит пируваткиназы является генетическим заболеванием, полностью «вылечить» его на данный момент невозможно. Однако существующие методы лечения направлены на контроль симптомов, предотвращение осложнений и улучшение качества жизни. План ведения пациента всегда индивидуален и зависит от тяжести анемии и общего состояния здоровья.
Основные направления терапии включают:
- Поддерживающая терапия. Назначение фолиевой кислоты необходимо всем пациентам. Этот витамин активно расходуется при усиленном кроветворении, которое организм запускает в ответ на гемолиз. Важно избегать необоснованного приема препаратов железа, так как при ДПК анемия не связана с его дефицитом, и избыток железа может быть токсичен.
- Гемотрансфузии (переливания крови). Применяются при тяжелой анемии для быстрого повышения уровня гемоглобина, улучшения самочувствия и обеспечения нормальной доставки кислорода к тканям. Регулярные гемотрансфузии могут потребоваться детям для нормального роста и развития, а также взрослым при значительном ухудшении состояния.
- Спленэктомия (удаление селезенки). Селезенка — основной орган, где разрушаются дефектные эритроциты. Ее удаление может значительно снизить степень гемолиза, повысить уровень гемоглобина и уменьшить потребность в переливаниях крови. Решение о спленэктомии принимается взвешенно, так как операция связана с риском инфекционных осложнений в будущем.
- Таргетная терапия. В последние годы появились инновационные препараты — активаторы пируваткиназы. Эти лекарства способны повышать активность дефектного фермента, что приводит к улучшению энергетического состояния эритроцитов, снижению гемолиза и повышению уровня гемоглобина. Этот подход является большим прорывом в лечении ДПК.
Возможные осложнения ДПК и как их предотвратить
Хронический характер дефицита пируваткиназы со временем может приводить к развитию ряда осложнений. Проактивное наблюдение и своевременная коррекция позволяют минимизировать их риски и последствия. Понимание этих рисков помогает пациентам и их семьям более осознанно подходить к управлению заболеванием.
Наиболее частыми осложнениями ДПК являются:
- Перегрузка железом (гемохроматоз). Развивается в основном у пациентов, получающих регулярные гемотрансфузии. Каждое переливание крови вносит в организм дополнительную порцию железа, которое не может быть выведено естественным путем. Для контроля уровня железа и предотвращения его токсического воздействия на внутренние органы (сердце, печень) используется специальная хелаторная терапия — прием препаратов, связывающих и выводящих избыток металла.
- Желчнокаменная болезнь. Повышенный распад эритроцитов ведет к избыточному образованию билирубина. Его высокая концентрация в желчи способствует формированию так называемых пигментных камней в желчном пузыре. При появлении симптомов (боли в правом подреберье) может потребоваться удаление желчного пузыря (холецистэктомия).
- Осложнения после спленэктомии. После удаления селезенки значительно возрастает риск тяжелого течения бактериальных инфекций, особенно вызванных инкапсулированными микроорганизмами (пневмококк, менингококк). Поэтому перед операцией и в последующем необходима обязательная вакцинация и строгое соблюдение рекомендаций врача при любом повышении температуры.
Жизнь с дефицитом пируваткиназы: рекомендации по питанию и образу жизни
Управление хроническим заболеванием, таким как ДПК, включает не только медицинские процедуры, но и адаптацию повседневной жизни. Правильный подход к питанию, физической активности и регулярному медицинскому наблюдению помогает поддерживать стабильное состояние и предотвращать обострения. Пациентам важно выстроить партнерские отношения с лечащим врачом-гематологом для совместного управления болезнью.
Ключевые рекомендации:
- Питание: Рацион должен быть сбалансированным и богатым питательными веществами. Особое внимание уделяется достаточному потреблению фолиевой кислоты (зеленые листовые овощи, бобовые, цитрусовые). Важно помнить, что прием добавок железа без прямого назначения врача строго противопоказан.
- Физическая активность: Уровень допустимых нагрузок зависит от тяжести анемии. Следует избегать переутомления, но умеренная физическая активность полезна для поддержания общего тонуса. Необходимо прислушиваться к своему организму и не игнорировать такие сигналы, как одышка или сильная усталость.
- Регулярное наблюдение: Систематические визиты к гематологу, регулярный контроль анализов крови и состояния внутренних органов (УЗИ брюшной полости, оценка уровня железа) — залог своевременного выявления и коррекции возможных проблем.
- Вакцинация: Важно соблюдать национальный календарь прививок. Пациентам после удаления селезенки требуется дополнительная вакцинация для защиты от специфических инфекций.
Прогноз и перспективы для пациентов с ДПК
Прогноз при дефиците пируваткиназы за последние десятилетия значительно улучшился благодаря совершенствованию методов диагностики, поддерживающей терапии и появлению новых лекарственных препаратов. При адекватном ведении и регулярном наблюдении большинство пациентов могут вести активный и продуктивный образ жизни. Тяжесть течения заболевания очень индивидуальна, и прогноз во многом определяется именно ей.
С появлением таргетной терапии, направленной непосредственно на причину болезни — недостаточную активность фермента, — открываются новые горизонты. Эти препараты способны не просто купировать симптомы, а воздействовать на сам механизм развития ДПК, что дает надежду на еще более значительное улучшение качества и продолжительности жизни пациентов в будущем. Постоянные исследования в области генной терапии и других инновационных подходов также вселяют оптимизм.
Список литературы
- Клинические рекомендации «Врожденные гемолитические анемии». Национальное гематологическое общество, Национальное общество детских гематологов, онкологов. 2021.
- Рукавицын О. А. Гематология: национальное руководство. – М.: ГЭОТАР-Медиа, 2019. – 784 с.
- Hoffman R., Benz E. J., Silberstein L. E., et al. Hematology: Basic Principles and Practice. 7th ed. Elsevier, 2018.
- Glader B. Pyruvate kinase deficiency and other enzymopathies of the erythrocyte. In: Wintrobe’s Clinical Hematology. 14th ed. Wolters Kluwer, 2019.
- Grace R. F., Layton D. M. Pyruvate Kinase Deficiency. In: GeneReviews®. Seattle (WA): University of Washington, Seattle; 1993–2024.
Нужна помощь врача?
Если у вас остались вопросы по теме — задайте их квалифицированному специалисту и получите ответ онлайн
Читайте далее по теме:
Читайте также
Микроангиопатическая гемолитическая анемия: причины, симптомы и лечение
Столкнулись с редким диагнозом или ищете информацию о причинах анемии и тромбоцитопении? Наша статья подробно объясняет, что такое микроангиопатическая гемолитическая анемия, как она проявляется и какие современные методы лечения существуют.
Жизнь с пароксизмальной ночной гемоглобинурией: от симптомов до лечения
Столкнулись с редким диагнозом пароксизмальная ночная гемоглобинурия или подозреваете его у себя? Наша статья поможет разобраться в причинах, симптомах и современных методах лечения этого заболевания, предлагая понятную и полную информацию для пациентов и их близких.
Наследственный сфероцитоз: полное руководство по диагностике и лечению
Пациенты с наследственным сфероцитозом сталкиваются с анемией и риском осложнений. Наша статья предоставляет исчерпывающую информацию о причинах, симптомах, современных методах диагностики и вариантах лечения этого заболевания.
Наследственный эллиптоцитоз: полное руководство по диагностике и лечению
Столкнулись с диагнозом наследственный эллиптоцитоз или подозреваете его у себя? Наше руководство предоставляет исчерпывающую информацию о причинах, симптомах, современных методах диагностики и вариантах лечения этой редкой анемии.
Дефицит Г6ФД: полное руководство по жизни с наследственной анемией
Люди с дефицитом глюкозо-6-фосфатдегидрогеназы сталкиваются с риском гемолитического криза. Эта статья объясняет причины, симптомы, методы диагностики и предоставляет четкие рекомендации по питанию и образу жизни для предотвращения осложнений.
Большая талассемия (анемия Кули): обрести контроль над заболеванием
Столкнувшись с диагнозом большая талассемия, вы ищете надежную информацию о причинах, лечении и прогнозах. Эта статья предлагает исчерпывающий обзор анемии Кули, от генетических основ до современных методов терапии, помогая вам понять все аспекты заболевания и пути к полноценной жизни.
Малая талассемия: полное руководство для носителей гена и их семей
Вы или ваш близкий получили диагноз малая талассемия и не знаете, что это значит для здоровья и будущего. В этой статье мы подробно разбираем природу этого состояния, объясняем, почему оно не является болезнью, и даем рекомендации по образу жизни.
Серповидноклеточная анемия: обрести контроль над наследственным заболеванием
Серповидноклеточная анемия вызывает хроническую боль и усталость, влияя на качество жизни. В статье подробно разбираем причины, современные методы диагностики и лечения, которые помогают управлять симптомами и предотвращать осложнения.
Наследственный гемохроматоз: как вовремя выявить и контролировать избыток железа
Постоянная усталость и боль в суставах могут быть признаком перегрузки железом. Раскрываем все о наследственном гемохроматозе: от генетических причин и скрытых симптомов до современных методов диагностики и эффективного лечения для сохранения здоровья.
Порфирия: полное руководство по редкой болезни крови и ее лечению
Столкнулись с непонятными симптомами или уже получили диагноз порфирия? Эта статья подробно объясняет причины, виды и современные подходы к диагностике и лечению этого редкого гематологического заболевания, помогая взять его под контроль.
Вопросы гематологам
Как понять, что анемия может быть связана с проблемами в крови?
Здравствуйте. У меня анемия, и врачи не могут найти причину....
Синяки и петехии у ребенка
Добрый день! У ребенка (2 года, девочка) стали появляться петехии и...
Помогите разобраться в анализах
Здравствуйте, у меня был выкидыш в ноябре прошлого года, сейчас...
Врачи гематологи
Гематолог, Терапевт
РязГМУ им И.П.Павлова
Стаж работы: 12 л.
Гематолог, Педиатр
Саратовский государственный медицинский университет им. В.И.Разумовского
Стаж работы: 29 л.
Гематолог, Пульмонолог
Воронежский государственный медицинский университет им. Н.Н.Бурденко
Стаж работы: 9 л.
